Submit manuscript...
Journal of
eISSN: 2373-4396

Cardiology & Current Research

Case Series Volume 16 Issue 4

Severe effect of graphene hydroxide on heart muscle

Hugo Alfonso Chinchilla Calix,1 Alba Damaris Meras Ulloa2

1Interventional Cardiologist, Military Hospital, Honduras
2General practitioner, university teaching hospital, Tegucigalpa, Francisco Morazán, Honduras

Correspondence: Hugo Chinchilla Calix, Interventional Cardiologist, Military Hospital, Tegucigalpa, Honduras, El Ocotal, Francisco Morazan, Honduras , Tel (504) 33326536

Received: August 19, 2023 | Published: October 9, 2023

Citation: Chinchilla Calix HA, Meras Ulloa AD. Severe effect of graphene hydroxide on heart muscle. J Cardiol Curr Res. 2023;16(4):101-105. DOI: 10.15406/jccr.2023.16.00586

Download PDF

Report of unique cases in the world of total cure of dilated cardiomyopathy with severely depressed LVEF and were secondary to the effect of graphene hydroxide inoculated in the misnamed Vaccine against Covid-19 and what really is an experimental gene therapy.

Summary

Medicine changed radically from the plandemic that began in December 2019 and is still ongoing. As we pointed out in an editorial in this prestigious magazine, there is a before and after and that is facilitated by the blindness of 99.9% of doctors in the different disciplines of medicine who no longer see the greatest genocide beyond their noses. of history on our planet since Adam and Jawa his wife appeared. The objective of this research work has been very arduous and meticulous with the objective of detecting in completely healthy people and without any comorbidity that predispose to serious cardiac pathologies, especially involvement of myocardial fibers, ultimately producing a state called cardiomyopathy up to now. dilated terminal, which I have diagnosed by non-routine laboratory (complete blood count with VES, D-dimer, C-reactive protein, Ferritin levels in blood, NTproBNP, Troponin (ultrasensitive) Conventional Chest X-ray, Echocardiogram, blood smear analysis peripheral and fixing it in Wirigh staining Evidencing a breakdown of the formed elements of the blood, especially red blood cells and the evidence in it of graphene hydroxide And after treatment that from this writing I want it to be patented as the only cardiologist who used it for this end worldwide with amazing results that only the same patient who has witnessed can affirm it.

