Submit manuscript...
eISSN: 2471-0016

International Clinical Pathology Journal

Commentary Volume 6 Issue 4

Thrush, plaque, membrane, hyphae-the oral contingent

Anubha Bajaj1

1University Panjab University, India
1University Panjab University, India

Correspondence: Anubha Bajaj, Consultant Pathologist, University Panjab University, Chandigarh, India, Tel 9111 2511 7399

Received: January 01, 1971 | Published: June 27, 2018

Citation: Bajaj A. Thrush, plaque, membrane, hyphae-the oral contingent. Int Clin Pathol J. 2018;6(3):147–152. DOI: 10.15406/icpjl.2018.06.00176

Download PDF

Commentary

Preface: Candida albicans is a diploid fungus that abounds as a yeast and as filamentous cells, generating opportunistic oral and genital infections. Typically the unicellular yeasts of C. albicans react with the environmental cells and transform into invasive multi cellular filaments, to infect the host tissues, an anomaly known as Dimorphism.1,2 Commensal Candida species inhabit the oral cavity as microbes in nearly all the individuals. The carrier phase is non pathogenic, but oral Candida contamination may ensue with pathogenic invasion of the tissue with the Candida micro-organisms.1,2 The opportunistic infection with the innocuous microorganism is consequent to the localized or systemic alteration of the host immune response. The implicated organisms frequently are the Candida albicans or uncommonly, the Candida species such as the C. tropicalis, C. glabrata, C. parapsilosis, C. krusei, C. dubliniensis etc.1,3 The commonly virulent C. albicans incite a contamination in 70 to 80% instances, whereas the prevalence of C. glabrata infection is roughly 5 to 10%.1,3 Candida albicans is a frequent pathogenic fungus, comprising of pseudo hyphae, true, septate hyphae and yeast like structures, in the homo-sapiens. The Oral cavity, Gastrointestinal tract and the Vagina usually lodge the organisms as a commensal.4,5

Keywords: gastrointestinal tract, vagina, fungal infections, candidiasis

Influence and aspects

  1. Extended antibiotic or steroid intake, endocrine disorders such as diabetes mellitus, immune suppression due to progressive malignancy, hormonal ingress such as oral contraceptives pre-empt the contamination. Concomitant albicans and C. glabrata contamination comprise of a proportionate 80% instances of contamination in individuals.1,5
  2. Iatrogenic interventions with Burns, Surgery, Urinary tract catheters and Ulceration of the gastrointestinal tract.
  3. The extremities and body when perpetually immersed in water (Table 1).

Physiological Factors

Old age, Infancy, Pregnancy

Local Trauma

Mucosal irritation, Poor denture hygiene

Antibiotics

Particularly broad spectrum antibiotics

Corticosteroids

Steroid inhalers, Systemic Steroids

Malnutrition

High carbohydrate diet, iron, B12, folate deficiencies

Endocrine Disorders

Hypoendocrine states (hypothyroidism, Addison’s disease, diabetes mellitus)

Malignancies

Including Blood disorders (e.g.acute leukaemia, agranulocytosis)

Immune Compromised states

 Auto immune deficiency syndrome (AIDS), Thymic Aplasia

Xerostomia

Due to irradiation, Drug therapy, Sjogren’s syndrome, Cytotoxic drug therapy

Table 1 Determinant disorders1,6

Localized status: The employment of dentures, a low salivary pH, poor oro-dental hygiene are conditions which enhance the susceptibility to the oral contamination by the micro-organism.1,3,6

Systemic status: Immune compromised environment such as a human immune deficiency virus ingress or an autoimmune deficiency syndrome (HIV/AIDS), immune-suppression, drug abuse/misuse, antibiotic intake, chemotherapy, immunodeficiency states are disorders which augment the probability of oral infection with Candida sp.1,3,6

Disease evolution

Opportunistic infections of Candida species may be inhibited by the host on account of

  1. The oral epithelium is a locus for cell mediated immune response and impedes the infiltration of microorganisms in the tissues.1,2
  2. Candida sp and co-existent oral microorganisms interactively collaborate, inhibit and counteract the consequences of microbial invasion.1 The saliva is endowed with mechanical disinfectant attributes and immunogenicity, with the incorporation of the salivary antibodies, which may aggregate the Candida organisms to circumvent the coherence to the epithelial surface and the enzymatic ingredients such as lysozyme, lactoperoxidase, and antileukoprotease.1 A disintegrated localized and systemic host defence ensures an inherent susceptibility to oral contamination, in conjunction with the virulent Candida micro-organisms and an Oral condition may emerge. A commensal or a carrier state may not symbolize a disease condition.1,3

