Submit manuscript...
Journal of
eISSN: 2373-4396

Cardiology & Current Research

Case Report Volume 10 Issue 2

A Rare Case of Junctional Tachycardia Revealing a Paraganglioma

Leye M,1 Aw F,2 Dioum M,3 Kane Ad,4 Sow A,5 Sarr SA,2 Kaya M,4 Akonde Fatou Binetou,5 Dieng PA,3 Bodian M,2 Sanghare Z,2 Ngaide AA,6 Mbaye A,6 Kane A,6 Diao M,2 Ba SA2

1Cardiology department, UFR des sciences de la sant
2Cardiology Unit, CHU Aristide Le Dantec, Universit
3CHU de Fann, Universit
4Cardiology department, Ufr des sciences de la sant
5Pediatric Unit, CHU Aristide Le Dantec, Universit
6Cardiology Unit, Centre Hospitalier National de L?h

Correspondence: Mohamed LEYE, Université de Thiés, Thiés, Sénégal, Cardiology Unit, Centre Hospitalier régional de Thiés, UFR des sciences de la santé, Université de Thiés, Thiés, PO Box 15180 Dakar-Fann, Sénégal, Tel (221) 771667088

Received: November 08, 2017 | Published: November 14, 2017

Citation: Leye M, Aw F, Dioum M, Kane A Sow A, et al. (2017) A Rare Case of Junctional Tachycardia Revealing a Paraganglioma. J Cardiol Curr Res 10(2): 00356. DOI: 10.15406/jccr.2017.10.00356

Download PDF

Abstract

Pheochromocytoma may be responsible for various cardiac events including cardiac arrhythmias. Authors report the case of a young child in whom pheochromocytoma was revealed by a junctional tachycardia. The determination of urinary free catecholamines found a very high level of Noradrenaline and the abdominal CT showed a left hilar renal mass.

Keywords: paraganglioma, pheochromocytoma, junctionnal tachycardia

Introduction

Pheochromocytomas (PHEOs) are rare neuroendocrine tumors that arise from the chromaffin cells of the adrenal glands. Paragangliomas (PGLs), the extra-adrenal counterparts of PHEOs, arise from ganglia along the sympathetic and parasympathetic chain.1 Most often, these conditions are part of multiple endocrine neoplasia.2 These neuroendocrine tumors have a highly variable clinical expression.3 They are responsible for catecholamine discharge that can lead to cardiovascular events such as transient ventricular dysfunction, myocardial ischemia and rhythm disorder. In the literature a high incidence of these expressions is reported (19.3%).4 The cause of cardiac disorders in patients with pheochromocytoma is chronic tachycardiomyopathy and coronary vasospasm.5 The diagnostic challenge is the difficulty of linking cardiac manifestations to these adrenergic tumors. The interest of this rare case in 11 years old boy is to assess such link.

Case presentation

Authors report the case of eleven years old boy named CAN who complained moderate atypical abdominal pain without irradiation, without increasing or decreasing factors, accompanied by palpitations lasting during two days with abrupt beginning following a dispute. He had also hypersudation and dyspnea at rest. The past medical history revealed that he was correctly vaccinated, with a good psychomotor development. No parental consanguinity was found or similar symptoms in the pedigree. Two years ago, he were admitted in hospital for systemic inflammatory response syndrome and reversible left ventricular dysfunction, which would have been attributed to a myocarditis; for which he had benefited from treatment with angiotensin converting enzyme inhibitor and diuretic.

Three days prior to the admission he also had tachycardia with normal blood pressure of 100/80 mmHg and an electrocardiogram showed multifocal atrial tachycardia; for which he had received Sotalol. He returned to hospital due to persistence of abdominal pain. The physical exam noted a weight of 28kg (-2DS), a size of 138cm (-1DS), BMI 14.07 (between -1 and -2DS) 99% saturation in room air, a grade III systolic hypertension.6 with 197/150 mmHg on the left arm (> 97.5 percentile) and 187/147 on the right arm (97.5 percentile) and tachycardia at 122 rates per minute.

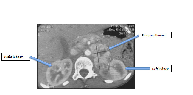
Auscultation noted fast and irregular heart sounds with no abnormal murmur. Auscultation of the arterial axes and the rest of the exam were normal. The blood count was normal as well as serum creatinine and C reactive protein. The urinary metanephrine dosage found a Noradrenaline level = 9930nmol/l or 1678ug/l (normal between 0 to 80 ug/l). The electrocardiogram recorded junctional tachycardia at 150 rates per minute (Figure 1), left ventricular hypertrophy, circumferential epicardial ischemia. Cardiac ultrasound found no coarctation or anomalies in venous return. Moderate left ventricular hypertrophy with mild systolic dysfunction (left ventricular ejection fraction at 50%) was found due to global hypokinesia. The disposition of the coronary arteries was normal. As part of the etiological research of this paroxysmal hypertension associated with palpitations and abdominal pain, an abdominopelvic CT scan was requested and this one revealed a retro peritoneal tissue process measuring 69x 50x34 mm (Figure 2&3) localized at hilar renal left. After dye injection, the mass was well filled and heterogeneous. Moreover, in the presence of junctional tachycardia, we take the opinion of a rhythmologist who concluded that there was junctional tachycardia with atrioventricular dissociation. The combination of an alpha blocker (Cardox 4mg/day) with Sotalol 30mg/m2 and 30mg of verapamil was recommended, which allowed good control of its blood pressure and a decrease of the heart rate. The diagnosis of paraganglioma was retained and the patient was sent to pediatric surgery staff for the management of this tumor.

Figure 1 Junctionnal tachycardia ECG at the admission of the patient.

