Submit manuscript...
Journal of
eISSN: 2373-4396

Cardiology & Current Research

Mini Review Volume 8 Issue 5

Radial Artery Anomalies and their Implications to Percutaneous Coronary Interventions

Marjan Boshev, Hajber Taravari, Aleksandar Jovkovski, Ivan Vasilev, Biljana Zafirovska, Darko Kitanovski

Department for Invasive and Interventional Cardiology, University Clinic of Cardiology, University Sts. Cyril and Methodius, Republic of Macedonia

Correspondence: Marjan Boshev, University Clinic of Cardiology, Department for Invasive and Interventional Cardiology, University Campus Mother Theresa, 1000 Skopje, Republic of Macedonia, Tel 38977540808

Received: April 01, 2017 | Published: April 18, 2017

Citation: Boshev M, Taravari H, Jovkovski A, Vasilev I, Zafirovska B, et al. (2017) Radial Artery Anomalies and their Implications to Percutaneous Coronary Interventions. J Cardiol Curr Res 8(4): 00293. DOI: 10.15406/jccr.2017.08.00293

Download PDF

Abstract

Transradial approach (TRA) today becomes a golden standard for percutaneous coronary interventions worldwide. TRA is generally associated with certain learning curve and sometimes radial artery anomalies (RAA) can be important cause of TRA failure. RAA include high bifurcating origin of the radial artery (high take-off radial artery), radial artery loop, tortuosity, hypoplasia and stenosis. In most cases, these anomalies can be overcome by using hydrophilic guiding wire and diagnostic 5F Judkins right catheter, sometimes 0,014” hydrophilic coronary wire. RAA are not uncommon in general population. In most cases they can be easily traversed with thoroughly selected steps and material especially by dedicated radial operators in high-volume TRA center, but sometimes they can be a reason for procedural failure.

Keywords: Transradial approach; Radial artery anomalies; Percutaenous coronary interventions

Abbreviations

TRA: Transrardial Approach; TUA: Transulnar Approach; RAA: Radial Artery Anomalies; CA: Coronary Angiography; PCI: Percutaneous Coronary Interventions

Introduction

Transradial approach (TRA) today becomes a golden standard for percutaneous coronary interventions worldwide. Its advantages over the transfemoral approach (TFA) are clear and include reduced risk of access-site complications (bleeding), early patient ambulation, better patient comfort, reduced costs for hospitalization and possibility for same day discharge [1-5]. On the other side,  TRA can be very challenging in comparison to TFA demanding better operators` skills, especially in cases of different anatomical variations and anomalies of the forearm`s vasculature.

Discussion

TRA is generally associated with certain learning curve and sometimes radial artery anomalies (RAA) can be important cause of TRA failure [1,3]. Since RAA may significantly prolong and diminish the success of coronary angiography (CA) and percutaneous coronary intervention (PCI), we strongly recommend performing pre-procedural retrograde angiography of the forearm (radial artery angiography) as a routine procedure in every single patient [5]. This step will help the operator to evaluate individual radial artery anatomy and its anomalies far better as well as to plan a quick strategy to overcome them, thus preventing unnecessary and possible radial artery damage (dissection, rupture etc.) and procedure prolongation [6].

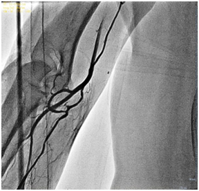
RAA are relatively common in general population, although there are limited data concerning this issue worldwide [4]. Their incidence may vary according to the available literature, starting from 8,8% [7,6], 13,8% [2], up to 22,8% according to Valsecchi et al. [3]. They can be reason for procedural failure in 1-5% of the patients even in experienced operators` hands [4,9]. RAA include high bifurcating origin of the radial artery (high take-off radial artery) (Figure 1), radial artery loop (Figure 2 & 3), tortuosity (Figure 1), hypoplasia and stenosis. In most cases, these anomalies can be overcome by using hydrophilic guiding wire and diagnostic 5F Judkins right catheter (JR 4) or even 4F Judkins right catheter, sometimes 0,014” hydrophilic coronary wire [1] and in rare cases by using so-called BAT technique (“balloon-assisted tracking”), a technique proposed by Dr. Tejas Patel et al. [9]. Operators should be experienced in TRA and by using some simple maneuvers like push-and-pull technique and catheter rotation usually achieve a successful negotiation with the radial artery (Figure 4).

