Submit manuscript...
Journal of
eISSN: 2373-4396

Cardiology & Current Research

Research Article Volume 14 Issue 4

Diagnostic and complications of Covid 19 surgical patients

Otljanski A, Nikolovski A, Otljanski M

Department of Medicine, Ss. Cyril and Methodius University, North Macedonia

Correspondence: Aleksandar Otljanski, University Clinic of Cardiology, Ss. Cyril and Methodius University, Faculty of Medicine, Skopje North Macedonia, Tel 071332114

Received: June 10, 2021 | Published: July 8, 2021

Citation: Otljanski A, Nikolovski A, Otljanski M. Diagnostic and complications of Covid 19 surgical patients. J Cardiol Curr Res. 2021;14(4):86-88. DOI: 10.15406/jccr.2021.14.00518

Download PDF

Abstract

COVID 19 is an infectious disease caused by SARS-COV 2, RNA virus member of a broad family of viruses called corona viridae. The aim of this study is to show diagnostic, treatment and complication of surgical patients who were tested positive for SARS-COV 2 in our surgical hospital. In surgical hospitals recommendation is all of the patients who are known or suspected COVID 19 positive must be treated as positive until proven otherwise in order to minimize infection spread. Testing for COVID-19 should be made maximum 72hours prior to the surgical intervention for patients with elective surgery if it is decided elective surgeries to be made. In this study we analyzed COVID positive patients from our hospital in time period from 18 November 2020 to 21 April 2021. We had 7 patients, four male and three female patients. Six of them had surgery, one was treated conservatively. The surgery diagnosis for this patients were acute pancreatitis, liver echinococcosis, adhesive ileus, hip fracture, radial fracture, gangrene caused by diabetic angiopathy, hip fracture with necrosis of pedal skin. Four of them have complication associated with Covid-19 infection.

Keywords: COVID 19 patients, surgical hospital, diagnosis, complications

Introduction

COVID 19 is an infectious disease caused by SARS-COV 2, RNA virus member of a broad family of viruses called coronaviridae.1 Most common symptoms of the disease include fever, dry cough, myalgia, tiredness. Although around 80 percent are with mild symptoms, some patients develop life threatening complications, most commonly acute respiratory failure.2

The aim of our study is to show diagnostic, treatment and complication of surgical patients who were tested positive for SARS-COV 2. First case of COVID 19 in North Macedonia was confirmed in February 2020 and first death from COVID 19 in North Macedonia was confirmed in March 2020.3 In surgical hospitals recommendation is all of the patients who are known or suspected COVID 19 positive must be treated as positive until proven otherwise in order to minimize infection spread. When it is possible, all surgical procedures on all suspected COVID-19 patients should be postponed until confirmed infection clearance. Testing for COVID-19 should be made maximum 72hours prior to the surgical intervention for patients with elective surgery if it is decided elective surgeries to be made. Emergency surgical intervention should be performed despite COVID-19 testing for suspected diagnosis such as perforation of bowel, perforated appendicitis, intestinal ischemia, obstruction secondary to incarcerated hernia, acute pancreatitis with necrosis if no other option available, aortic dissection, aortic emergency, rupture aneyrism, acute limb ischemia, amputation for infection, gangrene, traumatic  injuries. Treatment of surgery patients is a complex matter all by itself, but when there is a serious Covid-19 infection in these patients they are with high risk for complications and mortality.4–6

