Submit manuscript...
Journal of
eISSN: 2373-6437

Anesthesia & Critical Care: Open Access

Case Report Volume 14 Issue 5

Primary tracheal resection - the last resort to manage a difficult airway in a patient with tracheal stenosis – a rare case report

Dr. Deepanwita Das,1 Dr. Chaitali Sen2

1Consultant, Chittaranjan National Cancer Institute, India
2Professor, IPGMERAND SSKM Hospital, India

Correspondence: Deepanwita Das, Consultant, Chittaranjan National Cancer Institute, Kolkata, India

Received: September 10, 2022 | Published: September 16, 2022

Citation: Das D, Sen C. Primary tracheal resection - the last resort to manage a difficult airway in a patient with tracheal stenosis – a rare case report. J Anesth Crit Care Open Access. 2022;14(5):157‒159. DOI: 10.15406/jaccoa.2022.14.00529

Download PDF

Introduction

Tracheal stenosis is narrowing of tracheal lumen due to various causes. Chance of tracheal stenosis following intubation with high volume low-pressure cuffed ETT is 11%.1 Critical tracheal narrowing is life-threatening, definitive treatment is the surgery. As conventional attempt to insert the ETT through stenosis is not always successful, anaesthesia is challenging for these cases. The catastrophic complete airway obstruction may occur.2 It is very difficult to maintain a patent airway in the perioperative period particularly in tracheal reconstruction surgery. Maintaining adequate ventilation is crucial when the stenosis is at lower tracheal rings, as there is no space for tracheostomy. We report a rare case of tracheal stenosis posted for tracheal reconstruction surgery where both endotracheal intubation and tracheostomy were not possible. The operation was done under primary tracheal resection followed by intubation through the stump.

Case report

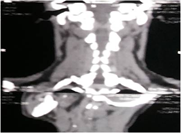
A 28 year old male, weighing 40 kg, with a history of intubation for 1.5 month after road traffic accident was posted for tracheal reconstruction surgery. He was suffering from persistent respiratory distress for 5 months after extubation which was increasing day by day. There was also history of cough and dyspnea on exertion. On examination patient was conscious, oriented with pulse rate 88/min; BP 110/70 mmHg with SpO2 of 92%. On examination of respiratory system we found that trachea was in midline, accessory muscles of respiration were active, bilateral air entry was diminished at basal zone. Other systemic examinations were found to be normal. In routine hemogram, Hb%=15.6g/dl, TLC=9800/mm3, N63,L30,M2,E5,B0, platelet count =185000/mm3, urea=23 mg/dl, creatinine = 0.8 mg/dl, RBS=89mg/dl, PT=13sec, aPTT=25sec, INR=1. Liver function test was normal. Total bilirubin 0.5mg/dl, total protein 5.3g/dl, serum albumin 3g/dl, globulin 2.3g/dl, serum alkaline phosphate 50U/L, ALT 30U/L, AST 32U/L. Serological markers – HBs Ag, HCV, HIV were nonreactive. ECG 12 lead showed normal sinus rhythm. Lung fields were normal on chest X-ray and trachea was in midline. CT scan neck and chest showed subglottic tracheal stenosis (5mm) with focal narrowing of tracheal lumen (Figure 1).

Figure 1 CT scan shows subglottic tracheal stenosis.

