Submit manuscript...
International Journal of
eISSN: 2574-9889

Pregnancy & Child Birth

Case Report Volume 5 Issue 5

Early second trimester incomplete abortion with undiagnosed placenta accreta encountered as an acute gynecological emergency: a case report

Sabre Alexand Alexander, Rashid Waqarun, Arul Manonmani, Gaither Kecia, Jones Chandra

Department of Obstetrics and Gynecology, Lincoln Hospital Medical and Mental Health Center, USA

Correspondence: Gaither Kecia, Department of Obstetrics and Gynecology, Lincoln Hospital Medical and Mental Health Center, 269 E. 149th St. Bronx, N.Y. 10451, USA

Received: September 09, 2019 | Published: September 18, 2019

Citation: Alexander S, Waqarun R, Manonmani A, et al. Early second trimester incomplete abortion with undiagnosed placenta accreta encountered as an acute gynecological emergency: a case report. Int J Pregn & Chi Birth 2019;5(5):177-178. DOI: 10.15406/ipcb.2019.05.00171

Download PDF

Abstract

Placenta accreta spectrum (PAS) are life-threatening obstetrical conditions, which may have catastrophic outcomes when encountered in the emergency setting. We present a case of a 36 yo G4P3003 at 14 weeks 4 days who received prenatal care at outside facility who had passage of incomplete abortion at home and brought in hypotensive shock with active vaginal bleeding. Massive transfusion protocol was started and patient was brought to operating room and proceeded with suction dilation and curettage. Despite removal of products of conception confirmed with US guidance; brisk heavy bleeding continued with use of multiple uterotonics. The decision was made to proceed with abdominal hysterectomy with removal of an atonic uterus that was bivalved in OR showing abnormal placentation later confirmed with pathology. Patient postoperative course was uneventful; extubated from surgical ICU and discharged 3 days later. We wish to highlight the importance of astute clinical practice and timely decision making by the Ob/Gyn team in the presentation of a critical patient with placenta accreta encountered in the early second trimester.

Keywords: placenta accreta, abortion, vaginal bleeding, dilatation

Abbreviations

MRI, magnetic resonance imaging; CT, computed tomography.

Background

PAS are a range of abnormal placentation with disruption of the decidual basalis enabling invasion of chorionic villi into or past the myometrium; leading to incomplete placental separation and hemorrhage. Planned cesarean section with hysterectomy is mainstay of management when encountered in term patients of which diagnosis is elicited. The correct diagnosis of accreta spectrum by ultrasound and MRI remain speculative but has shown greater accuracy in later 2nd trimester imaging between 18-24 weeks with close to 90% accuracy based on population-based studies.1 Clinical guideline management of this condition are limited to term or near term deliveries; with no clearly defined process for PAS if encountered in spontaneous abortion or early term loss. For these atypical patients who present with risk factors and signs of PAS; high suspicion and prompt response by the obstetric and gynecological team is key to prevent morbidity and mortality of parturiency.

Case summary

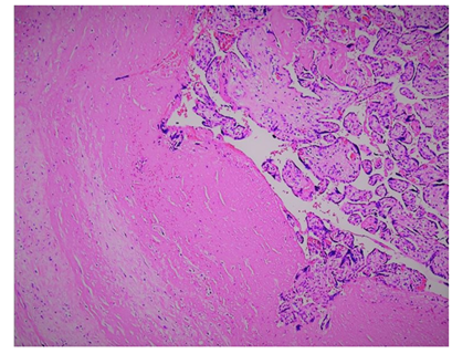
A 36 yo G4P3003 at 14 weeks 4 days by reported EDD is evaluated within 1 hour of fetus and other passage of products of conception (POC) in her home with presenting symptoms of heavy vaginal bleeding and hypotension with noted vital signs of 80mmHg/40mmHg. Patient was from an outside prenatal facility and did not present with collateral. Past medical and obstetric history was significant for previous three cesarean sections. Upon evaluation the patient received 1000mcg of Misoprostol rectal and the massive transfusion protocol was started with multiple peripheral lines and 3 units of PRBC. Lab work was significant for hemoglobin of 10.9(g/dL) and hematocrit of 30.7%. Coagulation profile of PT/PTT and INR were normal. Once stabilization of patient vital signs with blood and crystalloid; Patient was consented for dilatation and curettage; possible laparotomy and possible hysterectomy. Patient was noted to still be continuously bleeding on passage to OR and while being prepped intra-operatively. During the procedure remaining POC were evacuated and empty endometrial strip was noted on bedside ultrasound, with minimal improvement to brisk and heavy bleeding; prompting the use of additional uterotonics 0.25mg Methergine and 250mcg Carboprost. Despite the continued rescuscitation with ongoing blood transfusion, fresh frozen plasma, platelets, and empty uterine cavity, copious bleeding was noted to be pouring from the vagina and patient vital signs again became hypotensive. The decision was made to proceed with abdominal laparotomy with hysterectomy in order to control hemorrhage. Extensive adhesions were noted from the abdominal rectus to the anterior uterine serosa and bladder. Supracervical hysterectomy was performed and the uterus was found to be atonic; bivalve of gross specimen revealed adherent placenta pathology (Figure 1). Patient was brought to surgical intensive care unit, extubated the following day, with no complications in post-operative course with discharge on POD#3. Patient received in total 7 units of PRBC, 4 units of platelets and 1 unit of fresh frozen plasma. Histological evaluation revealed disruption of decidua basalis with invasion of chorionic villi into myometrium confirming diagnosis of placenta accreta (Figure 2).