Introduction

  • As we have been pointing out since the beginning of the so-called covid-19 plandemic. The COVID-19 pandemic was not caused by the SARS-CoV-2 virus or its variants. COVID-19 is a new type of Artificial Intelligence bioweapon that is part technology, part biology; and it is intelligent The question that a very discerning human being asks is: What exactly caused the COVID-19 pandemic? Was it the new coronavirus SARS-CoV-2 that caused the illness and death of millions? We well know that the word novel means new, but it also means a long history…. a very long and invented story.
  • In the case of The COVID-19 Story, FACT is STRANGER than FICTION. What we were told about the novel coronavirus, SARS-CoV-2, COVID-19, variants, mRNA technology, deadly spike proteins, and PCR testing is more like a plot from a movie in the Marvel series.
  • If the 2020 COVID-19 headlines were honest, accurate, and actually non-fiction, they should have said: “Masters of evil terrorize the citizens of the world by spraying cities and towns with aerosolized biosynthetic nanoweapons called Spike Proteins.”
  • Wait? But the Masters of Evil never told us that the highly deadly Spike protein was actually an Artificial Intelligence magnetic hydrogel encased in lipid nanoparticle (LNP) technology that is used to infect, injure, experiment on, and execute humans.
  • The Masters of Evil led the world to believe that the SAR-COV-2 RNA virus produces the highly deadly spike protein after the mRNA invades cells within the body.The reality is that COVID-19 and worse, the so-called SARSCOV-2 virus have never existed, only in the imagination of the psychopathic minds that developed it, but what really is a Military Biological Weapon. And the misnamed vaccines against covid-19 are really biological weapons. And the so-called Vaccines against covid-19 are really military biological weapons with gene editing technology that contain advanced electronic technologies (Use of graphene oxide but being more specific graphene hydroxide) that, as I will demonstrate in my blood studies of the Inoculated patients in my country (Honduras) instead of producing a cure, it is producing diseases, especially cardiac, neurological, cancer and immunopathies and, above all, poor quality of life among those who were the object of this genetic experiment never seen in the history of humanity. The most unfortunate thing is the blindness of all the doctors in the world who, instead of being in the care of the patient, protecting him, preserving his life at all costs, have been the complete opposite in complicity with the psychopaths behind the curtain, pharmaceutical salesmen who They are poisoning the world population when they do not take the vacancy card to their offices, they are not attended to. Also shamelessly through social networks, traditional media: television, radio and newspapers give conferences more false than believing that man already lives on Jupiter and his flight lasted one hour from Earth to Jupiter. The most unfortunate thing about the case is the learned ignorance of the so-called doctors who do not bother to investigate what therapies are being applied to their patients and worse still, scientific magazines that in theory are the most prestigious and read on the entire planet earth are more false than saying that metastatic cancer is a simple flu. 
  • The first question we must ask ourselves is: What was actually produced in the Wuhan laboratory? It is disgusting just knowing the story that they invented about the pangolin and the bat about a virus that they called SARS-COV2 producer of COVID-19 and quickly declared a worldwide pandemic with its spread, to put it pejoratively, in a femtosecond. . I think that in the mind of a person without the slightest discernment I would believe it, but to deceive doctors of various specialties worldwide in the first instance is amazing, let alone microbiologists, biologists in all their disciplines and the rest of university degrees. From the beginning of what I call PLANDEMIA, I never really pictured everything is a show set up by psychopathic minds, as I have pointed out in an editorial in this prestigious magazine in June 2022. My first reflection was the human being is the content of viruses and bacteria and water fundamentally called mycobiota works in coordination with the so-called viruses since its name means poison, what we really have are exososomes and bacteria. Being in balance produces good health and due to special circumstances inherent to the self-destruction of the human being, it produces diseases from the inside out and not from the outside in. For example, if a person eats junk food, is obese, sedentary, does not sleep well at night, smokes, drinks alcoholic beverages and lives in permanent stress, it will produce dysbiosis, which will cause an imbalance within our body. There is an endogenous retrovirus that is in charge of trying to normalize this situation of imbalance and logically our body has to react externally in some way, such as: Fever, body pain, myalgia, arthralgia, general malaise, etc. and the doctor comes mercilessly and it administers antibiotics to the patient and what it does is worsen the situation within the intestinal microbiota by killing bacteria that are normal and as a consequence of this we generate diseases such as diabetes mellitus, arterial hypertension, etc.

The other important question is what are covid-19 vaccines? They are not really mRNA vaccines but are biological weapons. COVID-19 injections do not contain synthetic SARs-CoV-2 mRNA viruses, but are AI parasitic bioweapon delivery mechanisms. These AI bioweapons are genetically engineered AI hydrogels whose power source is a quantum dot powered by 5G and fiber optics. Biological parasitic weapons of Artificial Intelligence that can be administered through a needle using nanotechnology with a double lipid layer and containing graphene hydroxide inside. In short, mRNA vaccines are gene-editing bioweapons that contained advanced electronic technologies (graphene oxide) and could only cause disease, disability, and death. Most importantly, the attachment labeled Patent SM-102 is the world patent for mRNA lipid nanoparticles (LNP) vaccines granted by WIPO to Moderna on August 6, 2020. Have an autoimmune disease expert / medical research review this patent and those linked in this email. I think they will conclude that COVID-19 injections are bioweapons containing gain-of-function (GOF) chimeric viruses and toxins in the guise of therapeutic mRNA vaccines combined with a "diagnostic/therapeutic" lipid nanoparticle (LNP) platform. According to the patent, LNP can target specific organs and systems throughout the body, including but not limited to the reproductive, cardiovascular, pulmonary, and central nervous systems, specifically crossing the blood-brain barrier, etc.

