Submit manuscript...
Journal of
eISSN: 2373-4396

Cardiology & Current Research

Case Report Volume 15 Issue 4

Coexistence of Takotsubo cardiomyopathy and acute myocardial infarction

Ashish K Mohapatra, Ravinder S Sambi, Cyril James

Senior Consultant, Interventional and Structural Cardiology, Bethanien Hospital, Germany

Correspondence: Dr. Ashish Kumar Mohapatra, Senior Consultant, Interventional and Structural Cardiology, Bethanien Hospital, Moers, Germany , Tel +49-17647840414

Received: June 13, 2022 | Published: July 19, 2022

Citation: Mohapatra AK, Sambi RS, James C. Coexistence of Takotsubo cardiomyopathy and acute myocardial infarction. J Cardiol Curr Res. 2022;15(4):94-96. DOI: 10.15406/jccr.2022.15.00560

Download PDF

Abstract

Takotsubo cardiomyopathy is one reversible heart disease, which presents as an acute myocardial infarction with ST-elevation in ECG. This Takotsubo Cardiomyopathy is one of the Cath laboratory diagnosis, that means, if the apical ballooning along with absence of obstruction of the corresponding coronary artery, then only the Takotsubo cardiomyopathy is diagnosed. But however there may be some exceptions. We describe a case of 80yr old male presenting the Emergency department with typical anginal symptoms for 3hours suggestive of acute myocardial infarction. The initial ECG demonstarted lateralwall Infarction. Serology revealed elevated cardiac Enzymes. As per the guidelines one emergency coronaryangiography was performed and revealed occluded Ramus diagonalis-2 and Plaque Rupture in mid segment of Right coronary artery, the ventriculography confirmed apical ballooning consistent with takotsubo cardiomyopathy and not in the vascular territory supplied by the occluded epicardial vessel. Traditionally, the Takotsubo Cardiomyopathy is labelled as a diagnosis only in absence of  the obstruction of the corresponding coronary artery. This case however reflects the coexistence of the obstructed coronary artery and the takotsubo cardiomyopathy and moreover in a male, so the diagnostic criteria for Takotsubo cardiomyopathy my need a prompt review and this case definitely adds to the number of coexistence.

Keywords: acute myocardial infarction, Takotsubo cardiomyopathy, broken heart syndrome, stress cardiomyopathy

Introduction

As described in 1991 in Japanese Patient Population, the Takotsubo Cardiomyopathy is reversible heart failure, the major culprits are the postmenopausal women following Stress,2 it may be physical or psychological.1 A number of synonyms used fort the special disease including stress cardiomyopathy,5 Broken heart Syndrome,3 takotsubo cardiomyopathy etc.4 This disease presentation mimics one acute myocardial infarction with anginal symptoms and mostly associated with ST-segment Elevation and less often ST segment depression or T wave inversion. Geographically  Takotsubo cardiomyopathy occurs worldwide, approximately 2% of the patient population presenting as acute coronary syndrome to emergency departments.6

The takotsubo cardiomypathy is considered as a self-limiting disease, however this can get complicated with cardiogenic shock, cardiac arrest, congestive heart failure, pulmonary edema and Left ventricle Thrombus followed by stroke.7 The pathology is unclear till date, however number of hypothesis still exist. As demonstrated in few Studies, the excessive surge of Chaltecholamines because of emotional stress causes myocardial stunning.6,8 The cases of shock and death are more pronounced  with the occurrence of Takotsubo cardiomyopathy  secondary to any of the following physical stressor such as  hemorrhage, pulmonary embolism, sepsis complicated brain damage and severe COPD.5

The name takotsubo is derived from the the japanese word takotsubo “Octopus trap“.as the shape of the  affected left ventricle resembles as an Octopus Trap.9

As per Study published in October 2021 in Journal of the American Heart Association, there is a rise in number of Takotsubo Cardiomyopathy cases in females 50years old and above. However, men are not completely excluded.10 This may be postulated with increased intensity of Stress in Life and concomitant comorbidity.

Case presentation

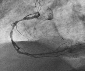
A 81year old gentleman presented to the emergency department accompanied by emergency physician and paramedics with typical angina symptoms for last 1hour associated with Dyspnoe, nausea  and vomitimg. The chest pain has subsided with administration of Morphin i.v. On arrival in the emergency department, one immediate 12-lead ECG  was done, that showed lateral wall  ST-elevated myocardial infarction (Figure 1). Wihout delay as per the current guidelines one emergency  angiogram was done, that revealed one occluded Ramus diagonalis branch of Left anterior descending artery(Figure-2) and one Plaque rupture in mid segment of right coronary artery with subtotal occlusion (Figures 2 & 3). Immidiately the coronary flow in Ramus diagonalis -2 was regained and the culprit lesion was treated with 2 drug eluting stents  2,25X14mm size, the end result was TIMI III Flow in Ramus diagonalis -2. During the procedure the EKG showed ST elevation in lead II, III and aVF with intermittent Atrioventricular Block III, Blood pressure was 100/56mm Hg and heart rate was 65 per minute. We decided to perform the angioplasty of Right coronary artery. The flow in right coronary artery was restored and the culprit lesion as treated with 2 Drug eluting stents 3.0X19 mm and 3,5X 14mm, resulting in TIMI III Flow. The ST elevation leads II, III and aVF were settled.

