Submit manuscript...
Journal of
eISSN: 2373-6437

Anesthesia & Critical Care: Open Access

Case Report Volume 5 Issue 2

Polycythemia Vera Dental Management -Case Report

Harpreet S Grover, Shalini Kapoor, Nitin Kaushik

Department of periodontics, SGT Group Institutions, India

Correspondence: Shalini Kapoor, Department of periodontics, SGT Group Institutions, India

Received: June 01, 2016 | Published: June 29, 2016

Citation: Grover Hs, Kapoor S, Kaushik N (2016) Polycythemia Vera Dental Management -Case Report. J Anesth Crit Care Open Access 5(2): 00177. DOI: 10.15406/jaccoa.2016.05.00177

Download PDF

Abstract

Polycythemia vera was first reported in the medical literature in 1892. The term "myeloproliferative disorder" (MPD) was first used to described polycythemia vera and related disorders in 1951. In 2008, the World Health Organization reclassified MPDs to "myeloproliferative neoplasms" (MPNs) to reflect the consensus that these diseases are blood cancers (neoplasms). Polycythemia vera is a rare, chronic disorder involving the overproduction of blood cells in the bone marrow (myeloproliferation). The overproduction of red blood cells is most dramatic, but the production of white blood cells and platelets are also elevated in most cases. Since red blood cells are overproduced in the marrow, this leads to abnormally high numbers of circulating red blood cells (red blood mass) within the blood. Polycythemia Vera is diagnosed by performing appropriate history and physical examination of the individual, and using the appropriate test like Blood test. Testing for blood hematocrit, hemoglobin test, level of hormone erythropoietin is also measured. As the condition cannot be cured according to western methodology, treatment focuses on treating symptoms and reducing thrombotic complications by reducing the erythrocyte levels. The treatment of Polycythemia Vera is focused on methods to reduce the thickness (or viscosity) of the blood and prevent possible formation of clots, which can cause more serious medical issues. During Phlebotomy blood, normally one unit is removed at a time every week, until the blood is thinned out. In addition to this, individual may be put on aspirin, as it will decrease the chance of forming blood clots.

Abbreviations

MPD, myeloproliferative disorder; MPNs, myeloproliferative neoplasms; PV, polycythemia vera; RBC,red blood cell; OPD, outpatient department; OPG, orthopantogram; EPO, erythropoietin

Introduction

The term chronic “Blood Dyscrasias” refers to any pathologic condition of the blood involving disorders of the blood’s cellular components (platelets, white blood cells, or red blood cells) or soluble plasma components required for proper coagulation. In general, most of these blood disorders can be broken down into two basic categories based on the patient’s coagulation phenotype: Hypocoagulable (hemorrhagic) and Hypercoagulable (thrombotic) states.1

Dental care has become sufficiently advanced that patients with complex blood disorders can safely undergo a variety of surgical procedures.2 Dental procedures, such as extractions and periodontal surgery, are among the most common invasive procedures in India. Delivery of patient care encompasses a wide range and variety of challenges, one of which is unexpected clinical bleeding. Clinical bleeding can be presented in two forms: the first can occur during surgery; and the second can manifest several days after the procedure.3 Many dental procedures are associated with postoperative bleeding, which, in most cases, is self-limiting and non problematic. However, a small but significant segment of the population has an increased risk of bleeding due to bleeding disorders, in which even relatively minor invasive procedures can precipitate a prolonged bleeding episode.2 The bleeding disorders associated with oral manifestations and complications are: iron deficiency anemia, hemolytic anemia, vitamin B12 and folate deficiency anemia, aplastic anemia and polycythemia.4

The most difficult to manage is Polycythemia vera (PV), a myeloproliferative disorder characterized by excessive proliferation of erythroid elements along with granulocytic and megakaryocytic cells. In polycythemia vera (PV) red blood cell (RBC) volume increases to an erythrocyte count of 6 to 12 million/mm, with a hemoglobin concentration of 18 to 24 g/dL, leading to increased blood viscosity and thrombosis. Polycythemia is divided into absolute erythrocytosis (a true increase in red-cell mass) and relative erythrocytosis (the red cell mass is normal, but the plasma volume is reduced due to the loss of tissue and intravascular fluid). In relative polycythemia, the hemoglobin rarely rises more than 25%, and there are no appreciable oral changes but in absolute erythrocytosis significant oral changes are observed. The clinical oral manifestations include pale mucosa, reactive keratosis, and different forms of candidosis, mucosal ulcers, gingival bleeding and various degrees of gingival enlargement.5

