Submit manuscript...
Journal of
eISSN: 2373-6453

Human Virology & Retrovirology

Short Communication Volume 8 Issue 2

Clinical characteristics of Covid-19 cases in Guayaquil, Ecuador

Mariolga Bravo-Acosta,1 Paola Vélez-Solorzano,2 Dilia Martínez- Méndez3

1Internal Medicine and Pneumology. MD. Servicio de Medicina Interna. Hospital General Guasmo Sur. Guayaquil, Ecuador
2Infectious disease. M.D. Servicio de Infectología, Hospital General Guasmo Sur, Ecuador
3GP Advisor. MD. MSc. Malongo Clinic. Angola

Correspondence: Mariolga Bravo-Acosta. Internal Medicine and Pneumology. M.D. Servicio de Medicina Interna. Hospital General Guasmo Sur. Guayaquil, Ecuador

Received: May 20, 2020 | Published: June 5, 2020

Citation: Bravo-Acosta M, Vélez-Solorzano P, Martínez-Méndez D. Clinical characteristics of Covid-19 cases in Guayaquil, Ecuador. J Hum Virol Retrovirolog. 2020;8(2):50-54. DOI: 10.15406/jhvrv.2020.08.00221

Download PDF

Abstract

Introduction: Until April 20 in Ecuador there were 10,122 confirmed cases of Covid-19 with 507 deaths. We described the clinical characteristics of 115 confirmed Covid-19 cases.

Methods: Nasopharyngeal swab or tracheal aspirate samples were collected to perform a confirmatory test for Covid-19. Clinical, laboratory and chest radiography data, invasive mechanical ventilation, days of hospitalization and number of deaths were recorded.

Results: The mean was 54.1 years with 59% male. 96.5% had Dyspnea being the most frequent symptom and 20% had diarrhea. Hypertension and Diabetes Mellitus were the main comorbidities. The mean until death was 15.3 days with 9.2 days of hospitalization. 40.9% required invasive mechanical ventilation. 48.7% recovered, 9.6% remain hospitalized and 41.7% died. X-ray showed bilateral opacity. 46.9% had leukocytosis and 85.5% of the deceased presented lymphopenia versus 53.7% of the survivors (p<0.001). 77.4% with prolonged prothrombin time and 82.6% elevated lactic dehydrogenase.

Discussion: Respiratory symptoms are the most frequent. However, the presence of diarrhea was greater than previously reported suggesting the importance of investigating gastrointestinal disorder as the primary symptom. The fatality rate was 41.7%, like critically ill patients. The age of the deceased was older than the survivors, being 62.5% male and 52.1% with some comorbidity, both considered risk factors for severe forms of Covid-19. Lymphopenia is a critical factor associated with severity and mortality.

Keywords: SARS-Cov-2, lymphopenia, invasive mechanical ventilation, Diarrhea, mortality rate, Comorbidity, Covid-19

Abbreviations

WHO, World Health Organization; SARSCoV-2, severe acute respiratory syndrome – coronavirus – 2; RTPCR, reverse-transcriptase polymerase chain reaction; Covid-19, coronavirus disease 2019; INSPI, Dr. Leopoldo Izquieta Pérez National Institute of Public Health Research; HT, hypertension; DM, diabetes mellitus; INR, international normalized ratio; LDH, lactic dehydrogenase; GI, gastrointestinal; ACE2, angiotensin-converting enzyme 2

Introduction

In December 31, 2019, the World Health Organization (WHO) was informed about cases of pneumonia of unknown etiology in Wuhan City, Hubei Province, China. A month later, in January 2020, a new coronavirus (SARS-CoV-2) was shown to be the cause of the outbreak of severe acute respiratory syndrome officially called Covid-19.1,2 On March 11, the WHO declared Covid-19 as a pandemic.3 Until April 20, 2020, a total of 2,422,525 confirmed cases and 166,235 deaths4 have been documented worldwide and in Ecuador 10,122 confirmed cases with 507 deaths.5 In this study we describe the clinical characteristics of 115 confirmed Covid-19 cases in the city of Guayaquil, Ecuador.

