Submit manuscript...
Journal of
eISSN: 2373-4426

Pediatrics & Neonatal Care

Case Report Volume 5 Issue 8

NEHI (Interstitial Lung Disease) After Treatment for WPW with Flecanide

Adnan Zafar

University Hospitals of Leicester, UK

Correspondence: Adnan Zafar, University Hospitals of Leicester, 35 Bowood Close Ingleby Barwick, UK, Tel 448000000000

Received: September 06, 2016 | Published: December 19, 2016

Citation: DOI: 10.15406/jpnc.2016.05.00219

Download PDF

Introduction

NEHI, initially known as "persistent tachypnoea of infancy", is a rare early disorder (tachypnoea, hypoxemia, crackles and failure to thrive), with a characteristic high resolution computerized tomography (HRCT), and usually favourable evolution without specific treatment, which make doubts about the need for routine biopsy [1]. NEHI is a relatively rare disorder of the lungs that was first classified and described in 2005. As a result, it is difficult to estimate the number of children with this disorder in the US.1 However, this is one of the most common forms of chILD and is still underdiagnosed.

Background

The cause of NEHI is poorly understood at this point in time.1 NEHI has been found to run in some families so it suggests there is some genetic basis for this disorder. However, a gene abnormality has not been identified to date. Environmental causes may also influence the development of NEHI, but much more research must be done to answer these questions.2

A high-resolution computed tomography (CT) scan of the lungs is often useful in the diagnosis of NEHI, showing a characteristic pattern called ground glass opacities. The lungs also show areas that are inflated to different extents, with some areas being overinflated and some underinflated, creating a mosaic pattern on CT.3

Clinical symptoms and signs of NEHI with CT findings confirm diagnosis of NEHI Syndrome without a biopsy. However, if any of the results or symptoms is not typical, the only way to conclusively confirm the NEHI diagnosis is through a lung biopsy.4 The biopsy tissue typically has little or no inflammation and when stained with a particular bombesin stain, demonstrates an abnormally increased number of pulmonary endocrine cells (PNECs) within the small airways.3

After reviewing 23 biopsy proven NEHI CTs and 6 CTs from other patients with child conditions, investigators have reported a more “classic” NEHI pattern consisting of ground-glass opacities in the right middle and lingual and air trapping in the lower lobes. The CT sensitivity and specificity to diagnose NEHI in this study was 78% and 100%, respectively.

Case report

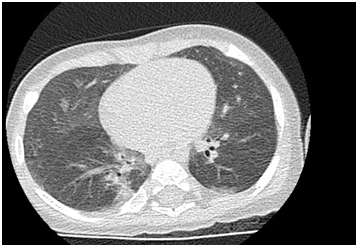
This is report of a 1 year old girl who was born at term and had normal antenatal scans. She was diagnosed to have supraventricular tachycardia in perinatal period. SVT was labelled AV nodal re-entrant tachycardia. An echocardiogram showed a structurally and functionally normal heart. She was started on flecanide for management of SVT. She was readmitted to hospital at five months of age with bronchiolitis. This was a clinical diagnosis of bronchiolitis without any isolation of bacteria or virus. She required oxygen for next week through day and night with attempts at weaning being unsuccessful. She was therefore discharged home on oxygen at 0.5litres per minute. A repeat echocardiogram did not reveal any structural or functional abnormality. At this point, investigations for interstitial lung disease were also started. All investigations were normal apart for CT chest findings. CT chest reported patchy, predominantly central and dependent ground glass/ airspace opacification involving all lobes of both lungs. The central para mediastinal distribution of the ground glass opacification was suggestive of Neuroendocrine Hyperplasia of Infancy (Figure 1).

Figure 1 CT Chest.

As NEHI is largely a CT diagnosis hence at this point, there is no plan to do a lung biopsy. She remains on home oxygen with occasional colds when oxygen requirement goes up briefly.

Discussion

This is the first case report in literature of NEHI in child secondary to Flecanide.5 Flecanide is a class 1C antiarrhythmic drug and is used in treatment for supraventricular arrhythmias.6 Drug-induced interstitial lung disease (DILD) is not uncommon and has many clinical patterns, ranging from benign infiltrates to life-threatening acute respiratory distress syndrome. Acute management of the child who presents in SVT can be a challenge because the exact mechanism of the tachycardia often is unknown. The treatment strategy depends upon the patient's presentation and clinical status (hemodynamically stable or unstable). The approach consists of initiating therapy while continuing to assess the patient's condition.

Antiarrhythmic drugs have been known in adults to cause interstitial pneumonitis. Five cases have been described so far for flecanide. Cell mediated immune responses are thought to be causative. Improvement was seen after withdrawal of drug and corticosteroid therapy. The extremely high concentration of flecainide in the lung suggests a high affinity of the drug for that tissue, which has also been described for other drugs such as propafenone. Propanolol has also been implicated in interstitial lung disease in adults.

Long-term outcomes in NEHI have been good with no reported deaths. However, significant morbidity is reported as most patients require oxygen for many years and many require aggressive nutritional supplementation. Many families subjectively report a significant impact on the young child and family's quality of life, though formal assessment of quality of life has not been completed. Furthermore, adolescent patients with NEHI have had persistent air trapping and nonspecific exercise complaints suggesting that NEHI may have long-term clinical implications beyond childhood. DILD may develop within the first few days of treatment or may not until several years after treatment.

Acknowledgment

None.

Conflicts of interest

The authors declare no conflict of interest.

Funding

None.

References

Creative Commons Attribution License

©2016 . This is an open access article distributed under the terms of the, which permits unrestricted use, distribution, and build upon your work non-commercially.