Submit manuscript...
Journal of
eISSN: 2377-4312

Dairy, Veterinary & Animal Research

Case Report Volume 8 Issue 1

Conservative treatment of transverse metacarpal fractures in a four-months-old dog using a modified closed coaptation technique

Konstantinos Bikos

Veterinary Surgeon, Cockburn Veterinary Group, Leicestershire, UK

Correspondence: Konstantinos Bikos, Veterinary Surgeon, Cockburn Veterinary Group, Leicestershire, UK

Received: June 23, 2018 | Published: January 22, 2019

Citation: Bikos K. Conservative treatment of transverse metacarpal fractures in a four-months-old dog using a modified closed coaptation technique. J Dairy Vet Anim Res. 2019;8(1):38?40. DOI: 10.15406/jdvar.2019.08.00240

Download PDF

Case description

A four-months-old, female, crossbreed dog was presented with complains of acute pain and lameness of the left forelimb after jumping from a height and landing on its’ front legs. The owner reported that the injury had occurred just 30-minutes before presentation. On presentation the dog was bright, alert and responsive but painful. The general clinical examination was unremarkable apart from increased heart rate of 170beats per minute (ref. 65–140) and increased respiratory rate of 45breaths per minute (ref. 10–35), findings that were deemed consistent with the presence of underlying acute pain. The orthopaedic examination of the right forelimb was unremarkable. Examination of the left forelimb revealed acute pain with a score of 24 at the Glasgow Short Form Composite Measure Pain Scale (CMPS-SF),1 and gait assessment revealed non-weight bearing lameness of 10/10,2 with concurrent non-reducible swelling of the distal antebrachium and carpus that extended to and included the metacarpal region. There was also presence of moderate crepitus at the metacarpals and distal limb valgus. No neurological or proprioceptive deficits were observed during neurological examination. The left scapula, humerus, elbow and proximal antebrachium were evaluated and the examination was unremarkable.

Differential Diagnoses

The problems list included

  1. Acute pain,
  2. Left forelimb distal swelling,
  3. Left forelimb non-weight bearing lameness,
  4. Crepitus and valgus

Due to the history of recent acute injury, examination findings and the age of he animal, a differential diagnoses list was conducted that included in order of significance:

  1. Carpal fractures, luxation or subluxation.
  2. Metacarpal fractures and/or symphysiolysis.
  3. Distal antebrachium fracture and/or symphysiolysis.
  4. Joint and/or tendon injuries.

Any of the conditions included in the differential could be co-existing with any other and all could explain the problems list, apart from joint or tendon injuries that could not exist as the only condition due to the presence of crepitus at the metacarpal region that could only be present if there was a bone fracture and/or a joint luxation or subluxation.

Diagnostic approach and diagnosis

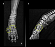
The animal was admitted for further diagnostic investigations and pain management. Emergency pain management included the administration of carprofen (Rimadyl; Zoetis) 4mg/kg as a single subcutaneous injection. The animal was prepared for general anaesthesia in order to acquire radiographs of the affected limp. Anaesthetic premedication included the administration of xylazine (Rompun; Bayer) 1mg/kg intramuscular injection in conjunction with atropine (Atropine Sulfate; Bradex) 0.01mg/kg intramuscular injection. Induction was achieved with propofol (PropoFlo; Zoetis) 2mg/kg administered intravenously in a bolus rate. Anaesthesia was maintained with a mixture of isoflurane (IsoFlo; Abbott) 1.5% with 20% oxygen in a constant inhalation rate administered via a cuffed endotracheal tube throughout. One lateral (LT) and one dorsopalmar (DP) radiograph of the carpo-metacarpal region were acquired, incorporating the distal antebrachium (Photo 1). Radiographs revealed the presence of single transverse shaft fractures of the third (CIII), fourth (CIV) and fifth (CV) carpal bones, located at the proximal second fourth (2/4) of the carpal body in all carpals. A moderate caudo-lateral dislocation of the distal fracture fragments was present in all three carpals. There was also a symphysiolysis of the distal symphysis of the second (CII) carpal bone right above the dorsal sesamoid, with lateral dislocation. Nothing abnormal was detected on the distal antebrachium, the carpus and the phalanges. These findings were deemed consistent with the presence of pain, swelling, abnormal gait, crepitus and valgus and would have resulted directly from an acute forelimb injury as also described by the animal’s history.3‒5

Photo 1 Dorsopaimar (a) and Lateral (b) radiograph of the metacarpais showing the fractures in the yellow circles. Notice the slight valgus of the forelimb evident on the dorsopalmar projection.

