Submit manuscript...
Journal of
eISSN: 2373-4396

Cardiology & Current Research

Case Report Volume 5 Issue 1

An atypical presentation of acute abdomen as a cardioembolic complication of takotsubo cardiomyopathy: a case report

Fadia Masud,1 Avais Raja,2 Hana Manzoor,3 Ayesha Hassan,3 Yusuf Hassan4

1Cardiology Resident, Division of Cardiology, Shifa International Hospital, Pakistan
2Final Year Medical Student M-5, Shifa College of Medicine, Pakistan
3Fourth Year Medical Student M-4, Shifa College of Medicine, Pakistan
4Division of Cardiology, Shifa International Hospital, Pakistan

Correspondence: Yusuf Hassan, Program Director, Associate Consultant, Division of Cardiology, Shifa International Hospital, Shifa College of Medicine, Pitras Bukhari Road, Sector H-8/4, Islamabad, Pakistan, Tel 92-302-4427288, Fax 92-51-4863182

Received: December 21, 2015 | Published: January 12, 2016

Citation: Masud F, Raja A, Manzoor H, et al. An atypical presentation of acute abdomen as a cardioembolic complication of takotsubo cardiomyopathy: a case report. J Cardiol Curr Res. 2016;5(1):119-122. DOI: 10.15406/jccr.2016.05.00147

Download PDF

Abstract

Takotsubo Cardiomyopathy (TCM) is a rare clinical entity of left ventricle systolic dysfunction without any signs of coronary artery disease. Many patients recover within 4-5 weeks but some may develop complications like left ventricular thrombus formation and systemic embolization. Here we discuss such a case where a patient presented to the emergency department with an acute abdomen due to a cardioembolization of a left ventricular thrombus in Takotsubo Cardiomyopathy.

Keywords: acute abdomen, cardioembolic complication, left ventricular thrombus, takotsubo cardiomyopathy

Abbreviations

TCM, takotsubo cardiomyopathy; CK-MB, creatine kinase MB; APTT, activated partial thromboplastin time; BNP, B-type natriuretic peptide; CT, computed tomography

Introduction

Takotsubo cardiomyopathy (TCM), also known as stress- induced cardiomyopathy, is characterized by transient akinesia of the left ventricle that may be mistaken for acute coronary syndrome.1 It was first described in Japan in 1990 by Sato et al.2 and named after the Japanese word “tako tsubo” that means “octopus pot”, a fishing jar with a narrow neck and wide base used to capture octopuses, as visualized on left ventriculography.2 TCM is characterized by chest pain, dyspnea, ischemic changes on the electrocardiogram, transient left ventricular dysfunction and mild rise in cardiac biomarkers in the absence of epicardial coronary artery disease.3 This condition is mostly common in post-menopausal women and precipitated by severe physical and emotional exertion.4

Although many patients regain normal ventricular function, a complication of intraventricular thrombus formation and systemic embolization may occur.1 An incidence of 0.8 % of published case series have been reported for systemic embolization from an intraventricular thrombus due to Takotsubo cardiomyopathy, out of which stroke is the most common presentation.5 However not much data is available on patients with Takotsubo cardiomyopathy presenting with an acute abdomen. In this report we present a case of such a patient presenting with an acute abdomen along with Takotsubo cardiomyopathy.

The authors have obtained written informed consent from the patient for print and electronic distribution of this case report.

Case presentation

A 48-year-old Middle Eastern female presented to the emergency department with the complaints of severe abdominal pain and vomiting for the past 1 day. These symptoms were preceded by chest discomfort and dyspnea on mild exertion for 4 days, after the death of her youngest son in a road traffic accident. On clinical examination the patient was sobbing in remembrance of her son and had tachycardia of 120 beats per minute, tachypnea, a blood pressure of 90/60 mm Hg. On auscultation of her chest she had normal first and second heart sounds without any added sounds and murmurs, and normal vesicular breathing bilaterally. Her abdomen on the other hand was diffusely tense and tender with inaudible bowel sounds.

The patient initial workups showed a leukocytosis of 14,000cells/mm3, an electrolyte panel that revealed a hypokalemia of 3.1mEq/L, cardiac biomarkers with a mild elevation in Troponin-I and CK-MB of 1ng/mL and 5.5ng/mL, respectively and a BNP concentration of 4166pg/mL. Liver biomarkers and renal function tests were within normal limits. Non-specific ST segment and T wave changes were noted on the electrocardiogram.