As far as the cardiovascular system is concerned, we have been observing that after the 2nd inoculation, regardless of the brand of the so-called vaccine, the patient begins to present moderate to minimal exertion dyspnea, in extreme cases episodes of paroxysmal nocturnal dyspnea, atypical chest pain and generally radiating to the left arm, palpitations lasting up to 12 hours, severe insomnia (2 hours of sleep per night), very frequent dizziness and in most cases syncopal episodes, anxiety, depression, loss of appetite, poorly controlled hypertension that in 70% of cases it is defined as arterial hypertension refractory to medical treatment. Acute myocardial infarctions with high thrombotic content that become refractory to Iib/IIIa (Tirofiban) with poor postangioplasty results because 24 hours later they develop dilated cardiomyopathy of origin ischemic with extremely depressed LVEF (8, 10, 14, 18% respectively) with severe pulmonary arterial hypertension related to the so-called vaccine and now we know that it is a biological weapon for gene editing with a double lipid layer and containing graphene hydroxide. In Honduras, before this plandemic, we diagnosed cases of dilated cardiomyopathy very sporadically, currently we are facing a cardiology disaster as far as I am concerned, let alone in other disciplines. We see up to 10 dilated cardiomyopathies weekly. The reason for this article is to present the tangible evidence of 5 cases of dilated cardiomyopathy with severely dilated ejection fraction and that after empirical treatment performed on them and after three months of analytical and echocardiographic and clinical control, incredible results with normal left ventricles requiring removal of all medication for the treatment of dilated cardiomyopathy.

Material and methods

7 patients (5 male and 2 females with ages between 60, 65, 68, 60, 18, 22 and 95 years) were studied. Clinical criteria were used to determine the functional class according to the NYHA classification. . Laboratory analysis such as complete hematology with erythrocyte sedimentation rate (VES), C-reactive protein (CRP), D-dimer, Ferritin levels, NTproBNP, troponin I. Serum creatine, urea nitrogen, basal glycemia, Total cholesterol, HDL, LDL, Triglycerides, TGO, TGP, sodium, potassium, magnesium, T3, T4, TSH. Endothelial test through high resolution ultrasound with a 12 MHz transducer for reactive hyperemia through the radial artery: Baseline, post administration of sublingual nitroglycerin. Conventional echocardiogram, M-mode, Bidimensional, tissue Doppler. 12-lead electrocardiogram and AP and Lateral Chest Rx.

Presentation of clinical cases

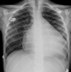
Case number 1: This is a 60-year-old male patient with a history of known hypertension for 10 years controlled with Candesartan plus hydrochlorothiazide 32/25 mg daily. Mixed dyslipidemia controlled with statin type atorvastatin 40 mg daily. Significant central obesity BMI of 35. Also, sedentary life. History of 4 inoculations with the Pfizer vaccine, he began to present with acute respiratory distress, palpitations, paroxysmal nocturnal dyspnea, orthopnea, saturation of 85% by oximetry. On physical examination: marked arterial hypotension 80/60 FC: 135 beats per minute Respiratory rate of 28 per minute acrocyanosis and on cardiac auscultation: rhythm Irregularly irregular with a more audible mitral regurgitation murmur at the apex of the heart radiating to the axilla. Lung auscultation: crackles from the middle third to the base of both lung fields. The electrocardiogram shows rapid atrial fibrillation rhythm at 135 beats per minute. Chest X-ray: Grade III-IV cardiomegaly with acute pulmonary edema. An echocardiogram was performed, showing findings compatible with dilated cardiomyopathy with left ventricular ejection fraction of 10%. Global hypokinesia, in doppler moderate-severe mitral regurgitation. Moderate-severe tricuspid regurgitation with pulmonary systolic pressure of 90 mmHg. Tissue Dopplar significant increase in left intraatrial pressure 25. In addition, the following laboratory analyzes were performed: Complete blood count: leukopenia: 2,000 leucocytes. Hb: 12.5 g/dl. Thrombocytopenia: 107,000 platelets, severe eosinopenia and lymphopenia. Elevated D-dimer 2.0 (normal value up to 0.50) Elevated NtproBNP 3,500 (normal up to 300). C-reactive protein of 32 Normal up to 10. Ferritin of 750 (normal up to 250). Creatinine: 3.2 mg/dl Urea: 70, TGO: 110, TGP:115. 

