Submit manuscript...
Journal of
eISSN: 2373-4396

Cardiology & Current Research

Case Report Volume 5 Issue 4

Bouncing Guide and a Lost Stent

Saad Al Bugami, Farqad Alamger, Wael Al Kashkari

King Saud Bin Abdulaziz University, Saudi Arabia

Correspondence: Saad Al Bugami, King Saud Bin Abdulaziz University, King Abdulaziz Medical City, king Faisal Cardiac center, Jeddah 21423, Saudi Arabia, Tel 966505516952

Received: April 07, 2016 | Published: April 20, 2016

Citation: Bugami SA, Alamger S, Kashkari WA (2016) Bouncing Guide and a Lost Stent. J Cardiol Curr Res 5(4): 00173. DOI: 10.15406/jccr.2016.05.00173

Download PDF

Abstract

Coronary artery dislodgment is a rare but potentially lethal complication of percutaneous coronary intervention. We describe a case of an elective radial access right coronary artery PCI complicated by stent dislodgment into the aortic root and its successful retrieval with En-snare system through femoral access.

Keywords:stent dislodgement, coronary stent loss, en- snare, stent retrieval

Introduction

Stent embolization into the systemic or coronary circulation prior to deployment is a rare occurrence but is a recognised complication of coronary stenting, which poses a serious risk to the patient.1,2 The risk of serious complications such as acute stent thrombosis leading to myocardial infarction, death, embolization, and need for an emergency operation, persists.3-5 Stent loss is more likely to occur in lesions which are significantly angulated proximally to the lesion and when calcification is present.6,7

There are many methods of stent retrieval. The following devices can be used: a small-balloon catheter, a snare loop, the two-wire technique and instruments used only beyond the coronary circulation such as grasping forceps and basket retrieval devices.5,8-13 The snare loop currently appears to be the most efficient retrieval device.6,13-14 If stent retrieval is not possible, an attempt can always be made to crush it against the vascular wall with another stent so as to stabilise the first one.5,8

We describe a case of stent dislodgment during right coronary artery elective PCI and the successful manoeuvres to retrieve and exteriorize the dislodged stent using an ensnare looped system.

Case history

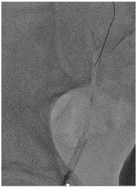
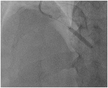
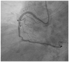
A 66-year old male with long standing history of type 2 diabetes, hypertension, dyslipidaemia and ischemic heart disease with prior history acute myocardial infarction treated with primary PCI to LAD with 3.0x22 mm drug eluting stent. Came for a staged PCI for a significant proximal RCA lesion. Following obtaining an informed consent and reload with 300 mg of Plavix. Right radial approach was selected patient received 7000 units of heparin. A 3DRCguidingcatheter was used to intubate the RCA following failure to engage with Judkin 4 guiding catheter, BMW wire advanced all the way to the distal end of RCA, lesion predilated by2.5x15mm compliant balloon to 12 atmospheres (Figure 1). A 3.5x 22mm Xience expedition stent was placed across the lesion under fluoroscopy. It was noted that the guide was not stable. It was decided to deploy the stent with the first fluoroscopy the stent appeared to have dislodged into the ascending aorta with the wire (Figure 2). Now the stent with an inflated balloon the guiding catheter and the wire all hanging in the ascending aorta. The initial decision to remedy this was to carefully and slowly withdraw the entire system along the course of the subclavian system and deploy the stent in a safe spot (Figure 3). But because of tortuosity it was thought to snare the entire system through a large femoral sheath. An 8 Fsheath was inserted into the right femoral artery and a 6 F ensnare system taken to the ascending aorta and grabbed the inflated balloon (Figure 4) and stent slowly moved down into the abdominal aorta under fluoroscopy. Then the balloon was deflated slowly and the snare tightened across the stent (Figure 5) and taken outside the body through the 8 F sheath (Figure 6) post snare femoral angiogram showed no injury to the femoral artery and a successful snaring of the dislodged stent. Patient was brought at alater date for a successful direct PCI to the RCA. This time the guide selected was an Amplatzer 0.75 (Figure 7).

Figure 1 Predilatation of the RCA lesion.

Figure 2 Dislodged stent with an inflated balloon in the ascending aorta.

Figure 3 Attempt to withdraw the stent and deploy in the right subclavian artery.

Figure 4 Capturing the dislodged stent and inflated balloon with ensnare system.

Figure 5 Deflating the balloon and tightening the snare across the stent.

Figure 6 Exteriorizing the stent through the 8 f femoral sheath.

Figure 7 Post stent using Al 0.75 guiding cath.

