Submit manuscript...
Journal of
eISSN: 2373-4396

Cardiology & Current Research

Case Report Volume 9 Issue 5

Black Heart at Surgery - Primary Diagnosis of Alkaptonuria at Surgery

Anthie Karavaggelis, Christopher Young, Rizwan Attia

Department of Cardiothoracic Surgery, St Thomas? Hospital, Westminster Bridge Road, UK

Correspondence: Rizwan Attia, Department of Cardiothoracic Surgery, St. Thomas’ Hospital, 6th Floor East Wing, Westminster Bridge Road, London SE1 7EH, UK, Tel 44 (0) 2071882014, Fax 44 (0) 2071881006

Received: August 30, 2017 | Published: August 31, 2017

Citation: Karavaggelis A, Young C, Attia R (2017) Black Heart at Surgery - Primary Diagnosis of Alkaptonuria at Surgery. J Cardiol Curr Res 9(5): 00335. DOI: 10.15406/jccr.2017.09.00336

Download PDF

Abstract

Alkaptonuria is a rare genetic disorder of tyrosine catabolism in which homogentisic acid accumulates leading to ochronotic deposition in connective tissue. This has widespread effects including degenerative arthritis and, more rarely, cardiovascular manifestations, the most common of which is aortic stenosis. We present a 66-year old patient in whom we diagnosed alkaptonuria during an aortic valve replacement for symptomatic aortic stenosis. We conducted a world literature review to examine the evidence for the prevalence of aortic valve disease and cardiac involvement in alkaptonuria. We discuss the pathogenesis of aortic valve ochronosis.

Keywords: aortic valve, valve stenosis, alkaptonuria, valve replacement, surgery

Introduction

Alkaptonuria is a very rare autosomal recessive genetic disorder of tyrosine catabolism affecting between 1 in 250,000 and 1 in 1 million births.1 The highest incidence occurs in Slovakia and the Dominican Republic, where incidence reaches 1 in 19,000 births. It is caused by a discrete mutation in chromosome 3q21-3q23, leading to a deficiency in the homogentisate 1, 2 dioxygenase (HGO).2 This in turn leads to an accumulation of homogentisic acid (HGA) which is excreted in the urine, accounting for the dark colour which occurs on standing, and the deposition of melanin-like oxidised HGA-derived polymers in connective tissue. The pathological pigmentation that occurs as a result is termed ochronosis.

Alkaptonuria typically presents as a triad of homogentisic aciduria, ochronosis and degenerative arthritis. There is a wide clinical variability in presentation that can be explained by the 84 different mutations found so far. There are also varying differences in rates of renal clearance. The disease usually manifests late in life after the 4th decade due to decline in renal clearance with age. Rarely, alkaptonuria can have cardiovascular manifestations: with ochronosis described in the heart valves, aorta, pericardium, endocardium and coronary arteries.3-5 Aortic stenosis is the most commonly reported cardiovascular manifestation with a number of case series describing an increase in the prevalence of aortic stenosis compared to the general population.

Case

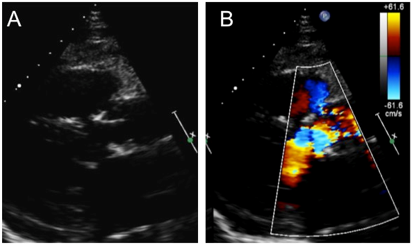
A 66-year old ex-smoker who presented with gradual deterioration with dyspnoea (NYHA II) that developed over 3-years. Past medical history included hypertension and hypercholesterolaemia. Examination was unremarkable apart from an ejection systolic murmur. A transthoracic echocardiogram confirmed a calcified aortic valve with severe aortic stenosis (EOA 0.7cm2, MG 53mmHg), mild aortic regurgitation (vena contracta 0.3cm) (Figure 1) and severe three-vessel disease involving the left main stem, the ostial and distal left anterior descending and mid circumflex and distal right coronary artery. His haematological investigations revealed only a minimally raised ESR (43mm/hour). His Logistical Euroscore II was 1.1%. He underwent an elective tissue aortic valve replacement using a 25mm Perimount Magna Ease bioprosthesis and coronary artery bypass grafting. This involved the left internal mammary artery grafted to the left anterior descending and a saphenous venous graft to the intermediate and right coronary artery. On sternotomy he was found to have a completely black aorta, aortic valve and heart (Figure 2). Histological analysis of aortic wall and leaflet tissue diagnosed alkaptonuria (Figure 3). Patient had a good post-operative recovery and on discharge was referred to clinical geneticists for further testing. He remains well on 2-year follow-up.