Figure 1: High-take off tortuous radial artery.
Figure 2: High-take off tortuous radial artery.
Figure 3: Radial artery loop with remnant artery.
Figure 4 (a-f): Radial artery loop and necessary steps to overcome the loop.
a. Radial artery loop angiography.
b. Advancement of the 0,014” hydrophilic coronary wire.
c. Diagnostic JR 4 (5F) advancement in the radial artery loop.
d. Rotation and pull-back of the catheter (0,014” coronary wire is changed with standard 0,035” diagnostic wire to enable better support).
e. Further rotation and pull-back of the catheter.
f. Straightening of the radial artery loop.

Nevertheless, if sometimes CA and PCI via TRA cannot be performed due to severe pain, spasm or any other reason, we recommend use of ipsilateral ulnar artery (ipsilateral transulnar approach, TUA) or contralateral (left) TRA as an alternative route. According to a Macedonian Registry of 19 292 patients who underwent CA and/or PCI in the period from March 2011 to December 2014, RAA were found in 1625 patients (8,8%) from which high bifurcation origin of the radial artery (high take-off radial artery) was the most common anomaly present in 1017 patients (5,5%). Second most common RAA was radial artery tortuosity found in 227 patients (1,2%) and third was radial artery loop accounting 176 patients (0,95%) [1].

Conclusion

RAA are not uncommon in general population. In most cases they can be easily traversed with thoroughly selected steps and material especially by dedicated radial operators in high-volume TRA center, but sometimes they can be a reason for procedural failure. Technical difficulties can be solved by proper TRA training since their successful overcoming is associated with certain learning curve. Routine pre-procedural retrograde radial artery angiography remains crucial step prior to CA/PCI for every radial operator.

References

  1. Sarji R, Sricharoen N (2011) Beyond the Bend: A Literature Review and Case Report of Radial Artery Loop. J Invasive Cardiol 23(11): E271-E272.
  2. Lo TS, Nolan J, Fountzopoulos E, Behan M, Butler R, et al. (2009) Radial Artery Anomaly and its Influence on Transradial Coronary Procedural Outcome. Heart 95(5): 410-415.
  3. Farman MT, Khan NU, Hasan Rizvi SN (2010) J Pak Med Assoc 60 (7): 593-595.
  4. Hassan AKM (2016) Radial artery anomalies in patients undergoing transradial coronary procedures – An Egyptian multicenter experience. The Egyptian Heart Journal 68(1): 31-36.
  5. Boshev M (2015) Does Transradial Approach become a Golden Standard for Percutaneous Coronary Interventions?. J Cardiol Curr Res 2(2): 00053.
  6. Zafirovska B (2016) Radial Artery Anomalies in the Macedonian Population during  Transradial Angiography Procedures 11(2): 87-92.
  7. Ostojic Z, Bulum J, Ernst A, Strozzi M, Maric-Besic K (2015) Frequency of radial artery anatomic variations in patients undergoing transradial heart catheterization. Acta Clin Croat 54(1): 65-72.
  8. Chandarana A, Baxi H (2010) Anatomical considerations in transradial intervention. Indian Heart J 62(3): 211-213.
  9. Patel T, Shah S, Pancholy S, Rao S, Bertrand OF, et al. (2014) Balloon-assisted tracking: a must-know technique to overcome difficult anatomy during transradial approach. Catheter Cardiovasc Interv 83(2): 211-20.
Creative Commons Attribution License

©2017 Boshev, et al. This is an open access article distributed under the terms of the, which permits unrestricted use, distribution, and build upon your work non-commercially.