Submit manuscript...
Journal of
eISSN: 2373-4396

Cardiology & Current Research

Case Report Volume 6 Issue 2

An Old Lady with a Twitching Abdomen!

Ahmed Adel Anwer Shaheen, Atif Alqubbany, Mansoor Nasir, Ayman Elsheikh

Assistant Consultant Adult Cardiology, Saudi Arabia

Correspondence: Ahmed Adel Anwer Shaheen, Assistant Consultant Adult Cardiology, King Faisal Cardiac Center, King Abdulaziz Medical City, Jeddah, Kingdom of Saudi Arabia, Tel 966544501865

Received: July 03, 2016 | Published: July 12, 2016

Citation: Shaheen AAA, Alqubbany A, Nasir M, Elsheikh A (2016) An Old Lady with a Twitching Abdomen!. J Cardiol Curr Res 6(2): 00199. DOI: 10.15406/jccr.2016.06.00199

Download PDF

Abstract

An overwhelming amount of evidence from prospective randomized controlled trials supports the clinical efficacy and safety of cardiac resynchronization therapy (CRT) in patients with moderate or severe heart failure and ventricular dyssynchrony. CRT makes heart failure patients feel better, improves cardiac structure and function, and reduces all-cause as well as heart failure morbidity and mortality. Thus, there may be a clinical mandate for use of CRT in many patients with chronic heart failure. However, most complications were minor and no mortality was reported. Failure of lead placement was the most frequent complication, and cardiac perforation and coronary sinus dissection were the most serious adverse events.

Case report

80 years old lady presented to ER with history of episodes of abdominal pain and twitching with feeling of extra beats; these episodes started two days back immediately after hand manipulation of her CRTD device by her son. She denied any chest pain or syncope. She is a known case of DM, HTN, DCM with EF 35%, previous LBBB pattern (S/P CRTD two months ago). She was, otherwise, hemodynamically stable T: 36.5

BP: 130/75 PSO 2:97% RA, RR: 18 P: 80 B/M (with pvcs).

Chest: Bilateral equal air entry with bibasal fine end inspiratory crackles

CVS: Normal S1, S2, no add sound or murmur.

Abdomen: Apparent regular twitching of the right hypochondria, lax abdomen and no masses.

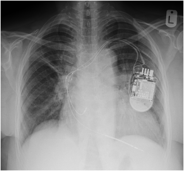
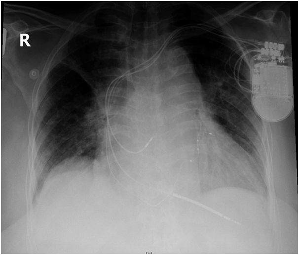
We were asked to see the patient, we reviewed her previous CXR post CRTD implantation and was (Figure 1) reviewed her procedure note which advocated the difficulty in securing LV lead deeply through lateral vein of the heart due to significant branch stenosis. The lead was then implanted in the posterolateral CS branch. Then, we requested a new CXR which showed the device slightly lower than implant position and displacement of LV lead higher in SVC (Figure 2).

Figure 1 CXR post CRTD implantation.

Figure 2 The device slightly lower than implant position and displacement of LV lead higher in SVC.

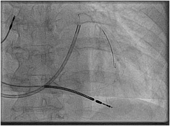
We admitted the patient, urgent interrogation of the device and changed in to (RV paced only) mode, with cessation of the abdominal twitches and the patient was completely comfortable and asymptomatic. Given she had significant symptomatic relief from shortness of breath after implantation we booked her for reposition of LV lead in the EP lab, balloon angioplasty of the coronary sinus lateral vein branch was done successfully and the lead was placed in a nice basal lateral position (Figures 3) (Figure 4). Then interrogation of CRTD with optimal results and normal post operative CXR (Figure 5).

Figures 3 Symptomatic relief from shortness of breath after implantation we booked her for reposition of LV lead in the EP lab.

Figure 4 Balloon angioplasty of the coronary sinus lateral vein branch was done successfully and the lead was placed in a nice basal lateral position.

Figure 5 Interrogation of CRTD with optimal results and normal post operative CXR.

Discussion

Stimulation of phrenic nerve is known as one of the complications post CRTD implantation. This can happen in multiple scenarios post implantation. It is very useful to check which hemi diaphragm is twitching. If the right phrenic nerve is being stimulated then most likely it is lead dislodgement close to the RA-SVC junction where the right phrenic nerve runs its course. If the left phrenic nerve is being stimulated then it is usually lead perforation or lead dislodgement within the CS. The simplest and the most important diagnostic tool is CXR.1–8

Twiddler’s syndrome however is a rare complication post pacemaker, ICD or CRTD implantation. It is as result of twisting of the leads around pulse generator. In Twiddler’s syndrome usually all leads are either dislodged or there is significant loss of leads slack (not in our case). In our case the symptoms started after manipulation of the device. The right diaphragmatic stimulation by the displaced LV lead (in RA-SVC junction) was responsible for the patient’s complain and abdominal twitching.

If the LV lead dislodgment is minimal sometimes reprograming the device and selection of different pacing bipoles (specially in quadripolar leads) might solve the problem. Reposition of the displaced lead is the definitive management in most cases.

Conclusion

With advances in techniques for retrograde coronary sinus cannulation, delivery systems, and dedicated LV lead technology, a fully transvenous approach has become the usual technique for CRT, although implanting the LV lead in a major cardiac vein may still be demanding and difficult in some patients with the need for re-intervention due to LV lead dislodgement, increase in LV pacing threshold, phrenic nerve stimulation, and infection.

Acknowledgments

None.

Conflicts of interest

The authors declare there is no conflict of interests.

Funding

None.

References

Creative Commons Attribution License

©2016 Shaheen, et al. This is an open access article distributed under the terms of the, which permits unrestricted use, distribution, and build upon your work non-commercially.