Discussion

The incidence of stent loss ranged between 0.21%-8.4% with a pooled estimate of 1.3% and has been decreasing over time.15 This is likely the result of improved stent design and stent delivery systems. The introduction of premounted stents contributed greatly to stent loss rate decline, which occurred in spite of treating increasingly complex groups of patients and lesions. Moreover, the stent cross-profile has decreased and the stent delivery systems have significantly improved.16

The risk factors of stent dislodgement are related to the patient, equipment or the operator. Arterial tortuosity and calcification may cause difficulty not only in delivering a stent to the lesion but also in crossing it in the presence of calcification. Calcified spicules may also cause deformation of the stent, leading to stent dislodgement through any of the three aforementioned mechanisms. The type of equipment used may cause disadvantages such as a poor guide support, which decreases the stent’s deliverability to a lesion.17

Stent retrieval

Mohammed et al.,15 reported (66%) dislodged stent were successfully retrieved from the coronary circulation, of which 381 stents (55%) were subsequently removed from the body and 317 stents (45%) were lost again to the peripheral circulation; 130 stents (12%) were deployed, 27 stents (3%) were crushed, and 28 stents (3%) were left undeployed/uncrushed. In some cases, multiple retrieval devices and strategies were used to retrieve the lost stents. Snares were the most commonly used devices (used in 33.7% of stent retrieval attempts).

In most cases, the lost stents were retrieved using a snare, which consists of a loop advanced through a delivery catheter. The lost stent is captured by retrieving the loop into the delivery catheter, resulting in “capture” of the stent between the loop and the delivery catheter tip. There are currently several types of snares (single loop or multi-loop, and in several diameters ranging from 2-3 mm to 45 mm) enabling effective stent (or other device) retrieval.5

The second most commonly used retrieval technique was the small-balloon technique, which is only feasible if guidewire position is maintained through the lost stent. This is a simple technique, in which a small balloon is advanced through the lost stent, inflated distally, and withdrawn, displacing the lost stent into the guiding catheter.4,16-20

Other retrieval devices or techniques, such as forceps,21 basket retrieval devices,22 the Cook retained fragment retriever (Cook),21 embolic protection devices, such as filters,23 the two-wire technique,24,25 and the hairpin-wire technique26 were infrequently used. Occasionally, the lost stent could be retrieved from the coronary circulation, but because of deformation it could not be removed from the body and required vascular surgery to be performed. However, stents lost in the peripheral circulation do not appear to cause complications.27

Clinical consequences of stent loss

In the series by Colkesen et al.,28 emergency CABG was performed in 3 of 14 patients (43%) due to jeopardized coronary flow by the embolized stent in 2 patients and due to hemodynamic deterioration requiring cardiopulmonary resuscitation in 1 patient. Three of 20 patients (15%) in whom stent loss occurred in the study by Eggebrecht et al.,4 died following emergency CABG; two patients had the surgery after a failed retrieval attempt and 1 patient underwent surgery because of inability to precisely localize the intracoronary lost stent. Since stent loss occurs rarely, prevention of complications related to stent loss relies heavily on familiarity of the operator with stent retrieval techniques and with alternative treatment options, such as crushing or deploying the stent,5 which might occasionally be safer than attempting to retrieve the lost stent. In the majority of stent loss cases in the series by Iturbe et al.,29 the stent was deployed or crushed either because of a failed retrieval attempt (in 1 patient) or as the primary strategy (in 2 patients). Stent deployment in a coronary segment that is unlikely to be significantly affected by stenting may be the most time-efficient and low-risk strategy, since stent retrieval attempts can prolong the procedure, increase radiation exposure, and result in distal stent embolization or target vessel injury.

Acknowledgments

None.

Conflicts of interest

Authors declare that there is no conflict of interest.