Figure 1 Parasternal long axis transthoracic echocardiogram (A) demonstrating thickened aortic valve leaflets with a stenotic valve on colour flow Doppler (B).

Figure 2 Intraoperative photo demonstrating the opened ascending aorta with the aortic valve exposed. There are pigmented deposits present on the aortic wall and right atrium (arrows) adjacent to the venous drainage line for the cardiopulmonary bypass.

Figure 3 A H&E stained aortic wall histology slide at x20 magnification demonstrating the black pigmentation present in the tunica media and adventia.

Discussion

An increased prevalence of aortic valve disease, and in particular aortic stenosis, is seen in patients with alkaptonuria compared to the general population.6 In the Cardiovascular Health Study, which looked at 5621 patients aged 65 or older, 1.8% were found to have aortic stenosis.7 A series of 76 patients with alkaptonuria found aortic stenosis in 25% of patients over 65.3. Interestingly, unlike degenerative calcific aortic stenosis, the presence of stenosis was not correlated with the standard cardiovascular risk factors or age related calcification but was moderately correlated with the extent of joint involvement, another manifestation of alkaptonuria where homogenstisate is deposited in the connective tissue within cartilage. Another smaller study of 16 patients found that 50% had aortic valve disease after the 6th decade of life.8 In our contemporary review of world literature there are 175 patients with alkaptonuria, of whom 35% exhibited aortic valve disease, with 19% stated as aortic stenosis, 11% as aortic regurgitation and 5% as aortic valve disease or aortic valve replacements for unspecified reasons (Table 1).

Article Name

Journal

Type, Level of Evidence

Patient Number

Cardiac manifestation

Outcome/Comments

Alkaptonuria-associated aortic stenosis.6

Journal of Cardiac Surgery

Case Series & Literature Review

2

AS & CAD

Bioprosthetic AV replacement & CABG

Level 4

AS

Bioprosthetic AV replacement

A case of alkaptonuria with fatal cardiovascular disturbance (Tsunashima et al. 1976)

Acta Medica Okayama

Case Report

1

AR, AF

Death

Level 5

Right Heart Failure

Alkaptonuria- a review of surgical and autopsy pathology.4

Histology

Case Report and Literature review

1

Asymptomatic AS, mild MV dysfunction

Died from disseminated ovarian cancer, on warfarin for cardiovascular disease

Level 5

Alkaptonuria and aortic stenosis (Vlay & Hartman 1986)

Annals of Internal Medicine

Case Report (letter)

1

AS with calcification of aortic root & coronary sinuses

Mechanical AV replacement

Level 5

Alkaptonuric aortic stenosis (Roser et al. 2007)

The European Society of Cardiology

Case report

1

Severe AS

Cardiac catheterisation. Further details not given

Level 5

Alkaptonuric Ochronosis with Aortic Valve and Joint Replacements and Femoral Fracture (Fisher et al. 2004)

Clinical Medicine & Research

Case study and literature review

1

Severe AS + minor CAD

Pericardial AV replacement

Level 5

Aortic stenosis and cardiovascular disease in Alkaptonuria. Case report (Ríos et al. 2010)

Revista Española de Cardiología

Case report

1

Severe AS + CAD

Mechanical AV replacement + CABG

Level 5

Aortic Stenosis and Coronary Artery Disease caused by Alkaptonuria, a Rare Genetic Metabolic Syndrome (Vavuranakis et al. 1998)

Cardiology

Case report

1

Severe AS + severe CAD

AV replacement

Level 5

Aortic Valve Stenosis in Alkaptonuria (Hangaishi et al. 1998)

Circulation

Case report

1

Severe AS with congestive heart failure

Bioprosthetic AV replacement

Level 5

AS and vascular calcifications in alkaptonuria.3

Molecular Genetics and Metabolism

Retrospective Cohort Study? Case Series?