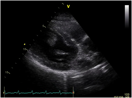
The patient also underwent numerous radiological studies, an abdominal x-ray showed dilated bowel loops. An emergent CT scan of the abdomen that confirmed a small intestinal ischemia with a superior mesenteric thrombus (Figure 1). Due to this, an echocardiogram was performed which showed a severe global hypokinesia of the antero-lateral left ventricle with a mobile thrombus attached to the akinetic portion of the apex with an ejection fraction of 25 % (Figure 2).

Figure 1 Dilated small bowel segments with edematous and thick-walled jejunal loops and multiple air-fluid levels due to a superior mesenteric thrombus associated with a left ventricle filling defect. Abdominal X-Ray (A); CT Scan without contrast: Transverse Views (B, C, and D).

Figure 2 Severe global hypokinesia with akinesis of the anterior, antero-lateral wall and apical segments with a massive mobile thrombus in the left ventricle attached to the antero-septal and antero-lateral wall.

The patient was initially managed with intravenous fluid and potassium replacement, and analgesia for the pain. She underwent an emergency laparotomy to resect the non-viable small intestine and end to end anastomosis of the remaining bowel. After a successful surgery she was commenced on a heparin infusion with a target APTT of 60-90 seconds and intravenous antibiotics. In order to rule out coronary artery disease a coronary angiogram was performed on the second post-operative day which showed normal coronary arteries. As the patient started showing signs of hemodynamic improvement, she was taken off the inotropic support. On the third post-operative day she was started on anti-coagulation and anti-hypertensive therapy of warfarin, low dose beta-blocker and an angiotensin receptor inhibitor. The patient had an uncomplicated speedy recovery and was discharged 10 days later on the former regimen.

A follow-up echocardiogram after 1 month and 6 months were done which showed improvement of left ventricular function with an ejection fraction of 40% and 60%, respectively along with resolution of the left ventricular thrombus. At the end of the first year follow-up visit she was labelled as symptom-free and good functional status.

Discussion

Takotsubo cardiomyopathy (TCM) is characterized by a constellation of signs including transient systolic dysfunction of the mid segment and/or apical region of the left ventricle with symptoms of acute myocardial infarction without any obstructive coronary artery disease.6 Although the pathogenesis of this condition is unclear, it has been put forward that excess catecholamine released during physical or emotional stress may be the culprit.1 The usual presentation of the patient is chest pain or shortness of breath.3 The diagnosis is confirmed by echocardiography and/or ventriculography and treatment should be tailored to the individual patient as the presentation and co-morbidities may vary from intravenous fluids, beta-blockers, angiotensin converting enzyme inhibitor, aspirin, diuretics, vasoactive agents, nitroglycerin, or intra-arterial balloon pumps.7

Majority of patients recover within 4-5 weeks, some of the known complications of pulmonary edema, malignant arrhythmias, heart failure, left ventricle outflow obstruction, shock, left ventricular thrombus, and death may rarely be seen.3–7 Out of those patients with left ventricular thrombus, one-third may develop cardioembolic complications to the peripheral vasculature. The following cardioembolic complications have been reported: 3 cases of cardioembolic strokes, 1 case of renal embolization, 1 case of aortoiliac occlusion, and 1 case of leg ischemia.5–8 However, to our knowledge there has been no reports of a case of acute abdomen in the form of necrotic small bowel due to a cardioembolic complication of Takotsubo Cardiomyopathy. Database searches using the terms ‘acute abdomen, cardioembolic complication, Takotsubo Cardiomyopathy’ on PubMed and Medline has yielded no results.

Although we began the patient on anticoagulation therapy of heparin and warfarin, no criteria exist for prophylactic anticoagulation therapy to prevent cardioembolization in TCM.1,8 More research should be conducted on prevention and risk of cardioembolization in patients with TCM.

Conclusion

The present study showed the pharmacological potential of the ethanolic extract of Neem bark. Our findings demonstrated that the F-EtOAc, obtained after saponification of EtCNeem, showed to be rich in phenolic and flavonoid compounds with antioxidant potential, as well as a nontoxic.

Acknowledgments

None.

Conflicts of interest

The authors declare there is no conflict of interests.

Funding

None.

References

Creative Commons Attribution License

©2016 Masud, et al. This is an open access article distributed under the terms of the, which permits unrestricted use, distribution, and build upon your work non-commercially.