The presence of oral lesions should alert the dentists as well as the hematologists. These are key factor in the process of identifying and early diagnosing of the disease. Thus complications can be prevented and treatment can be started at an early stage, avoiding further damage.6 Clinical manifestations (including oral manifestations) of blood disorders are overlapping with each other and with other hematologic disorders, which makes the diagnosis of Polycythemia a challenging task.7 In this article, we report a rare case of Polycythemia Vera at dental outpatient department (OPD), its oral manifestations and its management in the dental clinic.

Case report

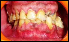
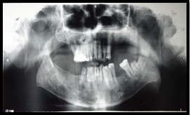
A 65 year old male patient reported to the outpatient department of Periodontology, SGT Dental College, Budhera with the chief complaint of bleeding gums, mobility of teeth and difficulty in mastication since one month. Patient also complains pain in relation to right back tooth region for 2 weeks. Pain was sharp in nature, aggravated on lying down, relieved by taking medication and was not referring to any other site. Patient gave past medical history of PCV since 2003 and on being medications for the same which included: Hydroxyurea- 500 mg twice daily as cytoreductive agent to decrease the leukemogenic risk and ecosprin -75 mg (low dose aspirin) to lessen the risk of thrombosis in an artery. Cimetidine was given (H2 receptor antagonists) to relieve gastrointestinal symptoms of peptic ulceration. Citrezine (antiallergic) was prescribed to relieve generalized itching which patient was suffering from. On intra-oral examination it was found that there was mobility present in relation to all the teeth, red inflammed gingiva with loss of stippling which bled profusely on slight provocation, generalized recessiongingival enlargement present in relation to all the teeth, attrition and root caries present in relation to 45. Patient was advised Orthopantogram (OPG) which showed generalized horizontal bone loss extending upto two third of root surface of almost all the teeth present (Figures 1&2).

Figure 1 Intra- oral photograph. .

Figure 2 Orthopantogram.

The treatment plan advised to the patient was complete prosthetic replacement following total extraction. The patient was referred to haemato-oncologist for medical clearance and entire blood investigations were advised. The important findings reported were Haemoglobin 15.1 gm%, Bleedingtime-1:45 min, Clotting time 6:10 min and INR value is 1.11. The major outcomes considered in treatment of such patients are to maximize health benefits and minimize adverse effects by promoting the performance of the procedures at the right time with the appropriate precautions. Tablet traxemic 500 mg qid was started one day before to prevent hemorrhagic event. Extraction of 45 was done under local anesthetic (as given in Table 1) in regard to the chief complaint of the patient. Antibiotic, Amoxicillin 500 mg tid and analgesics, paracetamol 325 mg tid were prescribed to the patient. There was uneventful healing reported at surgical site one week after surgical procedure. It was taken care of not to prescribe Ibuprofen as it is associated with gastrointestinal ulceration and it counteract the anti-clotting mechanism of aspirin (Table 1).

Local Anaesthetic

a.   Use local anaesthetic with a vasoconstrictor;

b.   Avoid regional nerve blocks where possible. If necessary, then ensure an aspirating syringe is always used.

Minimize Trauma

a.   As with all extractions, the aim is to minimize trauma as much as possible.

Haemostatic Agents

a.    Consider the use of a haemostatic resorbable dressing following an extraction, such as oxidized regenerated cellulose (Surgicel®), synthetic collagen or gelatine sponge to promote and stabilize clot formation by providing a mechanical matrix.

Suture

a.   Suture the socket with resorbable sutures to achieve primary closure where possible and then apply pressure to the socket with a gauze pack until haemostasis is achieved.

Post-operative instructions

a.   Give clear post-operative instructions to the patient, both verbal and written.

Tranexamic Acid Mouthwash

a.   The use of tranexamic acid post-operatively is not routinely advocated in patients on warfarin as it can be expensive, difficult to obtain and, when used in combination with other haemostatic measures, provides little additional reduction in postoperative bleeding.28

b.   However, tranexamic acid mouthwash may be useful as an antifibrinolytic agent for patients with congenital and other acquired bleeding disorders.