76

6- AV replacements

No correlation found between the severity of CV manifestation and standard CV risk factors or with urine HGA levels

Level 3

12 –aortic sclerosis

Pts with alkaptonuria who had at least one ECHO were enrolled

7 – aortic stenosis (4 mild, 2 moderate and 1 severe) 12 – mild AR

Of 40 CT, 17 suitable for evaluation of vascular calcification:

3 – sig coronary calcification

8 – vascular calcification (3 severe)

Aortic valve ochronosis: a rare manifestation of alkaptonuria (Steger, 2011)

BMJ Case Reports

Case report

1

Severe AS

Bioprosthetic AV replacement

Level 5

Aortic valve replacement for aortic stenosis caused by alkaptonuria (Hiroyoshi et al. 2013)

The Annals of Thoracic Surgery

Case report

1

Severe AS

Bioprosthetic AV replacement

Level 5

Alkaptonuria: A case complicated with valvular heart disease and immunodeficiency (Mori et al. 1994)

Internal Medicine

Case report

1

Moderate AS, mild MR, moderate AR

Not discussed

Level 5

Black aorta: a rare finding at aortic valve replacement.14

Journal of Invasive Cardiology

Case report

1

Moderate MR, moderate AS, moderate-severe AR

AV replacement + CABG

Level 5

CAD

Focal aortic dissection

Black aorta in a patient with alkaptonuria (ochronosis) (Concistré et al. 2011)

Journal of Cardiovascular Medicine

Case report

1

Severe AS

Mechanical AV replacement

Level 5

Black aortic valve ochronosis (Laco et al. 2008)

Acta Pathologica

Case report (letter)

1

Severe AS & mild combined MR & MS

Mechanical AV replacement

Microbiologica et immunologica scandinavica

Level 5

Bluish-black pigmentation of the sclera and the aortic valve in a patient with alkaptonuric ochronosis (Wilke et al. 2010)

Herz

Case report

1

AR, MR, TR

AV replacement

Level 5

Cardiac ochronosis valvular heart disease with dark green discoloration of the leaflets (Erek et al. 2004)

Texas Heart Institute

Case report

1

Severe AS, moderate MR

Bioprosthetic AV replacement and mitral valve annuloplasty

Level 5

Cardiovascular manifestations of alkaptonuria (Pettit et al. 2011)

Journal of Inherited Metabolic Disease

Case series

16

6 had severe aortic valve disease:

At time of this investigation where patients with alkaptonuria underwent several cardiovascular investigations, no patient had a prior history of valvular disease & 1 patient had prior CAD

Level 4

2 mild AS

1 mild AS & moderate AR

1 moderate AS & mild AR

2 aortic sclerosis

2 mitral valve  thickening not associated with disruption

Natural history of alkaptonuria.1

New England Journal of Medicine

Case series

58

3 pts had aortic-valve replacement.

There was no correlation between coronary-artery calcification and an elevated serum cholesterol level.

Level 4

No patient had coronary-artery calcification before the age of 40years, but 50 percent had computed tomographic CT evidence of coronary-artery calcification by the age of 59.

