Submit manuscript...
Journal of
eISSN: 2377-4312

Dairy, Veterinary & Animal Research

Case Report Volume 8 Issue 1

Mixed natural Escherichia coli, staphylococcus aureus and streptococcus spp. infections in suspected case of fatty liver haemorrhagic syndrome in commercial laying hens in masaka, Nigeria

Adamu O Ogbe,1 Abalaka SE,2 Adamu AM,3 Zakariya A,4 Adikwu AA5

1Department of Veterinary Medicine, Faculty of Veterinary Medicine, University of Abuja, Abuja, Nigeria
2Department of Veterinary Pathology, Faculty of Veterinary Medicine, University of Abuja, Abuja, Nigeria
3Department of Veterinary Teaching Hospital, Faculty of Veterinary Medicine, University of Abuja, Nigeria
4Zaks Veterinary Clinics and Agrovet Services, Federal Capital Territory (F.C.T.) of Nigeria, Abuja, Nigeria
5Department of Veterinary Public Health & Preventive Medicine, College of Veterinary Medicine, University of Agriculture, Makurdi, Nigeria

Correspondence: Adamu O Ogbe, Department of Veterinary Medicine, Faculty of Veterinary Medicine, University of Abuja, Nigeria, Tel 2348034515589

Received: June 26, 2018 | Published: February 22, 2019

Citation: Ogbe AO, Abalaka SE, Adamu AM, et al. Mixed natural Escherichia coli, staphylococcus aureus and streptococcus spp. infections in suspected case of fatty liver haemorrhagic syndrome in commercial laying hens in masaka, Nigeria. J Dairy Vet Anim Res. 2019;8(1):55?59. DOI: 10.15406/jdvar.2019.08.00242

Download PDF

Abstract

Ten (10) carcasses from a flock of about 19,000 Isabrown laying chickens from a commercial poultry farm in Masaka, Nasarawa State, Nigeria were presented for post mortem examination following complaints of sudden mortality (0.74%) and drop in egg production (20.0%) on the farm during the hot-dry period of the year, 2017 with high ambient temperature (41.3°C). The pullets (19,000) were reportedly purchased and brought to the farm as point of lay chickens with full vaccination history and were in cage battery system feeding ad libitum. Although most (65%) of the birds looked apparently healthy but the affected birds were dull in appearance with about 35.00% morbidity. On visit to the farm, greenish faecal droppings were seen on the floor while some eggs were soft-shelled, small sized and cracked with some white pigmentation. Congested wattles and combs, prolapsed vents and pale carcasses were evident on gross examination with hepatomegaly, renomegaly and cardiomegaly. The enlarged liver was pale, friable and ruptured. Fibrinous exudation, perivascular oedema and cellular infiltration with microbial clumps were seen in sampled tissues. Microbial cultures yielded Escherichia coli in the liver and heart and Staphylococcus aureus and Streptococcus spp in the lungs, respectively and were sensitive to Levafloxacin® (+++). There was marked reduction in mortality with marked increase in feed consumption and egg production following Levafloxacin® treatment. In conclusion, mixed natural Escherichia coli, Staphylococcus aureus and Streptococcus spp. infections was diagnosed, as the cause of the mortality on the farm that might be triggered by stress occasioned by the prevailing high ambient temperature amongst others such as the high crude protein (16.80%) and energy feed (2680Kcal/kg).

Keywords: mixed infection, laying chickens, microbiology, histopathology, heat stress

