Submit manuscript...
Journal of
eISSN: 2373-4426

Pediatrics & Neonatal Care

Case Report Volume 14 Issue 2

Cervical teratoma: about 2 cases

Segbedji Géraud Garcia Philemon Satingo, Akokpe Mahussi Hénok Orion, Goudjo Eudes Ulrich Elvis Mahougnon, Koco Houénoukpo, Houedote Okpéyèmi Mirinda, Gbenou Antoine Séraphin

Department of Pediatric Surgery, Mother and Child Teaching Hospital Lagune, Benin

Correspondence: Segbedji Géraud Garcia Philemon Satingo, Department of Pediatric Surgery, Mother and Child Teaching Hospital Lagune, University of Abomey-Calavi, Cotonou, Benin, Tel +229 677 490 80

Received: May 31, 2024 | Published: June 26, 2024

Citation: Segbedji GGPS, Akokpe MHO, Goudjo EUEM, et al. Cervical teratoma: about 2 cases. J Pediatr Neonatal Care. 2024;14(2):135-137. DOI: 10.15406/jpnc.2024.14.00555

Download PDF

Abstract

Teratomas are malformative tumors derived from multipotent cells and composed of tissues originating from the three embryonic layers in variable proportions. The cervical location is exceptional. Through two clinical cases and literature review, we recall the main clinical, radiological, anatomopathological and progressive aspects of this condition.

Keywords: teratoma, cervical, case report

Introduction

Teratomas are complex malformative tumors defined by the presence of tissues derived from the 3 embryonic layers.1 They can be mature or immature, depending on their degree of differentiation. They are most often located in the sacrococcygeal region and the gonads. The cervical location is exceptional (4%)2 and essentially poses etiopathogenic and therapeutic management problems. Antenatal diagnosis is essential given the risk of respiratory distress. It is still little implemented in our context, and therefore delays treatment.

This manuscript was prepared following the CARE guidelines (https://www.care-statement.org)

Clinical observation no. 1

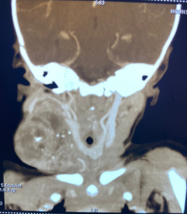
3-year-old female child with no pathological history seen in consultation for right side-cervical mass. Congenital swelling gradually increasing in volume since birth without respiratory effects. On examination, the child presents a good general condition, a right side-cervical mass of firm, bumpy consistency measuring 5 x 6 centimeters filling the supraclavicular hollow (Figure 1). A cervical CT scan is performed which reveals a tissue mass without signs of compression of the ipsilateral jugulo-carotid axis (Figure 2). Orotracheal intubation and one-piece surgical excision of the tumor are carried out under general anesthesia (Figures 3 and 4). Pathological examination of the surgical specimen concluded that it was a mature teratoma with no signs of malignancy (Figure 5). The postoperative course was simple with the alpha fetoprotein level normalizing at 6 months.

Figure 1 Profile view of the right lateral cervical mass.

Figure 2 CT section showing the mass and its relationships.

Figure 3 Tumor mass after excision.

Figure 4 Section of the tumor mass.

Figure 5 Histological aspects of the tumor.
A: bone tissue; B: cartilaginous tissue; C: respiratory type covering; D: fibroadipose tissue.

Clinical observation no. 2

Two-week-old female newborn seen in consultation for congenital right side-cervical mass. The examination reveals an unremarkable gestational history with good monitoring of the pregnancy and a full-term vaginal delivery. We find a hard, multilobulated right side-cervical swelling that is mobile in relation to the deep and superficial planes without satellite lymphadenopathy (Figure 6). An ultrasound is performed of the mass which reveals a hyper-vascularized right side-cervical lymph node cluster in a well-defined agglomerate measuring approximately 21.4 x 22.9 millimeters. Blood alpha-fetoprotein was very high at 9684.80 ng/ml (normal < 15 ng/ml). We concluded that it was a laterocervical teratoma and the infant was taken to the operating room for one-piece surgical excision of the tumor. Pathological examination of the surgical specimen concluded it was a mature multi-tissue teratoma. The postoperative course was simple with normalization of alpha-fetoprotein at 9 months postoperatively.

Figure 6 Front view of the newborn (case no. 2).

Discussion

Teratomas are malformative tumors derived from the transformation of multipotent germ cells. They are composed of ectodermal, endodermal and mesodermal tissues in variable proportions, hence the term embryonal tumor.3,4 Teratoma is a rare tumor. Her prevalence varies between 1/20,000 and 1/40,000 births. The cervical location represents 1.5 to 5% of all locations.5 There is a clear female predominance (3/4 of cases). This is confirmed by our series where our two cases are female. It is essentially a condition of newborns and young infants, the discovery of which is neonatal in more than half of cases.6 Antenatal discovery of a cervical teratoma is possible thanks to fetal ultrasound, which often shows a mixed mass with a fluid component and a frequently calcified solid component.7 In our context it is still little done, and the diagnosis is only made at birth.5,8 Thus respiratory distress caused by the tumor would be fatal for the newborn. This was not the case for our patient who, despite seeking late treatment, did not present any respiratory signs, making her treatment easier.

The development of multi-scanners with sub-millimeter sections and multi-planar reconstructions allows a better study of fleshy and fatty tissue components and in particular calcifications which are poorly explored in MRI.9 The scanner also allows a detailed study of the relationships, particularly with the jugulo-carotid vascular axis, as well as an objective assessment of the impact on the aerodigestive system.10 This examination carried out for our patient provided all the information necessary for safe surgery.

