Submit manuscript...
Journal of
eISSN: 2373-4426

Pediatrics & Neonatal Care

Case Report Volume 15 Issue 3

Intrathoracic H type fistula, a diagnostic challenge: case report

Shary Acosta Suárez,1 Daniela Inés Mendoza,2 Diana Patricia Romero Lara,3 María Mercedes Pulido Bautista,4 Yeraldhine Paola Rodriguez Pachon,5 Lina Tatiana González Rueda,6 Carolina Zuluaga Sánchez7

1Pediatric Surgeon, Hospital Infantil Universitario de San José, Colombia
2Pediatric Surgery Resident, Fundación Universitaria de Ciencias de la Salud – FUCS, Colombia
3Pediatric Surgeon, Airway and Thoracic Pediatric Surgery, Hospital Infantil Universitario de San José, Colombia
4Pediatrician Neonatologist, Hospital Infantil Universitario de San José, Colombia
5Pediatrics Resident, Fundación Universitaria de Ciencias de la Salud – FUCS, Colombia
6Medical Student, Fundación Universitaria de Ciencias de la Salud – FUCS, Colombia
7General Physician, Fundación Universitaria de Ciencias de la Salud – FUCS, Colombia

Correspondence: Shary Acosta Suárez, Pediatric Surgeon, Hospital Infantil Universitario de San José, Cra. 52 # 67a - 71. Fundación Universitaria de Ciencias de la Salud – FUCS, Bogotá, Colombia, Tel (+57) 3214772200

Received: August 22, 2025 | Published: September 9, 2025

Citation: Acosta S, Mendoza DI, Romero DP, et al. Intrathoracic H type fistula, a diagnostic challenge: case report . J Pediatr Neonatal Care. 2025;15(3):142-144. DOI: 10.15406/jpnc.2025.15.00599

Download PDF

Abstract

Background: Isolated H-type tracheoesophageal fistula (TEF) is a rare congenital anomaly, accounting for less than 5% of tracheoesophageal malformations. It typically presents with choking, coughing, and cyanosis during feeding. However, diagnosis is often delayed due to its non-specific presentation and the intermittent nature of symptoms. This case highlights the diagnostic challenges and surgical management of an intrathoracic H-type TEF located below T4, an even rarer finding.

Methods: We report the case of a full-term newborn who developed respiratory distress and cyanosis shortly after birth. Initial imaging, including an esophagogram, was inconclusive. Due to persistent symptoms, bronchoscopy was performed, revealing an H-type tracheoesophageal fistula. Surgical correction was performed via thoracotomy with direct fistula resection, tracheoplasty, and esophageal repair.

Results: The patient was successfully extubated postoperatively but developed airway edema and croup, requiring reintubation. A follow-up esophagogram confirmed intact surgical repair with no residual fistula, malacia, or stenosis. Oral feeding was initiated on postoperative day 7, and the patient was discharged with full oral tolerance and supplemental low-flow oxygen.

Conclusion: Intrathoracic H-type TEF remains a diagnostic challenge due to its atypical location and variable presentation. This case underscores the importance of bronchoscopy in diagnosis and highlights surgical strategies to optimize outcomes. Early recognition and multidisciplinary management are crucial to prevent complications and ensure long-term airway and esophageal function.

Keywords: tracheoesophageal fistula, congenital anomalies, bronchoscopy, neonatal surgery, respiratory distress, case report

Introduction

Congenital tracheoesophageal fistulas are rare conditions, H-type, N-type or isolated fistula was described in 1873, it is defined as an isolated tracheoesophageal fistula without atresia, it connects the posterior wall of the trachea to the esophagus. It has better outcomes than other fistulas.1 It presents with choking during feeding, cough, cyanosis but its diagnosis is difficult and it usually is delayed until recurrent respiratory infections are presented.2,3 Given the rarity of this entity there are few cases in literature, an incidence less than 6% is reported.2 They represent 4-5% of all tracheoesophageal malformations.3

Case presentation

A newborn born as a result of vaginal delivery at term with spontaneous neonatal adaptation, adequate weight and height at birth, normal prenatal infectious and ultrasound screening. At 4 hours of life presented with cyanosis and respiratory distress after breastfeeding intake, requiring admission to the NICU (neonatal intensive care unit) for low-flow oxygen supply and monitoring. Enteral tube feeding was tolerated so oral suction feeding was scaled, but again, presented severe respiratory distress, ventilatory failure and orotracheal intubation was indicated, pneumonia was suspected. After that, failure to conventional ventilation was presented requiring VAFO (high frequency oscillatory ventilation) and severe pulmonary hypertension was documented in echocardiography ruling out congenital heart disease, was managed with nitric oxide, classified as responder and withdrawal was achieved 48 hours after its initiation.