Introduction

Chickens are able to maintain their body temperature within a narrow range1 and therefore, increasing temperature, as usually witnessed during the hot-dry season compared to the cold season in the tropics, adversely impact their heath and production performance. Feed consumption drops at temperatures above 32oC leading to heat stress evidenced by panting and prostration (>35oC) and death (>38oC) because of the absence of sweat glands and the near complete body feather coverings.2 This is in addition to the fact that their respiratory water evaporation rate is not quite high enough to maintain normo-thermia at high ambient temperature and relative humidity.3 The increasing body temperature leads to immunosuppresion4 associated with the dysbiosis of the good gut bacteria leading to increased disease susceptibility,5 in addition to being associated with fatty liver haemorrhagic syndrome in caged chickens fed high energy diets during same hot periods.6 Escherichia coli (E. coli), Staphylococcus aureus and Streptococcus species are commensal microflora that causes diseases in Immunosuppressed chickens due to stress.7 Pathogenic E. coli infection is a disease responsible for significant economic losses in the poultry industry worldwide,8 which may occur concurrently with Staphylococcus’s9 or in various disease conditions either as a primary or secondary pathogen.10 It has been associated with disease conditions like perihepatitis, pericarditis, peritonitis, airsacculitis, panophthalmia, omphalitis, colisepticemia, swollen-head syndrome and salpingitis11 and chickens under stress are more susceptible to infections with E. coli.12 Avian staphylococcosis occur as severe dermatitis in adult chickens13 or as septicaemia,14 especially in layers during hot weather periods.15 Likewise, Streptococcus spp causes localized or septicaemic conditions in chickens characterized by hepatomegaly, renomegaly and splenomegaly and arthritis, pericarditis, myocarditis, osteomyelitis, salpingitis, tenosynovitis and valvular endocarditis in chronic infections where transmission can be via skin injuries, especially in caged laying chickens.15 The need to curb the rising economic losses on the farm necessitated the investigation of the case for prompt control of the disease condition. Similarly, the need to highlight the pathological presentation of the case called for the report, especially as information concerning this kind of mixed infection vis-à-vis it’s pathological presentation in relation to the suspected fatty liver haemorrhagic syndrome in a flock of laying chickens is currently scanty or non-existent in Nigeria. That is why this case report of a mixed natural Escherichia coli, Staphylococcus aureus and Streptococcus spp infection among a commercial layer flock during the hot-dry season in Masaka, Nasarawa State, Nigeria.

Case report

History

A client reported a case of sudden mortality of 140 laying chickens (0.74%) and a drop in egg production (20.00%) from a flock of 19,000 Isabrown laying chickens to the Poultry Unit of Veterinary Teaching Hospital, University of Abuja, Abuja on the 1st of March 2017, a time corresponding to the warmest month within the hot dry season in this part of the World where average daily temperature was above 35oC.16 They were of two batches; 29 weeks and 56 weeks old Isa brown commercial laying chickens on the farm in Masaka, Nasarawa State, Nigeria. History revealed that the birds were on battery cage system and were fed a commercial layer mash (Hybrid feed®) ad libitum. The birds arrived on the farm as point of lay chickens (17 weeks old) with all vaccinations dully administered but awaiting the booster dose of LaSota (Newcastle disease) vaccination.

Flock and farm inspection

Physical examination of the laying flock was carried out on the farm to observe obvious visible clinical signs. The laying chickens were caged (three-tier) and housed in open-sided pens covered with wire mesh of about 10 metre apart with no trees around to provide the much needed shade. Feed were reportedly served twice daily within the early hours of the day (6.00 am) and around sunset (4.00 pm) so as to minimize the amount of feeding during the hottest mid-day while fresh ample drinking water from the borehole in the farm was provided ad libitum via automatic nipple drinkers and withholding water tanks located within each pen. History further revealed that chicken wastes (litter) were evacuated from each pen once every three days. Daily average ambient temperature, morbidity and mortality as well as eggs production and their appearance were recorded. The farm location at Masaka in Nasarawa State usually experience high environmental temperature during the hot dry period.

Feed collection and analysis

Feed sample was randomly collected for proximate analysis (crude protein, crude fibre, fat, metabolizable energy, calcium and phosphorus) as described by the Association of Official Analytical Chemists recommended methods.17

Post-mortem examination and sample collection

A detailed post-mortem examination was conducted on ten carcasses that were presented for necropsy. The gross lesions observed on the organs of each carcass were properly described and recorded. Photographs of the lesions were taken using a mobile camera, Techno-C8 (13.0 megapixels) and later transferred to an hp-laptop and labeled appropriately. However, sample of the liver, kidney, heart and spleen from only three carcasses were taken for histopathological evaluation according to standard procedure18 because the other birds were already undergoing autolytic changes.

