Submit manuscript...
Journal of
eISSN: 2373-4396

Cardiology & Current Research

Case Report Volume 12 Issue 6

Innominate steal syndrome–a hybrid approach

Nelson Camacho, Carlos Amaral, Gonçalo Alves, Joana Catarino, Ricardo Correira, Rita Bento, Maria Emíia Ferreira

Vascular Surgery Department, University Hospital Center of Central Lisbon, Portugal

Correspondence: Nelson Camacho, University Hospital Center of Central Lisbon, Hospital de Santa Marta, Lisbon, Portugal, Tel +351 213594205

Received: September 10, 2019 | Published: November 25, 2019

Citation: Camacho N, Amaral C, Alves G, et al. Innominate steal syndrome–a hybrid approach. J Cardiol Curr Res. 2019;12(6):151-153. DOI: 10.15406/jccr.2019.12.00458

Download PDF

Abstract

Innominate steal phenomenon is a rare clinical finding, characterized by a flow inversion of a segment or the entire carotid axis, caused by a stenosis/occlusion of the innominate artery.64-years-old male was admitted with dizziness, paresthesia and claudication on right arm. Color duplex scan (CDS) revealed severe stenosis of the innominate artery and total flow inversion of the right internal carotid artery. Surgery consisted of puncture of right brachial artery and exposure of right common carotid artery (CCA). A kissing stent technique was performed with a covered stent on the right CCA and balloon-expandable stent on the right subclavian artery. The postoperative period was uneventful. This case demonstrates the importance of CDS on diagnosing proximal lesions on supra-aortic vessels and the feasibility of a hybrid endovascular approach to treat innominate artery lesions with complete cerebral protection.

Keywords: innominate steal phenomenon, carotid flow inversion, kissing stent technique

Introduction

The innominate and subclavian arteries are the most common locations for stenotic lesions in the upper extremities.1 Innominate steal phenomenon (ISP) is a rare clinical finding, characterized by a flow inversion of a segment or the entire carotid axis, on color duplex scan (CDS), caused by a stenosis or occlusion of the innominate artery.2 Hemodynamic findings on CDS include reversed or bidirectional flow in the right vertebral artery, midsystolic deceleration or total reversed flow in any of the branches of the right carotid axis and an elevated left common carotid artery (CCA)/right CCA ratio.2,3 Unlike subclavian steal, ISP is usually symptomatic, affecting booth posterior fossa and hemispheric cortex.4

Case description

A 64-years-old male was admitted to Vascular Surgery Department with dizziness, nausea, paresthesia and claudication on right arm, in the last 48hours. He had history of smoking habits. Physical examination revealed absent right carotid and right upper limb pulses, systolic pressure was 105mmHg on left arm and 65mmHg on right arm.

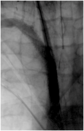
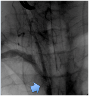
Cranioencephalic computerized tomography excluded acute ischemic lesions.CDS revealed severe stenosis of the innominate artery (PS 38 cm/s) (Figure 1), occlusion of right vertebral artery, total flow inversion of the right internal carotid artery (ICA) (Figure 2), partial endosystolic flow inversion of right CCA (Figure 3) and low amplitude anterograde flow of right external carotid artery, no significant lesions were found on the left carotid axis. Computerized tomography angiography (CTA) excluded significant carotid lesions and revealed pre-occlusive stenosis of the innominate artery by a calcic lesion (Figure 4).Surgical approach consisted of ultrasound-guided puncture of right brachial artery and surgical exposure of right CCA. Brain protection was achieved by direct clamping of the common carotid artery and subsequently carotid and axillary retrograde endovascular access was obtained. Placement of 6F introducer on brachial artery and 8F on right CCA (Figure 5). After pre-dilatation with a 4x40mm balloon (Admiral Xtreme™, Medtronic), a kissing stent technique was performed with a 6x59mm covered stent (AdvantaV12™, Getinge) on the right CCA and 7x57mm balloon-expandable stent (Visi-Pro™, Medtronic) on the right subclavian artery. At the end of the procedure direct expulsion of eventual embolic material was performed prior to declamping and a good permeability of the revascularized arteries was verified (Figure 6). Clamping time was under 1minute. The postoperative period was uneventful and patient was discharged 3days later.

Figure 1 Stenosis of the innominate artery.

Figure 2 Right internal carotid artery with total flow inversion.

Figure 3 Partial endosystolic flow inversion of right common carotid artery.

Figure 4 CTA 3D reconstruction showing the innominate lesion.

Figure 5 Initial angiography. Blue arrow points the lesion.

Figure 6 Final angiography.

Figure 7 Control CDUS with normal anterograde flow. A: right CCA; B: right ICA.

Control CDS, 1 week after surgery, revealed good permeability of the revascularized axis, with normal anterograde flow through right ICA and CCA (Figure 7).Control CTA, performed 1month after the surgery, revealed permeability without stents displacement or compression.5

Conclusion

The results of the largest series reporting supra-aortic vessel treatment suggested that stenting is the treatment of choice in selected patients.5 This case demonstrates the importance of CDS on diagnosing important proximal lesions on supra-aortic vessels and the feasibility of hybrid endovascular approach to treat innominate artery lesions with complete cerebral protection.

Acknowledgments

None.

Conflicts of interest

Author declares that there are no conflicts of interest.

References

Creative Commons Attribution License

©2019 Camacho, et al. This is an open access article distributed under the terms of the, which permits unrestricted use, distribution, and build upon your work non-commercially.