Submit manuscript...
Journal of
eISSN: 2373-4396

Cardiology & Current Research

Case Report Volume 1 Issue 5

Austrian Syndrome: A Disease Of The Past?

Joaquin Perez-Andreu,1 Elisa Garcia Vazquez,2 Jose Maria Arribas Leal,1 Sergio Canovas Lopez,3 GAMES

1Department of Cardiovascular Surgery, Virgen de la Arrixaca University Hospital, Spain
2Department of Infectious Disease, Virgen de la Arrixaca University Hospital, Spain
3Spanish Multicentric Group for the Endocarditis Management, Spain

Correspondence: Joaquin Perez-Andreu, Department of Cardiovascular Surgery, Virgen de la Arrixaca University Hospital, Ctra, Madrid-Cartagena s/n, El Palmar, Murcia, Spain, Tel 34650295870, Fax 34968369282

Received: September 09, 2014 | Published: October 13, 2014

Citation: Perez-Andreu J, Vazquez EG, Arribas Leal JM, Lopez SC, GAMES (2014) Austrian Syndrome: A Disease Of The Past? J Cardiol Curr Res 1(5): 00026. DOI: 10.15406/jccr.2014.01.00026

Download PDF

Abstract

Invasive pneumococcal infection is a re-emerging complication of Streptococcus pneumoniae infection. Austrian syndrome is a rare triad of pneumococcal pneumonia, meningitis and endocarditis associated to a very high mortality. We hereby present a case of infective aortic endocarditis in a Caucasian woman with severe heart failure and emergency valve replacement in a patient treated with meningitis and pneumonia.

Keywords: streptococcus pneumonia, meningitis, endocarditis, austrian syndrome

Introduction

Since the advent of antibiotics in the 1930s the mortality associated with invasive pneumococcal infection (IPI) resulted in a rapid decline.1 In recent years, a larger number of cases have been reported due to penicillin-resistant Streptococcus pneumoniae strains.2 Austrian syndrome is a rare triad of pneumococcal pneumonia, meningitis and endocarditis.3 We hereby present a case of infective aortic endocarditis with severe heart failure and emergency valve replacement in a patient treated with meningitis and pneumonia.

Case report

A 50-year-old Caucasian woman was admitted at the Neurology department referring one week of headache. She had a history of hypertension, diabetes mellitus and morbidity obesity (body mass index 34). She smoked 20 cigarettes per day but denied alcohol or intravenous drugs abuse. She had an opioid-based analgesia (intrathecal morphine pump) due to postlaminectomy chronic lumbar pain since 2003. Reservoir refill was scheduled monthly with its last manipulation few days before the development of clinical symptoms. No prior pneumococcal vaccination was recorded. On admission, her temperature was 38.2˚C, arterial blood pressure 115/75mmHg, respiratory rate 20 breaths/min and heart rate was regular to 86 beats/min. Clinical examination showed Glasgow Coma Scale score (13) and also had a neck stiffness.

The white blood cell count was 16360cells/mm 3 with 13740 neutrophils and haemoglobin level was 10.2g/dL. Platelet count189/μL. No abnormalities were detected on chest radiography (Figure 1). A lumbar puncture was performed and purulent cerebrospinal fluid was collected with pleiocytosis, hypoglicorrachia and hyperproteinorrachia. The Gram-stained and pneumococcal antigen in urine were either negative. A computed tomography scan of the brain was unremarkable. Suspecting postreservoir refill related meningitis, empirical treatment with vancomicine and meropenem was promptly initiated and her overall status improved. On the third day of admission her cardiac auscultation detected an holodiastolic murmur at the left upper sternal border as well as bilateral crackles. A new chest x-ray showed alveolar opacity in the left lower lobe (Figure 2).

Figure 1 Chest X-ray on admission.

Figure 2 Chest x-ray on the third day of admission showed alveolar opacity in the left lower lobe.

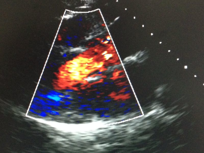
A transoesophageal echocardiogram was performed and documented a mobile endocardial vegetation of 9mm attached to the non-coronary sinus with a massive regurgitating jet leading to severe aortic insufficiency (Figures 3&4). The patient was transferred for emergency heart surgery with extraction of the morphine reservoir previously administered. Severe destruction of the left and right coronary cusps and vegetations on the noncoronary cusp were found. The aortic valve was replaced by a mechanical prosthesis (Carbomedics nr.21). A polymerase chain reaction from the native aortic valve confirmed the presence of bacterial DNA from S. pneumoniae. Following liaison with infectious diseases specialist, she completed an appropriate course of 42days of ceftriaxone plus 28days of vancomicine. With a triad on pneumococcal meningitis, pneumonia and endocarditis, a diagnosis of Austrian syndrome was made. On a follow-up of one year after discharge home, she remained stable with no significant anatomic or functional heart abnormalities.