Microbiological analysis

Microbiological swabs were aseptically obtained from the liver, lung and heart samples for culture and identification as described by;19 while antibiotic sensitivity tests were performed using the Disk diffusion method as described by Kirby-Bauer.20

Data collection and analysis

The observed gross lesions on harvested organs of each carcass were properly recorded, described and analyzed using descriptive statistics (simple percentages) according to the method21 as follows:

Number observed Total number x100 MathType@MTEF@5@5@+= feaagKart1ev2aqatCvAUfeBSjuyZL2yd9gzLbvyNv2CaerbuLwBLn hiov2DGi1BTfMBaeXatLxBI9gBaerbd9wDYLwzYbItLDharqqtubsr 4rNCHbGeaGqiVCI8FfYJH8YrFfeuY=Hhbbf9v8qqaqFr0xc9pk0xbb a9q8WqFfeaY=biLkVcLq=JHqpepeea0=as0Fb9pgeaYRXxe9vr0=vr 0=vqpWqaaeaabiGaciaacaqabeaadaqaaqaaaOqaaKqbacbaaaaaaa aapeWaaSaaa8aabaWdbiaab6eacaqG1bGaaeyBaiaabkgacaqGLbGa aeOCaiaabckacaqGVbGaaeOyaiaabohacaqGLbGaaeOCaiaabAhaca qGLbGaaeizaaWdaeaapeGaaeivaiaab+gacaqG0bGaaeyyaiaabYga caqGGcGaaeOBaiaabwhacaqGTbGaaeOyaiaabwgacaqGYbaaaiaabI hacaaIXaGaaGimaiaaicdaaaa@5373@

Results

Physical appearance of the flocks

Physical clinical examination of the flocks showed apparently healthy laying chickens with no obvious visible clinical signs or symptoms of any disease except the greenish faecal dropping on the floor while affected birds were dull in appearance. Some of the eggs have soft shells, small size, cracks and white pigmentation on them. Morbidity was about 35%. Daily average ambient temperature was high (41.3oC) within the crisis period. Egg production dropped from 80% to about 60%. There was reduction in the average mortality pattern before (0.31%), during (0.10%) and after (0.07%) the diagnosis and treatment, respectively.

Gross pathology

The gross lesions observed at postmortem were congested comb and wattles (30.00%), prolapsed vent (40.00%) and pale carcasses (100.00%) in addition to pale, friable and ruptured liver (100.00%), cardiomegaly (10.00%) and renomegaly (10.00%). Others were congested spleen (10.00%), congested lungs (100.00%), frothy exudation within the trachea (20.00%), congested and ruptured ovarian follicles (100.00%) and shell-less eggs within the oviduct and/or abdominal cavity (100.00%) as shown in Figure 1.

Figure 1 The abdominal cavity of a pullet diagnosed of mixed bacterial infection on a layer flock in Masaka, Nasarawa State, Nigeria. Note the congested and ruptured ovarian follicles (arrows) and shell-less egg within the abdominal cavity (A).

Laboratory results

Microbiological analysis

Escherichia coli growths were obtained from the liver and heart samples after 24h incubation at 37°C, while cultures of the lungs yielded Staphylococcus aureus and Streptococcus spp., respectively.

Antibiotic sensitivity test

The organisms were sensitive to Levofloxacin (+++), Ceftriazone (+++), Netillin (+++) and slightly sensitive to Gentamycin (++) but resistant to Tetracycline and Amoxyclav (Amoxicillin-500 mg and clavulanic acid-125mg) based on antibiotic sensitivity test.

Feed proximate analysis

Table 1 showed the proximate analysis of the feed. The crude protein (16.80%) was slightly high compared to the normal reference values.

S/no.

Parameters

Values

Reference values*

1

Crude protein (%)

16.8

16

2

Crude fibre (%)

4.20

-

3

Fat (%)

3.60

-

4

Calcium (%)

4.20

4.75

5

Phosphorus (%)

0.50

0.35

6

Methionine (%)

0.45

0.38

7

Lysine (%)

0.85

0.83

8

Metabolizable energy (Kcal/kg)

2680

2550 – 2825

Table 1 Proximate analysis of feed of pullets diagnosed of mixed bacterial infection on a layer flock in Masaka, Nasarawa State, Nigeria
*PoultryHub40

