Submit manuscript...
Journal of
eISSN: 2373-4396

Cardiology & Current Research

Case Report Volume 14 Issue 4

Trilogy of fallot: a rare congenital heart disease

Lim Wei Juan,1 Neerusha Kaisbain,2 Kim Heng Shee3

1Department of Cardiology, National Heart Institute, Kuala Lumpur, Malaysia
2Department of Medicine, Hospital Sultanah Aminah Johor Bahru, Johor, Malaysia
3Department of Cardiology, Hospital Sultanah Aminah Johor Bahru, Johor, Malaysia

Correspondence: Lim Wei Juan, National Heart Institute, Kuala Lumpur, Malaysia , Tel +60197738765

Received: July 19, 2021 | Published: August 17, 2021

Citation: Lim WJ, Neerusha K, Kim HS. Trilogy of fallot: a rare congenital heart disease. J Cardiol Curr Res. 2021;14(4):103-105. DOI: 10.15406/jccr.2021.14.00523

Download PDF

Abstract

Background: Congenital heart diseases occur in around 1% of the liveborn. Trilogy of Fallot is a rare congenital heart disease comprising of pulmonary valve stenosis, atrial septal defect, and right ventricular hypertrophy.

Case: We describe a patient who has incidental findings of pansystolic murmur during physical examination and was ultimately diagnosed with severe pulmonary stenosis with large atrial septal defect on transthoracic echocardiography. Possible management plan was discussed with patient including combined percutaneous atrial septal defect occlusion and pulmonary balloon valvuloplasty in treating Trilogy of Fallot.

Conclusion: Although the Trilogy of Fallot is a rare congenital heart disease, we need to be vigilant to identify this combination as the early treatment with percutaneous transcatheter or surgical correction can prevent long term deleteriously complications.

Keywords: trilogy of fallot, pulmonary stenosis, atrial septal defect, congenital heart disease, right ventricular hypertrophy

Abbreviations

ASD, atrial septal defect; RVH, right ventricular hypertrophy; RBBB, right bundle branch block; RAD, right axis deviation; PFO, patent foramen ovale; PS, pulmonary stenosis

Introduction

Congenital heart diseases occur around 1% in the liveborn, which can be classified into cyanotic and acyanotic congenital heart disease.1 Trilogy of Fallot is a rare congenital heart disease comprising of pulmonary valve stenosis, atrial septal defect (ASD), and right ventricular hypertrophy (RVH) as compare to more reported tetralogy of Fallot.2 Combination of severe pulmonary stenosis (PS) with a large atrial septal defect is uncommon and this combination has prevented significant left to right shunt due to right ventricular outflow tract obstruction by severe pulmonary stenosis.2 This has protected the pulmonary bed till adulthood.

ASD coexisting with pulmonary valve stenosis is a rare condition but has been described in genetic disorders such as Noonan Syndrome.3 In this case, we describe a patient who has incidental physical findings of pansystolic murmur and was eventually diagnosed to have Trilogy of Fallot.

Case presentation

A 47years old foreigner gentleman who has no previous medical illness, presented to our center for vomiting, diarrhea, and abdominal pain for 2days and treated as food poisoning.

During presentation, he was normotensive but tachycardic. He was clinically dehydrated with coated tongue, no finger clubbing or cyanosis. Cardiovascular examination noted grade 3 pansystolic murmur loudest at the pulmonary area with no radiation. Other systemic examinations were insignificant with no sign of Noonan syndrome. He was admitted and planned for further management of his food poisoning and pansystolic murmur.

Electrocardiography showed right bundle branch block (RBBB) with evidence of right ventricular hypertrophy (RVH), right axis deviation (RAD), dominant R wave in lead V1, and dominant S wave in lead V5 and V6 (Figure 1) Blood investigation was unremarkable.

Figure 1 Electrocardiography showing RBBB, RAD with RVH.

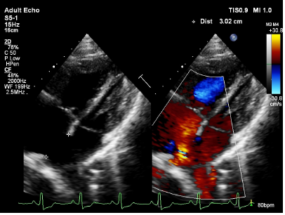
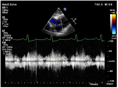
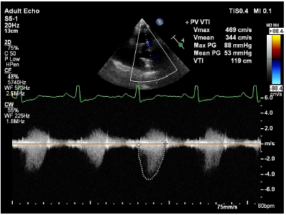
Transthoracic echocardiography showed dilated right atrium, right ventricle with a large atrial septal defect (ASD) with bi-directional shunt and severe pulmonary valve stenosis (Figures 2–4). Bubble's study confirmed the diagnosis of atrial septal defect (Figure 5) Parasternal long-axis view M-mode showed right ventricular hypertrophy of 9mm (Figure 6). Further plan for trans-esophagealechocardiography was discussed with patient but due to financial constraints as a foreigner, he decided to continue investigations in his home country. The patient was rehydrated with intravenous fluid therapy and was discharged with referral letter to home country.

Figure 2 Large ASD (3cm).

Figure 3 Pulse wave doppler over ASD showing bidirectional shunt.

Figure 4 Severe pulmonary valve stenosis.

