Submit manuscript...
Journal of
eISSN: 2373-4396

Cardiology & Current Research

Clinical Images Volume 11 Issue 6

Role of multidetector computed tomography in the evaluation of myocardial rupture

Johann Christopher

Department of cardiology, India

Correspondence: Johann Christopher, Department of cardiology, India

Received: November 07, 2017 | Published: November 15, 2018

Citation: Christopher J. Role of multidetector computed tomography in the evaluation of myocardial rupture. J Cardiol Curr Res. 2018;11(6):239-241. DOI: 10.15406/jccr.2018.11.00408

Download PDF

Abstract

48year-old lady with chest pain was diagnosed to have an inferoposterior MI for which she underwent thrombolysis with streptokinase. In view of persisting chest pain a 2decho was repeated which revealed a moderate pericardial effusion. A possibility of a sealed myocardial rupture was entertained and she underwent a coronary CTA to assess the coronary anatomy and to confirm and delineate the rupture. The CTA confirmed the rupture and also delineated the coronary anatomy. Patient underwent pericardial patch repair with a good result.

Keywords: myocardial rupture, multidetector computed tomography

Introduction

48yrs old lady with history of chest pain of 4days duration went to nearby hospital, where she was diagnosed as Infero-Posterior Wall ST elevation Myocardial Infarction and she was thrombolysed with streptokinase. Patient was referred to our hospital in view of moderate pericardial effusion and persistent chest pain for further evaluation. Examination revealed a pulse rate of 126 beats/min and blood pressure of 100/60 mmHg. Her JVP was elevated. Cardiovascular examination revealed normal heart sounds with no murmur or rub. Respiratory examination revealed few basal crepitations. ECG showed sinus tachycardia, qS in II, III and aVF with concomitant ST elevation. There were T inversions and ST depression from V1 to V3.

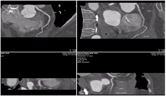
2D Transthoracic Echo showed regional wall motion abnormality in basal and mid inferior wall and inferior septum and basal posterolateral wall, moderate LV dysfunction, preserved RV function, mild MR, moderate circumcardiac pericardial effusion. Her blood analysis was unremarkable. In view of recent onset pericardial effusion post thrombolysis and tachycardia with persistent ST elevations a suspicion of cardiac rupture was entertained. The 2D Echo did not reveal any clue to the cause of pericardial effusion so an additional investigation was sought to clarify this suspicion. Coronary CTA was planned as it is rapid, noninvasive, gives information on coronary anatomy and most importantly with the cine sequences the rupture track is delineated and the contrast pooling in the pericardial space is diagnostic of rupture. Retrospective gated coronary CT scan was performed which revealed a sealed myocardial rupture in the basal posterolateral wall of theleft ventricle with a neck of 2mm and an area of 0.8cm2 (Figure 1). CT coronary angiogram showed total occlusion of a large OM2 branch with grade V thrombus (Figure 2). Coronary anatomy was clearly depicted despite her heart rate being above 100 beats per minute which was corroborated by the coronary angiogram which was done just prior to subjecting her for surgery.

Figure 1 MIP and VRT Images depicting the myocardial rupture.

Figure 2 MIP images depicting the coronary anatomy and the occluded OM vessel.

She was taken up for emergent surgical repair of cardiac rupture. The pericardial cavity was filled with 500ml of altered colored blood. There was infarcted and friable myocardium in posterobasal wall with a rent of 0.5cm near the AV grove. The tear was compatible with the contrast pooling in the MDCT.The repair was done with a bovine pericardial patch. Surgery was successful with no periprocedural or post-operative complications. She was subsequently weaned off from ventilator support, inotropes and IABP. She made an uneventful recovery and was discharged in satisfactory condition.

Discussion

Cardiac free wall rupture after myocardial infarction is one of the life-threatening complications, which often results in sudden onset of cardiogenic shock caused by cardiac tamponade. According to the SHOCK Trial Registry, in-hospital mortality rate was 60%.1 Although the incidence of free wall rupture after myocardial infarction was 2.7%, the true rate is difficult to assess due to unconfirmed causes of death, especially pre-hospital death, and diminished autopsy rates.1 This complication occurs more frequently in patients with female gender, advanced age, first-time myocardial infarction, elevated blood pressure, and transmural infarction.1‒3 Ischemic myocardial rupture after AMI may involve left ventricular (LV) and right ventricular (RV) free walls, ventricular septum, and LV papillary muscle, in decreasing order of frequency. It rarely involves the left or right atrial walls. LAD is the most common site of the culprit artery to this fatal event, whereas RCA as in the present case is relatively uncommon, with a reported incidence of 0‒23%.1,4

In some patients who survive LV free-wall rupture following AMI, the rupture can be sealed by the epicardium (visceral pericardium) or by a hematoma on the epicardial surface of the heart. This entity has been referred to as LV diverticulum (or contained myocardial rupture)5 and represents a subacute pathologic condition between free rupture into the pericardial cavity and formation of a pseudoaneurysm. A pseudoaneurysm is formed if the area of rupture is contained locally by the adjacent parietal pericardium and represents the chronic stage of LV free-wall rupture. The most common etiology of LV pseudoaneurysm was myocardial infarction; inferior infarcts were approximately twice as common as anterior infarcts.6 Myocardial free wall rupture is associated more frequently with thrombolysis especially done after 6hours.7 In the above-mentioned case, delayed thrombolysis was given which could be a causative factor in Myocardial Free Wall Rupture. As the rupture was contained by the epicardium, patient did not present with a cardiac tamponade.

In the diagnosis of cardiac rupture, it is generally difficult to show the defect of the ventricular wall. Pericardial effusion by CT or echocardiography is only an indirect indicator of an underlying rupture.In most cases of postinfarct cardiac free wall rupture, the hemodynamic status is unstable, therefore echocardiography is utilized for detecting pericardial effusion because of its rapidity and ease. Hence there is reluctance on the part of the clinician to utilize cardiac CT for the diagnosis. MDCT provides valuable information in a patient suspected of postinfarct cardiac rupture. It is rapid, noninvasive, gives information on coronary anatomy, confirms pericardial effusion and delineates the serpiginous track of the rupture which is not possible with echo. According to literature research, there have been few case reports on coincidentally detecting cardiac rupture after myocardial infarction by means of CT when the scan was undertaken to detect other pathology like aortic dissection. Redfern and Smart reported a case of postinfarct cardiac rupture with a tear at the LV apex detected by CT. They found contrast medium in the pericardial cavity, indicating the spilling of blood into the pericardial cavity.8 Naoki Onoda et al reported a case of cardiac rupture diagnosed on MDCT with small contrast pooling in the posterolateral LV wall within a hypoperfused area.9 This finding is equivalent to free wall rupture within the infarcted LV wall.

Conclusion

Cardiac CT is a noninvasive, accurate and cost effective tool for the early diagnosis of cardiac rupture with subsequent appropriate surgical treatment which in turn will improve prognosis in this high risk subset.

Acknowledgements

None.

Conflict of interest

Author declares that there is no conflict of interest.

References

Creative Commons Attribution License

©2018 Christopher. This is an open access article distributed under the terms of the, which permits unrestricted use, distribution, and build upon your work non-commercially.