The differential diagnosis in imaging is mainly made with hemangioma, cystic lymphangioma and congenital goiter.11

The management strategy for giant cervical teratomas differs: most authors opt for a cesarean section from the outset regardless of the size of the tumor from 36 weeks.12 The intervention is scheduled as a delayed emergency after stabilization and conditioning of the newborn. Ex utero intrapartum treatment (EXIT) represents an alternative.13,14 As soon as the uterine cavity is opened, nasotracheal intubation or tracheotomy is carried out depending on the size of the mass and its impact on the airways. Clamping of the cord only takes place if a free airway has been ensured. Surgical treatment of these tumors must be early because of the risks of respiratory distress and degeneration.11 The pathological examination is the only examination which allows the diagnosis of teratoma to be made with certainty. The assessment will be completed by the alpha-fetoprotein dosage, which will be repeated after tumor excision.8,15 When tumor markers such as alpha-fetoprotein and bHCG (b human chorionic gonadotropin) are abnormal, this affirms the presence of a malignant secreting component in the teratoma even if it is not found by the pathologist.16 The non-existence of antenatal diagnosis and the late recourse to care in our work context requires emergency treatment.of the case upon consultation. The pathological examination carried out on the surgical specimen concluded that it was a mature teratoma without signs of malignancy corroborated by the alpha-fetoprotein dosage who is negative income in both cases.

Conclusion

Cervical teratoma is a rare location. The treatment is surgical. Antenatal diagnosis allows better management of these patients due to the risk of respiratory distress at birth due to compression.n of the upper airways.The prognosis depends mainly on respiratory signs, and malignancy or not.

Acknowledgments

None.

Authorship

All authors attest that they meet the current ICMJE criteria for Authorship.

Patient consent

Informed consent was obtained from the patient's mother.

Funding

This research did not receive any specific grant from funding agencies in the public, commercial, or not-for-profit sectors.

Conflicts of interest

The authors declare that they have no known competing financial interests or personal relationships that could have appeared to influence the work reported in this paper.

References

  1. Heerema-Mckenney A, Harrison MR, Bratton B, et al. Congenital teratoma: a clinicopathologic study of 22 fetal and neonatal tumors. Am J Surg Pathol. 2005;29(1):29–38.
  2. Dhehner LP. Pediatric surgical pathology (second edition), USA. 1987:918–924.
  3. Shine NP, Sader C, Gollow I, et al. Congenital cervical teratomas: diagnosis, management and postoperative variability. Auris Nasus Larynx. 2006;33(1):107–111.
  4. Sichel JY, Eliashar R, Yatsiv I, et al. A multidisciplinary team approach for management of a giant congenital cervical teratoma. Int J Pediatr Otorhinolaryngol. 2002;65(3):241–247.
  5. Azizkhan RG, Haase GM, Applebaum H, et al. Diagnosis, management, and outcome of cervicofacial teratomas in neonates: a Childrens Cancer Group Study. J Pediatr Surg. 1995;30(2):312–316.
  6. Debbiche AC, Ben Brahim E, Boulakbeche R, et al. Meta-analysis of cervical teratomas: about three observations in newborns. Tunis Med. 1999;77:448–456.
  7. Thurkow AL, Visser GH, Oostherhuis JW, et al. Ultrasound observations of a malignant cervical teratoma of the fetus in a case of polyhydramnios: case history and review. Eur J Obstet Gynical Reprod Biol. 1983;14:375–384.
  8. Shah SI, Holterman AX, Licameli GR. Congenital cervical teratoma: Airway management and complications. Otolaryngol Head Neck Surg. 2001;124(1):53–55.
  9. Agarwal G, Kar DK. Teratoma of the anterior mediastinum presenting a cystic neck mass: a case report. J Med Case Rep. 2008;2:23.
  10. Rothschild MA, Catalano P, Urken M, et al. Evaluation and management of congenital cervical teratoma. Case report and review. Arch Otolaryngol Head Neck Surg. 1994;120(4):444–448.
  11. Bianchi B, Ferri A, Silini EM, et al. Congenital cervical teratoma: a case report. J Oral Maxillofac Surg. 2010;68(3):667–670.
  12. Stocks RS, Egerman RS, Woodson GE, et al. Airway management of neonates with antenatally detected head and neck anomalies. Arch Otolaryngol Head Neck Surg. 1997;123(6):641–645.
  13. Mohammad MA. Thyroid cervico-thoracic teratoma in a 14-month old child. Afr J Pediatr Surg. 2010;7:117–119.
  14. Belgin F, Cekmen N, Ugur Y, et al. Congenital cervical teratoma: anaesthetic management (the EXIT procedure). India J Anaesth. 2009;53(6):678–682.
  15. Hirose S, Sydorak RM, Tsao K, et al. Spectrum of intrapartum management strategies for giant fetal cervical teratoma. J Pediatr Surg. 2003;38(3):446–450.
  16. Rami M, Mahmoudi A, ElMadi A, et al. Cervical teratoma: report of 2 cases. Pan Afr Med J. 2012;12:91.
Creative Commons Attribution License

©2024 Segbedji, et al. This is an open access article distributed under the terms of the, which permits unrestricted use, distribution, and build upon your work non-commercially.

Citations