Electrocardiogram

Chest X-ray

Echocardiogram

Severe

Conclusion

  1. Findings compatible with dilated cardiomyopathy secondary to graphene hydroxide
  2. Severely depressed ejection fraction (10%). 
  3. Moderate-severe mitral regurgitation 
  4. Elevated left intraatrial pressure (20)
  5. Ventricular filling pattern of a restrictive nature 
  6. Moderate pulmonary arterial hypertension
  7. Fast Atrial Fibrillation Rhythm.

This scheme shows a smear of peripheral blood fixed with wright staining and analyzed under a light microscope at 100 enlargements with immersion oil, showing graphene sheets in the upper part and graphene oxide in the lower part, the result after having inoculated 4 doses of the misnamed Pfizer vaccine. We also observe that the red blood cells are forming clumps due to negative charges produced by the graphene oxide itself. We see that the defense system attacks the formed elements of the blood. Conventional treatment for dilated cardiomyopathy was started, such as: Vymada 50 mg every 12 hours (Sacubitril/valsartan), furosemide 20 mg I:V every 6 hours, Aldactone 25 mg daily PO. Metoprolol 100 mg daily. Ivabradine 5mg every 12 hours. Edoxaban 30 mg daily p.o. Sodium enoxaparin 40 mg subcutaneously daily. Despite the maximum treatment and the worsening of her symptoms: dyspnea at rest, 90% saturation with a reservoir of 15 liters of oxygen per minute, perioral and peripheral cyanosis, increased orthopnea, and paroxysmal nocturnal dyspnea. Continuous dry cough, blood pressure of 80/60 and heart rate of 130 beats per minute despite the use of metoprolol 100 mg daily and Ivabradine 5 mg every 12 hours that had to be increased to 7 mg every 12 hours. At that time, the patient suffered a serious clinical deterioration, renal function, laboratory and auscultatory parameters with symptoms of acute pulmonary edema. I decide to start Menaxol Forte 600 mg (N-Acetylcysteine) one sachet in ½ glass of water a day for a month. After a week of taking said treatment, the patient began to present a surprising clinical improvement: the orthopnea disappeared, the paroxysmal nocturnal dyspnea, the cyanosis, the heart rate began to decrease in such a Ivrabadine was omitted and its rate reached 60 beats per minute. Hypotension was less manifest 100/60 and oxygen saturation without nasal oxygen ranged between 90 and 92%. And he presented bilateral basal crackles on lung ausculation. Also minimal ascites and edema of the lower limbs. No night cough and slept with 2 pillows. N-acetylcysteine ​​was taken for a month and the patient had clinically improved 100%. He reported that he currently had dyspnea on great exertion (NYHA Class I). She slept with a pillow, she did not present orthopnea again, paroxysmal nocturnal dyspnea, no ascites, and no edema of the lower limbs. Her cardiac auscultation showed normal R1 and R2. Absence of mitral regurgitation murmur. Pulmonary auscultation: No crackles, no wheezing or rhonchi. Clean lungs.

Laboratory-wise, a spectacular improvement: Hemogram: normal leukocytes. Hb:14 Platelets: 240,000 platelets. No eosinopenia or lymphopenia. D-dimer: 0.1 (normal less than 0.5). NTproBNP: 250 (normal less than 300). C-Reactive Protein 2 (Normal up to 10) Normal Ferritin 150 (Normal up to 250). TGO: 14 TGP:12 Creatinine: 0.9 Bun: 17

Control echocardiogram is performed

We can appreciate the amazing size left ventricle and normal global and segmental contractility with normal left ventricular ejection fraction (75%). Previous 10%. In addition, the patient was asymptomatic from the cardiological point of view. In such a way that all the medication that was started for the treatment of dilated cardiomyopathy was suspended, such as: Sacubitril/valsartan, furosemide, aldactone, ivrabadine, metoprolol, oral anticoagulants. The only treatment for her arterial hypertension was left with candesartan 16 mg per day and rosuvastatin 40 mg at night for mixed dyslipidemia. The following 6 patients 5 are male with ages: 28, 33, 35, 85 and one female: 95 years of age whose ejection fractions were similar 18, 17, 16 and 15% respectively and their evolution is similar to that of First case with an echocardiographic and clinical evolution to total normality. All patients currently lead a completely normal life.1-3

Comment

As I pointed out in the editorial for the month of June 2022 through this prestigious and above all ethical magazine, something that many scientific magazines that have boasted of being the most widely read around the planet and that are nothing more than professional liars who They lend themselves to the petty interests of psychopathic minds that are behind this great genocide and that I had no idea of ​​the great magnitude when I wrote it and at this moment it is having repercussions in all areas of our body in such a way that the cardiac, neurological, cancer, immunopathies etc has an increase of 1000%. 