Materials and methods

Patients and data collection: 115 patients with a Covid-19 confirmed infection from February 29 to April 20, 2020 were included. The data obtained from the electronic medical record were: clinical signs and symptoms, laboratory findings and chest radiography. The number of patients who required oxygen, invasive mechanical ventilation, the time elapsed from the onset of symptoms until admission, and until intubation, as well as the mean days of hospitalization and the number of deaths were recorded.

Specimen collection and testing: Nasopharyngeal swab or tracheal aspirates samples were collected according to the Centers for Disease Control and Prevention guidelines.6 The reverse-transcriptase polymerase chain reaction (RT-PCR) was used as a Covid-19 confirmatory test7. All the tests were carried out at the National Institute of Public Health Research Dr. Leopoldo Izquieta Pérez (INSPI), Guayaquil. X-ray and Laboratory tests (complete blood count, chemical blood tests, coagulation tests and electrolytes) were performed.

Ethical Statement: The study had the approval of Guasmo Sur General Hospital board. Anonymity was preserved in accordance with the guidelines of the World Bioethics Congress and the amended Declaration of Helsinki. Statistical analysis: Categorical variables were summarized as the counts and percentages in each category. Chi-square and Fisher’s exact tests were used for categorical variables as appropriate. Differences with p values <0.05 were considered significant. All analyses were conducted with GraphPad Prism 8 statistical software.

Results

Table 1 describes clinical characteristics detailed of all individuals in the study comparatively between each group: discharged patients, still hospitalized and dead. In all patients, the age ranged from 26 to 83 years with a mean of 54.1 years. 59% (n = 68) were male. The most frequent symptoms were dyspnea 96.5% (n=111), cough 84.4% (n=97), fever 78.3% (n=90), diarrhea 20% (n=23) and odynophagia 17.4% (n=20). Hypertension (HT) was present in 20% (n=23) of the cases, being the main comorbidity, followed by Diabetes Mellitus (DM) in 10.4% (n=12) and 7.8% (n=9) presented both. The mean number of days from symptom onset to hospital admission was 6.9; until intubation at 8 days and death at 15.3 days, with a mean number of days of hospitalization until discharge of 9.15. All the patients required oxygen support and 40.9% (n=47) required invasive mechanical ventilation. To date, 48.7% (n=56) have been discharged in good general condition, 3.5% (n=4) remain hospitalized with non-invasive oxygen support and 6.1% (n=7) under invasive mechanical ventilation. 41.7% (n=48) died.

Characteristics                            

All Patients N=115 (100)                  

Recovered  patients n=56 (48.7)                        

Hospitalized patients n=11 (9.6)                        

Death patients n=48 (41.7)

Range age (mean) - years

26-83 (56)

26-77 (51.5)

30-67 (56)

26-83 (59.4)*

Sex – n (%)

       

Female

47 (41)

24 (42.9)

5 (45.5)

18 (37.5)

Male

68 (59)

32 (57.1)

6 (54.5)

30 (62.5)

Symptoms – n (%)

       

Disnea

111 (96.5)

52 (92.9)

11 (100)

48 (100)

Cough

97 (84.3)

48 (85.7)

9 (81.8)

40 (83.3)

Fever

90 (78.3)

44 (78.6)

10 (90.9)

36 (75)

Diarrhea

23 (20)

15 (26.8)

4 (36.4)

4 (8.3)

Odynophagia

20 (17.4)

16 (28.6)

1 (9.1)

3 (6.3)

Chest pain

12 (10.4)

9 (16.1)

0

3 (6.3)

Co-morbidity – n (%)

45 (39.1)

15 (28.8)

5 (45.5)

25 (52.1)^

Hypertension

23 (20)

9 (16.1)

1 (9.1)

13 (27.1)

Diabetes Mellitus

12 (10.4)

5 (8.9)

2 (18.2)

5 (10.4)

Hypertension and Diabetes Mellitus

9 (7.8)

1 (1.8)

2 (18.2)

6 (12.5)

Tuberculosis

1 (0.9)

-

-

1 (2.1)

Without co-morbidity – n (%)

70 (51.9)

41 (73.2)

6 (54.5)

23 (47.9)

Mean since the beginning of the symptoms to admission - days

6.9

8

8.5

8

Mean since the beginning of the symptoms to intubation - days

 

8

4.5

8.5

9.5

Mean since the beginning of the symptoms to dead - days

15.3

-

-

20

Mean of hospitalization days - days

9.15

13

-

-

Support measures – n (%)

