Submit manuscript...
Journal of
eISSN: 2373-4396

Cardiology & Current Research

Research Article Volume 17 Issue 2

Chronic venous insufficiency with catheter- guided echo foam. Description of a technique; Arranz technique

González-Arranz MA,1 Calavia-Santamaría C,2 Azcona-Tejada S,2 Blanco-Torre P2

1Medical Director Dr. Arranz Vascular Surgery Clinic, Specialist in Angiology, Vascular Surgery and Phlebology, Spain
2Nurse, Dr. Arranz Vascular Surgery Clinic, Spain

Correspondence: Miguel Angel Gonzalez Arranz, Medical Specialist in Angiology and Vascular Surgery, Clinical Director of Vascular Surgery Dr Arranz. Logroño, C/ Miguel Villanueva n.8, 1º D. Logroño, Spain

Received: February 02, 2024 | Published: March 15, 2024

Citation: Ángel GAM, Santamaría C, Sara CAT. Chronic venous insufficiency with catheter- guided echo foam. Description of a technique; Arranz-technique. J Cardiol Curr Res. 2024;17(2):23-25. DOI: 10.15406/jccr.2024.17.00600

Download PDF

Abstract

Catheter foam treatments guarantee effective and safe administration of medications, avoiding the risks of extravasation. Seldinger catheterization under DUS of the superficial venous trunks offers us a simple and effective technique, with similar results to the direct administration of foam in the CVI.

The Arranz technique is a technique developed for the specific treatment of CVI of the saphenous axes, Great saphenous, Small saphenous, Anterior saphenous.

Keywords: varicose veins, chronic venous insufficiency, catheters, foam

Introduction

Polidocanol foam treatments, in their different modalities and presentations, have been successfully practiced for several decades. The last guidelines give them an indication in the treatment of Chronic Venous Insufficiency (CVI), in cases of saphenous trunk insufficiency, with results similar to intravenous techniques or surgeries.

The objective of this article is to describe a technique for applying foam in the treatment of saphenous axes insufficiency.

Material and methods

Introduction

Polidocanol foam treatments are applied to seal the saphenous shafts and their varicose tributaries in the CVI. Its administration under ultrasound control (DUS) is essential, which allows us to safely manage the vessels in which we administer the foam. In most cases, this administration is done with freehand puncture, a situation that facilitates possible extravasation of the medication with the consequent risk of generating complications. It must be taken into account that the administration of high doses of Polidonol or Tetradecil Sulfate Sodium (TSS), drugs that are most frequently used in the configuration of foams, are tissue toxic when extravasated, and can generate spots, inflammatory dermatitis or tissue necrosis. They are even more at risk when this administration is carried out in an arterial vessel due to accidental puncture, and in these unfortunate cases it can generate extensive necrosis of muscle tissues of the extremities.

The search for the safe administration of these drugs is based on a first pillar, which is administration under ultrasound control, with uncontrolled administration being malpractice in any of the situations. If we add to this ultrasound control that the administration is carried out through an endoluminal catheter placed in the target vessel, we obtain almost absolute safety parameters in the control of the foam in the vessel to be treated.

Catheter administration is not a new technique. Its administration has been described for years using short Abocath -type catheters, or long catheters such as the Cavezzi technique, or treatment catheters typical of endovascular techniques, designed for the treatment of arterial pathology.1,2

Similarly, Mechano-Chemical ablation (MOCA) techniques use the administration of foam through catheters with complementary mechanisms to erode the vascular endothelium.

However, the catheters used for its administration do not have a specific design for the treatment of the IVC and its saphenous trunks, being either excessively short as occurs with the abocath or excessively long which leads to denaturation of the foams in their passage. and contact with catheter materials. Other catheters and methods described are carried out by administering introducers, which have valves with the possible entry of ambient air that impairs the concentrations and quality of the foam at the time of its administration.3

Description of the technique

We describe our own technique in the treatment of CVI with reflux from the Great saphenous, Small saphenous, Anterior saphenous.

We carry out a diagnosis of all patients in a first clinical consultation, in which anamnesis, inspection and clinical examination are carried out. The study is completed with DUS of the lower extremities.
Once the reflux points have been identified, their pathology and therapeutic options are explained to the patient.

Inclusion criteria for treatment include men and women without age limit, with anatomical criteria of Saphenous Veins less than 6 cm, accepting a maximum of 8 cm. Although treatment is performed with veins higher than these criteria, they are not included in the study. Once the alternatives have been explained, after a photographic record and corresponding signing of the informative consent document, the session is scheduled.

The treatments are carried out in a phlebological clean room, equipped with an ultrasound machine with a 3-13MHz multi-frequency linear probe and a specific venous preset. (Figures 1&2)

Figure 1 Phlebological treatment room. Patient positioning, ultrasound, and treatment table.

Figure 2 Positioning of the patient to perform the Seldinger of the vessel to be treated. In this case, exposition for treatment of internal sapena or anterior sapena.

The patient is prepared for percutaneous puncture, with sterilization of the area with Chlorhexidine, and the puncture is performed under ultrasound control using the Seldinger technique with a 21G x 5, 8 or 12 cm Arrow catheter. (Figures 3-5)

Figure 3 Preparation of materials for Arranz Technique. Arrow 21G 8 cm catheter, and foam using an Easy foam device.

Figure 4 Image A: Foam administration with the catheter fully introduced. Image B: Partial removal of the catheter which allows progressive distribution along the vessel.

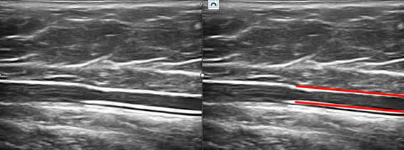
Figure 5A Cross-sectional ultrasound image. Intra-fascial Greater Saphenous Vein, showing Arrow catheter tip.