Alkaptonuric ­Aortic Stenosis: a case report (Gonzales 1997)

American Association of Nurse Anaesthetists Journal

Case report

1

Severe AS, Congestive Heart Failure, mild CAD

Emergency AVR with Dacron patch, treatment in ICU, death

Level 5

Aortic Regurgitation in Alkaptonuria (Yoshikai et al. 2004)

The Journal of Heart Valve Disease

Case report

1

Severe AR, mild AS and CAD in RCA, fibrous strand tethered to left coronary cusp (thought to be unrelated to AR)`

Mechanical AVR, CABG

Level 5

Aortic valve stenosis due to alkaptonuria (Brueck et al. 2008)

The Journal of Heart Valve Disease

Case report

1

Severe AS, CAD

Bioprosthetic AVR, CABG

Level 5

AS in alkaptonuric ochronosis (Cercek et al. 2002)

The Journal of Heart Valve Disease

Case report

1

Severe AS

AVR

Level 5

Ochronosis: an unusual finding at AVR (Helou et al. 1999)

The Canadian Journal of Cardiology

Case report

1

Severe AS, CAD

AVR, 3 vessel bypass

Level 5

Ochronosis and Alkaptonuria: report of a new case with calcified aortic stenosis (L.Dereymaekeret al. 1989)

Acta Cardiologica

Case report

1

Severe AS

Mechanical AVR

Level 5

Ochronosis of the AV and Aorta (Kovacevic et al. 2006)

The Journal of Heart Valve Disease

Case report

1

Severe AS, CAD

Mechanical AVR, CABG

Level 5

Autopsy studies and case series have also linked alkaptonuria with coronary artery calcification. In particular, an increase in ochronotic deposition in the fibrous caps and lipid cores of atheromatous plaques has been described.9,10 A large study of 58 patients with alkaptonuria found that 50% of patients over the age of 59 had CT evidence of coronary artery calcification. There is however no independent association of alkaptonuria increased susceptibility to clinically significant atheroma.1

The pathogenesis of the cardiac manifestations in alkaptonuria is unclear, however, several theories have been proposed. It is thought that the ochronotic pigment is first deposited in fibrocytes, macrophages, smooth muscle cells and the extracellular matrix. These pigment-laden cells then degenerate, releasing the pigment extracellularly where it acts either as a chemical irritant, producing a pro-inflammatory reaction, or as a direct enzyme inhibitor which alters cartilage metabolism leading to dystrophic calcification and fibrosis of the cardiac valve leaflets.11,12 Furthermore, ochronotic deposition has been found predominantly in areas of turbulent flow, where there are eddy currents, such as in the sinotublar junction which normally aids diastolic coronary filling. This might explain the deposition of ochronotic pigment in the ostia of the coronary arteries and aortic valve leaflets, whilst there is minimal deposition in venous circulation. Thus vascular flow dynamics dictate the site of pigment deposition leading to the ensuing microvascular damage.4

Nitisinone, a potent inhibitor of the second enzyme in tyrosine catabolism, is currently the only treatment effective for reducing HGA levels in alkaptonuria. In a small RCT.13 18 patients were treated for 3 years and 4 in-control versus 1 in the treated group had an increase in aortic valve velocities (>0.3m/s). The authors concluded that it was difficult to draw conclusions from a small study but postulate the effects might be maximised if treatment is started early before significant pigment deposition has occurred, analogous to statin therapy for calcific aortic stenosis.13 Other studies have reported a dramatic increase in tyrosine levels with nitisinone. This can lead to corneal irritation, dermatological and neurological side effects, and it remains uncertain whether nitisinone provides any long-term benefits.1,14 An ongoing study to explore age-related differences in toxicity of nitisinone with a view to optimising therapeutic doses in presymptomatic patients is currently taking place.15. Attempts to treat alkaptonuria with high dose vitamin C and dietary restriction of tyrosine and pheny­lamine intake has failed to produce a decrease in HGA levels.16 Nevertheless, patients with alkaptonuria have a high morbidity but a low mortality with a relatively normal lifespan.