Table 1 Local haemostatic measures for Polycythemia vera patients8,9

Discussion

Polycythemia is one of several “myeloproliferative neoplasms (MPNs), a term used to group a number of blood cancers results from uncontrolled clonal production, especially red cells, as a result of acquired mutations in an early blood-forming cell. Primary polycythemia is usually associated with a gene mutation of the JAK2 (Janus kinase 2) gene. It affects 1 to 2 persons per 100,000, it has a prevalence of 22 persons per 100,000. Risk factors associated with PCV are age (>60) and sex (men affected more than women).

PV may only be discovered when blood counts are done during a periodic health examination (Table 2).

More common

Less common

Hematocrit level >52 percent (0.52) in white men, >47 percent (0.47) in blacks and women

Bruising/epistaxis

Hemoglobin level >18 g per dL (180 g per L) in white men, >16 g per dL (160 g perL) in blacks and women)

Budd-Chiari syndrome

Plethora

Erythromelalgia

Pruritus after bathing

Gout

Splenomegaly

Hemorrhagic events

Weight loss

Hepatomegaly

Weakness

Ischemic digits

Sweating

Thrombotic events

Transient neurologic complaints (headache, tinnitus, dizziness, blurred vision, paresthesias)

Atypical chest pain

Non Specific Complications

Stroke, heart attack, deep vein thrombosis, pulmonary embolism

Table 2 Sign and symptoms of polycythemia vera10,11

Diagnosis of PV is currently according to WHO criteria and based on a composite assessment of clinical and laboratory feature.8 Major and minor criteria in the diagnosis of polycythemia vera is described in Table 3.

Major Critera

Hg>18.5 g/dL (men);>16.5 g/dL(women); or

Presence of JAK2 V617F orJAK2exon 12 mutation

Minor Criteria

BM trilineage myelo-proliferation

Subnormal serum E Level

EEC growth

Table 3 World health organisation (who) diagnostic criteria for polycythemia vera12

Criteria that will confirm the diagnosis of PV also include:

  1. An mildly elevated white cell count, especially the neutrophil (a type of white blood cell) count which doesn’t progress,
  2. An elevated platelet count, which occurs in at least 50 percent of patients which may progress,
  3. An elevated red cell mass,
  4. Normal or near-normal arterial oxygen saturation,
  5. A low erythropoietin (EPO) assay in the blood.
  6. EPO assay difference between primary and secondary PCV are EPO is normal or high in secondary PCV.

Polycythemia prevention is necessary because the cause is unknown, is limited to the prevention of complications, comorbidities and associated conditions. Treatment part includes: Phlebotomy often the first line of treatment, which may also require medications to suppress production of red blood cells because phlebotomy may increase the number of platelets and does not reduce the size of an enlarged liver or spleen, Medications for symptoms is to be prescribed, Chemotherapy to reduce the number of red blood cells produced by the bone marrow and Interferon to lower blood counts. In gastrointestinal symptoms of peptic ulcerations: H2 receptor antagonists, such as, cimetidine, famotidine, nazotidine, ranitidine can be prescribed.13

Polycythemia vera and dental treatment

Primary polycythemia and its comorbidities have implications for oral health care. Precautionary measures, such as blood tests, may be required before oral healthcare is undertaken and a close communication and cooperation is required between the treating hematologist and the oral healthcare provider. Polycythemia may initially present with: spontaneous bleeding from the gum, purplish or red areas on the tongue, cheeks, lips and gums, poor oral hygiene, including inflamed gingiva, periodontal disease.14

When to initiate the dental procedures proposed in Polycythemia Vera patients

 The dental hygienist should consult with the primary care physician or hematologist to obtain

  1. Clearance for implementing the Procedures
  2. Advice about
    1. Excessive bleeding
    2. Complications that may be affected by oral healthcare, such as increased risk of blood clots
    3. Recent changes in medications, under medical advice or otherwise
    4. Recently experienced changes in the patient/client’s medical condition