     

Oxigen

115 (100)

56 (100)

11 (100)

48 (100)

Invasive mechanical ventilation

47 (40.9)

4 (7.1)

7 (63.6)

47 (98)

Table 1 Comparative clinical and epidemiological characteristics of Covid-19 patients. Guayaquil, 2020
* In deceased patients 77.1%> 50 years of age vs. 53.73 of survivors (p=0.01). ^ 52.1% with comorbidity vs 29.9% of survivors (p=0.02)

In deceased patients, the mean age was 54.5 years, 77.1% being over 50 years old compared to 53.73% of survivors (p=0.01). 62.5% were male. All presented dyspnea, 83.3% (n=40) cough and 75% (n=36) fever. 52.1% (n=25) had associated chronic diseases: 27.1% (n=13) Hypertension; 10.4% (n=5) Diabetes Mellitus; 12.5% ​​(n=6) both and 2.1% (n=1) tuberculosis. Only 29.9% (n=20) of the survivors presented comorbidities (p=0.02). The mean days from the onset of symptoms to hospitalization was 8, until intubation 9.5 and 20 until death. 98% (n=43) required invasive mechanical ventilation. Table 1.

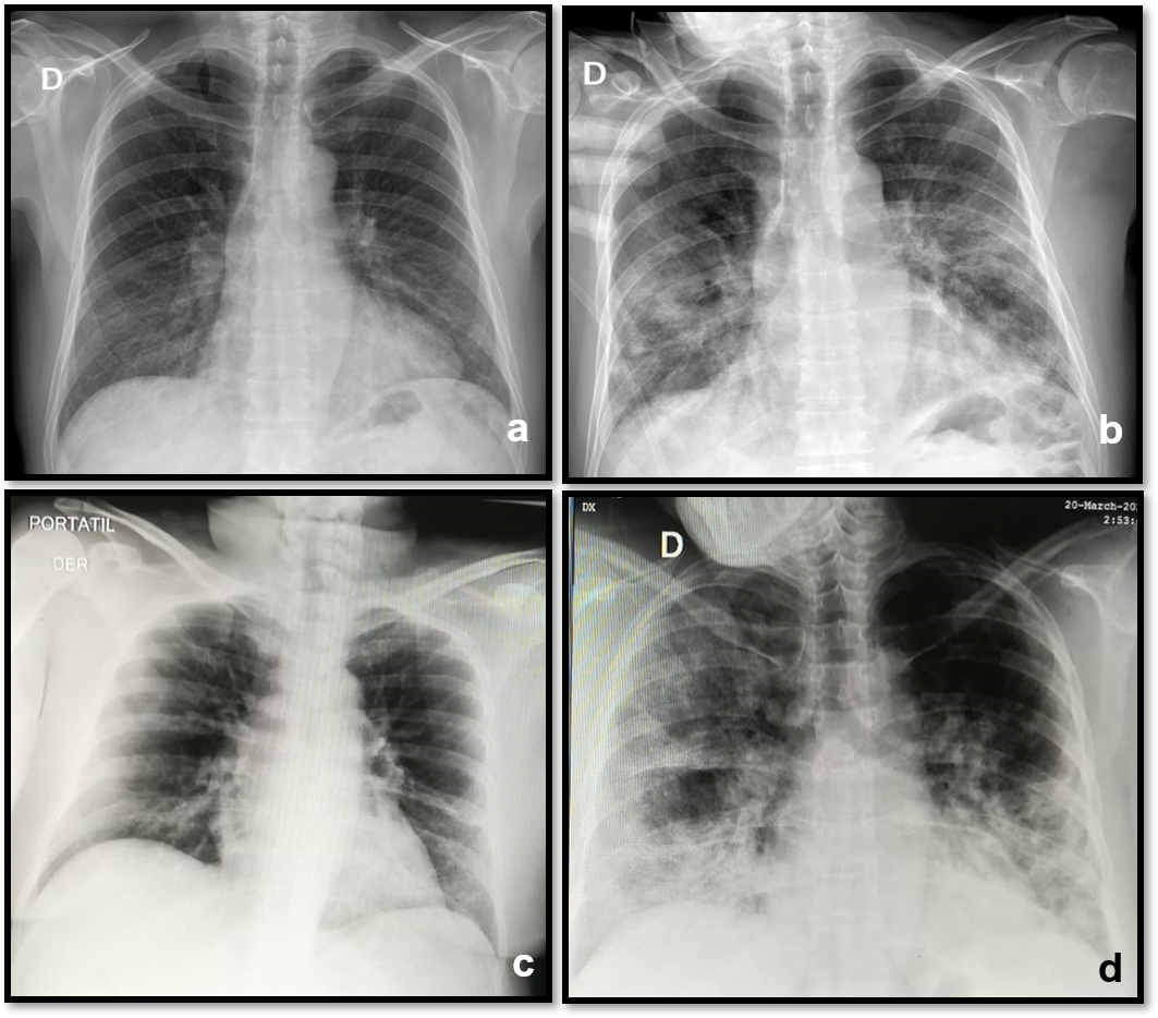
Chest x-rays were performed on 86 patients during the admission, all with bilateral opacity. None presented pleural effusion (Figure 1).