We have planned for an awake fiberoptic tracheal intubation keeping the difficult airway cart ready. After airway preparation (inj glycopyrolate 0.2 mg iv, lignocaine 4% 4 ml nebulization for 20 min and bilateral glossopharyngeal nerve blocks), induction of anaesthesia was done with inj. midazolam 0.5 mg, fentanyl 20 µg in divided doses maintaining the spontaneous respiration. Awake fiberoptic bronchoscope was tried and the FOB could be negotiated till the obstruction but it was not possible to insert beyond the obstruction. Procedure was abandoned on that day. We decided then to post the operation on the next day with cardiopulmonary bypass (CPB) machine standby from the very beginning. On the next proposed day, patient was shifted to OT. Continuous monitoring of all parameters like NIBP, pulse rate, ECG 5 lead with ST segment analysis (ASA standard) was carried out. Intravenous canulation was secured and antibiotic piperacillin - tazobactum was started. A radial arterial line was then inserted for continuous monitoring of IBP. Femoral arterial and femoral venous canulation was also introduced. This was the provision of femoro-femoral bypass to go on CPB immediately in any airway catastrophy. Patient was preoxygenated with 100% O2 for 5 minutes. Fentanyl 20 µg and midazolam 1 mg injected very slowly. Multiple small doses of propofol (10 mg +10 mg) and fentanyl (10 µg +10 µg +10 µg) was injected preserving spontaneous respiration unaltered. An ILMA size 3 was introduced and spontaneous ventilation was maintained with 100% O2 and multiple small doses of propofol (10 mg aliquots, total 70 mg) and fentanyl (total 50 µg). The patient was on spontaneous ventilation with intermittent assist but EtCO2 was increased to 45-60 mmHg within 10 min after induction. Surgeons were then asked for trecheostomy immediately. But through that critically narrowed tracheostomy stoma smallest size tracheostomy (size) tube could not be inserted. Finally, primary tracheal resection was done at T2-T3 level immediately and very quickly (within 10min) with 1% lignocaine local infiltration at cricoid level. Then rapid dissection of distal to stenosis was done and a sterile 7.5 mm ID ETT was directly inserted by the surgeon through open trachea distal to stenosis and the other end of the ETT was handed over to us to which a sterile breathing circuit was attached quickly and ventilation was adequately established. EtCO2 decreased gradually to 33mmHg. Muscle relaxant vecuronium 4 mg and fentanyl 100 µg then administered and patient was mechanically ventilated with tidal volume 300 ml, respiratory rate 35/min, airway pressure 20 cmH2O, I:E=1:2.5. The total procedure from skin incision to establish adequate mechanical ventilation took 5 min. Though during this period vitals were stable (heart rate-90-110/min, BP-124-130/70-76 mmhg, ECG – normal sinus rhythm), but SpO2 drops to 95% with 100% O2, EtCO2 increased to 55 mmHg. In ABG: pH 7.30, pO2 100, pCO2 60, BE -0.2, HCO3 26.3, Na/K 130.2/3.27, Hb 13g/dl, Hct 39, SaO2 100%, Ca 1.1. But EtCO2 comes down to 30mmHg and SpO2 becomes 100% just within 1 min of establishment of mechanical ventilation. After 15 minutes of mechanical ventilation ABG was done which shows: pH 7.37, pO2 291, pCO2 33, BE 1.1, HCO327, Na/K 134.2/3.7, Hb 12.5g/dl, Hct 37, SaO2 100%, Ca 0.91. The stenosed trachea (Figure 2) was excised (Figure 3) and planed for end-to-end anastomosis. After suturing the posterior wall of trachea, a sterile stylet was introduced by the surgeon through open trachea towards the vocal cord. LMA was removed and oral suction under direct laryngoscopy was performed. With the help of Magill’s intubating forceps, the stylet (introduced by the surgeon) was caught over which a 7.5 mm ID a second ETT was railroaded and first ETT (Figure 4) was withdrawn by the surgeon. Finally, the breathing circuit was attached to the second ETT and ventilation was adequately established. Anaesthesia was maintained by N2O, O2, isoflurane. Inj dexamethasone 8 mg and 100 mg hydrocortisone i.v. were injected in the intraoperative period. Anterior wall of trachea was sutured at a particular neck-flexed position and flexion was maintained postoperatively also by suturing the chin with the anterior chest wall. The vitals (HR, IBP, Temp, EtCO2, SpO2, ECG, and CVP) were monitored throughout the perioperative period. Patient was extubated on table after adequate return of reflexes with neostigmine and glycopyrolate. Patient was shifted to ICU with continuous monitoring of all vitals. Fortunately, the postoperative period was uneventful. Patient was shifted from ICU at Day 3 and discharged from the hospital at Day10 with an uneventful postoperative course.

Figure 2 Stenosed trachea.

Figure 3 Excised stenosed part of trachea.

Figure 4 ETT intrduced after excision of stenosed trachea.

Discussion

Tracheal stenosis may occur due to iatrogenic causes (endotracheal intubation, tracheostomy, radiotherapy, surgery), congenital, external injury, tumors, autoimmune conditions (sarcoidosis, amyloidosis, polychondritis, Wegener’s granulomatosis), tracheopathia osteoplastica (neumerous cartilaginous and bonny nodules within the tissues of the submucosa without ulceration of the surface), bacterial infection (rhinolaryngoscleroma, TB, bacterial tracheitis, tuberculosis, diphtheria, histoplasmosis). Lindholm reported laryngotracheal injury following intubation in 1969.3 Whited reported that the severity of edema and stenosis is directly proportional to duration of intubation.4 Trauma either internal (prolonged intubation, tracheostomy, flame burn) or external (blunt or penetrating neck trauma) is the most common cause of tracheal stenosis.5 Though airway can be managed by FOB guided intubation or by tracheostomy in many cases but it is a real challenge when stenosis is at lower tracheal rings and is such a great extent that FOB cannot be negotiated in some cases, which requires surgical intervention to remove the obstruction. Rigid bronchoscopy with tracheal dilatation and stenting may offer successful relief for less serious lesions,6 but relapse is the principal long-term problem. So, tracheal reconstruction is the mainstay of treatment though mortality about 3%.7,8 Our case was an anticipated difficult airway where both FOB and tracheostomy were impossible. We avoided the muscle relaxant till the airway was adequately secured and ventilation was adequately successful. As muscle relaxant will cause full relaxation of respiratory muscles, the tone of airway will be lost and it will transform the partial tracheal obstruction of total obstruction making the total cutoff of ventilation and then the airway control will be very difficult. So, we maintained the spontaneous respiration with mild sedation and analgesia without any relaxant, thereby avoiding the dreaded catastrophy of airway mismanagement. In our case, the trachea was so narrowed that even only quick tracheal incision at stenosed part was not enough to introduce the ETT; rapid tracheal resection finally allowed the ETT to pass through and to maintain SpO2, EtCO2. We have kept the provision of femoro-femoral bypass for safety. If this procedure would complicate the situation causing haemodynamic instability or severe hypoxia leading to cardiac arrest, we would immediately shift to bypass and activate the extracorporeal circulation. It was a case of anticipated difficult intubation; however we were able to manage successfully opting primary tracheal resection as a last resort.

Conclusion

Tracheal stenosis after prolonged intubation is rare but life-threatening airway complication. Interventional fibreoptic bronchoscopy is the first line of management. But, in lower tracheal stenosis when tracheostomy is not possible, primary tracheal resection is the only way to secure the airway and to maintain ventilation allowing tracheal reconstructive surgery successful.

Acknowledgments

None.

Conflicts of interest

None.

References

Creative Commons Attribution License

©2022 Das, et al. This is an open access article distributed under the terms of the, which permits unrestricted use, distribution, and build upon your work non-commercially.