Localization of lesions

  1. The superficial mucosa or the oral cavity (oral thrush) are frequently invaded.
  2. The vagina, epidermal furrows, and nails especially the middle finger constitute the adjunctive, affected sites.5
  3. Oral thrush: A pseudo membrane, comprised of organisms and inflammatory debris, articulates fragile, creamy white coatings, overlying the tongue, soft palate and buccal mucosa. A pin point, vascular, inflamed surface is visible, on extracting the membrane.4,5
  4. Dermo-epidermal: The common mode of presentation is the acute superficial candidiasis. Chronic mucocutaneous candidiasis is distinguished by a chronic and tenacious mucosal inflammation due to the Candida sp and is usually encountered in individuals with immune suppression. Paronychia and Onychomycosis may appear.5 The dermo-epidermal furrows in the axilla, inguinal region, foci of inflammation, gluteal fold, inter-digital areas and umbilicus are the typical sites of incrimination. Pruritic eczema, peripheral vesicles or pustules may be elucidated.5,6
  5. A mutilating cutaneous lesion is a Candida Granuloma” which develops as a warty, hyperkeratotic papule or plaque.4,5

Deliberations

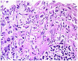
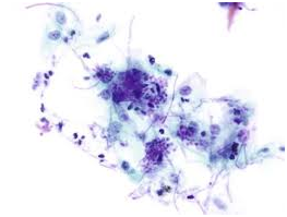
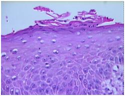
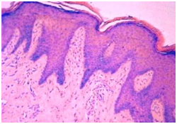
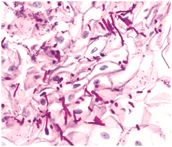
Immune-deficiency in adults on account of a human immune deficiency virus or an autoimmune deficiency syndrome (HIV/AIDS) and chemotherapeutic protocols may also induce a contamination of Candida.1,4 Topical or systemic corticosteroids such as those employed for Asthmatics, Active cancer therapy, Chemotherapy, Radiotherapy, Dietary predilections, Malnutrition, Mal-absorption, Nutritional deficiencies especially Iron, B12, Folate may incite the emergence of Oral Candida infection.1,6 The host defence and epithelial integrity is compromised, the cell mediated immunity is diminished, as is with iron deficiency anaemia or vitamin A and pyridoxine insufficiency. Augmenting carbohydrates in the everyday diet may impact the growth, adhesion, bio-film composition of the Candida sp, all of which may be amplified by the carbohydrate availability such as glucose, galactose, sucrose.1,4,6 Broad spectrum antibiotics eradicate the bacterial flora and disorganize the ecological equilibrium of oral microorganisms.1,2 Corticosteroids or Broad spectrum antibiotics (tetracycline) may induce the acute oral candidiasis.1,6 Local epithelial conversions due to heavy smoking expedite the migration of Candida sp, as the smoke consists of nutritional constituents for C. Albicans (Figures 1-8).1,2,6

Figure 1 Candida pseudohyphae and yeast forms with inflammatory cells- aspiration cytology.

Figure 2 Periodic acid Schiff’s stain- Hyphae and spores.

Figure 3 Silver Methanamine (Grocott's stain)-Candida yeast and pseudohyphae.

Figure 4 Psoriasiform epidermal hyperplasia with chronic candidiasis.

Figure 5 Fungal spores and pseuodohyphae invading the squamous epithelium- oral cavity.

Figure 6 Candidial hyphae with spores dispersed with the stratum corneum.

Figure 7 Candidial spores intermingled with the squamous cells-Periodic Acid Schiff’s stain.

Figure 8 Hypertonic xylose agar medium-distinction between C. albicans and C. dubliniensis.