From this platform I want to make it very clear that the majority of cardiologists in the world continue to diagnose and treat new entities called dilated cardiomyopathies in a traditional way and I call this new entity "TOXIC CARDIOMYOPATHY INDUCED BY GRAPHENE OXIDE" or also called "SYNDROME". H CHINCHILLA”. There is a group of sensitive patients after the 3 or 4 inoculation with any type of experimental genetic therapy (wrongly called vaccines), regardless of whether it is Pfizer, Astra Zeneca, Moderna, etc. We already know and it has been shown that they contain self-assembling nanostructures and it is a programmable material, polyethylene glycol are the building blocks for the hydrogel and this material is the one that delivers the messenger RNA but DNA and quantum dot technology have been found in Pfizer vaccines and when analyzing the blood as I show in patient number 1 we see that if we compare the blood of an unvaccinated patient the red blood cells are in their normal shape, composition, electrical charge etc. And each one keeps their respective distance. On the other hand, in the blood of the vaccinated patients and I make the clarification of 2 vaccines onwards, there are already significant changes in the blood, appreciating the red blood cells in lumps due to the negative charges that are produced by graphene oxide and the presence of carbon oxide. graphene and abundant graphene sheets which, in the case of cardiac muscle, attack the vascular endothelium, mitochondria, destroy actin and myosin filaments, and before the myocardium dilates, concentric left ventricular hypertrophy occurs with increased muscle mass and diastolic dysfunction to varying degrees and when it becomes a restrictive pattern it is the prelude to toxic cardiomyopathy induced by graphene oxide with the very florid symptoms of heart failure and the most characteristic is the very short evolution time. From inoculation to becoming dilated approximately 2 months. In my case, I began to study the patients through peripheral blood smears stained with wright staining, showing 100% damage to the formed elements of the blood. Initially I treated them with conventional treatment and the patients were clinically worse every day and with readmissions and longer hospital stays. 

I started treating them with sacubitril/valsartan, oral anticoagulants and the star drug menaxol Forte (n-acetylcysteine) 600 mg one sachet in ½ glass of water and the result after a month was very amazing, normal control echocardiogram and asymptomatic from the point of view cardiology all patients. Never in my 30 years of professional practice have I first seen such rapid development after inoculating that artificial intelligence biological weapon of Toxic cardiomyopathy induced by graphene oxide and also a response a month after starting N-acetylcysteine. (derived from glutathione).

I want to make it very clear that this entity is new and it is what we have been dealing with. In my country Honduras before this genocide we saw 3 dilated cardiomyopathies per month, at this moment I see between 4 to 5 graphene oxide-induced toxic cardiomyopathies in both the Tegucigalpa military hospital and my private clinic (demonstrated by blood test in vaccinated patients).

Conclusion

We are facing a new era of medicine with heart diseases that need to be reclassified since they have been maliciously and intentionally provoked in order to produce a worldwide depopulation and carry out by psychopathic minds the 20/30 agenda that they now want speed it up to 20/25 and if we don't stop these evil plans it will be too late. I call on the international medical community to open their eyes and join those who from the beginning have been in total disagreement with the inoculation of the so-called covid-19 vaccine.

In future articles I will describe new syndromes that appear in cardiology that for the normal community have no explanation for a series of symptoms that appear in patients, especially every day younger.

Acknowledgments

None.

Conflicts of interest

The authors declares no conflicts of interest.

References

Creative Commons Attribution License

©2023 Chinchilla, et al. This is an open access article distributed under the terms of the, which permits unrestricted use, distribution, and build upon your work non-commercially.