Figure 1 Chest x-ray with the evolution of two patients. a).- Male. 59 years old. March 25. At admission: Interstitial lung pattern in lower zones with right predominance. b).- March 31. in ICU: Right alveolar opacities in mid and lower zones Left hazy opacity in mid and lower zones. Dyspnea got worse and required invasive mechanical ventilation. Dies 14 days later. c).- Female. 59 years old. March 18. At admission: Lower vague hazy densities. d).- March 20. in ICU: Bilateral diffuse interstitial pattern with ground glass opacities in the right upper and lower areas. Greater lower right opacity due to peribronchovascular thickening. Dyspnea got worse and required invasive mechanical ventilation. She had a full recovery and was discharged 23 days later.

The laboratory findings at the time of admission are described in detail in Table 2. 46.9% (n=54) presented leukocytosis; 81.7% (n = 94) neutrophilia and 66.9% (n=77) lymphopenia. Only 5.2% (n=6) presented plateletpenia and 17.4% (n=20) had anemia. 10.4% (n=12) presented a prolonged activated partial thromboplastin time and 77.4% (n=89) prolongate prothrombin time, with an increased International Normalized Ratio (INR) in 37.4% (n=43). Serum creatinine was high on 13.1% (n=15) and random glucose values ​​were high in 13.1% (n=13). 28.7% (n=33) presented hyperchloremia and 8.7% (n=10) hypokalemia, 82.6% (n=95) already had high lactic dehydrogenase (LDH).

 

Reference values                 

All  Patients N=115 (100)                      

Recovered patients n=56 (48.7)                         

Hospitalized patients n=11 (9.6)                         

Death  patients n=48 (41.7)

Blood routine - n (%)

         

Leukocytosis

4000 – 10000mm3                          

54 (46.9)

15 (26.8)

5 (45.5)

30 (62.5)

Neutrophilia

55 – 70 %

94 (81.7)

56 (100)

9 (81.8)

37 (77.1)

Lymphocytopenia      

17 - 45%

77 (66.9)

27 (48.2)

9 (81.8)

41 (85.5)*

Plateletpenia

150 – 450 mm3

6 (5.2)

3 (5.4)

0

3 (6.3)

Anemia

11.5 - 16 g/dL

20 (17.4)

9 (16.1)

1 (9.1)

6 (12.5)

Coagulation function - n (%)

       

Prolongate Activated partial thromboplastin time

25 - 40 seg

12 (10.4)

5 (8.9)

1 (9.1)

7 (14.6)

Prolongate Prothrombin time

9 - 12 seg

89 (77.4)

44 (78.6)

9 (81.8)

31 (64.6)

International normalized ratio (INR) Increased

0.9 - 1.1

43 (37.4)

21 (37.5)

5 (45.5)

15 (31.3)

Blood biochemistry - n (%)

       

Serum creatinine Increased

0.6 - 1.2

15 (13.1)

2 (3.6)

1 (9.1)

9 (18.8)

Random Glucose level Increased

(>200 mg/dL)

13 (11.3)

4 (7.1)

2 (18.2)

6 (12.5)

Lactate dehydrogenase (LDH) Increased                                                    

81-234 U/L

95 (82.6)

46 (82.1)

9 (88.1)

41 (85.4)

