Submit manuscript...
Journal of
eISSN: 2373-4396

Cardiology & Current Research

Case Report Volume 8 Issue 4

Technical Challenge of Transfemoral Aortic Valve Implantation in A Patient With Extreme Femoral Artery Tortuosity – A Case Report

Erdem Karacop, Muharrem Nasifov, Baris Akdemir, Ahmet Bacaksiz, Omer Göktekin

Department of Cardiology, Bezmialem University, Istanbul, Turkey

Correspondence: Baris Akdemir, Department of Cardiology, Bezmialem University, Istanbul, Turkey, Tel 905065057654

Received: March 18, 2017 | Published: March 30, 2017

Citation: Karaçöp E, Nasifov M, Akdemir B, Bacaksiz A, Göktekin O (2017) Technical Challenge of Transfemoral Aortic Valve Implantation in A Patient With Extreme Femoral Artery Tortuosity – A Case Report. J Cardiol Curr Res 8(4): 00291. DOI: 10.15406/jccr.2017.08.00291

Download PDF

Abstract

Transcatheter aortic valve implantation emerged as a less invasive procedure than sugical aortic valve replacement. Although the appropriate access site is choosen; vascular complications can not be avoided. Especially vascular complications are common with atherosclerotic iliac-femoral arteries [1-5]. In this article, we report a technically challenging transfemoral aortic valve implantation with extreme vascular calcification and tortuosity.

Introduction

Transcatheter aortic valve implantation(TAVI) has emerged as the current therapy of choice in patients with severe aortic valve stenosis who are not candidates for open heart surgery [6,7]. The common femoral artery is the most commonly used conduit for retrograde delivery of percutaneous aortic valves. Catheter-based angiography and contrast-enhanced CT images of the iliofemoral system is particularly useful for identifying the size(minimal luminal diameter), excessive tortuosity, circumferential calcification. Although the diameter of ilio-femoral axis is adequate, the diffuse atherosclerotic disease and excessive tortuosity create a serious obstacle to the TAVI procedure [8]. In the current case, we report for the first time using a snare from brachial approach to advance the tavi system from femoral and iliac arteries.

Case Report

A 82-year-old woman admitted to our institution for severe aortic stenosis. Past medical history included hypertension, chronic obstructive pulmonary disease and congestive heart failure. The patient was previously rejected for surgical aortic valve replacement  because of high risk according to logistic Euroscore(31%) and STS(22%).

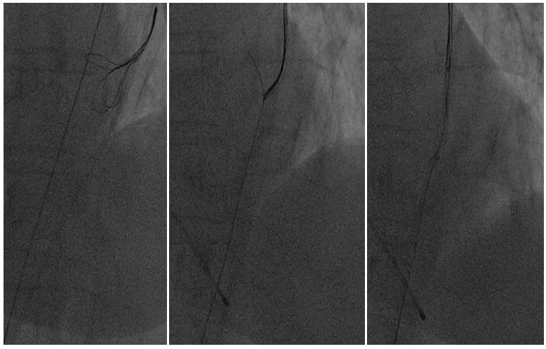
On physical examination she was symptomatic for dyspnea(NYHA class III). Midsystolic murmur was heard near midsternal border and pretibial edema was noted. Transthoracic echocardiography revealed dilatation of both atrium, left ventricular hypertropy, moderate mitral regurgitation, severe tricuspid regurgitation  and sclerosis of aortic valve with mean gradient  54 mmhg and maximal gradient 90 mmhg. Aortic valve planimetric area was calculated as 0,6 cm2. Ef:64% with pulmonary hypertension(PAPs 48 mm hg). Coronary angiography showed noncritical stenosis of coronary arteries. The decision was to perform transcatheter aortic valve implantation with transfemoral approach. A transvenous temporary pacing wire was positioned in the right ventricle via the left femoral vein. Percutaneous right femoral acces was then obtained and 18 F delivery system was used. There were extreme calcification and tortuosity in femoral and iliac arteries (Figure 1 & 2). It was very difficult to advance the delivery system. Aggressive baloon angioplasty was performed with peripheral baloons but no further advancement of the 18F system was possible. A 25 mm Amplatz Gooseneck snare was advanced from brachial artery to snare and prolapse through the sheath. This procedure allow additional tension, thereby allowing easy passage of the valve delivery system (Figure 3-5). Baloon valvuloplasty was performed before device placement, after which a 0,035 Amplatz extra stiff guidewire placed in the left ventricle. 25 mm Direct Flow Medical valve is then advanced over a stiff guidewire and deployed within the aortic annulus. Prostar were used to close the vascular access site.