Oral self care methods14

The dental hygienists should

  1. Urge the patient/client to alert any healthcare professional who proposes any intervention or test
    1. that he or she has a history of polycythemia
    2. to the medications he or she is taking
  2. Should discuss, as appropriate
    1. the importance of the patient/client’s
      1. self-checking the mouth regularly for new signs or symptoms
      2. reporting to the appropriate healthcare provider any changes in the mouth
    2. the need for regular oral health examinations and preventive oral healthcare
    3. oral self-care including information about
      1. choice of toothpaste
      2. tooth-brushing techniques and related devices
      3. dental flossing
      4. mouth rinse
    4. the importance of an appropriate diet in the maintenance of oral health
    5. for persons at an advanced stage of a disease or debilitation
      1. regimens for oral hygiene as a component of supportive care and palliative care
      2. the role of the family caregiver, with emphasis on maintaining an infection-free environment through hand-washing and, if appropriate, wearing gloves
      3. scheduling and duration of appointments to minimize stress and fatigue
    6. comfort level while reclining, and stress and anxiety related to the Procedures
    7. medication side effects such as dry mouth, and recommend treatment
    8. mouth ulcers and other conditions of the mouth relating to polycythemia, comorbidities, complications or associated conditions, medications or diet
    9. Pain management.

Conclusion

As we live in a society where medical interventions are continually advancing, people are living longer and medical conditions are extremely diverse, it is important for the dental clinician to be able to recognize medical conditions and treatments that may cause bleeding complications following dental treatment. This paper outlines many of these conditions and suggests ways to identify and manage patients with Polycythemia Vera.15

Acknowledgments

None.

Conflicts of interest

The authors declare no conflict of interest.

Funding

None.

References

  1. Haeck PC, Swanson JA, Schechter LS, et al. Evidence–Based Patient Safety Advisory: Blood Dyscrasias. Plast Reconstr Surg. 2009;124(4):82–95.
  2. Israels S, Schwetz N, Boyar R, et al. Bleeding Disorders: Characterization, Dental Considerations and Management. Can Dent Assoc. 2006;72(9):827.
  3. Vassilopoulos P, Palcanis K. Bleeding disorders and periodontology. Periodontology. 2007;44:211–223.
  4. Diana IP, Şerban T. Dental care of patients with red blood cells series pathology. MedCon. 2014;9(2):37–40.
  5. Scott SD, Garfunkel A, Greenberg MS. Hematologic Diseases. Principle of Medicine. 1992;2:429–453.
  6. Jeshtadi A, Motrapu L, Abdul M, et al. Polycythemia Vera in a Young Adult:A Rare Case Report. J Med Case. 2014;2:226–228.
  7. Ruparelia PB, Riparelia KPH, Shirolkar R, et al. Chronic myeloproliferative disorders:A rarest case with Oral manifestations and Dental management. J Indian Oral Med Radiol. 2012;24(2):155–157.
  8. Blinder D, Manor Y, Martinowitz U, et al. Dental extractions in patients maintained on oral anticoagulant therapy: comparison of INR value with occurrence of postoperative bleeding. IntJ Oral Maxillofac Surg. 2001;30(6):518–521.
  9. Carter G, Goss AN, Lloyd J, et al. Current concepts of the management of dental extractions for patients taking warfarin. Aust Dent J. 2003;48(2):89–96.
  10. Tefferi A. Polycythemia vera:a comprehensive review and clinical recommendations. Mayo Clin. 2003;78(2):174–194.
  11. Hoffman R. Hematology:basic principles and practice. 3rd ed. Churchill Livingstone, London; 2000. pp. 1130–1155.
  12. Tefferi A. Polycythemia vera and essential thrombocythemia:2013 update on diagnosis, risk–stratification, and management. Am J Hematol. 2013;88(6):507–516.
  13. Tefferi A, Thiele J, Orazi A, et al. Proposals for revision of the World Health Organization diagnostic criteria for polycythemia vera, essential thrombocythemia, and primary myelofibrosis: From an ad hoc international expert panel. Blood. 2007;110(4):1092–1097.
  14. Lengfelder E. Diagnosis and therapy of polycythemia vera in the era of JAK2. Dtsch Med Wochenschr. 2013;138(7):331–336.
  15. Gordon Atherle Y, Lisa Taylor. Polycythemia. CDHO Advisory. 2012. p. 1–14.
Creative Commons Attribution License

©2016 Grover, et al. This is an open access article distributed under the terms of the, which permits unrestricted use, distribution, and build upon your work non-commercially.