Histopathological evaluation

Histopathological changes in the liver, kidney, heart and spleen of affected layers are as shown in Table 2 and Figures 2‒5. The photomicrograph of the liver showed vacuolation and organisms within the central veins and sinusoids (Figure 2). There were interstitial cellular infiltration of the kidneys (Figure 3) and heart (Figure 4) with abscess around the splenic artery and lymphoid depletion in the spleen (Figure 5). Table 2 showed that 33.33% of the examined liver had fibrinous exudation and cytoplasmic vacoulation. Abscess was found in all (100.00%) of the liver, kidneys and heart while 66.67% of the examined spleen had abscess formation and fibrinous exudation. All the kidneys (100.00%) that were examined had cellular infiltration while about 33.33% of the hearts had cellular infiltration and perivascular oedema, respectively. All the spleen (100.00%) had perivascular oedema.

Histopathological changes (incidence)

Liver

Kidney

Heart

Spleen

FE (33.3%)

-

-

FE (66.67%)

CV (33.3%)

-

-

-

AB (100.0%)

AB (100.0%)

AB (100.0%)

AB (66.67%)

-

CI (100.0%)

CI (33.3%)

-

-

-

PO (33.3%)

-

-

-

-

CD (100.0%)

Table 2 Histopathological changes in the liver, kidney, heart and spleen of pullets diagnosed of mixed bacterial infection on a layer flock in Masaka, Nasarawa State, Nigeria
FE, Fibrinous exudation; CV, Cytoplasmic vacuolation; AB, Abscess; CI, Cellular infiltration; PO, Perivascular oedema

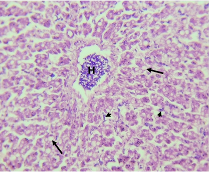
Figure 2 The photomicrograph of the liver of a pullet diagnosed of mixed bacterial infection on a layer flock in Masaka, Nasarawa State, Nigeria. Note the cytoplasmic vacuolations (arrows) and organisms within the central vein (H) and sinusoids (arrow heads). H & Ex342.

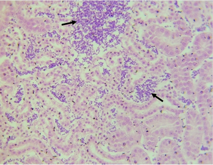
Figure 3 The photomicrograph of the kidney of a pullet diagnosed of mixed bacterial infection on a layer flock in Masaka, Nasarawa State, Nigeria. Note the interstitial cellular infiltration with the organisms (arrows). H & E x 316.

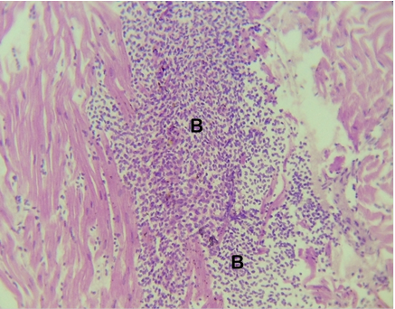
Figure 4 The photomicrograph of the heart of a pullet diagnosed of mixed bacterial infection on a layer flock in Masaka, Nasarawa State, Nigeria. Note the cellular infiltration with the organisms (B). H & Ex291.

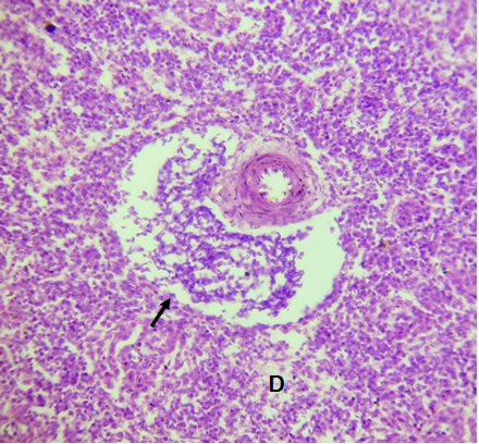
Figure 5 The photomicrograph of the spleen of a pullet diagnosed of mixed bacterial infection on a layer flock in Masaka, Nasarawa State, Nigeria. Note the abscess around the splenic artery (arrow) and the lymphoid depletion (D). H & Ex265.

Health status

The daily improvement in the health status of the layer flocks in terms of increased average daily feed intake (19.83%) and daily eggs production (76.26%) are as presented in Table 3. The layers also showed a reduction in the daily mortality (0.07%) after treatment.