Figure 1 Initial ECG.

Figure 2 Coronaryangiography.

Figure 3 Coronaryangiography.

A ventriculography (Figure 4) was in LAO and RAO projections performed and revealed apical ballooning with preserved basal contraction function. This picture was showing a typical takotsubo cardiomyopathy.

Figure 4 Levocardiography.

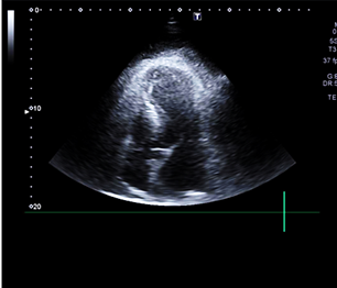
Initial echocardiography (Figure 5) showed severely reduced ejection fraction (LVEF =25%) with mid septal, apicoseptal, apical, apicolateral and mid lateral wall akinesia, representing the typical apical ballooning. The laboratory investigations showed Hemoglobin of 14,2mg/dl, electrolytes in normal range, slightly raised creatinine of 1,22mg/dl. Initial high sensitive Troponin T was 148pg/ml(ref=<14pg/ml)and peaked up to 2231 pg/ml next day (Figure 6).

Figure 5 Echocardiography.

Figure 6 Troponin Values.

The patient developed cardiogenic shock and oliguria, Troponin raised up to 4000pg/ml and raised creatinine value, immediately shifted to cardiac intensive care unit and we could stabilized the hämodynamics with the support of intravenous catecholamines(Noradrenaline and Dobutamine),with keeping the mean arterial pressure around 70mm Hg  we achieved reversal of the kidney function. Meanwhile the patient developed left lower lobe pneumonia, which was treated with calculated antibiotic therapy. After 5days we could wean off the catecholamines and after observing for one day in intensive care units we started the guideline directed medical therapy for heart failure and shifted to ward. After 5 days of guided Treatment in ward we performed one echocardiography before discharge and revealed a better Left ventricular function (LVEF 45%) and no apical ballooning global hypokinesia.

The patient was discharged with guideline directed medical therapy for heart failure Entresto, Betablocker, Spironolactone and Empaglifozin, DAPT aspirin and Ticagrelor along with Atrovastatin. At the time of discharge the patient was completely free of symptoms. The patient was enrolled to a cardiac rehabilitation centre in post hospitalisation days. A follow-up in cardiac OPD after 3months of Heart failure treatment was organised, the patient was doing absolutely fine without any kind of complaints and difficulties, follow up echocardiography revealed normal left ventricular function(LVEF =62%) without any regional wall motion abnormalities as documented during the hospitalised days.

Discussion

According to the Mayo clinic diagnostic criteria11 the takotsubo cardiomyopathy is diagnosed with apical ballooning of the left ventricle in absence of coronary artery obstruction either total or subtotal occlusion following plaque rupture  or dissection as well.12 However there are documentation of several case reports of takotsubo cardiomyopathy along with coronary artery obstruction. and acute myocardial infarction.13

To the best of our knowledge, this is one unique case presenting the association of the takotsubo cardiomyopathy and acute ST elevated myocardial infarction and associated complication in a male patient. The patient was one happy going person with absence of any emotional disturbances or any kind of physical stress in last few days. A hypothesis may be posulated that the myocard infarction associated emotional stress could have triggered the excessive surge of catecholamines resulting in the takotsubo cardiomyopathy. In another way of postulating the concept of postischaemic myocardial stunning may be the triggering factor.14 Or else the presenting diagnosis of acute myocardial infarction may be triggered by the takotsubo cardiomyopathy.15

As per the case report published by Y-Hassan et al. there is a case of acute myocardial infarction caused by the left ventricle thrombus as a result of a takotsubo cardiomyopathy.16 There are lot many postulated theories, as per Daly et al.17 the chest pain in acute myocardial infarction could be one postential triggering factor for sympathetic activation leading to takotsubo cardiomyopathy.17 As described one article from Frangieh et al. the ST-T Changes particularly the T-wave inversion in the emergency department was two times more common as compared with acute myocardial infarction.18 The absence of heart failure symptoms, sudden onset of typical angina symptoms with radiation to left arm aasociated with sweating and vomiting and initial ST elevation in ECG followed by ECG evolution with T wave inversion could suggest more in favour of initial acute myocardial infarction followed by the takotsubo cardiomyopathy. The Takotsubo  cardiomyopathy is more predictive ,if there is rapid peak and subsequent  slow rise of Troponin,19 in contrast in our case there was very rapid rise of  subsequent troponin values.