Figure 5B Ultrasound image in longitudinal section showing position of the endoluminal Arrow catheter.

Once the vessel has been catheterized, the tip of the catheter is placed 10 cm from the femoral saphenous confluent.

Inorder to achieve a homogeneous foam, and avoid the variability of the treatments, the foam is made with 3% (30mg) Polidocanol using an EassyFoam®, from Ferrer Laboratories.

Administration is carried out under DUS, with slow administration of 2 cc of foam, and administration of another 2 cm of foam in withdrawal, observing the adequate distribution of the medication along the vein. Administration of the drug should be painless. In our case, Trendelenburg placement is performed prior to the administration of the foam, which increases the safety of the treatment while reducing the diameter of the vessel, facilitating contact with the endothelium of the Polidocanol foam, and improving its effectiveness.

Once the administration of the drug is completed, the patient is left to rest for 10 minutes in the Trendelenburg position. Compression stockings are placed, avoiding sudden efforts and valsalva at all times.

The review of the treatment is carried out after 3 weeks, where we carry out a control of the previous session. In cases where vessel occlusion has not occurred and sclerus is not appreciated endoluminal the session is repeated with the same characteristics. If occlusion of the treated axis has occurred, foam administration continues on the insufficient axis, and subsequently on the varicose tributaries, with lower foam concentrations.4-6

Results

Since 2017, 356 saphenous axes have been treated. Patients who did not meet inclusion criteria were excluded, either because they did not administer via catheter foam or because they used foam concentrations or modalities other than those described, leaving a total of 275 saphenous axes.

The distribution by sex is 225 women and 50 men. The difference in inclusion in the treatment lies in the fact that the author has a certain preference for endoluminal techniques in men.

The axes treated are 178 Great Saphenous vein, 79 Small Saphenous vein, and 18 Anterior Saphenous vein. The average number of sessions performed for the closure of the proximal portion of the treated axis has ranged between 1.04 sessions/patient for the Small saphenous vein, 1.18 sessions/ patient for the Great saphenous vein and 1.16 sessions/patient for the anterior saphenous vein. There has been no difference by sex in occlusion percentages..

Complications of the treatments were recorded. In no case of drug extravasation or complications due to the puncture technique occurred. Minor complications were associated on two occasions with thrombosis of the tibiofibular trunk that was satisfactorily resolved with heparinic medical treatment. One of the cases was confirmed hereditary thrombophilia in subsequent genomic study. One patient presented visual scotomas during treatment. Cardiology studies of patent foramen ovale were requested with a finding of possible atrial septal defect, so treatment was not continued with subsequent sessions. On one occasion there was syncope associated with anxiety about the treatment. 16 cases presented minor pigmentation that resolved spontaneously.

Results

Table 1-3.

 

MAN

WOMEN

Middle ages

58 years

64 years

Sex

50 cases

225 cases

Great S.

29

149

Small S.

18

61

Anterior S.

3

15

Table 1 Number of cases treated according to distribution by sex, and by axis treated. *Great Shaphenous-> Great S; Small Saphenous-> Small S; Anterior Saphenous -> Anterior S.

N        

Treated axle

1 session

2 session

3 session

4 session

Media-x

178

Great S.

158

12

4

4

1.18s

79

Small S.

76

3

-

-

1.04s

18

Anterior S.

16

1

1

-

1.16s

Table 2 Number of sessions required to achieve occlusion of the treated axis

Table 3 Percentage of sessions necessary to achieve complete axis occlusion

Discussion

CVI treatments using foam are proposed as a comfortable, minimally aggressive, and effective treatment in solving the CVI.

The variability of the foam and the accessibility of the treatment means that its use and application has spread in multiple consultations. However, it is not without complications. The need for comprehensive knowledge of vascular ultrasound, training in DUS-guided puncture is essential to achieve satisfactory results.

Although treatments using catheters complicate the technique, the guarantee of adequate catheterization of the vessels allows us to use foams with high concentrations with absolute safety, increasing their effectiveness and improving the effectiveness of the procedures.

The Arranz technique is presented as a simple procedure with a catheter, which in the absence of specific devices for phlebological use, is postulated as a very suitable procedure for managing the venous vessel, both in size and morphology. The safety of the catheterization of the target saphenous trunk allows us to prepare the foams comfortably, without latency intervals from its preparation to its administration due to a possible complex direct puncture, which deteriorates the quality of the foam. In the same way, it allows us to place the patient in positions that reduce the size of the vein, with the security of having the trunk canalized correctly and safely. Likewise, it allows visualization of the application and distribution of the foam under DUS, stopping or modifying the administration area without the need for a second puncture or the loss of the approach we had.

It has the advantage over short abocath -type catheters of ensuring catheterization of the vein with greater guarantee, and its persistence in it, at the same time that, being longer, it allows us to access the saphenous- femoral and saphenous-popliteal confluents with greater precision.
Regarding long catheters for arterial use such as omniflush or similar, they avoid the passage of the foam through a long plastic conduit that does not guarantee its quality when it comes into contact with its endothelium.

We think that this technique, based on our experience, can provide another step in effectiveness and safety in the treatment of Chronic Venous Insufficiency through chemical foam ablation.

Declaration of interests

The author declares that he has no conflict of economic or commercial interests of any kind with the companies of products used and mentioned in this article, being an exclusively informative interest and with a scientific purpose.

References

Creative Commons Attribution License

©2024 Ángel, et al. This is an open access article distributed under the terms of the, which permits unrestricted use, distribution, and build upon your work non-commercially.