Figure 1 Demonstrates the gross specimen of uterus showing no separation and clear plane between placental bed and endometrium as designated by instrument in figure. Tagging of suture to morbidly adhered placental bed was used to aid pathologist in diagnosis.

Figure 2 Histological evaluation of uterine tissue revealed placental villi invasion into the myometrium with disruption of the decidual basalis. Note the irregular invasive process which extends into myometrium but no further propagation past this layer.

Discussion

PAS are defined as the abnormal trophoblast invasion past the decidual basalis and further into myometrium and beyond. This results from defective decidualization usually seen in conditions (such as previous cesarean sections; placenta previa; myomectomy, dilatation and curettage) that result in damage to the interface between endometrium and myometrium.2,3 Problems arise with failure of spontaneous separation of the invasive hypervascular placentation, which may cause life-threatening hemorrhage. Massive transfusion involves selection of the appropriate amounts and blood component types to be administered, it requires attention to a patient’s volume status, tissue perfusion, Electrolyte balance and coagulation profile. This massive transfusion therapy can be defined as three units of red blood cells over one hour or any four blood components in 30 minutes, this classification has been noted to be more sensitive in identifying patients who are at risk of requiring rapid blood products for conditions that lead to uncontrolled hemorrhage.4,5 As was present in our case the usage of massive transfusion protocol, was initiated on patient initial encounter in the emergency room setting was crucial in the prevention of the patient’s morbidity secondary from hypovolemic shock.

Although no clear imaging modality has shown to be effective in diagnosis, review of literature has shown that diagnosis of placenta accreta syndromes maybe detected in early trimester sonograms, and those performed between 11 and 14 weeks may present with high sensitivity of 84.3%.6 This is important for providers to conduct thorough history, which may detail significant risk factors for the development of these conditions. As in our case, the patient presented with risk factors of higher order cesarean sections. By review of literature, in the absence of placental previa, the frequency of PAS in our patient was roughly 0.1 percent.7 High suspicion for this disease process should be maintained in patients with known risk factors who present with massive hemorrhage and continued bleeding unresponsive to uterotonic managements as was present in the case.

Upon diagnosis in antepartum in patients with high liklihood of PAS, development of preoperative plan is paramount. The goal of this is to provide information and plan interventions that will reduce the risk of massive hemorrhage, as well as its substantial morbidity and potential mortality with delivery modality of cesarean hysterectomy.  One case from literature details a placenta percreta encountered at 14 weeks with intra-abdominal bleeding, which was managed conservatively with continuation  of pregnancy until 35th week where elective cesarean with hysterectomy performed.8 Although limited to case reports, management of these conditions from late first to early second trimester to the third trimester may become more pronounced as earlier diagnosis of these conditions improve.

Acknowledgements

None.

Conflicts of interest

The author declares there are no conflicts of interest.

Funding details

None.

References

  1. Thurn L, Lindqvist PG, Jakobsson M, et al. Abnormally invasive placenta-prevalence, risk factors and antenatal suspicion: results from a large population-based pregnancy cohort study in the Nordic countries. BJOG. 2016;123(8):1348.
  2. Baldwin HJ, Patterson JA, Nippita TA, et al. Antecedents of Abnormally Invasive Placenta in Primiparous Women: Risk Associated With Gynecologic Procedures. Obstet Gynecol. 2018;131(2):227.
  3. Fitzpatrick KE, Sellers S, Spark P, et al. Incidence and risk factors for placenta accreta/increta/percreta in the UK: a national case-control study. PLoS One. 2012;7:e52893.
  4. Savage SA, Sumislawski JJ, Zarzaur BL, et al. The new metric to define large-volume hemorrhage: results of a prospective study of the critical administration threshold. J Trauma Acute Care Surg. 2015;78:224.
  5. Meyer DE, Cotton BA, Fox EE, et al. A comparison of resuscitation intensity and critical administration threshold in predicting early mortality among bleeding patients: A multicenter validation in 680 major transfusion patients. J Trauma Acute Care Surg. 2018;85(4):691.
  6. Cali G, Forlani F, Foti F, et al. Diagnostic accuracy of first-trimester ultrasound in detecting abnormally invasive placenta in high-risk women with placenta previa. Ultrasound Obstet Gynecol. 2018;52(2):258–264.
  7. Silver RM, Landon MB, Rouse DJ, et al. Maternal morbidity associated with multiple repeat cesarean deliveries. Obstet Gynecol. 2006;107:1226.
  8. Roeters AE, Oudijik MA, Heydanus R, et al. Pregnancy outcome after intra-abdominal bleeding due to placenta percreta at 14 weeks of gestation. Obstet Gynecol. 2007;109(2 Pt2):574–76.
Creative Commons Attribution License

©2019 Alexander, et al. This is an open access article distributed under the terms of the, which permits unrestricted use, distribution, and build upon your work non-commercially.