Submit manuscript...
eISSN: 2471-0016

International Clinical Pathology Journal

Case Report Volume 4 Issue 3

Pancreatic paraganglioma: an extremely rare entity with unusual age presentation and uncommom site

Gayatri Gogoi,1 Brinkal Patel,2 Jasmine Teronpi,3 Hardik Patel4

1Assistant Professor of Pathology, Assam Medical College, India
1Assistant Professor of Pathology, Assam Medical College, India
2Graduate Trainee of Pathology, Assam Medical College, India
2Graduate Trainee of Pathology, Assam Medical College, India
3Graduate Trainee of Pathology, Assam Medical College, India
3Graduate Trainee of Pathology, Assam Medical College, India
4Graduate Trainee of Surgery, Assam Medical College, India
4Graduate Trainee of Surgery, Assam Medical College, India

Correspondence: Gayatri Gogoi, Assistant Professor of Pathology, Assam Medical College, Dibrugarh, Assaam, India, Tel 786002

Received: January 01, 1971 | Published: March 27, 2017

Citation: Gogoi G, Patel B, Teronpi J, et al. Pancreatic paraganglioma: an extremely rare entity with unusual age presentation and uncommom site. Int Clin Pathol J. 2017;4(3):56–58. DOI: 10.15406/icpjl.2017.04.00094

Download PDF

Abstract

Introduction: Paraganglioma are rare neuroendocrine neoplasm, affecting about 1 in 2,000,000 populations, which arise in the extra-adrenal chromaffin cells of the autonomic nervous system. It is a generic term applied to all tumors of paraganglia regardless of the location. In rare instances, paragangliomas present around and involve the pancreas, thereby mimicking one of the common primary pancreatic lesions.

Case history: A 13-year-old girl presented with a left sided abdominal swelling for 3months, initially having clinical suspicion of an ovarian tumor. There are no other significant findings. CT scan revealed a pancreatic SOL arising from the distal body and tail. Only after exploratory laparotomy, the diagnosis was made as a case of pancreatic paraganglioma on the basis of histological examination (haematoxylin-eosin stain) and immunohistochemistry (Chromogranin A).

Conclusion: Pancreatic paraganglioma is a very rare entity with limited cases reported. All described cases in the literature are above 40years. Our case has unusual presentations for both age and site. Immunohistochemistry is crucial in the diagnosis of this tumor. Nonfunctional Pancreatic paraganglioma are usually benign which have good prognosis, and complete resection is the treatment of choice.

Keywords: pancreas, paraganglioma, immunohistochemistry, chromogranin

Introduction

Paragangliomas originate from chromaffin cells within the ganglia of the sympathetic trunk and of the celiac, renal, suprarenal, and hypogastric plexuses. They occur from the skull base to the pelvis, and the most common location being the retro peritoneum. Paraganglioma are rare neuroendocrine neoplasm, affecting about 1 in 2,000,000 population. It arises from neural crest, including tissues such as the adrenal medulla, carotid and aortic bodies, organs of Zuckerkandl, and other unnamed paragangliomas.1,2Pancreatic paragangliomas are even rarer and most are nonfunctional.

Case report

A 13-year-old girl presented with a left sided abdominal swelling and vague abdominal pain for 3 months, initially having clinical suspicion of an ovarian tumor. There are no other significant findings. Her family history and past history was unremarkable. No palpable lymphadenopathy of supraclavicular, cervical, and inguinal region were detected. She was normotensive. Her total blood count was within normal limit, except low hemoglobin level. Biochemical investigations for urea, creatinine, and RBS showed normal physiological values. Liver function tests and Chest X-ray were normal. Ultrasonography revealed a well-defined heterogenous isoechoic SOL in the splenorenal region. CT scan revealed a homogenously enhancing lobulated pancreatic SOL arising from the distal body and tail in the gastro-splenic space exerting pressure effect in the nearby organs. After exploratory laparotomy, spleen preserving distal pancreatectomy with appendicectomy was done under GA and resected sample was sent for histopathological examination (HPE). On gross examination, the tumor was well-circumscribed, round with glistening surface reddish-brown in color measuring 10 cm × 8 cm.

