Submit manuscript...
International Journal of
eISSN: 2574-9889

Pregnancy & Child Birth

Research Article Volume 5 Issue 2

The “honeycomb sign”: gestational trophoblastic disease in the largest tertiary center in Rwanda

Maria Small,1,2,4 Denis Rwabizi,1 Stephen Rulisa,1 Lisa Bazzett-Matabe,1,2 Rahel Ghebre,1,2,3 David Ntirushwa,1 Diomede Ntasumbumuyange,1 Valens Nkubito1

1University of Rwanda & University Teaching Hospital of Kigali, Rwanda
2Yale University School of Medicine, New Heaven, USA
3University of Minnesota, Minneapolis, USA
4Duke University, School of Medicine, Durham, USA

Correspondence: Maria Small, Duke University School of Medicine, 2608 Erwin Rd. Durham, NC 27705, USA

Received: January 10, 2019 | Published: March 5, 2019

Citation: Rwabizi D, Rulisa S, Bazzett-Matabele L, et al. The “honeycomb sign”: gestational trophoblastic disease in the largest tertiary center in Rwanda. Int J Pregn & Chi Birth. 2019;5(2):45-46. DOI: 10.15406/ipcb.2019.05.00145

Download PDF

Summary

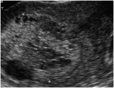
We reviewed the University Teaching Hospital of Kigali (CHUK) ultrasound database from January 2014 to December 2014 to determine the incidence of Gestational Trophoblastic Disease (GTD). Our providers refer to the classic, “snowstorm” image of GTD as the “Honeycomb sign”. All cases are referred for pathologic examination and are reviewed and followed by Gynecologist Oncologists. Twenty-seven patients were diagnosed with GTD and 1784 deliveries occurred. The incidence of GTD was 1.5/1,000 deliveries in the study period. The GTD incidence is elevated in Rwanda. Ultrasound remains an essential diagnostic and management tool in this low resource setting.

Keywords: Rwanda, honeycomb sign, gestational trophoblastic disease, snowstorm image

Introduction

Gestational trophoblastic disease (GTD) encompasses a spectrum of conditions from premalignant (complete and partial hydatiform mole) to persistent mole, invasive mole, choriocarcinoma and very rare placental site trophoblastic tumors.1 The later four conditions are collectively referred to as Gestational trophoblastic neoplasia (GTN).1 The incidence of GTD is difficult to establish with certainty due to low frequency of the disease and regional variations.1

North American and European countries report a low incidence of GTD. The incidence of complete hydatidaform mole in the UK is approximately 1 per 1000 pregnancies and 3 per 1000 for partial moles.1 Whereas, studies from Asia, Latin America and the Middle East report higher incidences of GTD globally.1 Few studies are available on the prevalence of GTD in sub-Saharan Africa. Studies from South Africa and Tunisia demonstrate incidence of 1.2/1000 to 0.9/1000 live births, respectively.2,3 Data regarding the incidence of complete and partial hydatiform moles are inadequate due to discrepancies between hospital and population–based studies, lack of trained pathologists to confirm diagnosis and a practice of not routinely evaluating surgical specimens for pathologic review.1,4 Globally, the use of laboratory measurement for human chronic gonadotropin (HCG), standardized evaluation and management approaches to GTD, as well as centralized care are considered key to reducing GTN related deaths. To date no studies have been reported from Rwanda, in sub-Saharan Africa, regarding the prevalence of GTD.

CHUK is the largest public teaching hospital in Rwanda and serves a catchment of 29 district hospitals. Two Gynecology Oncologists from the US have established a GTD registry and standardized the tertiary center management protocols. In addition a program of training has been implemented on GTD and GTN for post-graduate residents, medical students, and other health care providers.5 The purpose of this study is to determine the prevalence of GTD in the largest tertiary care center in Rwanda.

Methods

The University of Rwanda and Duke University Institutional Review Boards approved this study. We used the University Teaching Hospital of Kigali (CHUK) admissions registry to identify appropriate patients. Admission diagnoses were confirmed by CHUK ultrasound database between January 2014 and December 2014. All Obgyn ultrasound evaluations are performed using compact, portable machines. As part of residency training, all Obgyn residents receive formal ultrasound training through a didactic course annually and receive ongoing feedback on their ultrasound imaging from Obgyn faculty. The historical term of snowstorm” image to describe US findings of GTD was contextually adapted in Rwanda to a more appropriate reference of “Honeycomb sign”.6

Results

A total 1784 deliveries occurred at CHUK between January 2014 to December 2014. In the same study period, women presenting with signs or symptoms for GTD were evaluated at CHUK. GTD diagnosis was suspected by clinical exam, HCG and US findings. All patients received an ultrasound by an Obgyn resident and or faculty at the time of admission. Typical US findings of GTD included the presence of heterogeneous solid mass with hypoechoic cystic appearing lesion (Figure 1). US findings that demonstrated color flow into myometrium suggested invasive mole (GTN). Final diagnosis for GTD was confirmed by pathologic confirmation of either complete mole or partial mole. Twenty-seven patients were diagnosed with GTD. The prevalence of GTD at CHUK in 2014 was 1.5/1000 (Figure 2).

Figure 1 Honeycomb Sign.
Figure 2 Molar pregnancy following hysterectomy.

Discussion

The incidence of GTD is high in our tertiary care center. Pelvic ultrasound is the imaging modality used to evaluate the uterus and adnexa If GTD is suspected.1 All patients admitted to the University Teaching Hospital of Kigali (CHUK) receive prompt ultrasound assessments at the time of their initial evaluation. Due to high prevalence of GTD in our setting, standard approaches to evaluation and management of this condition are essential. Teaching strategies include the implementation of a geographically relevant sonographic sign to describe GTD, as well as ongoing development of management approaches in conjunction with Gynecology Oncology. A GTD registry has been established to standardize identification, management and outcomes of GTD patients who present to CHUK.

Conclusion

The prevalence of Gestational Trophoblastic Disease is elevated and appears comparable to other areas of the world with high GTD rates. Providers in our setting, refer to the classically described, “snowstorm” image on ultrasound of GTD as the “Honeycomb sign”.

Acknowledgements

None.

Conflict of interest

The author declares there are no conflicts of interest.

References

Creative Commons Attribution License

©2019 Rwabizi, et al. This is an open access article distributed under the terms of the, which permits unrestricted use, distribution, and build upon your work non-commercially.