S/no.

Period

Average daily
mortality pattern

Average daily
egg production (%)

Average daily feed intake
(g/bird/day) (%)

1

Before treatment

59

9960 (52.42%)

88.16 ( 0.00% )

2

During treatment

18

11850 (62.37%)

101.50 (15.13%)

3

After treatment

13

14490 (76.26%)

105.64 (19.83%)

Table 3 Daily improvement in the health status of pullets diagnosed of mixed bacterial infection on a layer flock in Masaka, Nasarawa State, Nigeria

Treatments

Levofloxacin at 10 mg/kg orally for 5 days consecutively was prescribed and administered as recommended by the manufacturer. The birds were also provided with cool potable water with multivitamins (vitalyte®) added for 5days.

Discussion

In Nigeria, high ambient temperature and high relative humidity occurs at the beginning of the rainy season (around March every year) causing extreme heat stress in poultry with its attendant consequences.22 This may be further exacerbated by the feeding of slightly high crude protein and energy feed (layer mash) to chickens already in confinement within this period as observed in this case. This is because high ambient temperature and high relative humidity have been reported to predispose birds to some bacterial infections.9,23 Similarly, chickens under stress are more susceptible to infections with E. coli12 that may also occur concurrently with Staphylococci infection.9 This may be due to the immunosuppressive effects of heat stress4 as the hot-dry climatic environments are associated with heat stress, waning immunity, inefficient feed usage and death in chickens.24 Laying hens exposed to high environmental temperatures or heat stress was reported to decrease egg shell thickness.25 In this case, some of the eggs were soft shelled, thin and cracked possibly due to adverse effect of heat stress. In this case, a presumptive diagnosis of fatty liver haemorrhagic syndrome was made based on the history of sudden mortality in the face of heat stress, slightly high crude protein (16.80%) and metabolizable energy (2680Kcal/Kg feed) and gross lesions observed on visceral organs (such as pale, friable and ruptured liver) in all the carcasses. Fatty liver haemorrhagic syndrome is a metabolic disease of laying chickens characterized by excessive fat accumulation in the liver and haemorrhage due to rupture of the liver.26 Several factors were suggested in the occurrence of the disease such as the consumption of high energy feed, high environmental temperature or heat stress and lack of exercise due to confinement.26‒29 The involvement of oestrogen, which is required for synthesis of lipid and yolk deposition, has been suggested due to observation of elevated serum calcium and cholesterol in chickens from flocks with fatty liver haemorrhagic syndrome.26,30

A final diagnosis of mixed bacterial infections due to different causative organisms (E. coli, Staphylococcus aureus and Streptococcus spp) was therefore, made in this case based on the morphological and biochemical characterization of bacterial growths from liver, heart and lung samples of sampled birds. This in addition to the observed marked increase in average feed consumption and average egg production with a marked reduction in daily mortality after treatment without changing the feed. The positive response was largely due to the sensitivity of the microbes to the administered antibiotic as resistance often develops with continuous, indiscriminate and abusive use of these antibiotics for either growth promotion or disease prevention.31 Therefore, the place of selective and judicious use of antibiotics and the need for prompt sensitivity test before such use on poultry farms cannot be over emphasized. Anyanwu et al.,32 reported similar reduction in mortality with improved egg production in laying birds following antibiotic therapy based on sensitivity test. The observed diffuse hepatic cytoplasmic vacuolations are fatty degenerative changes that may be associated with colibacillosis and/or fatty liver haemorrhagic syndrome33,34 or with the slightly high protein and energy feed. The presence of microbes within hepatic central veins and sinusoids showed that bacterial seeding into circulation takes place within the organ35 leading to the ensuing bacterial septicaemia. The observed cellular infiltrations were body inflammatory responses to the presence and activities of the microbes, which may be strongly localized as was in all the evaluated organs to form abscess. The observed fibrinuous exudation within the liver and spleen may be indicative of systemic activation of the coagulative system resulting in impaired microcirculation35 with its attendant systemic complications. These fibrinous exudation, cellular infiltration and perivascular oedema are indicative of inflammatory response associated with the infections36‒38 that are suggestive of septicaemia as described by Smyth et al.,14 and Omer et al.31 Chieville et al.,39 reported similar mixed E. coli, Staphylococcus hyicus (instead of S. aureus) and Streptococcus spp infection in chickens and turkeys. This may be due to the fact that these organisms are usually part of the normal microflora of chickens only to cause disease under stress when the immune status of such birds is compromised.40 In conclusion, mixed E. coli, Staphylococcus aureus and Streptococcus spp infections was diagnosed from a suspected case of fatty liver haemorrhagic syndrome in a commercial laying chicken flocks in Masaka, Nasarawa State, Nigeria. Typhoon standing fans were recommended to be placed in each corner of the pen to increase the speed of air circulation in attempts to control heat stress while the farm was also advised to introduce ice blocks into withholding water tanks inside each pen by mid-day to ensure cool drinking water supply to the birds, especially at those hottest parts of the day. Similarly, the farm was strongly advised to immediately adjust its crude protein and energy content of feed while admonished to be more sensitive to seasonal feed requirement of laying chickens henceforth.