Figure 2 Ct scan Showing Retro peritoneal tissue process measuring 69x 50x34 mm localized at hilar renal left intensified and heterogeneous at arterial time with foci of necrosis.

Figure 3 CT scan peritoneal tissue process localized at hilar renal left intensely intensified and heterogeneous at arterial time with foci of necrosis.

Discussion

This clinical case is a real challenge for practicians, who could miss the paragangliomma in front of the junctional tachycardia that was in the limelight. The patient may be completely asymptomatic or occur cardiac disorders such as paroxysmal or prolonged hypertension, heart failure and fatal arrhythmias, abdominal or metabolic manifestations due to excess of catecholamines.3 Drugs interfering with adrenergic stimuli may worsen the condition of a patient.3 This occurred in our case with hypertensive crisis following the administration of betablocker for the management of his tachycardia. This confirm the clinical picture by revealing arterial hypertension due to pheochromytoma. In the literature it is estimated that 9 to 12% of patients with pheochromocytoma initially have cardiac complications.7,8 Their mechanisms are based on the elevation of the level of circulating catecholamine which intensifies the peroxidative and lipoperoxidative metabolism in the cell membrane and increase the production of free radicals, thus causing potentially reversible myocardial injury.9 In addition, genetic polymorphisms of the beta-adrenergic receptor have been implicated in severe left ventricular dysfunction either by increasing catecholamine sensitivity or by elevating synaptic levels of norepinephrine by loss of negative feedback.10 This could explain the reversible left ventricular systolic dysfunction chart initially presented by our patient in the past.

Palpitations are the second most common symptom in this disease (50% -70%) after headache.11 They are due to the secretion of norepinephrine by pheochromocytoma. When beta-adrenoceptors are stimulated by excess catecholamine, they can lead to sinus tachycardia, atrial tachyarrhythmia as in our case.5 or even ventricular tachycardias,12 and in rare cases sinus dysfunction.13 Atrioventricular dissociation was associated with pheochromocytoma in only 2 cases.11 Unfortunately, the diagnosis of pheochromocytoma as a cause of sinus arrest, atrioventricular dissociation or supraventricular arrhythmia is often delayed leading to the establishment of pacemaker or ablation of His. In our case, this junctional tachycardia was well controlled by the prescription of alpha blocker in combination with beta blockers and verapamil.

Conclusion

Although rare, pheochromocytoma must be considered as a cause of palpitations and rhythm disorders, especially in young patients with paroxysmal hypertension. This case was a major diagnostic challenge but paroxysmal hypertension and abdominal pain at the time of seizure helped to set the diagnosis.

Acknowledgments

None.

Disclosures

Authors have nothing to disclose with regard to commercial support.

Conflicts of interest

Authors acknowledge no conflict of interest in the submission.

References

  1. Martucci VL, Pacak K. Pheochromocytoma and Paraganglioma: Diagnosis, Genetics, Management, and Treatment. Curr Probl Cancer. 2014;38(1):7-41.
  2. Cingolani OH, Heath J, McDonald M. A Nervous Heart. Circulation 2014;129:e358-e359.
  3. De Lazzari M, Cipriani A, Marra MP, et al. Heart failure due to adrenergic myocardial toxicity from a pheochromocytoma. Circ Heart Fail. 2015;8(3):646-648.
  4. Zelinka T, Petrák O, Turková H, et al. High incidence of cardiovascular complications in pheochromocytoma. Horm Metab Res. 2012;44(5):379-384.
  5. Shawa H, Bajaj M, Cunningham GR. Pheochromocytoma-Induced Atrial TachycardiaLeading to Cardiogenic Shock and Cardiac Arrest: Resolution with Atrioventricular.Node Ablation and Pacemaker Placement. Tex Heart Inst J. 2014;41(6):660-663.
  6. Mancia G, De Backer G, Dominiczak A, et al. The Task Force for the Management of Arterial Hypertension of the European Society of Hypertension (ESH) and of the European Society of Cardiology (ESC):2007 Guidelines for the management of arterial hypertension. J Hypertens. 2007;25(6):1105-1187.
  7. Yu R, Nissen NN, Bannykh SI. Cardiac complications as initial manifestation of pheochromocytoma: frequency, outcome, and predictors. Endocr Pract. 2012;18(4):483-492.
  8. Goldstein RE, O’Neill JA Jr, Holcomb GW, et al. Clinical experience over 48 years with pheochromocytoma. Ann Surg. 1999;229(6):755-766.
  9. Singal PK, Khaper N, Palace V, et al. The role of oxida- tive stress in the genesis of heart disease. Cardiovasc Res. 1998;40(3):426-432.
  10. Small KM, Wagoner LE, Levin AM, et al. Synergistic polymorphisms of beta1- and alpha2C-adrenergic receptors and the risk of congestive heart failure. N Engl J Med. 2002;347(15):1135-1142.
  11. Haine SE, Miljoen HP, Blankoff I, et al. Atrioventricular dissociation due to pheochromocytoma in a young adult. Clin Cardiol. 2010;33(12):E65-E67.
  12. Li SJ, Wang T, Wang L, et al. Ventricular Tachycardia and Resembling Acute Coronary Syndrome During Pheochromocytoma Crisis A case report. Medicine (Baltimore) 2016;95(14):e3297.
  13. Bruch C, Dagres N, Wieneke H, et al. Sinus node dysfunction with intermittent sinus arrest and AV-nodal escape rhythm as initial manifestation of pheochromocytoma]. Kardiol. 2002;91(1):81-87.
Creative Commons Attribution License

©2017 Leye, et al. This is an open access article distributed under the terms of the, which permits unrestricted use, distribution, and build upon your work non-commercially.