Mini Review Volume 9 Issue 4
Department of Pediatric Surgery “A”, University of El Manar, Tunisia
Correspondence: Fatma Fitouri, Medical Doctor-Department of Pediatric Surgery “A”, Children Hospital, University of El Manar, Tunisia
Received: July 27, 2019 | Published: July 16, 2019
Citation: Sassi N, Fitouri F, Houas Y, et al. Harmful twins: the saddest small magnets force side. J Pediatr Neonatal Care. 2019;9(4):97-98. DOI: 10.15406/jpnc.2019.09.00386
magnetic, febrile, metallic sphere, pneumoperitoneum flank, intestinal
Accidental ingestion of magnetic foreign bodies has become more common due to increased availability of objects and toys with magnetic elements. Frequently, they pass through the gastrointestinal system without complication. However, ingestion of multiple magnets may require surgical resolution.
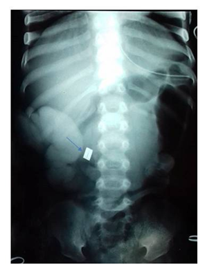
An 18-months-old- child was admitted for febrile occlusion evolving for 48 hours. The physical examination revealed a fever at 38°C, dehydration stage II and a distended with sensitive abdomen. Radiography showed metallic sphere of 5millimetersin the upper abdomen without pneumoperitoneum flank (Figure 1). After conditioning and ressisutation, a transverse laparotomy revealed generalized peritonitis with two perforations of the hail at 600 and 800millimeters from the Treitz angle (Figure 2). It was related to a necrosis of the intestinal wall between two magnets. A peritoneal toilet with a terminal ileostomy was made. The clinical evolution was favorable. Closure of the stoma was performed after one month and follow-up is about 3years.
In most cases, a single magnet ingested, will pass through the gastrointestinal tract and get defecated. However, when multiple magnets are ingested, they could cross at different rates and, therefore, lie in several adjacent bowel loops. Magnets attract each other. This leads to pressure ischemia and necrosis, volvulus, entero-enteric fistula and perforations.1,2 The increase of magnet ingestions requested the revision of the current pediatric algorithm.3 A careful physical examination should include an assessment for signs of symptoms of obstructions and perforations. A plain abdominal radiograph is recommended as the first-line study. Nevertheless, abdominal X-Ray and computed tomography lack the sensitivity to determine the number of magnetic objects.4 If the ingestion of a single magnet can be confirmed and the size of the magnet is smaller than 5cm, it may be managed by observation only.3‒5 However, if multiple objects are ingested or if the actual number cannot be determined, intervention is required.
If the object remains in the stomach or esophagus, it should be removed by endoscopy.6 Once multiple magnets pass beyond the pylorus, surgical intervention, either by laparoscopy or laparotomy, is required to avoid further complications.7 Most symptoms appeared between 1 and 7days after ingestion.7,8 The American Academy of Pediatrics National Conference and Exhibition Survey showed that 52% of patients who had ingested magnets, needed endoscopic intervention alone, 20% required endoscopy and surgery, while 8% required surgical removal of the magnets. Only 15% of ingestions were managed by observation alone.
Magnet ingestion may result in serious injuries of the gastrointestinal tract. Surgeons must look for multiple magnets and remove them either by endoscopic or surgical means as soon as they are discovered.
We believe that public awareness about this risk can decrease the incident of magnet ingested.
No funding was secured for this article.
The authors have no financial relationships relevant to this article to disclose.
None.
The authors have no conflict of interest to disclose.
None.
©2019 Sassi, et al. This is an open access article distributed under the terms of the, which permits unrestricted use, distribution, and build upon your work non-commercially.
International Childhood Cancer Day is observed on 15 February 2026 to raise awareness about childhood cancers and to highlight the medical, developmental, and supportive care needs of affected children and their families. This day emphasizes the importance of early diagnosis, pediatric care, and continued research to improve survival and quality of life in children with cancer.
Researchers and healthcare professionals are encouraged to submit their original research articles, reviews, and clinical studies related to pediatric oncology, neonatal care, and child health. Manuscripts submitted on the occasion of International Childhood Cancer Day will be eligible for a special publication discount of 30–40% in the Journal of Pediatrics & Neonatal Care (JPNC).
.