Submit manuscript...
Journal of
eISSN: 2373-4426

Pediatrics & Neonatal Care

Case Report Volume 12 Issue 1

A rare case of unusual presentation of acute necrotising pancreatitis as a presenting feature of dengue haemorrhagic fever in a child

Dr. Mahaveer Singh Lakra,1 Dr. Sham Lahiya, M.D,2 Dr. Rewat J. Meshram, M.D,2 Dr. Amar Taksande,3 Dr. Sachin Damke, M.D4

1Senior resident, Department of Pediatrics, Jawaharlal Nehru Medical College, Datta Meghe Institute of Medical Sciences, India
2Associate Professor, Department of Pediatrics, Jawaharlal Nehru Medical College, Datta Meghe Institute of Medical Sciences, India
3Professor, M.D., Department of Pediatrics, Jawaharlal Nehru Medical College, Datta Meghe Institute of Medical Sciences, India
4Professor and Head, Department of Pediatrics, Jawaharlal Nehru Medical College, Datta Meghe Institute of Medical Sciences, India

Correspondence: Dr. Mahaveer Singh Lakra, M.D., Senior resident, Department of Pediatrics, Jawaharlal Nehru medical college, Datta Meghe Institute of Medical Sciences, Sawangi Meghe, Wardha Maharashtra, 442004

Received: December 20, 2021 | Published: January 26, 2022

Citation: Lakra DMS, Lahiya DS, Meshram DRJ, et al. A rare case of unusual presentation of acute necrotising pancreatitis as a presenting feature of dengue haemorrhagic fever in a child. J Pediatr Neonatal Care. 2022;12(1):20-22. DOI: 10.15406/jpnc.2022.12.00251

Download PDF

Abstract

Background: Dengue fever is an acute viral infection seen commonly in developing countries. Its presentation varies in children starting from mild illness to severe complications. Acute necrotising pancreatitis is a serious form of pancreatitis which is a very rare entity in children. Here we are presenting a rare case of unusual presentation of acute necrotising pancreatitis as a presenting feature of dengue fever.

Case details: A 15 years male child presented with history of  pain, distension of  abdomen and vomiting. Patient had history of fever off and on since one month. Per abdomen examination showed ascites, hepatomegaly. Dengue NS1 antigen and dengue serology IgM was positive. Serum amylase level and lipase level were 1540 U/Land 960 U/L respectively. Contrast enhanced CT scan and MRCP showed bulky pancreas with decreased enhancement with ascites. Patient was managed conservatively with intravenous fluids, antibiotics and octreotide and patient was discharged successfully. Acute necrotising pancreatitis as a presenting feature of  dengue fever has not been reported in children to the best of my knowledge. 

Conclusion: Clinical presentation of dengue fever varies but when patient presents with pain in abdomen, vomiting  and fever then acute pancreatitis should be ruled out. In such patient clinical suspicion is important and timely intervention may lead to complete recovery and good outcome.

Keywords: Necrotising pancreatitis, dengue fever, Ascites, Serum Amylase , Octreotide

Introduction

Dengue fever is an acute viral infection seen commonly in developing countries putting a lots of burden on health care system. The cases of dengue fever has been drastically increased worldwide in last decades.1 Acute pancreatitis is a rare disease in children with varying incidences around 3.6 to 13 % per 100,000 case and incidence of acute necrotising pancreatitis may be even less than 1% of all the cases.2 The aetiology is different from that of adults which includes autoimmune, viral and parasitic infections, trauma, drugs, metabolic abnormalities, gall stones and post-surgical. The early complications of acute pancreatitis varies from septicaemia, spontaneous bacterial peritonitis, metabolic abnormalities, ascites, pleural effusion to shock.3,4 The diagnosis of acute pancreatitis is made by the clinical presentation, the laboratory investigations, pancreatic enzymes levels and imaging studies.  In limited set up ultrasonography can be a good non-invasive modalities for early diagnosis. The contrast enhanced CT and MRCP is the investigations of choice to assess the extent of damage and necrosis.5 Acute necrotising pancreatitis as a complication of dengue haemorrhagic fever has been reported in adults but very uncommon in children.6 Here we are reporting a rare case of acute necrotising pancreatitis as a presenting feature of dengue hemorrhagic fever in a child.

