Submit manuscript...
eISSN: 2471-0016

International Clinical Pathology Journal

Case Report Volume 1 Issue 4

Ossifying fibromyxoid tumor of the posterior maxilla: a rare case report and literature review

Bacem AE Ottoman1

1Department Molecular Pathology and Oncology, Egypt
1Department Molecular Pathology and Oncology, Egypt

Correspondence:  Bacem AE Ottoman, Department Molecular Pathology and Oncology, Egypt

Received: January 01, 1971 | Published: December 3, 2015

Citation: Ottoman BAE. Ossifying fibromyxoid tumor of the posterior maxilla: a rare case report and literature review. Int Clin Pathol J. 2015;1(4):78–79. DOI: 10.15406/icpjl.2015.01.00018

Download PDF

Abstract

This paper reports a very unusual site of ossifying fibromyxoid tumor (OFMT) and review the medical literature. In the maxillofacial region, OFMT has been rarely reported. However, malignant OFMT was recently traced in the tongue. Clinicians and maxillofacial pathologists should pay a rapt attention to such an innocent looking lesion that can be easily confused with the ossifying fibrous epulis. This holds true when OFMT is encountered in the gnathions.

Keywords: ossifying fibromyxoid tumor, gnathic lesions, fibro-osseous lesions

Abbreviations

NIDDM, non-insulin dependent diabetes mellitus; NSAID, non-steroidal anti-inflammatory drugs; OFMT, ossifying fibromyxoid tumor

Background

Ossifying fibromyxoid tumor (OFMT) is a rare soft tissue tumor of unknown histogenesis. OFMT is a recently described, mesenchymal neoplasm originally defined as a borderline or low-grade malignant lesion. It consists of chains and trabeculae of ovoid cells swimming in a fibromyxoid stroma.1,2 OFMT combines the clinical course of both peripheral and central ossifying fibromas. Like POF, it is mainly a small tumor of soft tissue, especially in vicinity to bones, but its size can grow rapidly, comparable to central ossifying fibroma.3

Case presentation

A 72-year-old female, non-smoker and non-alcoholic, manifested a swelling in the posterior maxilla which embraced the posterior molars buccopalatally. The lesion had a chronic course with occasional hemorrhage on touch and mastication. Although the overlying mucosa was slightly reddish and firm, the lesion was totally asymptomatic (Figure 1). Antibiotics, NSAID, anti-fungal medications and topical gels rendered no therapeutic effect. No odontogenic irritants could be blamed. History of any concomitant tumors was negative. There were no running diseases in the family except for NIDDM. An incisional biopsy was cut for microscopic examination. Radiographically, the periapical radiograph exhibited normal maxillary trabeculae and some bony saucerization. The differential diagnosis included pyogenic granuloma, ossifying fibroma and ossifying fibromyxoid tumor.

Figure 1 Clinical picture of the OFMT embracing the posterior molars.

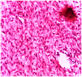
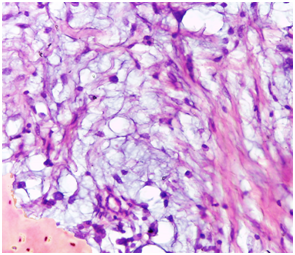
Histologically, the overlying epithelium displayed signs of pseudoepitheliomatous hyperplasia. The connective tissue revealed an impressive myxomatous background, in which lobules of myxoid areas were conspicuous (Figure 2). Evident in the histological field was the occasional peripheral bone formation, which embraced the myxomatous stroma (Figure 3). The focally rich fibrocellualrity of the lesion should neither mitotic figures nor cellular atypia. Neither granuloma formation nor malignant features could be appreciated (Figure 4). The diagnosis was, accordingly, an ossifying fibromyxoid tumor. Regarding confirming the diagnosis of OFMT, no immunohistochemical markers were indicated because no specific markers are adjunctively recruited in the medical literature. A follow-up interval was determined: every 6 months. The patient was educated about the necessity of compliance.

Figure 2 Photomicrograph showing signs of pseudoepitheliomatous hyperplastic epithelium, overlying an impressive myxomatous background. (H&E stained, Original magnification: 4x).
Figure 3 Photomicrograph characterizing occasional peripheral bone formation, which embraced the myxomatous stroma. (H&E stained, Original magnification: 40x).
Figure 4 Photomicrograph showing a focally rich fibrocellualrity of the lesion with neither mitotic Figure nor cellular atypia. (H&E stained, Original magnification: 40x).

Discussion

Ossifying fibromyxoid tumor (OFMT) is a rare soft tissue tumor whose histogenesis was attributed to incomplete Schwannian and/or cartilaginous differentiation.4 In the maxillofacial region, OFMT has been reported in the tongue, mandibular gingiva, soft and hard palate, buccal mucosa, mandible, and vestibules. It was cranially reported in the ethmoid sinus in a newborn as well.5,6 Malignant transformation was reported in the tongue.7 OFMT is a borderline or low-grade malignant lesion. It consists of chains and trabeculae of ovoid cells swimming in a fibromyxoid stroma. OFMT was classified as “typical” and “atypical”. Histologically, the presence of high cellularity or high nuclear grade, with mitotic activity >2 mitotic figures per 50high power fields revealed a statistically significant potential for a malignant behavior. This find is characteristic of the so-called “atypical” OFMT. It proved not to be only potentially malignant, but also revealed 60% local recurrence rate and 60% metastasis incidence. Even in typical OFMT cases, the recurrence and metastatic rates, 17% and 5%, respectively, make it a lesion of intermediate malignancy. There are no specific immunohistochemical markers for OFMT. It shows a positive reactivity, sometimes, for S-100 and other bone markers.8

Folpe et al.9 reviewed 56cases of OFMT and concluded that they should be considered tumors of intermediate malignancy. Their line of differentiation remains unclear, although the authors considered it a translocation-associated sarcoma. In this reported case, there is no evidence of recurrence hitherto. The lesion underwent a very benign discourse.

Consent

Written informed consent was obtained from the patient for publication of this case report and any accompanying images. A copy of the written consent is available for review by the Editor-in-Chief of this journal.

Acknowledgements

None.

Conflict of interest

The author declares no conflict of interest.

References

Creative Commons Attribution License

©2015 Ottoman. This is an open access article distributed under the terms of the, which permits unrestricted use, distribution, and build upon your work non-commercially.