Electrolytes - n (%)

         

Hyponatremia

135 - 145 mEq/L

5 (4.3)

3 (5.4)

1 (9.1)

6 (12.5)

Hypokalemia

3.5 – 5.1 mEq/L

9 (7.8)

3 (5.4)

3 (27.3)

4 (8.3)

Hyperchloremia

96 - 106 mEq/L

33 (28.7)

15 (26.8)

4 (36.4)

13 (27.1)

Table 2 Comparative Laboratory results of patients with Covid-19. Guayaquil, 2020
*85.5% lymphocytopenia vs 53.7% of survivors (p<0.001)

In the deceased patients, 62.5% (n=30) presented leukocytosis; 77.1% (n=47) neutrophilia. 85.5% (n=41) presented lymphopenia in contrast to the 53.7 (n=36) of the survivors (p<0.001). 14.6% (n=7) with prolonged activated partial thromboplastin time and 64.6% (n=31) a prolongated prothrombin time with an increased INR in 31.3% (n=15). Serum creatinine was increased in 18.8% (n=9) and random glucose values ​​were elevated in 12.5% ​​(n=6). 27.1% (n=13) presented hyperchloremia and 12.5% ​​(n=6) hyponatremia. 85.4% (n=41) had elevated LDH levels.

Discussion

In Ecuador, the first case of Covid-19 was confirmed on February 29, 2020, with a total of 10,122 confirmed by April 20, 2020.5 In this study, we describe the clinical findings of 115 confirmed Covid-19 patients from Guayaquil, Guayas province, epicenter of the cases described in the country.

Most of the patients presented dyspnea and needed oxygen support, until now where dyspnea is the most frequent symptom, followed by cough and fever.8–10 However, in contrast to other studies reporting low frequency of gastrointestinal symptoms, in our study, 20% of cases presented diarrhea, higher than previously reported.9,11,12 The gastrointestinal (GI) system has been proposed as a potential route of Covid-19 invasion and transmission, probably because of the interaction of SARS-CoV-2 and Angiotensin-Converting Enzyme 2 (ACE2) receptors could cause diarrhea.13,14 Our findings may contribute to understanding of Covid-19 transmission and the importance of GI disorders as one of the primary symptoms of the disease.11,13–15

The case fatality rate in this series was 41.7%, as had been reported in critically patients in Seattle and China9,16. The age of dead patients was significantly higher than that of the survivors, with a mean of 59.4 years being 62.5% male and with some comorbidity in 52.1% of the cases. This is similar to those reported in other studies where the age, male sex and cardiovascular and metabolic chronic diseases are risk factors for severe forms of Covid-19, probably related to secondary immunodeficiency.8,9,16–20

Neutrophilia with lymphopenia has been reported as a common feature in most patients, suggesting that Covid-19, as already described for SARS coronavirus, harms lymphocytes during the replication process in the respiratory mucosa, probably caused by the translocation of peripheral blood lymphocytes to the lungs21 which induces the of cytokines storm, the development of the systemic inflammatory response syndrome that rapidly progresses of multiple organs failure and the alterations evidenced in coagulation factors and detection of elevated LDH values could be early indicators.9,10,22 In our study, 85.5% of the deceased had lymphopenia, so lymphopenia in patients with Covid-19 could be a critical factor associated with disease severity and mortality.

Our study had limitations, first the lack of uniformity in the collection of clinical and epidemiological data on admission. Therefore, many symptoms that are now included were probably not registered. Secondly, laboratory tests were not available on admission for all patients.

Conclusion

In conclusion, the clinical and laboratory characteristics between the group of deceased and the group of survivors, age over 50 years, the presence of comorbidities and lymphopenia, were related to mortality.

Acknowledgments

We thank all the patients involved in the study, the health personnel responsible for medical care and Edna Correa, (MSc), for review the manuscript.

Conflicts of interest

The authors declare have no conflict of interest.

Funding

Authors declare no funding was received for this study.