Therapeutic management

The management of metacarpal fractures can be either conservative, following a closed reduction and coaptation approach, or surgical where multiple techniques have been described including either internal or external fixation or a combination of both.6,7 To date, there is no consensus in the veterinary literature on which approach should be preferred.3 but general considerations when deciding the approach include the age of the animal, the type of the fractures, the extend of the bone and soft tissue damage, whether the fractures are open or closed, the presence of infection in old fractures and the concurrent presence of fractures in neighbouring bones.3‒6 In this case the closed reduction and coaptation technique was elected, as described by various authors for single or dual metacarpal fractures.4‒8 but modified due to fractures present on all metacarpals (Figure 1). The animal was placed on Sternal recumbency under deep anaesthesia. An Allis tissue forceps was placed on the nail of the 2nd digit and one on the nail of the 4th digit and the ends of the forceps were tied to a steady point on the wall via a traction rope in order to achieve better distribution of the traction force on all digits, whilst making certain that the limb and rope are on a straight line and exactly parallel to the table surface. Gentle and steady distal-to-proximal traction was applied on the limb with the surgeon’s left hand placed right proximally to the carpus while the right hand applied lateral-to-medial pressure on the metacarpal area in order to achieve axonal alignment. Under traction, a modified Robert-Jones splint was applied to provide stabilization. Postoperative radiographs showed good fracture reduction and alignment (Photo 2). Very strict rest was advised for 7days postoperatively and pain management was continued at home with carprofen at 4mg/kg orally once daily for 18 days. Gradual increase in exercise was advised after day 7 to encourage use of the limb and assist fracture healing. The splint was inspected on the 3rd and 12th day postoperatively for any signs of dressing complications such as vascular compromise of the limb or pressure-dermatitis, with no signs of complications. Conscious radiographs taken 18days postoperatively (Photo 3) revealed healing of the fractures and the animal was confident in using the limb with no indication of lameness. The splint was removed at day 20 and a small course of physiotherapy was followed for 2weeks due to moderate postoperative muscle atrophy. Follow-ups at 6 weeks and 3months after reduction, confirmed full recovery and return to normal activity.

Figure 1 Reduction technique showing the forces applied during closed reduction to achieve anatomical alignment.

Photo 2 Dorsopalmar radiograph after closed reduction.

Photo 3 Postoperative radiographs 18years after closed reduction. Dorsopalmar (a) and lateral (b) projections.

Discussion

The prognosis following either technique, open or closed, varies significantly in retrospective studies as some authors report complications at 16 percent of dogs treated conservatively, 12percent of dogs treated surgically and 37 percent of dogs treated with combined therapy but the variations in the type and severity of these injuries make it difficult to definitively propose a preferred approach.3‒8 Some authors agree that a conservative, closed coaptation approach could be elected when the fracture is recent (>24-48hours), is not severe and displaced, is closed and not infected and incorporates only one or two metacarpal bones not including weight-bearing metacarpals such as the CIII or CIV.4 Other authors however would approach conservatively cases with fractures of the CIII and CIV as long as the rest of the requirements are met, arguing that an open approach could potentially compromise the blood flow of the periosteum, especially in smaller animals, thus delaying healing and facilitating infection or skin necrosis over the orthopaedic implant.5 In this case the author elected to treat the fractures with a closed reduction and coaptation technique, despite the fact that weight-bearing metacarpals were fractured, specifically the CIII and CIV, including the presence of symphysiolysis of the distal symphysis of the CII. The decision was based on

  1. The uncomplicated nature of the fractures that were simple transverse, minimally dislocated and closed,
  2. The absence of neurological or proprioceptive deficits,
  3. The fact that the injury was very recent (approx. 30 minutes to presentation),
  4. The age of the animal (4-months-old) which presented great potential for fast healing and quick return to normal use of the limb but also presented restrains for an open technique, such as potential complications regarding bone blood flow and implant adaptation on an immature and fast growing bone,
  5. The small size of the animal that made the reduction technique much easier to successfully perform,
  6. Financial restrains of the owner who could not afford a surgical, thus more expensive, approach.

Anatomical alignment was achieved more easily in this case due to the uncomplicated and minimally displaced nature of the fractures. However, even 50percent overlap of the fracture ends is considered acceptable.5 Some authors report lameness of 18-73percent after conservative or even surgical reduction of metacarpal fractures.9 The young age and simple nature of the fractures in this case possibly contributed to the positive outcome. One concern in this case was the presence of a symphysiolytic fracture on the CII, but as this digit is not weight-bearing, the effect of an early union on the gait of the animal was considered minimal.

Acknowledgements

None

Conflits of interest

The author declares that there are no conflicts of interest.

References

Creative Commons Attribution License

©2019 Bikos. This is an open access article distributed under the terms of the, which permits unrestricted use, distribution, and build upon your work non-commercially.