Submit manuscript...
Journal of
eISSN: 2373-4396

Cardiology & Current Research

Case Report Volume 15 Issue 1

COVID 19 infection requiring ECMO support after Fontan operation

Douglas Rossoni,1 Juliana Torres Pacheco,2 Rodrigo Freire Bezerra,1 Rodrigo Moreira Castro,1 Andre Gasparoto,2 Ana Paula Margeotto,3 Anita Saldanha,3 Tania Leme da Rocha Martinez3

1Department of Cardiac Surgery, BP – A Beneficência Portuguesa de São Paulo, Brazil
2Intensive Care Unit, BP - A Beneficência Portuguesa de São Paulo, Brazil
3Department of Nephrology, BP – A Beneficência Portuguesa de São Paulo, Brazil

Correspondence: Tania Leme da Rocha Martinez, BP - A Beneficência Portuguesa de São Paulo Rua Comandante Ismael Guilherme, 358 - Jardim Lusitânia, CEP 04031-120 - São Paulo – SP, Brazil, Tel 55 11 98323-9863, Fax 55 11 3842-3789

Received: November 16, 2021 | Published: January 24, 2022

Citation: Rossoni D, Pacheco JT, Bezerra RF, et al. COVID 19 infection requiring ECMO support after Fontan operation. J Cardiol Curr Res. 2022;15(1):1-2. DOI: 10.15406/jccr.2022.15.00540

Download PDF

Abstract

The global spread of the novel severe acute respiratory syndrome coronavirus 2 (SARS-CoV-2) has resulted in an unparalleled pandemic associated with coronavirus disease 2019 (COVID-19). We report a case of severe COVID-19-associated with acute respiratory distress syndrome (ARDS) in an adult with single-ventricle physiology after total cavopulmonary palliation that evolved to veno-arterial extracorporeal membrane oxygenation (ECMO). Adults with congenital heart disease represent a growing and complex population of patients who requires a proactive and tailored treatment in case of COVID-19 infection, especially those with single ventricle palliation as Fontan patients. Patients with pre-existing heart diseases constitute a high-risk population for development of a severe acute COVID-19 and for decompensation of cardiac conditions. To minimize SARS-CoV-2 complications, extensive preventive measures are essential for these patients.

Keywords: severe acute respiratory syndrome coronavirus 2 (SARS-CoV-2), coronavirus disease 2019 (COVID-19), acute respiratory distress syndrome (ARDS), total cavopulmonary palliation (Fontan procedure), congenital heart disease

Abbreviations

ARDS, acute respiratory distress syndrome; COVID-19, coronavirus disease 2019; ECMO, extracorporeal membrane oxygenation; ICU, intensive care unit; SARS-CoV-2, acute respiratory syndrome coronavirus 2

Introduction

The global spread of the novel severe acute respiratory syndrome coronavirus 2 (SARS-CoV-2) has resulted in an unparalleled pandemic associated with coronavirus disease 2019 (COVID-19).1 Even though SARS-CoV-2 results in mild flu-like symptoms in the majority of healthy and young patients affected, patients with pre-existing cardiovascular disease belong to a risk population of increased adverse outcomes.2 We report a case of severe COVID-19-associated with acute respiratory distress syndrome (ARDS) in an adult with single-ventricle physiology after total cavopulmonary palliation that evolved to veno-arterial extracorporeal membrane oxygenation (ECMO).

Case report

Female patient, 20 years old, with left atrial isomerism and total atrioventricular septal defect with double outlet left ventricle. She was already submitted to surgical corrections through single ventricle palliation: atrioventricular valve plasty, bidirectional Glenn surgery, total cavopulmonary connection procedure (connection of suprahepatic veins to the pulmonary arteries through an extra cardiac tube) and pacemaker implantation. On January 27th, 2021, patient was readmitted to our service to pacemaker generator replacement. The procedure took place on February 3rd, 2021, without complications.

However, 3days later, a surgical wound infection appeared and antibiotic therapy using Teicoplanin was started. On February 10th, X-ray began to show signs of pulmonary congestion and patient evolved with desaturation. A COVID-19 test was taken, with negative result. She showed mild improvement in dyspnea during hospitalization, and on her 26th day at the hospital, she presented acute kidney injury of probable cardiorenal etiology. The institution of renal replacement therapy was necessary. The patient was admitted to the Intensive Care Unit (ICU) on February 23rd due hypotension, and it was necessary to use antimicrobial regimen due to infectious worsening on February 25th. Three days later adrenaline was associated in a dose of 0.1mcg/kg/min, on a patient already using dobutamine at 5 mcg/kg/min.