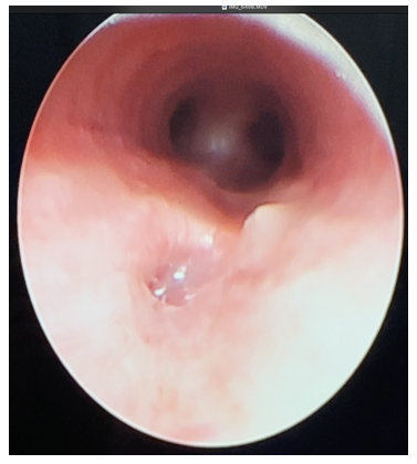
Abdominal radiographs showed persistent severe distension of the gastric chamber despite high caliber tube drainage and evidence on one occasion of bubbling of the same so tracheoesophageal fistula was suspected. Barium esophagogram was performed with evidence of complete passage into esophagus, stomach and pylorus, without a fistulous tract (Figure 1). However, due to persistent symptoms, bronchoscopy was performed to rule out congenital malformation of the airway, H-type tracheoesophageal fistula of 3 mm in diameter located 5 rings above the carina was visualized, nevertheless, endoscopic or surgical correction at this time was not possible due to hemodynamic instability (Figure 2).

Figure 1 Barium contrast esophagogram with no evidence of fistulas or extrinsic compressions. Normal.

Figure 2 Bronchoscopy: 3 mm diameter tracheoesophageal H-fistula located 5 rings above the carina.

Surgical correction was decided, given the location of the fistula, a thoracotomy surgical approach was performed. Initially, the esophagus and trachea were identified, the esophagus was surrounded with vessel loops exposing the fistula, these were placed proximal and distal to the fistula delimiting it completely. (Figure 3). Tracheal plasty was performed on the posterior wall with continuous suture of PDS 5/0, hydrostatic test was realized without evidence of leaks, after which lateral tracheopexy was performed with 2 stitches of PDS 5/0 fixed to the thoracic spine. Finally, closure of the esophageal defect was performed in 2 planes: the first plane with continuous suture of PDS 5/0 and the second with separate invaginating stitches of PDS 5/0 and an orogastric tube was advanced, pneumatic test was performed without evidence of leaks. At 24 hours postoperatively, meets gasometric criteria, radiological and ventilatory parameter criteria for extubation, which was performed. Postoperative bronchoscopy and esophagogram were performed prior to the initiation of the oral route, reported an intact suture without refistulization, confirming the success of the surgical repair and the stability of the airway. The patient was discharged tolerating the oral route by suction and low flow oxygen supply.

Figure 3 H-type fistula visualized in open surgery. Tractioned esophagus with vessel-loops and arrow indicating tracheoesophageal fistula.

Literature review and discussion

Isolated tracheoesophageal fistula is rare, representing less than 5% of all congenital tracheoesophageal malformations, it is classified as E or 5 in the classification of esophageal atresia.1–3 A preponderance of males has been reported with a 2:1 ratio.4,5 More than 70% of the reported fistulas are located above T2,6 in our clinical case it was located intrathoracic below T4 which confers an even more rare finding.

Clinical presentation is variable, coughing, cyanosis, or sudden choking may be evident with feeding, this 3 symptoms are described as a the classic triad. It may also present with recurrent respiratory infections, hypersecretion and recurrent pneumonia. Given the variability of symptoms, there could be patients with very mild symptoms and patients with severe respiratory deterioration requiring mechanical ventilation.1,3,6,7,8

Diagnosis is difficult and often delayed,4,9 definitive diagnosis is made by contrast studies, specially prone tube esophagogram8 or bronchoscopy, these studies define the surgical approach and whether associated tracheal anomalies are found.1,7,10 Bronchoscopy was key in our patient to establish the diagnosis.