References

  1. McGinnity JG, Glazier JJ, Spears JR, et al. Successful redeployment of an unexpanded coronary stent. Cathet Cardiovasc Diagn. 1998;44(1):52‒56.
  2. Alfonso F, Martinez D, Hernández R, et al. Stent embolization during intra coronary stenting. Am J Cardiol. 1996;78(7):833‒835.
  3. Cantor WJ, Lazzam C, Cohen EA, et al. Failed coronary stent deployment. Am Heart J. 1998;136(6):1088‒1095.
  4. Eggebrecht H, Haude M, von Birgelen C, et al. Nonsurgical retrieval of embolized coronary stents. Catheter Cardiovasc Interv. 2000;51(4):432‒440.
  5. Brilakis ES, Best PJ, Elesber AA, et al. Incidence, retrieval methods, and outcomes of stent loss during percutaneous coronary intervention: a large single-center experience. Catheter Cardiovasc Interv. 2005;66(3):333‒340.
  6. Patel TM, Shah SC, Gupta AK, et al. Successful retrieval of trans radially delivered unexpanded coronary stent from the left main coronary Artery. Indian Heart J. 2002;54(6):715‒716.
  7. Roffi M, Luscher TF, Sutsch G, et al. Failure to retrieve undeployed paclitaxel-eluting coronary stents. Am J Cardiol. 2006;97(4):502–505.
  8. Gabelmann A, Kramer S, Gorich J. Percutaneous retrieval of lost or misplaced intravascular objects. AJR Am J Roentgenol. 2001;176(6):1509‒1513.
  9. Kim MH, Cha KS, Kim JS. Retrieval of dislodged and disfigured trans radially delivered coronary stent: report on a case using forceps and ante grade brachial sheath insertion. Catheter Cardiovasc Interv. 2001;52(4):489‒491.
  10. Rozenman Y, Burstein M, Hasin Y, et al. Retrieval of occluding unexpanded Palmaz-Schatz stent from a saphenous aorto-coronary vein graft. Cathet Cardiovasc Diagn. 1995;34(2):159‒161.
  11. Antonellis IP, Patsilnakos SP, Pamboukas CA, et al. Successful withdrawal from the right coronary artery of an NIR stent dislodged from the balloon catheter. J Interv Cardiol. 1999;12(3):215‒218.
  12. Seong CK, Kim YJ, Chung JW, et al. Tubular foreign body or stent: safe retrieval or repositioning using the coaxial snare technique. Korean J Radiol. 2002;3(1):30‒37.
  13. Madronero JL, Hein F, Bergbauer M. Removal of a ruptured, detached, and entrapped angioplasty balloon after coronary stenting. J Invasive Cardiol. 2000;12(2):102‒104.
  14. Koseoglu K, Parildar M, Oran I, et al. Retrieval of intravascular foreign bodies with goose neck snare. Eur J Radiol. 2004;49(3):281‒285.
  15. Mohammed EA, Tesfaldet TM, Vishal GP, et al. Stent Loss and Retrieval During Percutaneous Coronary Interventions. J Invasive Cardiol. 2013;25(12):637­‒641.
  16. Meredith IT, Whitbourn R, Scott D, et al. PLATINUM QCA: a prospective, multicentre study assessing clinical, angiographic, and intravascular ultrasound outcomes with the novel platinum chromium thin­strut PROMUS Element everolimus-eluting stent in de novo coronary stenoses. Euro Intervention. 2011;7(1):84‒90.
  17. Eggebrecht H, Haude M, von Birgelen C, et al. Nonsurgical retrieval of embolized coronary stents. Catheter Cardiovasc Interv. 2000;51(4):432‒440.
  18. Farshid A, Pitney MR. Intracoronary embolization and retrieval of radio­opaque ring marker on the ACS Multi­Linkstent sheath. Cathet Cardiovasc Diagn. 1998;43(3):306‒307.
  19. Rozenman Y, Burstein M, Hasin Y, et al. Retrieval of occluding unexpanded Palmaz­Schatz stent from a saphenous aorto­coronary vein graft. Cathet Cardiovasc Diagn. 1995;34(2):159‒161.
  20. Qiao S1, Gao R, Chen J, et al. Successful retrieval of intracoronary lost balloon­ mounted stent using a small balloon. Chin Med J (Engl). 2000;113(1):93‒94.
  21. Foster­Smith KW, Garratt KN, Higano ST, et al. Retrieval techniques for managing flexible intra coronary stent misplacement. Cathet Cardiovasc Diagn. 1993;30(1):63‒68.
  22. Douard H, Besse P, Broustet JP. Successful retrieval of a lost coronary stent from the descending aorta using a loop basket intravascular retriever set. Cathet Cardiovasc Diagn. 1998;44(2):224‒226.
  23. Khattab AA, Geist V, Toelg R, et al. The AngioGuard: a simplified snare? Int J Cardiovasc Intervent. 2004;6(3-4):153‒155.
  24. Wong PH. Retrieval of undeployed intracoronary Palmaz­Schatz stents. Cathet Cardiovasc Diagn. 1995;35(3):218‒223.
  25. Veldhuijzen FL, Bonnier HJ, Michels HR, et al. Retrieval of undeployed stents from the right coronary artery: report of two cases. Cathet Cardiovasc Diagn. 1993;30(3):245‒248.
  26. Brilakis ES, Abdel­Karim AR, Banerjee S. Hairpin­trap: a novel stent retrieval technique. Catheter Cardiovasc Interv. 2011;77(2):213‒216.
  27. Colkesen AY, Baltali M, Acil T, et al. Coronary and systemic stent embolization during percutaneous coronary interventions: a single center experience. Int Heart J. 2007;48(2):129‒136.
  28. Iturbe JM, Abdel-Karim AR, Papayannis A, et al. Frequency, treatment, and consequences of device loss and entrapment in contemporary percutaneous coronary interventions. J Invasive Cardiol. 2012;24(5):215‒221.
Creative Commons Attribution License

©2016 Bugami, et al. This is an open access article distributed under the terms of the, which permits unrestricted use, distribution, and build upon your work non-commercially.