To our expectation this case adds to the group of patients presenting with takotsubo cardiomyopathy in coexistence with coronary artery obstruction, which does not fit to the diagnostic criteria of takotsubo cardiomyopathy. However as there are rising numbers of cases of takotsubo cardiomyopathy along with acute myocardial infarction, we need to be more focused to identify the pathophysiological association in between these two entities.

Acknowledgments

None.

Conflicts of interest

Author declare thier are no conflits of interest towards this artilce.

Funding

There was no funding provided for this work.

References

  1. Dote K, Sato H, Tateishi H, et al. Myocardial stunning due to simultaneous multivessel coronary spasms: a review of 5 cases. J Cardiol. 1991;21(2):203–214.
  2. Bossone E, Savarese G, Ferrara F, et al. Takotsubo cardiomyopathy: overview. Heart Fail Clin. 2013;9(2):249–266.
  3. Mukherjee A, Sunkel–Laing B, Dewhurst N, et al. Broken heart’ syndrome in Scotland: a case of Takotsubo cardiomyopathy in a recently widowed lady. Scott Med J. 2013;58(1):e15–e19.
  4. Sharkey SW, Lesser JR, Maron MS, et al. Why not just call it tako–tsubo cardiomyopathy: a discussion of nomenclature. J Am Coll Cardiol. 2011;57(13):1496–1497.
  5. Maron BJ, Towbin JA, Thiene G, et al. Contemporary definitions and classification of the cardiomyopathies: an American Heart Association Scientific Statement from the Council on Clinical Cardiology, Heart Failure and Transplantation Committee; Quality of Care and Outcomes Research and Functional Genomics and Translational Biology Interdisciplinary Working Groups; and Council on Epidemiology and Prevention. Circulation. 2006;113(14):1807–1816.
  6. Akashi YJ, Nef HM, Lyon AR. Epidemiology and pathophysiology of Takotsubo syndrome. Nat Rev Cardiol. 2015;12(7):387–397.
  7. Jelena–Rima G, Ilan Shor W, Abhiram P, et al. International Expert Consensus Document on Takotsubo Syndrome (Part I): Clinical Characteristics, Diagnostic Criteria, and Pathophysiology. Eur Heart J. 2018;39(22):2032–2046.
  8. Francesco P, Juan Carlos K, Filippo C, et al. Pathophysiology of Takotsubo Syndrome. Circulation. 2017;135(24):2426–2441. 
  9.  Akashi YJ, Nef HM, Möllmann H, et al. Stress cardiomyopathy. Annu Rev Med. 2010;61:271–286.
  10. Christensen T. Broken heart syndrome' on the rise, increasingly among women. American Heart Association News. 2022.
  11. Scantlebury DC, Prasad A. Diagnosis of Takotsubo Cardiomyopathy. Circulation Journal. 2014;78(9):2129–2139.
  12. Hassan SY, Henareh L. Spontaneous coronary artery dissection triggered post–ischemic myocardial stunning and takotsubo syndrome: two different names for the same condition. Cardiovasc Revasc Med. 2013;14(2):109–112.
  13. Hurtado Rendón IS, Alcivar D, Rodriguez–Escudero JP, et al. Acute myocardial infarction and stress cardiomyopathy are not mutually exclusive. Am J Med. 2018;131(2):202–205.
  14.  Hassan SY, Themudo R, Maret E. Spontaneous coronary artery dissection and takotsubo syndrome: the chicken or the egg causality dilemma. Catheter Cardiovasc Interv. 2017;89(7):1215–1218.
  15. Madias JE. On a plausible association of spontaneous coronary artery dissection and takotsubo syndrome. Can J Cardiol. 2015;31(11):1410.e1.
  16.  Hassan SY, Holmin S, Abdula G, et al. Thrombo–embolic complications in takotsubo syndrome: review and demonstration of an illustrative case. Clin Cardiol. 2019;42(2):312–319.
  17.  Daly MJ, Dixon LJ. Takotsubo cardiomyopathy in two preoperative patients with pain. Anesth Analg. 2010;110(3):708–711.
  18.  Frangieh AH, Obeid S, Ghadri, et al. ECG criteria to differentiate between takotsubo (stress) cardiomyopathy and myocardial infarction. J Am Heart Assoc. 2016;5(6):e003418.
  19. Vaidya G, Jaiswal AJ, Madhira B, et al. GET QT’: clinical criteria to differentiate takotsubo cardiomyopathy from STEMI. International Cardiovascular Forum Journal. 2016;5:53–57.
Creative Commons Attribution License

©2022 Mohapatra, et al. This is an open access article distributed under the terms of the, which permits unrestricted use, distribution, and build upon your work non-commercially.