Material and methods

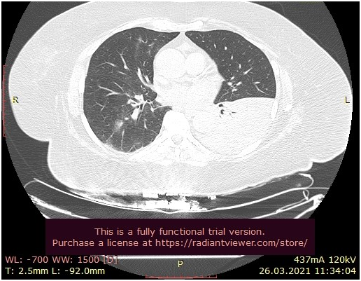
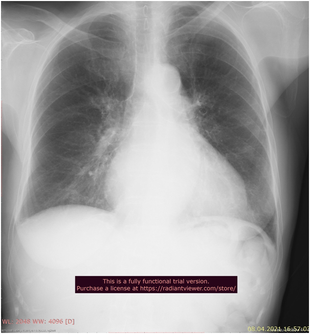
In this study we have 7 COVID positive patients from our hospital in time period from 18 November 2020 to 21 April 2021, four male and three female patients. Six of them had surgery intervention but only one was treated conservatively, because of the diagnosis of acute pancreatitis. Three of the Covid patients were admitted by abdominal surgeon, three of them were admitted by trauma surgeon and one of the patients were admitted by vascular surgeon. Before the surgical intervention we tested the patients and all of them had PCR test positive. When we analyze symptoms three patients were asymptomatic and four of them had COVID 19 related symptoms-dyspnea with low saturation and fever. Four symptomatic patients had COVID 19 pneumonia on RTG and one symptomatic patient had COVID 19 pneumonia on CT lungs. On laboratory analysis four of the patients show lymphocytopenia, low serum iron levels, high level of CRP and D-dimer. Six of the patients who went to surgical intervention, were treated with antibiotics and anticoagulant therapy. Patients who went to abdominal surgery had diagnosis of liver echinococcosis and adhesive ileus, but the third patient was with acute pancreatitis and was treated conservatively. Patients who went to trauma surgery had diagnosis of hip fracture, another patient had hip fracture and pedal skin necrosis and third patient was with radial fracture. Patient admitted on vascular surgery had diagnosis of gangrene caused by diabetic angiopathy. Three patients who were operated by trauma surgeon had successful operation, two of them were released home after few days, and the third female patient who was elderly (80year old) and despite RTG lung with signs of COVID 19 pneumonia, she remained asymptomatic and was transferred to geriatric hospital in stable condition. Patients who were with COVID pneumonia were treated with antibiotics, anticoagulant therapy and three patients who had low saturation were treated with oxygen supply and intravenous corticosteroid therapy. Two patients with COVID 19 pneumonia died from acute respiratory insufficiency and one died from cerebrovascular insult. The patient with acute pancreatitis who was conservatively treated, COVID 19 pneumonia was  diagnose by CT thorax, but the clinical condition worsened and she was transferred to COVID hospital. One of the abdominal patient with diagnose of adhesive ileus  who died from acute respiratory insufficiency had comorbidities DM type 2, St post PCI/Stenting LAD et RCA, St post CVI, and the vascular patient with gangrene and  diabetic angiopathy had comorbidities St post CABG, atherosclerosis generalized and he was the second patient who died from acute respiratory insufficiency, with low O2 saturation 68% and high levels of urea and creatinine in blood, despite being  treated with corticosteroid therapy, oxygen supply, anticoagulant therapy and antibiotics. Female patient with the diagnosis of liver echinococcosis was the third patient who had complication of COVID-19 infection cerebrovascular insult and died from that complication. She had only arterial hypertension as comorbidity (Figures 1 & 2).

Figure 1 Rtg of lungs in 80 old female asymptomatic patient with Covid 19-pneumonia.

Figure 2 CT thorax in 69 old female symptomatic patient with Covid-19 pnemonia.

Discussion

The World Health Organization certifying the pandemic on March 11, 2020, after the first case of SARS-CoV-2 was detected in Wuhan, China, in December 2019. This infection is new for the medicine all around the world with different clinical characteristics, complications, treatment and mortality.7 The coronavirus disease 2019 (COVID-19) had  effect on surgical patients who require surgical care and they have  unique risks due to COVID-either they are asymptomatic or symptomatic COVID-19.This patients have  increases the risk for perioperative morbidity and mortality.8,9 Lin et al. reported a mean preoperative COVID-19 positive testing rate of 0.93% (12 of 1295 patients) for pediatric patients, and Morris et al reported a mean preoperative COVID-19 positive testing rate of 0.74% (18 of 2437 patients) for adult patients can be safely postponed. In a case-control analysis from Italy, Doglietto et al showed that the 30-day risk of mortality for patients with COVID9), compared with patients without COVID-19 (n =82), was significantly higher (19.51% vs 2.44%; odds ratio [OR], 9.5 [95% CI, 1.8-96.5]). The odds for perioperative pulmonary complications also were significantly higher (OR, 35.6 [95% CI, 9.3-205.6]), as were the odds of thrombotic complications (OR, 13.2 [95% CI, 1.5 to ∞]).5,10,11

The results of study show that surgical patients with COVID-19 were associated with a significantly increased odds of morbidity and mortality, the most frequent are pulmonary complications12,13 as COVID-19 pneumonia with acute respiratory insufficiency and thrombotic complications, with the possible prothrombotic state of patients with COVID-19.14,15