She presented clinical improvement despite persistence of edema even with negative fluid balance and improvement of renal function. On March 8th, she was discharged from ICU. But was readmitted on March 15th, after an infectious worsening, febrile peak, and respiratory distress.

COVID-19 contamination was confirmed on March 16th, rapidly evolving to orotracheal intubation on March 17th. Continuous hemodialysis and vasoactive drugs (adrenaline and milrinone) were again needed. Lung computerized tomography confirmed more than 50% lung affected by SARS-CoV-2, and patient evolved in need of prone positioning.

After clinical deterioration, patient maintained hypoxemic. Due to hemodynamic instability, the use of an extracorporeal support system was necessary. ECMO assistance was the chosen method, and a veno-venous cannulation was performed with the right internal jugular vein as the outflow site and the right femoral vein as the inflow site. Patient presented immediate improvement of saturation and blood pressure.

However, during the following days, she evolved with gradual worsening of hemodynamics, needing to rise vasoactive drugs to maintain adequate blood pressure. The conversion from a veno-venous assistance to a veno-arterial assistance was necessary and was performed on March 5th. Arterial cannulation was done using a Polytetrafluoroethylene (PTFE) tube to connect the carotid artery and venous drainage was obtained through right internal jugular vein and right femoral vein cannulation.

Despite of the hemodynamic improvement on the next day, the patient began to present orotracheal bleeding and major epistaxis. The antibiotic therapy was optimized with Meropenen, Linezolid and Amikacin. On March 7th, in spite of all the efforts, the clinical worsening and the unfeasibility of clinical reversal, it was decided to stop the circulatory assistance of the patient, which was decannulated and evolved to death hours later.

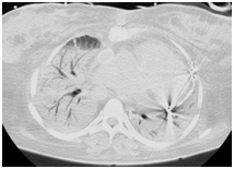
Figure 1 Tomographic aspect demonstrating Fontan pervium extracardiac tube.

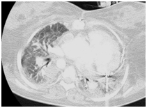
Figure 2 Tomographic aspect demonstrating pulmonary involvement by Covid 19 on March 19, 2021.

Figure 3 Tomographic aspect demonstrating pulmonary involvement by Covid 19 on April 4, 2021.

Discussion

Adults with congenital heart disease represent a growing and complex population of patients who requires a proactive and tailored treatment in case of COVID-19 infection. Among the most vulnerable congenital heart patients are those with single ventricle palliation. Patients with ARDS will typically present a high mean pulmonary artery pressure, what could be devastating to patients with Fontan physiology reliant on passive pulmonary blood flow.1

Most cases of congenital heart disease patients require only pediatric intensive care unit admission and inotropic support, with the rare need for ECMO.3 Our patient, however, after COVID-19 infection needed veno-venous ECMO to help improving oxygenation. Management might be complicated by the fact that in patients with single-ventricle physiology common principles of ventilatory settings are opposite to those with ARDS.

Besides, increased intrathoracic pressure may lead to deleterious effects on the intrapulmonary and intracardiac hemodynamics with decreased pre-load and ultimately decreased systemic cardiac output in patients with Fontan physiology, explaining the necessity of conversion to veno-arterial ECMO.

Our patient did not have a good outcome, evolving to death despite all these efforts. Indeed, patients with pre-existing heart diseases constitute a high-risk population for development of a severe acute COVID-19 and for decompensation of cardiac conditions.1

Conclusion

The COVID-19 pandemic has acutely impacted patients with underlying medical conditions. Currently, there are no reliable data with regards to the burden of infected children and adults with congenital heart disease and the COVID-19 related to morbidity and mortality. To minimize SARS-CoV-2 complications, extensive preventive measures are essential for these patients.

Acknowledgments

None.

Conflicts of interest

Author declares that there are no conflicts of interest towards publication of this article.

Funding

None.

References

Creative Commons Attribution License

©2022 Rossoni, et al. This is an open access article distributed under the terms of the, which permits unrestricted use, distribution, and build upon your work non-commercially.