References

  1. World Health Organization (WHO). Novel coronavirus – China. Jan 12, 2020
  2. Zhu N, Zhang D, Wang W, et al. A novel coronavirus from patients with pneumonia in China, 2019. N Engl J Med. 2020;382:727–733.
  3. World Health Organization. Alocución de apertura del Director General de la OMS en la rueda de prensa sobre la COVID-19 celebrada el 11 de marzo de 2020.
  4. European Centre for Disease Prevention and Control COVID-19 Situation Update, as of 4/20/2020.
  5. Ministerio de Salud Pública. Subsecretaria Nacional de vigilancia de Salud Pública, Dirección Nacional de Vigilancia Epidemiológica. Covid-2019 Ecuador. Boletin 48. 20/04/2020.
  6. Centers for Disease Control and Prevention. Interim guidelines for collecting, handling, and testing clinical specimens from patients under investigation (PUIs) for 2019 novel coronavirus.
  7. Corman VM, Landt O, Kaiser M, et al. Detection of 2019 novel coronavirus (2019-nCoV) by real-time RT-PCR. Euro Surveill. 2020;25(3):2000045.
  8. Chen N, Zhou M, Dong X, Qu J, Gong F, Han Y, Qiu Y, Wang Y et al. Epidemiological and clinical characteristics of 99 cases of 2019 novel coronavirus pneumonia in Wuhan, China: a descriptive study. Lancet. 2020;395:507–513.
  9. Guan WJ, Ni ZY, Hu Y, et al. Clinical Characteristics of Coronavirus Disease 2019 in China [published online ahead of print, 2020 Feb 28]. N Engl J Med. 2020;NEJMoa2002032.
  10. Huang C, Wang Y, Li X, et al. Clinical features of patients infected with 2019 novel coronavirus in Wuhan, China. Lancet. 2020;395:497–506.
  11. Tian Y, Rong L, Nian W, et al. Review article: gastrointestinal features in COVID-19 and the possibility of faecal transmission. Aliment Pharmacol Ther. 2020;51(9):843–851.
  12. Wang D, Hu B, Hu C, et al. Clinical Characteristics of 138 Hospitalized Patients With 2019 Novel Coronavirus–Infected Pneumonia in Wuhan, China. JAMA. 2020;323(11):1061–1069.
  13. Lee IC, Huo TI, Huang YH. Gastrointestinal and Liver Manifestations in Patients with COVID-19. J Chin Med Assoc. 2020;10.1097/JCMA.0000000000000319.
  14. Song Y, Liu P, Shi XL, et al. SARS-CoV-2 induced diarrhea as onset symptom in patient with COVID-19 [published online ahead of print, 2020 Mar 5]. Gut. 2020;69(6):1143–1144.
  15. Yang X, Zhao J, Yan Q, et al. A case of COVID-19 patient with the diarrhea as initial symptom and literature review. Clin Res Hepatol Gastroenterol. 2020;S2210-7401(20)30085–30081.
  16. Bhatraju PK, Ghassemieh BJ, Nichols M, et al. Covid-19 in Critically Ill Patients in the Seattle Region - Case Series [published online ahead of print, 2020 Mar 30]. N Engl J Med. 2020.
  17. Cilloniz C, Polverino E, Ewig S, et al.Impact of age and comorbidity on cause and outcome in community-acquired pneumonia. Chest. 2013;144(3):999–1007.
  18. Chen Q, Quan B, Li X, et al. A report of clinical diagnosis and treatment of nine cases of coronavirus disease 2019. J Med Virol. 2020;1–5.
  19. Shi Y, Yu X, Zhao H, et al. Host susceptibility to severe COVID-19 and establishment of a host risk score: findings of 487 cases outside Wuhan. Crit Care. 2020;24:108.
  20. Yang J, Zheng Y, Gou X, et al. Prevalence of comorbidities and its effects in coronavirus disease 2019 patients: A systematic review and meta-analysis. Int J Infect Dis. 2020;94:91–95.
  21. Xu Z, Shi L, Wang Y, et al. Pathological findings of COVID-19 associated with acute respiratory distress syndrome. Lancet Respir Med. 2020;8(4):420–422.
  22. Zhang G, Zhang J, Wang B, et al. Analysis of clinical characteristics and laboratory findings of 95 cases of 2019 novel coronavirus pneumonia in Wuhan, China: a retrospective analysis. Respir Res. 2020;21(1):74.
Creative Commons Attribution License

©2020 Bravo-Acosta, et al. This is an open access article distributed under the terms of the, which permits unrestricted use, distribution, and build upon your work non-commercially.