Results from our study, show that Covid-19 positive patients who were treated by different subspecialties (abdominal surgery, trauma surgeon, vascular surgery. plastic surgery) in a hospital are associated with Covid-19 complications like, Covid-19 pneumonia and thrombotic complications-cerebrovascular insult. The clinical symptoms were different from asymptomatic form to symptoms like fever and dyspnea with dry cough. The most of them have other comorbidites like cardiovascular disease and diabetes mellitus, and serious surgery diagnosis. Despite of treatment 3 of symptomatic patients died and one who was conservative treated with diagnosis of acute pancreatitis was transfer to Covid hospital with worsen clinical state.

Conclusion

The coronavirus disease 2019 (COVID-19) was detected in patient who undergo surgical intervention and were associated with high mortality and complications, pulmonary and thrombotic complications are the most frequent. Our study has several limitations about the number of patients (only 7 patients) and we cannot theoretically exclude that some patients might have died as a consequence of collateral damage during the COVID-19 outbreak.  To determine the effect of COVID-19 in different surgical subspecialties, on mortality and clinical complicatons more  clinical  studies are neeed with larger cohorts.

Acknowledgments

None.

Conflicts of interest

Authors declare there are no conflicts of interest.

Funding

This manuscript was not supported by any funding.

References

  1. Stewart K, Connelly D, Robinson J. Everything you should know about the coronavirus pandemic. The Pharmaceutical Journal. 2021.
  2. Alimohamadi Y, Sepandi M, Taghdir M. Determine the most common clinical symptoms in COVID–19 patients: a systematic review and meta–analysis. Prev Med Hyg. 2020;61(3):E304–E312.
  3. COVID –19 pandemic in North Macedonia from Wikipedia. 2020.
  4. Kovoor JG, Tivey DR, Williamson P, et al. Screening and testing for COVID–19 before surgery. ANZ journal of surgery. ANZ J Surg. 2020;90(10):1845–1856.
  5. Morris M, Pierce A, Carlisle B, et al. Pre–operative COVID–19 testing and decolonization.  Am J Surg. 2020;220(3):558–560.
  6. Kibbe MR. Surgery and COVID–19.  2020;324(12):1151–1152.
  7. Huang C, Wang Y, Li X . Clinical features of patients infected with 2019 novel coronavirus in Wuhan, China. Lancet. 2020;395(10223):497–506.
  8. Lei S, Jiang F, Su W,et al. Clinical characteristics and outcomes of patients undergoing surgeries during the incubation period of COVID–19 infection. Eclinical Medicine. 2020;21:100331.
  9. Coccolini F, Perrone G, Chiarugi M, et al. Surgery in COVID–19 patients:operational directives. World J Emerg Surg. 2020;15(1):25.
  10. Li YK, Peng S, Li LQ, et al. Clinical and transmission characteristics of COVID–19—a retrospective study of 25 cases from a single thoracic surgery department.  Curr Med Sci. 2020;40(2):295–300.
  11. Doglietto F, Vezzoli M, Gheza F,et al. Factors associated with surgical mortality and complications among patients with and without coronavirus disease 2019 (COVID–19) in Italy. JAMA Surg. 2020;155(8):691–702. 
  12. Aminian A, Safari S, Razeghian–Jahromi A, et al. COVID–19 outbreak and surgical practice: unexpected fatality in perioperative period.  Ann Surg. Ann Surg. 2020;272(1):e27–e29.
  13. COVIDSurg Mortality and pulmonary complications in patients undergoing surgery with perioperative SARS–CoV–2 infection: an international cohort study. Lancet2020; 396(10243):27–38
  14. Klok FA, Kruip MJHA, van der Meer NJM, et al. Incidence of thrombotic complications in critically ill ICU patients with COVID–19.  Thromb Res. 2020;191:145–147.
  15. Wang T, Chen R, Liu C, et al. Attention should be paid to venous thromboembolism prophylaxis in the management of COVID–19. Lancet Haematol. 2020;7(5):e362–e363.
Creative Commons Attribution License

©2021 Otljanski, et al. This is an open access article distributed under the terms of the, which permits unrestricted use, distribution, and build upon your work non-commercially.