Submit manuscript...
Journal of
eISSN: 2373-4396

Cardiology & Current Research

Case Report Volume 15 Issue 1

AL amyloidosis masquerading as cardiac syncope: a case report

Ahmed Elmudathir Osman,1 Maab F Elhaj,2 Mohammed Al Termanini,1 Baraa Habib,1 Omer Ibrahim O Ahmed,2 Ashraf OE Ahmed1

1Department of Internal Medicine, Hamad Medical Corporation, Qatar
2Department of Cardiology, Hamad Medical Corporation, Qatar

Correspondence: Ashraf Omer Elamin Ahmed, Department of Internal Medicine, Hamad Medical Corporation, Qatar, Tel 0097455455894

Received: November 14, 2021 | Published: February 1, 2022

Citation: Osman AE, Elhaj MF, Termanini MA, et al. AL amyloidosis masquerading as cardiac syncope: a case report. J Cardiol Curr Res. 2022;15(1):14-16. DOI: 10.15406/jccr.2022.15.00543

Download PDF

Abstract

Amyloidosis is a systemic illness due to the deposition of proteins resistant to proteolysis digestion. It is manifested by the primary causes of amyloidosis like hematological malignancy or chronic inflammatory process, and the organs where’s the proteins deposited. AL-Amyloidosis is secondary to monoclonal plasma cell expansion, where the light or heavy chains of the immunoglobulins deposited in specific organs like the heart, the kidneys, the gastrointestinal tract, or the nervous system. Cardiac manifestations are commonly heart failure and conduction defects causing variable arrhythmia and syncope. Gastrointestinal manifestations are variable, but common presentations are recurrent vomiting, hepatomegaly, and gastrointestinal bleeding. In this report, we present a case of amyloidosis presented with syncope that was missed to be due to amyloidosis and presented later with heart failure and an incidental recto-sigmoid amyloid polyp. Additionally, we review the relevant literature to raise awareness about this entity.

Keywords: incidental finding, colonic amyloid polyp, AL-Amyloidosis, cardiac manifestations

Abbreviations

ED, emergency department; TTE, transthoracic echocardiography; EF, ejection fraction; SOB, shortness of breath; Hb, haemoglobin

Learning points

  • Cardiac manifestations like syncope, arrythmia and heart failure rarely present as initial manifestations of AL-amyloidosis.
  • A high index of suspicion is required to make the diagnosis, especially in an adult who presents with cardiac manifestations, like heart failure and syncope and arrythmias.

Introduction

Multiple myeloma is a hematological malignancy caused by an expansion of monoclonal plasma cells which produces an immunoglobulin light or heavy chains.1 These light chains can accumulate in the tissues causing AL-Amyloidosis.2 Another type of amyloidosis is called AA-Amyloidosis caused by accumulation of Serum Amyloid A protein into amyloid fibrils causing organ dysfunction which is found in chronic inflammatory conditions.3 Amyloidosis is considered a systemic illness and clinical presentation depend on where the proteins deposit, commonly the heart, the kidneys, the nervous system, and the gastrointestinal tract.3 In this report we are prescribing the cardiac and gastrointestinal manifestations of amyloidosis, along with prolonged clinical course of our patient in addition to a literature review.

Case presentation

A 42- year-old male presented to the emergency department (ED) with two episodes of syncopal attacks that lasted for a few seconds, after which he regained his consciousness immediately. No incontinence or tongue bites, no other symptoms. Physical examination was unremarkable; transthoracic echocardiography (TTE) showed an ejection fraction (EF) of 61 percent. He was observed in the ED with basic labs, which was normal, and then discharged on Holter monitor for 24hours. The Holter revealed bigeminies only, no other arrhythmias. A stress test was done as an outpatient, and there was no triggering of arrhythmias. Nine months later, the patient presented to ED complaining of progressive shortness of breath (SOB) which is minimize his activity associated with mild dizziness. No palpitations or syncope. Physical examination significant for basal crackles, no jugular venous distension, or lower limbs edema.

His ECG shows poor R-wave progression (Figure 1), TTE revealed an EF of 56 percent in addition to grade 3 diastolic dysfunction, moderate concentric LV hypertrophy with apical sparing, and mild pericardial effusion. He was then treated with diuretics and planned to be evaluated for amyloidosis as an outpatient. However, two weeks later, he presented to the ED again complaining of worsening SOB, bilateral lower limb swelling, and dizziness with no syncope. His symptoms were associated with constipation for four weeks and unintentional weight loss of 8 kilograms over three months: no abdominal pain, no other symptoms.

Figure 1 12 leads ECG demonestrating poor R-wave progression over the pericordial leads (Arrows).

Physical examination was significant for bilateral basal crackles, jugular venous distention, mild pedal edema, and no ascites. Chest radiograph showed pulmonary edema; repeated TTE showed an EF of 54 percent in addition to a global longitudinal strain of 11.1 and a mild pericardial effusion. Basic laboratory results showed a drop in hemoglobin (Hb) and paraproteinemia (Table 1). Paraproteinemia workup (Table 1) revealed a diagnosis of multiple myeloma.