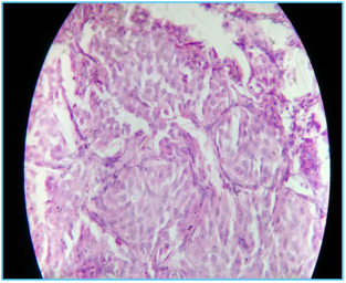
On cut section, the Tumor was capsulated and showed areas of necrosis, hemorrhagic and cystic areas. Microscopically, the tumor composed of oval to round cells arranged in an organoid pattern, separated by a delicate vascular network, giving an appearance of classic Zellballen pattern. The tumor cells have abundant acidophilic cytoplasm containing granules with moderate variation in size and shape and insignificant mitosis. Areas of variable necrosis and hemorrhage were noted (Figure 1) and the diagnosis of pancreatic paraganglioma was made and was advised for IHC. IHC markers includes cytokeratin cocktail which was positive in tumor cells (Figure 2), S 100 positive in sustenticular cells (Figure 3), chromogranin A positive in tumor cells (Figure 4) and invalid presentation of Ki67. The patient’s post-operative course was unremarkable and there was no evidence of recurrence on follow up with USG report.

Figure 1 Variable necrosis and hemorrhage.
Figure 2 Cytokeratin Positivity.
Figure 3 S100 Positivity.
Figure 4 Chromogranin A Positivity.

Discussion

Although paraganglioma can occur anywhere in the para-aortic region, the tumours are frequently found in the infrarenal area near the origin of the inferior mesenteric artery, where the organs of Zuckerkandl are located-3. Other less common locations for abdominal paragangliomas include gallblader, urinary bladder, prostate, spermatic cord, uterus, and duodenum. Pancreatic paragangliomas are extremely rare and only 16cases are currently documented in English literature as per our knowledge, excluding this present manuscript.4 When the diagnosis of paraganglioma is made, it is necessary to screen other tumors, because until now this type of neoplasm has been considered part of multiple endocrine neoplasia syndromes.5

Pancreatic paragangliomas shows female preponderance and all described cases are adults of more than 40years of age. But our case is 13years which do not fall under any of the described cases. Although pancreatic paragangliomas are reported in different locations of the pancreas, the most common location is the head of the pancreas.6–8 In our case, the neoplasm was involving the pancreatic body and tail. Our case has unusual presentations for both age and site. Most of the extra-adrenal retroperitoneal paragangliomas are reported to be functional.9 In contrast, most of the pancreatic paragangliomas are reported to be nonfunctional.8 Functional paragangliomas can secrete catecholamine and usually present with hypertension, palpitation, and headache. Nonfunctional tumors may present with abdominal pain, palpable mass or incidental image findings. Abdominal ultrasonography and CT scan generally demonstrate a well defined mass. Paragangliomas are characterized by highly vascular and well-enhanced tumors with a cystic area in CT scan1. However, these features are not specific for paragangliomas, and a pancreatic neoplasm is a feasible differential diagnosis. In our case, pancreatic neoplasms were excluded by histology and immunohistochemistry.

Because paraganglioma of the pancreas is sometimes confounded with pseudocyst or endocrine tumor, it is difficult to obtain a preoperative diagnosis, especially in nonfunctional cases.2,10 The majority paragangliomas follow a benign clinical course. Functional paragangliomas are more likely to be malignant (29% to 40%).11 Malignant paragangliomas are defined as those that metastasize, recur or show evidence of local invasion.12 Because of the poor prognosis of malignant paragangliomas, it is important to distinguish between benign and malignant tumors before surgery. Frequently, paragangliomas may develop metastases years after the initial diagnosis,13 making early identification of metastasis critical to improving outcomes. Unfortunately, no reliable genetic, molecular or imaging markers currently exist to predict the malignant potential of paragangliomas. Histological features suggestive, but not diagnostic of malignant behavior, include mitotic activity, vascular invasion, and necrosis. Up to 50% malignancies are reported in retroperitoneal paragangliomas.6The treatment of choice for paraganglioma is surgical resection.2 Octreotide is reported to be able to control tumor size and ameliorate symptoms of catecholamine excess in unrespectable cases.14 Furthermore, this lesion seems to grow slowly and long-term survival can be expected, even when metastasis is present.10