Surgical management is imperative to resolve the fistula, endoscopic techniques with sealants have been described,11 but the open approach is more frequent. Cervical approaches are done in fistula locations above T2, in fistulas located T3 or above are done via thoracotomy or thoracoscopy. There is discussion between simple ligation and total fistula resection, other authors also recommend interposition of material between the esophagus and trachea to avoid refistulization.1,4 In our clinical case we decided to resect the fistula, reconstruct the esophagus and tracheal wall, and posterior tracheopexy to avoid recurrence.

Complications include stenosis, anastomotic leak and recurrence, in a long-term gastroesophageal reflux has been reported, which is why follow-up is key in this type of pathology.7,9

Conclusion

Intrathoracic H-type TEF remains a diagnostic challenge due to its atypical location and variable presentation. This case underscores the importance of bronchoscopy in diagnosis and highlights surgical strategies to optimize outcomes. Early recognition and multidisciplinary management are crucial to prevent complications and ensure long-term airway and esophageal function.

Acknowledgments

None.

Disclosure statements

Declarations of interest: none.

The authors did not receive support from any organization for the submitted work.

This case report was presented as a poster at the “XXVI Congreso Colombiano de Cirugía Pediátrica”. Cartagena, Colombia April 2th, 2025.

Funding

The authors did not receive any financial support for the submitted work.

Conflicts of interest

The authors declare that there is no conflicts of interest.

References

  1. Gutierrez RS, Guelfand M, Balbontin PV. Congenital and acquired tracheoesophageal fistulas in children. Semin Pediatr Surg. 2021;30(3):151060.
  2. Zani A, Jamal L, Cobellis G, et al. Long-term outcomes following H-type tracheoesophageal fistula repair in infants. Pediatr Surg Int. 2017;33(2):187–190.
  3. Al-Salem AH, Mohaidly MA, Al-Buainain HMH, et al. Congenital H-type tracheoesophageal fistula: A national multicenter study. Pediatr Surg Int. 2016;32(5):487–491.
  4. Blanco-Rodríguez G, Penchyna-Grub J, Trujillo-Ponce A, et al. Preoperative catheterization of H-type tracheoesophageal fistula to facilitate its localization and surgical correction. Eur J Pediatr Surg. 2006;16(1):14–17.
  5. Fallon SC, Langer JC, St Peter SD, et al. Congenital H-type tracheoesophageal fistula: A multicenter review of outcomes in a rare disease. J Pediatr Surg. 2017;52(11):1711–1714.
  6. Cigdem U, Durakbasa CU. Management of congenital isolated H-type tracheoesophageal fistula. Curr Chall Thorac Surg. 2022;4:23.
  7. Regaieg C, Cheikhrouhou T, Dhaou MB, et al. Management of a double H-type tracheoesophageal fistula without esophageal atresia: A case report. Ann Pediatr Surg. 2023;19(1).
  8. Taghavi K, Tan Tanny SP, Hawley A, et al. H-type congenital tracheoesophageal fistula: Insights from 70 years of the royal children's hospital experience. J Pediatr Surg. 2021;56(4):686–691.
  9. Gurung G, Kansakar P, Maharjan A, et al. H-type tracheoesophageal fistula associated with tracheal bronchus: A case report. J Pediatr Surg Case Rep. 2023;96:102685.
  10. Sampat K, Losty PD. Diagnostic and management strategies for congenital H-type tracheoesophageal fistula: A systematic review. Pediatr Surg Int. 2021;37(5):539–547.
  11. Tzifa KT, Maxwell EL, Chait P, et al. Endoscopic treatment of congenital H-type and recurrent tracheoesophageal fistula with electrocautery and histoacryl glue. Int J Pediatr Otorhinolaryngol. 2006;70(5):925–930.
Creative Commons Attribution License

©2025 Acosta, et al. This is an open access article distributed under the terms of the, which permits unrestricted use, distribution, and build upon your work non-commercially.

Citations