   

Laboratory Investigation

   

Variable

 1st admission

Reference Range

3rd admission

2nd admission

WBC

3.1 x10^3/uL

3.8 x10^3/uL

6.6 x10^3/uL

4-10 x10^3/uL

Hb

10.9 gm/dl

12.8 gm/dl

14.4 gm/dl

13-17 gm/dl

Hematocrit

31.6 %

36.9 %

40.7 %

40 -50 %

Platelets

216 x10^3/uL

233 x10^3/uL

295 x10^3/uL

150 – 400 x10^3/uL

Direct Bilirubin

9umol/L

12umol/L

Not check

0 – 3umol/L

Indirect Bilirubin

42umol/L

33umol/L

25umol/L

0 – 21umol/L

Creatinine

74umol/L

74umol/L

74umol/L

62 – 106umol/L

Sodium

136mmol/L

136mmol/L

137mmol/L

136 – 145mmol/L

Calcium

2.16mmol/L

2.36mmol/L

2.46mmol/L

2.15 – 2.50mmol/L

Adjusted calcium

2.46mmol/L

2.56mmol/L

2.58mmol/L

2.25-2.55mmol/L

Albumin

28 g/L

30 g/L

34 g/L

34 -54 g/L

Total protein

95 g/L

93 g/L

100 g/L

60 -83 g/L

IgG

46.55

 

6.0 - 16.0g/L.

IgA

0.15

0.70- 4.00 g/L

Kappa/Lambda

0.03

0.26-1.65

KaFLC

4.4mg/L

3.3- 19.4mg/L

LaFLC

145.5mg/L

5.7- 26.3mg/L

Urine 24hr Protein

0.50 g/24hr

0.03- 0.15 g/24hr

Beta 2 Micro globulin

3.19mg/L

0.80- 2.20mg/L

Table 1 Laboratory investigation, basic labs

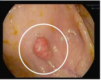
Cardiac MRI was done, which showed infiltrative cardiomyopathy. NM FDG PET CT was done, which showed prominent trace uptake in the recto-sigmoid segment with no bony lytic lesions. An abdominal fat pad biopsy showed amyloid deposition in the adipose tissue and surrounding blood vessels. A bidirectional endoscope was done to evaluate the suspicious lesion in the PET scan—a biopsy from gastric, duodenal, and colonic tissue. Histopathological changes revealed amyloid deposition in lamina propria and blood vessels (amyloid stain was positive). Colonoscopy showed a pedunculated polyp (Figure 2), 8 mm in size adenomatous pattern, it was removed, and biopsies were taken from the rectum and random colon. Random colon biopsy showed amyloid material in lamina propria and blood vessels; the ascending colon polyp revealed amyloidosis with tubulovillous adenoma and was negative for high-grade dysplasia and malignancy. Bone marrow biopsy an 80 percent infiltration of plasma cells. The patient was diagnosed with Amyloid Light-Chain Amyloidosis (AL-Amyloidosis) with cardiac and GI manifestations secondary to multiple myeloma and then was started on the VCD regimen (Bortezomib, Cyclophosphamide, Dexamethasone). Unfortunately, the patient passed away six months later while he was on chemotherapy with sepsis and septic shock.

Figure 2 Colonoscopy showing one pedunculated polyp, 8 mm in size with adenomatous pattern.

Discussion

Amyloidosis is extracellular deposition of insoluble protein in the tissues; these proteins form a β-Pleated sheath that resists digestion by proteolysis leading to its dysfunction by forming oxidative stress and mechanical disruption.4,5 The most common causes of amyloidosis are AL and AA amyloidosis, which accounts for 68 and 12 percent, and occurs due to plasma cell dyscrasia and inflammatory disorders, respectively.6 AL amyloidosis is cosmology due to light chain kappa (κ) or lambda (λ) deposition seen in multiple myeloma or monoclonal gammopathy of detriment significance.2 The abnormal protein deposits in different organs like the heart, kidneys, peripheral nervous system, and gastrointestinal tracts cause organ dysfunction and clinical presentation.7 Here we are focusing on cardiac and gastrointestinal amyloidosis.