Figure 3 Transoesophageal echocardiogram documented a mobile endocardial vegetation of 9mm attached to the no coronary sinus.

Figure 4 Transesophageal echocardiogram documented a massive regurgitating jet leading to severe aortic insufficiency.

Discussion

The incidence of infective endocarditis by pneumococci was reduced to less than 3% after the use of penicillin.3 However the mortality rate remains high and the incidence of pneumococcal resistance has increased worldwide over the past 10years.4 Robert Austrian reported 8 cases of pneumonia, endocarditis and meningitis, of which 6 died because of aortic regurgitation.5As in our case, the patients usually presented with pneumonia and/or meningitis, initially responding to parenteral penicillin but subsequently developing endocarditis. The delayed diagnosis of pneumococcal endocarditis can contribute to delayed-onset heart failure.4

Traditional risk factors for IPI are alcoholism, chronic lung disease, prolonged steroid use, diabetes mellitus, haematological malignancies, chronic renal disease, pregnancy, postpartum period, pandemic H1N1 infection and HIV infection/acquired immunodeficiency syndrome.5–9 In pneumococcal endocarditis, the native aortic valve is the most frequent location of vegetations. Despite appropriate antibiotic therapy, the clinical course is usually acute and very aggressive leading to rapid haemodynamic instability.3 According to commonly accepted guidelines,10 surgery should be considered as soon as the definite diagnosis has been established. Empiric antibiotic treatment includes ceftriaxone or cefotaxime with vancomycin. If there is resistance to cefotaxime, rifampicin should be added to the vancomycin1. Our hospital is an active member of a multicenter Spanish Pneumococcal Endocarditis Study Group (Appendix). An amount of 2064 cases of IE have been collected since 2007. In 20 cases S. pneumoniae was the causative agent and just one case of Austrian syndrome has been observed.

Conclusion

In conclusion, our case highlights the re-emerging problem of endocarditis caused by penicillin-resistant strains of S. pneumonia being mandatory the exclusion of pneumonia and meningitis in the presence of bacterial endocarditis.

Acknowledgments

None.

Conflicts of interest

Authors declare that there is no conflict of interest.

Funding

None.

References

  1. Martinez E, Miro JM, Almirante B, et al. Spanish Pneumococcal Endocarditis Study Group. Effect of penicillin resistance of Streptococcus pneumoniae on the presentation, prognosis, and treatment of pneumococcal endocarditis in adults. Clin Infect Dis. 2002;35(2):130–139.
  2.  Midon ME, Goldoni F, Souza SG, et al. Austrian Syndrome:case report. Arq Bras Cardiol. 2011;97(3):e50–e52.
  3. Poulsen JB, Moser C, Espersen K, et al. Austrian syndrome. BMJ Case Rep. 2011;3368.
  4. Campbell GD Jr, Silberman R. Drug–resistant Streptococcus pneumoniae. Clin Infect Dis. 1988;26(5):1188–1195.
  5. Austrian R.  Pneumococcal endocarditis, meningitis, and rupture of the aortic valve. AMA Arch Intern Med. 1957;99(4):539–544.
  6. Kim YM, Kim SA, Kim MG, et al. Austrian syndrome with a delayed onset of heart failure. J Cardiovasc Ultrasound. 2011;19(1):35–37.
  7. Isea Pena MC, Sanz Moreno JC, Esteban J, et al. Risk factors and clinical significance of invasive infections caused by levofloxacin–resistant Streptococcus pneumoniae. Infection. 2013;41(5):935–939.
  8. Pesola GR, Charles A. Pneumococcal bacteremia with pneumonia. Mortality in acquired immunodeficiency syndrome. Chest. 1992;101(1):150–155.
  9. Mankongpaisarnrung C, Soontrapa S, Nantsupawat T, et al. Renal infarction as a presentation of Austrian syndrome:thromboembolic phenomenon of pneumococcal endocarditis. Am J Med Sci. 2012;344(3):251–254.
  10. Bonow RO, Carabello BA, Kanu C, et al. ACC/AHA 2006 guidelines for the management of patients with valvular heart disease:a report of the American College of Cardiology/American Heart Association Task Force on Practice Guidelines (writing committee to revise the 1998 Guidelines for the Management of Patients With Valvular Heart Disease): developed in collaboration with the Society of Cardiovascular Anesthesiologists: endorsed by the Society for Cardiovascular Angiography and Interventions and the Society of Thoracic Surgeons. Circulation. 2006;114(5):e84–e231.
Creative Commons Attribution License

©2014 Perez-Andreu, et al. This is an open access article distributed under the terms of the, which permits unrestricted use, distribution, and build upon your work non-commercially.