Acknowledgments

None.

Conflicts of interest

The author declares that there is no conflict of interest.

References

  1. Strong RA. The effect of heat stress on immunity in laying hens and dairy cattle. Prudue e‒pubs.
  2. Reddy ET, Ramya P. Heat stress strategies for layers in hot climates. 2015.
  3. Dawson WR, Whittow GC. Regulation of body temperature. 2000;343‒390.
  4. Lara L, Rostagno MH. Impact of heat stress on poultry production. Animals. 2013;3(2):356‒369.
  5. Zhang P, Yan T, Wang X, et al. Probiotic mixture ameliorates heat stress of laying hens by enhancing intestinal barrier function and improving gut microbiota. Italian Journal of Animal Science. 2017;16(2):292‒300.
  6. Leeson S. Fatty liver syndrome. In: Khan CM. (editor). The Merck Veterinary Manual. 9th 2005;2226‒2227.
  7. Wray C, Davies RH. Enterobacteriacae. In: Jordan F, Pattison M, Alexander D, et al (editors.). Poultry Diseases. 5th W.B. Saunders, Philadelphia. 2001;95‒130.
  8. Stacy AK, Mitchell NM, Maddux JT, et al. Evaluation of the prevalence and production of Escherichia coli common pilus among avian pathogenic coli and its role in virulence. PLOS ONE. 2014;9(1):e86565.
  9. Chauhan HVS, Roy S. Poultry diseases, diagnosis and treatment. New Age International Publishers. 2007.
  10. Yousseff FM, Mona AA, Mansour DH. Clinical, pathological and bacteriological investigations on air sacculitis in chickens in Ismaila Province, Egypt. Journal of Agricultural and Veterinary Sciences. 2008;1(2):71‒79.
  11. Saif YM, Barnes HJ, Glisson JR, et al. Disease of poultry. 11th 2003;631‒652.
  12. Abdu PA, Saidu L. Common poultry diseases in Nigeria and their control. In: Poultry production in Nigeria. Proceedings of the training manual on National Training Workshop on Poultry Production in Nigeria. In: Gefu JO, Adeyinka IA, Sekoni AA (editors). National Animal Production Research Institute. 2002;129‒145.
  13. Greene JA, McCracken RM, Evans RT. A contact dermatitis of broilers ‒ clinical and pathological findings. Avian Pathology. 1985;14(1):23‒38.
  14. Smyth JA, McNamee PT. Staphylococci, streptococci and enterococci. In: Pattison M, McMullin PF, Brandbury JM, et al (editors). Poultry diseases. 6th 2008;191‒199.
  15. Wages DP. Staphylococcosis and Streptococcosis. The Merck Veterinary Manual, 9th 2005;2264‒2267.
  16. Climate: Average weather in Abuja, Nigeria. 2018.
  17. Methods of Analysis of the Association of Official Analytical Chemists.14th edition. Association of Official Analytical Chemists. 1990.
  18. Bancroft JD, Cook HC. Manual of histological techniques and their diagnostic application. Histopathology. 1995;289‒305.
  19. Cheesbrough M. District laboratory practice in tropical countries. Part 2. Second Edition. 2006;157‒159.
  20. European Committee on Antimicrobial Susceptibility Testing (EUCAST). Disk diffusion manual. 2013.
  21. Olawuyi JF. Biostatistics: A foundation course in health sciences. 1st Edition. 1996;1‒221.
  22. Ayo JO, Obidi JA, Rekwot PI. Effects of heat stress on the well‒being, fertility and hatchability of chickens in the Northern Guinea savannah zone of Nigeria: A review. ISRN Veterinary Science.
