Submit manuscript...
Journal of
eISSN: 2373-4396

Cardiology & Current Research

Case Report Volume 2 Issue 4

Aortic valve Staphylococcus aureus endocarditis complicated by sinus of valsalva-right atrial fistula

Hartmuth B Bittner, Elizabeth John, Bradford Ledzian, Richard J Moro, Joseph H Boyer

Cardiovascular Institute, USA

Correspondence: Hartmuth B Bittner, Cardiovascular Institute, Section of Cardiovascular and Thoracic Surgery, Florida Hospital Orlando, 2415 North Orange Avenue, Orlando, Florida 32804, USA, Tel 14073032474, Fax 14073030678

Received: November 04, 2014 | Published: April 6, 2015

Citation: Bittner HB, John E, Ledzian B, et al. Aortic valve Staphylococcus aureus endocarditis complicated by sinus of valsalva-right atrial fistula. J Cardiol Curr Res. 2015;2(4):119-122. DOI: 10.15406/jccr.2015.02.00065

Download PDF

Abstract

Infective Endocarditis is an extremely rare etiology of sinus of Valsalva-right atrial fistulas, abnormal connections between the aorta and the right atrium. We report the case of a 21-year-old female patient with native aortic valve Staphylococcus aureus endocarditis complicated by sinus of Valsalva abscess perforation associated with an acute heart block, an aorto-right atrial fistula, severe heart failure, and cardiogenic shock. The patient underwent emergent aortic valve replacement and complex sinus of Valsalva fistula pericardial patch reconstruction and repair. Choice of valve and patient-prosthesis mismatch are discussed.

Keywords: Sinus of valsalva-right atrial fistula; Abscess perforation; Aortic valve replacement; Infective endocarditis

Introduction

Sinus of Valsalva-right atrial fistulas, abnormal connections between the aorta and the right atrium can be congenital, caused by aorticaneurysms and aortic dissections, or can result from surgery involving the aorta or aortic valve. An extremely rare cause is infective endocarditis.1 We report an unusual case of aortic valve Staphylococcus aureus endocarditis complicated by sinus of Valsalva abscess perforation.

Case report

A 21-year-old female patient was admitted for further evaluation of severe acidosis and unresponsiveness. Trans-esophageal echocardiography demonstrated a large aortic valve vegetation (Figure 1) and severe aortic regurgitation. The patient was diagnosed with native aortic valve Staphylococcus aureus endocarditis and multiple cerebral intra parenchymal hemorrhages, bacterial meningitis, and Hepatitis C. Within hours of admission the patient developed severe heart failure, complete heart block, and pulmonary edema requiring mechanical ventilation and cardiopulmonary resuscitation. She was immediately taken to the operating room. Intra-operative trans-esophageal echocardiography revealed a sinus defect of the non-coronary sinus of Valsalva, a rupture of the sinus of Valsalva abscess into the right atrium with fistula formation and a new large vegetation at the tricuspid valve (Figure 2). Emergency surgery was carried out through median sternotomy with total cardiopulmonary bypass and venous drainage of the snared superior and inferior vena cava. The heart was arrested with hypothermic crystalloid cardioplegia, which was infused directly into the right and left coronary artery. Destroyed intra- and peri-annular areas from the atrial side and aortic area of the non-coronary sinus were closed with glutaraldehyde pre-prepared autologous pericardial patches. After debriding the abscess, repairing the fistula, and reconstructing the peri-annular defects, the annulus was re-examined and sized for replacement of a bio prosthetic artificial aortic valve. Twelve pledgeted 2-0 Tevdek sub-annular mattress sutures soaked in Linezolid were passed through the area reconstructed by pericardial patch and aortic annulus and through the sewing ring of a 19mm tissue aortic valve bioprosthesis. A diamond-shaped pericardial patch was placed in a supra valvular position near the superior vena cava, which assisted in a tension-free closure of the near circumferential aortotomy. Mean effective orifice area ratio measured 1.02cm2/m2. A completion trans-esophageal echocardiography revealed a functioning and competent bioprosthetic aortic valve, no evidence of paravalvular leakage, correction of the aorto-right atrial fistula, and an overall well-preserved left and right ventricular function. Prior to discharge, a permanent pacemaker was implanted.

Figure 1 Trans-esophageal echocardiogram. Arrow points to aortic valve vegetations.

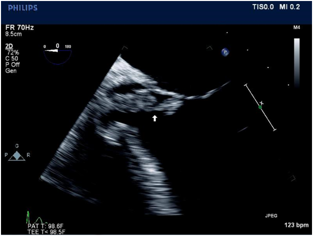
Figure 2 Trans-esophageal echocardiogram. Arrow shows aorto-right atrial fistula from the perforation between aorta and right atrium and a large vegetation. 

LA, left atrium; AV, aortic valve; RV, right ventricle; RA, right atrium

Discussion

In this very young and very sick patient we carefully evaluated different options of valve repair versus valve replacement. Due to the increased risk for infection of the prosthetic material, valve repair instead of replacement is generally highly recommended. In our patient, however, due to the aggressive and invasive nature of the Staphylococcus aureus the aortic annulus was completely destroyed and there was even evidence of an actual perforation through the leaflets. In patients less than 65 years of age mechanical valves have been shown to be much more durable with a lower incidence of primary valve failure compared to bioprosthetic valves,2 despite comparable overall mortality between the two options.3 Reoperation rates are significantly higher for bioprosthetic valves, however longer survivals without additional surgery are expected with newer models.4 Mechanical valves on the other hand are highly thrombogenic and anticoagulation is needed for life. Bioprosthetic valves have generally good hemodynamic properties and their resistance to thrombosis is similar to native valves. Since anticoagulation would have most likely exacerbated the intracranial hemorrhages in our patient, she was considered for a bioprosthetic valve. In addition, avoiding patient-prosthesis mismatch, which occurs when the effective orifice area of the valve is too small for body size, needed careful evaluation. In the case of a mismatch, higher than expected gradients through normally functioning prosthetic valves can develop resulting in further hemodynamic instability, less regression of ventricular hypertrophy, more cardiac events, and an overall lower survival.5 Since patient-prosthesis mismatch is a largely preventable cause of failure, it is important to prospectively strategize at the time of operation.6 Given the patient’s acute heart failure and comorbidity, this presented a very challenging situation requiring fast and precise decision-making. By choosing to implant the 19 mm Trifecta valve, we avoided anticoagulation, possible reinfection of prosthetic material, and the long-term complications of a patient-prosthesis mismatch.

Conclusion

We conclude that this patient’s presentation was very challenging because of the Staphylococcus aureus infective aortic valve endocarditis induced sinus of Valsalva-right atrial connection and perforation. A complex pericardial patch reconstruction of the annulus combined with bioprosthetic aortic valve replacement was performed successfully. The Valsalva abscess perforation caused complete heart block requiring permanent pacemaker implantation prior to discharge.

Acknowledgments

None.

Conflicts of interest

There is no conflict of interest.

Funding

None.

References

Creative Commons Attribution License

©2015 Bittner, et al. This is an open access article distributed under the terms of the, which permits unrestricted use, distribution, and build upon your work non-commercially.