Hyperkeratosis and Dysplasia in the mucosa subsequent to site-specific deformities, as encountered with lichen planus, may induce adjuvant mucosal infections, especially with Candida albicans.1 Physical mucosal aberrations such as a fissured tongue/tongue piercing, may manifest with the fungus. The magnitude and character of saliva is a valuable oral defence against Candida sp. Diminished salivary function or hypo-salivation, as characterized by a reduced rate of salivary flow or altered salivary content, augments the infectivity of the micro-organism.1,3 Xerostomia amplifies oral contamination. The viscosity and the flow rate of the saliva, however, may not be altered. Oral microbial agents may be eradicated or modified with the administration of broad spectrum antibiotics/ corticosteroids/tetracycline.1,3 The transformed composition and the ecological equilibrium of the bacterial flora may determine a full blown acute oral candidial infection. Extensive denture protocol, improper denture hygiene, persistent denture usage, nocturnal denture insertion are factors which augment the oral fungal contamination.1,3 Dentures may produce a comparatively acidic, moist, anaerobic environment as the denture capped mucosa lacks the ingress of oxygen or saliva.1,4 Unhinged, faulty dentures or enhanced denture applications may produce a minimal trauma, may increase the permeability of the mucosa and augment the adherence of Candida to the encompassing tissue.1,4 The attachment of Candida sp may generate abundant adhesion molecules for the cohesion of the epithelium with the endothelium, thereby enhancing the virulence of the organism. Strains which lack virulence may have an impaired cohesion. Enzymes may be synthesized by the Candida organisms such as a proteinase, which is a requisite for the microbial tissue invasion of the extracellular matrix proteins.1,2 An adenosine may be produced, which impairs the neutrophilic de-granulation, thus hindering the phagocytic activity. The micro-organism may rapidly and reversibly generate divergent phenotypes and mutated variants, in order to adapt to the host micro–environment, thereby complicating the eradication of the infection.1,6

Analysis and attributes: The clinical presentation is discriminative. The lesions may be exhibited as hyperaemic red or frosty white or as an intermingling of red and white patches (Table 2).

Primary oral candidiasis (group 1)

Acute: Pseudomembranous (thrush), Erythematous(atrophic)

Chronic: Pseudomembranous(thrush), Erythematous (atrophic), Hyperplastic (plaque-like, nodular, candida leukoplakia)

Candida Associated Lesions: Candida associated denture induced stomatitis, Angular cheilitis, Median rhomboid glossitis, Linear gingival erythema?

Secondary oral candidiasis (group 2):

Oral manifestation of systemic candidiasis (due to diseases such as thymic aplasia and candidiasis endocrinopathy syndrome)

Table 2 Contemporary categorization of candidiasis1,6

Acute pseudomembranous candidiasis (Oral Thrush):

  1. Roughly 5% of the neonates may be affected in the first week of life. The micro-organism may be derived from the contaminated maternal birth canal.1,6 The neonatal immune system may be imperfect and the protective antibodies are usually furnished by breast milk.1
  2. Oral thrush is the prototypical, classic form of oral Candida infection (>one third of the incriminated individuals describe this form of contamination).1,6
  3. Discrete pseudo-membrane and crusts may be delineated.
  4. Mucosal erythema with pinpoint haemorrhages may be enunciated with the eradication of the slough, termed as a “Curdled Milk” appearance.1,4,6
  5. Frosted slough is generally comprised of cellular debris, fibrin and the stratum spinosum of desquamated epithelium, encroached by yeast cells or fungal hyphae.1,3
  6. Pseudo-membranous and Erythematous Candida contamination may occasionally be described as a comparable disease spectrum.
  7. Pseudo-membranous Candida infection commonly appears on the tongue, the buccal mucosa, or the palate, though it may randomly emerge in the oral cavity.1,3
  8. Chronic and intermittent variants of the disorder may be observed in the immune-compromised conditions such as an inciting Leukaemia or Human immune deficiency virus (HIV) or with individuals on topical corticosteroids and aerosol administration.1,3
  9. Acute pseudo-membranous candidiasis may be detected in the Elderly population (co-existent with marasmus), patients depicting Xerostomia or on Local corticosteroids, Immune-suppression (concomitant with Leukaemia, Chemotherapy, Radiotherapy, Human immune deficiency virus ingress or an Autoimmune deficiency syndrome (HIV/AIDS).1,3,6
Acute erythematous (atrophic) candidiasis
  1. An inflamed, reddish, underdeveloped corrosion preceding a pseudo-membranous Candida infection may be delineated as an acute atrophic candidiasis(expounded in 60% cases).1,3.
  2. The condition persists subsequent to the eradication of the membrane or may arise de novo. The disorder may emerge subsequent to a steroid inhalation or extended antibiotic administration.1,2,6
  3. The erythematous lesions are typically situated on the palate or the dorsal tongue.
  4. Denture related stomatitis, Angular stomatitis, Median rhomboid glossitis, Antibiotic induced stomatitis are the subcategories of the atrophic(Erythematous) Candidiasis.1,4,6 Antibiotic induced erythematous candidiasis is painful.