  23. Ganapathy K, Salamt MH, Lee CC, et al. Concurrent occurrence of salmonellosis, colibacillosis and histomoniasis in a broiler flock fed with antibiotic free commercial feed. Avian Pathology. 2000;29(6):639‒642.
  24. Shittu A, Raji AA, Madugu SA, et al. Predictors of death and production performance of layer chickens in opened and sealed pens in a tropical savannah environment. BMC Veterinary Research. 2014;10:214.
  25. Bozhurt M, Kucukyilmaz K, Catli AU, et al. Performance, egg quality and immune response of laying hens fed diets supplemented with mannan‒oligosaccharide or an essential oil mixture under moderate and hot environmental conditions. Poultry Science. 2012;91(6):1379‒1386.
  26. Shini S, Bryden WL. Occurrence and control of fatty liver haemorrhagic syndrome (FLHS) in caged hens. A report for the Australian Egg Corporation Limited. 2009;1‒62.
  27. Annison EF. Lipid metabolism. In: Freeman (Editor). Physiology and biochemistry of the domestic fowl. 1983;4:165‒174.
  28. Squires EJ, Leeson S. Aetiology of fatty liver syndrome in laying hens. British Veterinary Journal. 1988;144(6):602‒609.
  29. Shini S, Stewart GD, Shini A, et al. Mortality rates and causes of death in laying hens kept in cage and alternative housing systems. In: Martin DG. (editors). Book of Abstracts.12th European Poultry Conference, Verona, Italy. 2006;62(60).
  30. Miles RD, Harms RH. An observation of abnormally high calcium and phosphorus levels in laying hens with fatty liver syndrome. Poultry Science. 1981;60(2):485‒486.
  31. Omer MM, Abusalab SM, Gumaa MM, et al. Outbreak of colibacillosis among broiler and layer flocks in intensive and semi intensive poultry farms in Kassala State, Eastern Sudan. Asian Journal of Poultry Science. 2010;4:173‒181.
  32. Anyanwu MU, Ezeasor C, Ngwu MI. Case report of misdiagnosis of avian colibacillosis in laying birds. Animal Research International. 2014;11(2):1998‒2003.
  33. Crespo R, Shivaprasad HL. Developmental, metabolic and other non-infectious disorders. Diseases of Poultry, 11th 2003;1055‒1102.
  34. Riaz AM, Aslam A, Rehman M, et al. Pathological investigation and molecular detection of avian pathogenic E. coli serogroups in broiler birds. Journal of Veterinary Science and Technology. 2016;7:373.
  35. Arp LH. Pathology of Spleen and liver in turkeys inoculated with Escherichia coli. Avian Pathology. 1982;11:263‒279.
  36. Dutta P, Borah MK, Sarmah R, et al. Isolation, histopathology and antibiogram of Escherichia coli from pigeons (Columba livia). Veterinary World. 2013;6(2):91‒94.
  37. Hostetler DE. Integumentary system. In: McVey DS, et al., editors. Veterinary Microbiology. 2013.
  38. Montau RJ. Comparative pathology of inflammation in the higher vertebrates (reptiles, birds and mammals). Journal of Comparative Pathology. 1988;99:1‒26.
  39. Cheville NF, Tappe J, Ackermann M, et al. Acute fibrinopurulent blepharitis and conjunctivitis associated with Staphylococcus hyicus, Escherichia coli, and Streptococcus in chickens and turkeys. Veterinary Pathology. 1988;25:369‒375.
  40. Nutritional requirement of egg laying chickens. 2017.
Creative Commons Attribution License

©2019 Ogbe, et al. This is an open access article distributed under the terms of the, which permits unrestricted use, distribution, and build upon your work non-commercially.