Cardiac amyloidosis is the leading cause of mortality and morbidity in amyloidosis, and it is prevalent in 50 percent of AL amyloidosis.8 It can cause diastolic dysfunction and restrictive cardiomyopathy with heart failure symptoms like pulmonary edema, raised jugular vein pressure, hepatomegaly, lower limbs edema, and ECG of low voltage.9 In addition to syncope, which presents in one-third of the patients, it has a prognostic value.10 It is due to abnormalities in the conduction system causing arrhythmias, commonly bradyarrhythmia, atrioventricular block, or ventricular arrhythmias.11

Gastrointestinal manifestations are none specific nausea, vomiting, diarrhea, and weight loss.12 Drained liver enzymes and hepatomegaly with or without splenomegaly are also found in amyloidosis.13 Gastrointestinal bleeding has been reported as the first presentation of amyloidosis.13 Andree Koop et al. reported a case series of three patients describing the GI manifestation of amyloidosis; two cases have had systemic amyloidosis for more than five years; one presented with abdominal pain and diarrhea, and the other patient presented with melena. The endoscopic findings were severe colitis with diffuse mucosal ulceration and severe erythematous, friable gastric, and duodenal mucosa. The third patient with GIB newly diagnosed with amyloidosis was found to have sizeable sigmoid poly and erythema and edema of the gastric antrum, pylorus, and duodenal bulb with gastric outlet obstruction.14 Another case reported for which a sessile sigmoid colon polyp was found on routine colonoscopy screening with histological features of amyloidosis.15

Our case presented initially with syncope, most likely due to arrhythmias, a very early cardiac manifestation of amyloidosis that the holter and stress test did not detect. The disease progresses into heart failure with gastrointestinal involvement. It has no doubt that if the disease picked up earlier and management began, it would affect the course of the disease.

Conclusion

Amyloidosis is a systemic illness that involves several organs where the involved organ determines the clinical presentation. Cardiac amyloidosis causes arrhythmia and heart failure. As discussed earlier, GI features of amyloidosis are unspecific and can be found incidentally on routine colonoscopy screening. A learning point is to think broadly in the scenarios of syncope, as systemic disease might present with cardiac symptoms.

Acknowledgment

We acknowledge the internal medicine residency program for scientific support.

Statement of ethics

The case was approved by the Hamad Medical Corporation Medical Research Center, and the patient signed a written informed consent to publish his case.

Conflicts of interest

The authors report no conflicts of interest regarding this work.

Funding

The case report was funded by the Qatar National Library.

Author contributions

The first and second author contributed equally.

References

  1. Al–Farsi K. Multiple myeloma: An update. Oman Med J. 2013;28(1):3–1.
  2. Ryšavá R. AL amyloidosis: Advances in diagnostics and treatment. Nephrol Dial Transplant. 2019;34(9):1460–1466.
  3. Bustamante JG, Zaidi SRH. Amyloidosis – StatPearls. NCBI Bookshelf.
  4. Sipe JD, Benson MD, Buxbaum JN, et al. Amyloid fibril protein nomenclature: 2010 recommendations from the nomenclature committee of the International Society of Amyloidosis. Amyloid. 2010;17(3–4):101–114.
  5. Merlini G, Bellotti V. Molecular mechanisms of amyloidosis. N Engl J Med. 2003;349(6):583–596.
  6. Wechalekar AD, Gillmore JD, Hawkins PN. Systemic amyloidosis. Lancet. 2016;387(10038):2641–2654.
  7. Gertz MA. Immunoglobulin light chain amyloidosis diagnosis and treatment algorithm 2018. Blood Cancer J. 2018;8(5):44.
  8. De Haro–Del Moral FJ, Sánchez–Lajusticia A, Gómez–Bueno M, et al. Role of Cardiac Scintigraphy With 99mTc–DPD in the Differentiation of Cardiac Amyloidosis Subtype. Rev Esp Cardiol (Engl Ed). 2012;65(5):440–446.
  9. Liao R, Jain M, Teller  P, et al. Infusion of light chains from patients with cardiac amyloidosis causes diastolic dysfunction in isolated mouse hearts. Circulation. 2001;104(14):1594–1597.
  10. Chamarthi B, Dubrey SW, Cha K, et al. Features and prognosis of exertional syncope in light–chain associated AL cardiac amyloidosis. Am J Cardiol. 1997;80(9):1242–1245.
  11. Mathew V, Olson LJ, Gertz MA, et al. Symptomatic conduction system disease in cardiac amyloidosis. Am J Cardiol. Am J Cardiol. 1997;80(11):1491–1492.
  12. Petre S, Shah IA, Gilani N. Review article: Gastrointestinal amyloidosis – Clinical features, diagnosis and therapy [Internet]. Aliment Pharmacol Ther. 2008;27(11):1006–1016.
  13. Menke DM, Kyle RA, Fleming CR, et al. Symptomatic Gastric Amyloidosis in Patients With Primary Systemic Amyloidosis. Mayo Clin Proc. 1993;68(8):763–767.
  14. Koop AH, Mousa OY, Wang MH. Clinical and endoscopic manifestations of gastrointestinal amyloidosis: a case series. Med Pharm Reports. 2018;91(4):469–473.
  15. https://www.eventscribe.com/2017/wcogacg2017/ajaxcalls/PosterInfo.asp?efp=S1lVTUxLQVozODMy&PosterID=116061&rnd=0.81449
Creative Commons Attribution License

©2022 Osman, et al. This is an open access article distributed under the terms of the, which permits unrestricted use, distribution, and build upon your work non-commercially.