Conclusion

In conclusion, pancreatic paragangliomas are rare tumors, with only 16cases reported to date. The patient in the present case was the youngest among the reported cases. Our case has unusual presentations for both age and site. Surgical resection is necessary for histological assessment, and ancillary study like immunohistochemistry is crucial. Nonfunctional Pancreatic paraganglioma are usually benign which have good prognosis, and complete resection is the treatment of choice.

Acknowledgements

None.

Conflict of interest

The author declares no conflict of interest.

References

  1. Parithivel VS, Niazi M, Malhotra AK, et al. Paraganglioma of the pancreas: literature review and case report. Digestive Diseases and Sciences. 2000;45(2):438–441. 
  2. Tsukada A, Ishizaki Y, Nobukawa B, et al. Paraganglioma of the pancreas: a case report and review of the literature. Pancreas. 2008;36(2):214–215.
  3. Perrot G, pavic M, Milou F, et al. Difficult diagnosis of a pancreatic paraganglioma. La revue de medicine interne. 2007;28(10):701–704.
  4. Al-Jiffry BO, AlNemary Y, Khayat SH, et al. Malignant extra-adrenal pancreatic paraganglioma: case report and literature review. BMC Cancer. 2013;13:486.
  5. Callender GG, Rich TA, Perrier ND. Multiple endocrine neoplasia syndromes. Surg Clin N Am. 2008;88(4):863–895.
  6. Lightfoot N, Santos P, Nikfarjam M. Paraganglioma mimicking a pancreatic neoplasm: a case report. JOP. J Pancreas. 2011;12(3):259–261. 
  7. He J1, Zhao F, Li H, et al. Pancreatic paraganglioma: a case report of CT manifestations and literature review. Quant Imaging Med Surg. 2011;1(1):41–43.
  8. Borgohain M, Gogoi G, Das D, et al. Pancreatic paraganglioma: an extremely rare entity and crucial role of immunohistochemistry for diagnosis. Indian J Endocr Metab. 2013;17(5):917–919.
  9. Hayes WS , Davidson AJ, Grimley PM, et al. Extra-adrenal retroperitoneal paraganglioma: clinical, pathologic, and CT findings. AJR Am J Roentgenol. 1990;155(6):1247–1250.
  10. Fujino Y, Nagata Y, Ogino K, et al. Nonfunctional paraganglioma of the pancreas: report of a case. Surg Today. 1998;28(2):209–212.
  11.  Lenz T, Gossman J, Schulte KL, et al. Diagnosis of pheochromocytoma. Clin Lab. 2002;48(1-2):5–18.
  12.  Strong VE, Kennedy T, Al-Ahmadie H, et al. Prognostic indicators of malignancy in adrenal pheochromocytomas: clinical, histopathologic, and cell cycle/apoptosis gene expression analysis. Surgery. 2008;143(6):759–768.
  13.  Tanaka S, Ito T, Tomoda J, et al. Malignant pheochromocytoma with hepatic metastasis diagnosed 20years after resection of the primary adrenal lesion. Intern Med. 1993;32(10):789–794.
  14. Tonyukuk V1, Emral R, Temizkan S, et al. Case report: patient with multiple paragangliomas treated with long acting somatostatin analogue. Endocr J. 2003;50(5):507–513.
Creative Commons Attribution License

©2017 Gogoi, et al. This is an open access article distributed under the terms of the, which permits unrestricted use, distribution, and build upon your work non-commercially.