Case details

A 15 years male child presented in emergency department with complaints of severe pain and distension of abdomen, vomiting and lethargy since 5 days. There was a significant past history of fever off and on since last 1 month. Initial lab parameters were showing dengue positive NS1 antigen and IgM positive serology with  thrombocytopenia and positive  tourniquet test. There were no significant past history suggestive of any drug intake, any jaundice, any pain in abdomen, any joint pain and any trauma.

On examination child was drowsy and with heart rate 120 beat/minute, respiratory rate 28 beats/min and blood pressure 84/60 mm of Hg with significant pallor. Rest general  physical examination was insignificant with no cyanosis, lymphadenopathy, jaundice, any pedal oedema and no acute bleeding from any site. Per abdomen examination showed generalised tenderness with guarding, rigidity with positive fluid thrill. Liver was felt 2 cm below costal margin and spleen was just palpable. The laboratory parameter were Hb 10.4 gm, total leucocyte count were 18600,CRP was 85, Dengue NS1 antigen and dengue serology IgM was positive, renal parameters and transaminase levels were normal. Serum sodium was 128 meq/L, Potassium was 3.5 meq/L with serum lactate level 2.8. The test for other viral infections were negative. The serum calcium, triglycerides and total cholesterol were 9.8 mg, 316 mg/dl and 85 mg/dl respectively. In view of high clinical suspicion serum amylase and lipase level were sent which were highly elevated with the value of 1540 U/Land 960 U/L respectively.

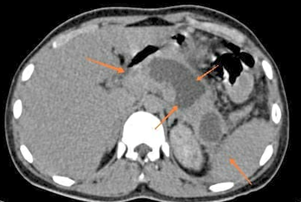
Urgent ultrasound was done which was showing paralytic ileus and bulky inflamed pancreas with ascites. Chest x ray reveals right sided pleural effusion. Contrast CT abdomen was showing decreased enhancement with evidence of acute parenchymal type of necrotising pancreatitis with intraparenchymal walled of necrosis with modified CT severity index score of 8 with ascites as shown in Figure 1. MRCP confirmed similar findings.

Figure 1 Arrow showing bulky pancreas with parenchymal pancreatic necrosis.

Patient was managed well with intra venous fluids, inotropes and octreotide and serial serum amylase and lipase level returned normal over time. Child recovered completely and was discharged. Pleural effusion and ascites was managed conservatively which resolved  over a week. The complication seen in our case was acute necrosis of pancreas, ascites, pleural effusion, hyponatremia and hypertriglyceridemia.

Discussion

Dengue fever is an acute febrile viral illness which may be self-limiting or may progress to severe complicating dengue illness.1 Although acute pancreatitis is a rare finding in children but its incidences has been significantly increased especially in last decade in children.2,3 The presentation of dengue fever varies in children but acute necrotising pancreatitis a  presenting feature is a rare finding. Children with acute pancreatitis may be mild symptomatic or may present with  severe symptoms like severe acute abdominal pain, persistent vomiting and  complications like pulmonary effusion, ascites, severe sepsis, shock, perforation peritonitis.4 The diagnosis is made by history, clinical features and laboratory parameters. There are various severity scores on CT findings to classify the illness and to assess the outcome of the disease.6 In our case severity CT score was 8 showing the significant severity.

Serum amylase and lipase were significantly raised and are good markers for diagnosis but their level don’t corelate with the severity of the infection. Enzyme levels can’t differentiate whether infection is acute pancreatitis or necrotising pancreatitis. Serum lipase is more sensitive to serum amylase in diagnosis of acute pancreatitis as it lasts longer than serum amylase level due to longer half-life.5,7 CECT and  magnetic resonance cholangio pancreatography are diagnostic modalities and carries good diagnostic value.7

In a retrospective analysis done by Aileen Raizner et al.4 on spectrum of children with acute necrotizing pancreatitis,  CT scan was found to be diagnostic and used to assess severity score of necrotising pancreatitis. A similar case has also been reported by Jansen L. et al.8 where pain in abdomen and vomiting were the presenting features. Octreotide is a somatostatin analogue which is used for management in acute pancreatitis which acts by decreasing  the secretion of pancreatic enzymes and prevents further damage by preventing auto digestion and release of cytokines due to its cytoprotective and anti-inflammatory effect.9