Chronic erythematous stomatitis emerges on account of a denture application

  1. The chronic form of erythematous candidiasis may resemble a Geographic tongue.1,6
  2. The diffuse, poorly defined margin demarcates it from Erythroplakia, which characteristically elucidates a sharply defined perimeter.1,4,6
  3. Denture induced stomatitis may be risk factor for a Candida infection, particularly with a permanent, complete upper denture, accompanied with a poor oro-dental hygiene or a nocturnal placement of the denture.1,2
  4. Xerostomia, Diabetes Mellitus, a High carbohydrate diet may be adjuvant, implicating conditions.
  5. The environment encompassing the denture is acidic as the denture may be sequestered from the cleansing mechanism of the saliva, accompanied by an inflamed mucosa.1,2 Poorly fitting dentures may incite mechanical irritation or enhance the mucosal pressure.
  6. Denture related stomatitis is painless, asymptomatic disorder which may co-exist with Angular cheilitis and usually implicates the upper denture.1–3 The abraded,compromised mucosa is erythematous, oedematous, sharply defined and may display petechial haemorrhages.1–3

Newton’s classification of Denture related stomatitis which is established on severity of the lesion.1,6

  1. Localized erythema with pinpoint hyperaemia.
  2. Extensive, diffuse erythema (redness) implicating a partial or comprehensive mucosa, enveloped by the denture.
  3. Inflammatory nodular/papillary hyperplasia sheathing the central hard palate and the alveolar ridge.
  4. Preliminary lesion is described by the first criterion, while the subsequent delineation is the most prevalent.

Chronic hyperplastic candidiasis may be depicted by a persistent, white plaque which is characteristically rough, nodular and bilateral, is demonstrated in <5% instances and is situated in the commissural zone. The condition is a clinical analogy to True leukoplakia.1,4,6

Histopathology: elucidates an epithelial entrenchment by the Candida hyphae and fungal spores accompanied with chronic inflammation, hyperkeratosis, parakeratosis and orthokeratosis.1,6 Hyperplasia with Candida inflammation generally elucidates a dysplastic metamorphosis.1,6

Acute candidiasis: The distinguishing aspect is the presence of neutrophils in the stratum corneum. Disseminated disease expounds dermo-epidermal inflammatory infiltrate with intra-epithelial micro-abscesses.1,5 Fungal components are infrequent. Periodic acid Schiff(PAS), Silver Methanamine (Grocott stain- black fungal hyphae with a green environment and is specific for the deteriorating fungus ) aids in delineating the organism.1,5

Chronic candidiasis: Prominent hyperkeratosis, pseudo-epitheliomatous hyperplasia, compressed orthokeratosis and a scaly encrustation may appear.5,6 Fungal spores and hyphae may be delineated in the absence of a Periodic acid Schiff (PAS) stain. Granulomatous dermatitis may also emerge with indeterminate granulomas comprising of lymphocytes, plasma cells, epitheloid cells and sporadic giant cells.5,6

Diffuse candidiasis

Systemic GI tracts

  1. The oesophagus and gastric mucosa comprise of punctuate, erosive or ulcerated mucosa, enveloped by a pseudo-membrane, containing the micro-organism, with possible infiltration of the mucosa and sub-mucosal blood vessels.1,5
  2. The contamination of the urinary tract induces cystitis and ascending pyelonephritis, renal papillary necrosis, necrotic debris or fungal aggregates configuring “fungal balls” which may incite ureteric obstruction or hydronephrosis.5,6
  3. Haematogenous dispersal may elucidate military, necrotic foci.5

Central nervous system

  1. A frequent fungal contamination of the central nervous system is induced by Candida spp. Numerous micro-abscesses accompanied with non caseating granulomas and restrictive meningitis may be demonstrated.1,5
  2. Pulmonary Contamination: Inhalation of the fungal micro-organisms may incite a broncho-pneumonia. A haematogenous dissemination may induce bilateral haemorrhagic nodules.5,6

Oral candidiasis in immune deficiency: Immune deficient conditions or latent infections such as autoimmune deficiency syndrome or infection with the human immune deficiency virus(HIV/AIDS) elucidates a disastrous course.1,6 With a CD4+ helper T cell count in excess of 500cells/µl, the occurrence or oral fungal contamination is exceptional and the disorder is frequent when the CD4+ helper T cells counts decline below 100 cells/µl.1,6 The lesions are a therapeutic challenge to contain.