Figure 1&2: Femoral and iliac arteries while performing transcatheter aortic valve implantation.
Figure 3&4&5: A 25 mm Amplatz Gooseneck snare from brachial approach while capturing the wire.

Discussion

Transcatheter aortic valve implantation has become widely accepted all over the world and tends to increase exponentially for years. Transfemoral acces is less invasive and the most utilized way due to a number of advantages including shorter procedure and recovery times, less post-procedural pain and the ability to perform the procedure under concious sedation. In a recent meta-analysis 30-day mortality was 4,7% with transfermoral approach and 8,1% with a non-transfemoral approach [9]. The 1- year mortality was 16,4% with transfemoral access and 24,8% with nontransfemoral access [9]. Nontransfemoral access is associated with worse outcomes compared with transfemoral access. Transfemoral access must be the first preffered route although there is a significant increase in vascular complications. Behind these complications the most common reason for failed procedure is the inability to ascend tavi system due to extreme vessel calcification and tortuosity. Special maneuvers can be applied to overcome this problem. Dandale at al postulated that using second wire from brachial approach to the left superficial femoral artery through a multipurpose catheter for additional support could be an option [9]. It was called ‘railing track’. In the current case, we report for the first time in literature using a snare from brachial approach to advance the tavi system from femoral and iliac arteries. It has some advantages over the ’railing track’. Manipulation of two guidewires and using multipurpose catheters give additional risk for vascular complications. Using snare for additional tension can be an option for failed tavi procedures due to extreme femoral tortuosity and calcification.  

References

  1. Leon MB, Smith CR, Mack M, Miller DC, Moses JW, et al. (2010) Transcatheter aortic-valve implantation for aortic stenosis in patients who cannot undergo surgery. N Engl JMed 363(23): 1597-1607.
  2. Smith CR, Leon MB, Mack MJ, Miller DC, Moses JW, et al. (2011) Transcatheter versus Surgical Aortic-Valve Replacement in High-Risk Patients. N Engl J Med 364(17): 2187-2198.
  3. Rodés-Cabau J, Webb JG, Cheung A, Ye J, Dumont E, et al. (2010) Transcatheter aortic valve implantation for the treatment of severe symptomatic aortic stenosis in patients at very high or prohibitive surgical risk. Acute and late outcomes of the multicenter Canadian experience. J Am Coll Cardiol 55(11): 1080-1090.
  4. Thomas M, Schymik G, Walther T, Himbert D, Lefèvre T, et al. (2010) Thirty-day results of the SAPIEN aortic bioprosthesis European outcome (SOURCE) registry: a European registry of transcatheter aortic valve implantation using the Edwards SAPIEN valve. Circulation 122(1): 62-69.
  5. Piazza N, Grube E, Gerckens U, den Heijer P, Linke A, et al. (2008) Procedural and 30-day outcomes following transcatheter aortic valve implantation using the third generation (18F) CoreValve revalving system: results from the multicentre, expanded evaluation registry 1-year following CE mark approval. EuroIntervention 4(2): 242-249.
  6. Thomas M (2010) The global experience with percutaneous aortic valve replacement. J Am Coll Cardiol Intv 3(11): 1103-1109.
  7. Toggweiler S, Humphries KH, Lee M, Binder RK, Moss RR, et al. (2013) 5-Year outcome after transcatheter aortic valve implantation. J Am Coll Cardiol 61(4): 413-419.
  8. Dandale R, Zivelonghi C, Ribichini F (2013) Trans-catheter aortic valve implantation in the catheterization laboratory: challenges and problem solving. Cardioangiologia Intervencionista 4: 18-32.
  9. Chandrasekhar J, Hibbert B, Ruel M, Lam B, Labinaz M, et al. (2015) Transfemoral vs Non-transfemoral access fot transcatheter aortic valve implantation. J Am Coll Cardiol 31(12): 1427-1438.
Creative Commons Attribution License

©2017 Karaçöp, et al. This is an open access article distributed under the terms of the, which permits unrestricted use, distribution, and build upon your work non-commercially.