The vast spread of covid disease along with infectious dengue has been putting a lots of burden on health care system of different countries. The maximum number of  cases of dengue fever has been reported in year 2019. WHO advocates its population knowledge and awareness, prevention strategies, training of health care workers and support to different countries to bring down the severity of dengue cases. The target is to bring down the mortality of severe dengue to even less than 1% in all countries by training of medical profession and  nurses globally.10 Various atypical manifestation and complications of dengue fever like myocarditis, dengue haemorrhagic shock syndrome, Guillain barre syndrome, encephalitis, hemophagocytic syndrome, acute pancreatitis, liver and kidney injury has also been reported.6,11 

Similar case of dengue haemorrhagic fever presented as acute pancreatitis had also been reported by Jain Vishakha et al (6) in adults. In our case acute necrotising pancreatitis in dengue haemorrhagic fever was  as a presenting features. The exact pathology behind involvement of pancreas in dengue is not clear. Direct viral invasion may be the cause but the evidences can’t be documented as collection of sample from pancreas is very difficult. The other contributing factors may be the inflammation, necrosis and hypotension or may be a result of autoimmune inflammatory responses leading to development of oedema and inflammation causing obstruction at ampulla of vater leading to activation of pancreatic enzymes.6,12

Pleural effusion, pancreatic fistula and ascites can be a severe complications of acute necrotising pancreatitis because of development of fistula between pleura and pancreas. Pleural effusions may be unilateral or bilateral ,minimal, massive or haemorrhagic.13 In our patient ascites was significant but effusion was minimal which resolves completely after conservative management. So we summarise that  any patient presenting with persistent fever, severe pain in abdomen and vomiting must be evaluated for dengue fever and acute necrotising pancreatitis and should be treated accordingly.

Conclusion

Acute necrotising pancreatitis is a rare complication of dengue fever in children. Sometimes dengue fever can have unusual, atypical clinical presentation  also. The knowledge of this entity is equally important for practising doctors so that proper early diagnosis can be made. The fluid therapy, monitoring and use of octreotide are the key steps in management of acute necrotising pancreatitis. By timely suspecting and diagnosing, the complication and mortality of acute necrotising pancreatitis can be prevented.

Funding

None.

Conflicts of interest

None.

Consent

Not required as this is a case report not a research and moreover neither we have revealed the identity of the patient nor we have put any photographs of patient.

References

  1. Khetarpal N, Khanna I. Dengue Fever: Causes, Complications, and Vaccine Strategies. J Immunol Res. 2016;2016:6803098.
  2. Benifla M, Weizman Z. Acute pancreatitis in childhood: analysis of literature data. J Clin Gastroenterol. 2003;37:169–172.
  3. Randall MM, McDaniels S, Kyle K. Pancreatitis in pre-adolescent children: a 10 year experience in the pediatric emergency department. BMC Emerg Med. 2019;19(1):71.
  4. Raizner A, Phatak UP, Baker K. Acute necrotizing pancreatitis in children. J Pediatr. 2013;162(4):788‒792.
  5. Agarwal N, Pitchumoni CS, Sivaprasad AV. Evaluating tests for acute pancreatitis. Am J Gastroenterol. 1990;85:356–366.
  6. Vishakha Jain, OP Gupta, Tarun Rao. Acute Pancreatitis Complicating Severe Dengue. J Glob Infect Dis. 2014;6(2): 76–78.
  7. Banks PA, Freeman ML the Practice Parameters Committee of the American College of Gastroenterology. Practice guidelines in acute pancreatitis. Am J Gastroenterol. 2006;101:2379–2400.
  8. Jansen L, Colleran G, Okafor I. A rare case of acute necrotising pancreatitis in a paediatric patient. J Adv Pediatr Child Health. 2020;3:061‒063.
  9. Paran H, Mayo A, Paran D. Octreotide treatment in patients with severe acute pancreatitis. Dig Dis Sci. 2000;45(11):2247‒2251.
  10. Dengue and severe dengue WHO/Word health organisation, 2022.
  11. Pothapregada S, Kamalakannan B, Thulasingam M. Clinical Profile of Atypical Manifestations of Dengue Fever. Indian J Pediatr. 2016;83(6):493‒499.
  12. Wijekoon CN, Wijekoon PW. Dengue hemorrhagic fever presenting with acute pancreatitis. Southeast Asian J Trop Med Public Health. 2010;41(4):864‒866.
  13. Heller SJ, Noordhoek E, Tenner SM. Pleural effusion as a predictor of severity in acute pancreatitis. Pancreas. 1997;15:222–225.
Creative Commons Attribution License

©2022 Lakra, et al. This is an open access article distributed under the terms of the, which permits unrestricted use, distribution, and build upon your work non-commercially.