Figure 5 Bubble study showing presence of bubble in left ventricle at early cardiac cycle indicating right to left shunt and flow of blood pushing bubbles at right ventricular indicating left to right shunt. (Bidirectional shunt).

Figure 6 Right ventricular hypertrophy (red line: 9mm).

 

Large ASD with mild to moderate PS

Severe PS with PFO

Clinical features

Ejection systolic murmur at pulmonic area

Fixed splitting second hard sound

Eisenmenger syndrome

Electrocardiogram

Right ventricular hypertrophy

Enlarged right atrium

Right axis deviation

Chest X-ray

Increased pulmonary blood flow

Dilated pulmonary truk

Dilated right ventricle

Oligaemic lung fields

Prominent pulmonary trunk

Table 1 Subtypes of Trilogy of fallot
 ASD, atrial septal defect; PS, pulmonary stenosis; PFO, patent foramen ovale

Discussion

Congenital heart disease is the commonest birth defect which has an overall prevalence of 1%.2 It includes major structural malformations of the heart and/or major vessels that are present at birth and can be classified into cyanotic and non-cyanotic heart diseases. Cyanotic heart diseases are due to right to left shunt causing central cyanosis leading to systemic arterial desaturation.

In a paper published in 1950 by Joly et al, a combination of pulmonary stenosis with reversed right to left interatrial shunt without ventricular septal defect was known as “the triologie de Fallot”.3 Trilogy of Fallot is a very rare congenital heart disease which is reported less often than Tetralogy of Fallot in literature. The interatrial shunting in these cases can be due to patent foramen ovale, ostium secundum ASD, ostium primum ASD or sinus venosus type, whereas the right ventricular outflow tract obstruction can be due to pulmonary valve stenosis or stenosis of pulmonary artery and its branches.

There are basically two subclasses of this rare defect. The first subclass is patients with large ASD with mild to moderate pulmonary stenosis and left to right shunt. In patients with true ASD, the right ventricular outflow tract obstruction is usually of valvular pulmonary stenosis type. The second subclass is those with severe pulmonary valve stenosis and right to left shunt and in these patients, the interatrial shunting from right to left is usually through patent foramen ovale.

The clinical features depend on several factors, including the size of interatrial shunting, the severity of right ventricular outflow tract obstruction and the distensibility of the right ventricle.4 Those with large ASD and mild to moderate PS variant may have systolic thrill and ejection systolic murmur at pulmonic area, fixed splitting of second heart sound with fourth heart sound on auscultation. On the other hand, those with significant pulmonary valve stenosis and right to left shunt through patent foramen ovale (PFO) may display features of Eisenmenger syndrome such as finger clubbing, central cyanosis, underdevelopment, systolic murmur best heard at pulmonary area, radiating upward and to the left, extending beyond aortic component of a second heart sound.4

Ma et al mentioned that in severe PS with PFO, the electrocardiogram may show an enlarged right atrium with right axis deviation. Chest X-ray will reveal oligaemic lung fields and prominent pulmonary trunk. Echocardiogram confirms PV stenosis and a stretched PFO. However, in cases of large ASD with mild to moderate PS, the electrocardiogram will show RV hypertrophy; the chest x-ray will show increased pulmonary arterial blood flow, a dilated pulmonary trunk, and a dilated right ventricle.4

Combination of severe pulmonary stenosis with the large atrial septal defect was “physiologically protective” where it prevented significant left to right shunt due to right ventricular outflow tract obstruction by severe pulmonary stenosis.5 However, the persistence of this condition has deleterious effects on right ventricular systolic function and this indicated that total surgical correction is indicated.5 Indication for operation for pulmonary valve stenosis is symptomatic or resting gradient of more than 40mmHg.6 Indication for atrial septal defect closure for patient of any age is hemodynamically significant defect where Qp/Qs >1.5. In our case, our patient has a large ASD with severe pulmonary stenosis of 88mmHg peak pressure gradient.

Multiple surgical intervention methods are possible to correct the ASD and pulmonary stenosis. Early intervention is needed to prevent cardiac dysfunction and the traditional method is open-heart surgery. However, Medina et al had published their experiences on combined percutaneous ASD occlusion and pulmonary balloon valvuloplasty in treating Trilogy of Fallot successfully.7 The procedures were either done staged or combined in the same setting which yielded effective results during follow-up.7 This had demonstrated the feasibility and effectiveness of combining both percutaneous ASD occlusion and valvuloplasty treatment.7 Asada et al also reported similar experience for simultaneous transcatheter treatment for ASD with pulmonary valve stenosis in infant.8

Conclusion

Although the Trilogy of Fallot is a rare congenital heart disease, we need to be vigilant to identify this combination as the early treatment with percutaneous transcatheter or surgical correction can prevent long term deleteriously complications.

Acknowledgments

We would like to express our outmost gratitude to Mr Sailesh for the echocardiogram images.

Conflicts of interest

There are no conflict of interests.

Funding

None.

References

Creative Commons Attribution License

©2021 Lim, et al. This is an open access article distributed under the terms of the, which permits unrestricted use, distribution, and build upon your work non-commercially.