Cultivation of fungi (candida): May be possible with solid media such as a Hypertonic Xylose Agar medium or a liquid broth. Designated investigations may include microscopic examination of oral swabs, oral rinse or oral smears, in order to isolate the fungus.1,4,6

Molecular analysis of Candida employs a Real time Polymerase Chain Reaction (RT-PCR). Monoclonal antibodies besides the Rapid agglutination tests (RLA) may also be applicable. Debatable conditions such as a “Candida Leukoplakia” mandate an evaluation of a histological specimen.1,6 Imprint smears and tissue material may be analyzed with the Periodic acid Schiff’s (PAS) stain. The carbohydrates in the fungal cell wall stain magenta. Gram Positive reactivity on Gram’s stain may be elucidated by the micro-organism.1,2,5

Serological armamentarium comprises of a Whole cell agglutination, Immune-fluorescence , Immune-enzymatic assays employed for the demonstration of Immunoglobulin G antibodies delineated against the Candida micro-organism, besides Radio-immunological analyses.1,6 Real time Polymerase Chain Reaction (RT-PCR) analyzes the Candida de-oxy ribonucleic acid (DNA) in order to detect the Candida micro-organism in the oral cavities of a high risk population.1,2,6 The methodology also segregates the fungi Candida. Albicans from the adjuvant species such as C. glabrata, C. krusei and C. Parapsilosis.1,6 Anti Candida albicans antibodies may be demonstrated on immune–histochemistry (IHC) and immune fluorescence may also be employed for arriving at a conclusion.3,5

Therapeutic interventions: Therapy for concomitant ailments, appropriate diet, pro-biotic employment is advocated. Oral Candida infection may be ameliorated by the augmenting the oral hygiene or with an antimicrobial mouthwash.1,2 Topical antifungal agents such as Nystatin, Miconazole, Gentian violet Amphotericin B. are considered efficacious for the immune-competent patients.1,2 Immune-compromised individuals, patients with autoimmune deficiency syndrome or infection with the human immune deficiency virus(HIV/AIDS) or those on Chemotherapy necessitate Systemic Antifungal agents.1–3,6

Disease outcome: Oral Candida contamination following a topical or systemic therapy depicts an excellent prognosis.1 However, with the latent or concomitant predicaments, a declining salivary flow or with adjuvant immune deficient disorders, the oral contamination may not be remediable.1,6–11 Contamination with Candida is a hallmark of an intrinsic disease process, thus the comprehensive prognosis may depend upon the primary derangement.

Conclusion

Pathogenic invasion of the tissue with the innocuous Candida micro-organisms, frequently the Candida albicans is enunciated as an opportunistic infection, consequent to the localized or systemic alteration of the host immune response. Extended antibiotic or steroid intake, endocrine disorders such as diabetes mellitus, immune suppression due to progressive malignancy, hormonal ingress such as oral contraceptives pre-empt the contamination. Real time Polymerase Chain Reaction (RT-PCR) offers a better evaluation and analysis of candida species. Monoclonal antibodies besides the Rapid agglutination tests (RLA) may also be applicable. Debatable conditions such as a “Candida Leukoplakia” mandate an evaluation of a histological specimen. Therapy for concomitant ailments, appropriate diet, pro-biotic employment or augmenting the oral hygiene or an antimicrobial mouthwash is advocated. Oral Candida contamination in combination with the latent or concomitant predicaments, a declining salivary flow or with adjuvant immune deficient disorders, may not be remediable.1,6 Contamination with Candida is a hallmark of an intrinsic disease process and the ultimate prognosis may depend upon the primary derangement.

Acknowledgement

None

Conflict of interest

The author declares that there is none of the conflicts.

References

  1. Tomov G. Oral Candidiasis: Risk factors, Clinical Forms, Diagnostic and Treatment. Bulgaria: MU- Plovdiv.
  2. Oral Candidiasis: Exodontia Info.
  3. Fotos PG. Oral Candidiosis: Clinica, historical and therapeutic features of 100 cases. Oral Surg Oral Med Oral Pathol. 1992:74(1);41–49.
  4. Pankhurst CL. Candidiasis (oral pharyngeal). BMJ Clin Evid. 2009:1304.
  5. Sampurna Roy. Pathology of Candidosis. Infectious Disease online.
  6. Neville BW. Candidiasis in oral and maxillofacial pathology. In: Saunders WB. Philadelphia; 2002:189–197.
  7. Image 1 Courtesy: Clinical gate.
  8. Image 2–4Courtesy Histopathology-India.net.
  9. Image 5 & 6 Courtesy: Amazon S3.
  10. Image 7 Courtesy: Dr Mark R Wick.
  11. Image 8 Courtesy: Nigerian biomedical science journal.
Creative Commons Attribution License

©2018 Bajaj. This is an open access article distributed under the terms of the, which permits unrestricted use, distribution, and build upon your work non-commercially.