Cardiovascular disease can have a significant impact on patients and thus if patients are diagnosed there is growing consensus that they require echocardiographic screening after the age of 40 to detect valvular heart disease and cardiac gated CT to assess coronary artery calcification. The choice of valve prosthesis also remains unclear in such patients at surgery. There are no reports of early deterioration of bioprosthetic valves in these patients. We consented the patient for tissue valve replacement and were unsure of the diagnosis till confirmed histologically after surgery. Thus we carried out a tissue valve replacement.17,18

Although cardiac ochronosis is a rare clinical presentation, surgeons should be aware of it as they might be confronted with it as in our case during surgery. They must also investigate and follow patients known to have alkaptonuria as they develop cardiovascular disease at a much earlier age. Timely aggressive intervention and medical treatment are of paramount importance.

Acknowledgments

None.

Disclosures

None.

Conflicts of interest

None.

References

  1. Phornphutkul C, Introne WJ, Perry MB, et al. Natural History of Alkaptonuria. N Engl J Med. 2002;347(26):2111-2121.
  2. Fernández-Cañón JM, Granadino B, Beltrán-Valero de Bernabé D, et al. The molecular basis of alkaptonuria. Nat Genet. 1996;14(1):19-24.
  3. Hannoush H, Introne WJ, Chen MY, et al. Aortic stenosis and vascular calcifications in alkaptonuria. Mol Genet Metab. 2012;105(2):198-202.
  4. Helliwell T, Gallagher J, Ranganath L. Alkaptonuria - a review of surgical and autopsy pathology. Histopathology. 2008;53(5):503-512
  5. Butany J, Naseemuddin A, Moshkowitz Y, Ochronosis and Aortic Valve Stenosis. J Card Surg. 2006;21(2):182-184.
  6. Lok ZS, Goldstein J, Smith JA. Alkaptonuria-Associated Aortic Stenosis. J Card Surg. 2013;28(4):417-420.
  7. Otto C, Lind B, Kitzman D, et al. Association of Aortic-Valve Sclerosis with Cardiovascular Mortality and Morbidity in the Elderly. N Engl J Med. 1993;341(3):142-147.
  8. Pettit SJ, Fisher M, Gallagher JA, et al. Cardiovascular manifestations of Alkaptonuria. J Inherit Metab Dis. 2011;34(6):1177-1181.
  9. Galdston M, Steele J, Dobriner K. Alcaptonuria and ochronosis. The American Journal of Medicine. 1952;13(4):432-452.
  10. Skinsnes OK Generalized ochronosis; report of an instance in which it was misdiagnosed as melanosarcoma, with resultant enucleation of an eye. Arch Pathol (Chic). 1948;45(4):552-558.
  11. Gaines JJ Jr, Pai GM. Cardiovascular Ochronosis. Arch Pathol Lab Med. 1987;111(10):991-994.
  12. Resnick D. Diagnosis of bone and joint disorders. (4th edn.), Pennsylvania, USA, 2002.
  13. Introne WJ, Perry MB, Troendle J, et al. A 3-year randomized therapeutic trial of nitisinone in alkaptonuria. Mol Genet Metab. 2011;103(4):307-314.
  14. Goodfellow R, Schwartz J, Leya F. Black aorta: a rare finding at aortic valve replacement. Invasive Cardiology. 2005;17(3):165-167.
  15. Nyhan WL Nitisinone (NTBC) In Different Age Groups Of Patients With Alkaptonuria. A service of the US National Institutes of Health. 2011.  
  16. Mayatepek E, Kallas K, Anninos A, et al. Effects of ascorbic acid and low- protein diet in alkaptonuria. Eur J Pediatr. 1998;157(10):867-868.
  17. University of California, San Diego, Nitisinone (NTBC) in different age groups of patients with alkaptonuria. In: ClinicalTrials.gov [Internet]. Bethesda (MD):National Library of Medicine, USA 2000.
  18. Virchow R Ein Fall von allgemeiner Ochronose der Knorpel und knorpel ähnlichen Theile. Archiv f pathol Anat. 1866;37(2):212-219.
Creative Commons Attribution License

©2017 Karavaggelis, et al. This is an open access article distributed under the terms of the, which permits unrestricted use, distribution, and build upon your work non-commercially.