Research Article Volume 5 Issue 1
1First Medical Lab, Jordan
1First Medical Lab, Jordan
2Neurosurgery center, Ibn Hytham Hospital, Jordan
2Neurosurgery center, Ibn Hytham Hospital, Jordan
3Resident at Ibn Haytham Hospital, Jordan
3Resident at Ibn Haytham Hospital, Jordan
Correspondence: Hussam AbuFarsakh, First Medical Lab, Jordan
Received: January 01, 1971 | Published: August 18, 2017
Citation: Abu-Farsakh H, Sbeih A, Farsakh YA, et al. Nestin, an important marker for differentiating oligodendroglioma from astrocytic tumors. Int Clin Pathol J. 2017;5(1):187–190. DOI: 10.15406/icpjl.2017.05.00120
Background: Nestin is an acronym for neuroepithelial stem cell protein. It is an intermediate filament protein expressed in proliferating cells during the developmental stages in a variety of embryonic and fetal tissues. It is also expressed in some adult stem/progenitor cell populations, such as newborn vascular endothelial cell. Differentiation between astrocytic tumors and oligodenoglioma tumor is of paramount importance because of different lines of treatment and different prognosis.
Design: We performed Nestin immunostaining on paraffin blocks of 16cases of astrocytomas of various grades (3Glioblastoma, 3anaplastic astrocytoma, 3fibrillary astrocytoma and 7Pilocytic astrocytoma) and on 12 oligodendroglioma (6 grade II, and 6 grade III). All cases of oligodendroglioma has confirmation by FISH for 1p 19q.
Result: Nestin staining was seen in all astrocytic tumors. The strongest staining was in glioblastomas and in anaplastic astrocytomas. Pilocytic astrocytomas show mostly focal and weak staining with strong staining of Rosenthal fibers. Grade II astrocytoma shows weak but more intense staining than pilocytic astrocytoma. No Nestin immunostaining was seen in any of the oligodendroglioma tumor cells, but Nestin stained the endothelial cells in oligodendroglioma as a positive internal control.
Conclusion: Nestin is an important immunohistochemical marker in differentiating oligodendroglioma from astrocytic tumors. Nestin, also, is helpful in grading astrocytoma
Keywords: nestin, astrocytoma grading, oligodendroglioma, immunohistochemistry
IF, intermediate filament; GFAP, glial fibrillary acidic protein; CNS, central nervous system; GBM, glioblastomas multiforme
Nestin is an intermediate filament (IF) protein. These intermediate filament proteins are expressed mostly in neural stem cells.1–3 Nestin is also expressed by many other stem cells and it is considered a primitive marker.4–7 Upon differentiation, Nestin becomes down-regulated and is replaced by tissue-specific intermediate filament proteins.8 During neuro- and gliogenesis, Nestin is replaced by cell type-specific intermediate filaments, e.g. neurofilaments and glial fibrillary acidic protein (GFAP).9 One instance of Nestin expression in adult organisms, and perhaps that for which Nestin is best known, are the neuronal precursor cells of the subventricular zone.8,10 Interestingly, Nestin expression is reinduced in the adult during pathological situations, such as the formation of the glial scar after CNS injury and during regeneration of injured muscle tissue.11 Nestin expression has been extensively used as a marker for central nervous system (CNS) progenitor cells in different contexts.4 Nestin has recently received attention as a marker for detecting newly formed endothelial cells.3,12
We performed Nestin Immunostaining on paraffin blocks of 16cases of astrocytomas of various grades (3Glioblastoma, 3anaplastic astrocytoma, 3fibrillary astrocytoma and 7Pilocytic astrocytoma) and on 12oligodendroglioma (6 grade II, and 6 grade III) (Table 1). All cases of oligodendroglioma has confirmation by FISH for 1p 19q. In immunohistochemical staining, deparaffinized sections underwent heat induced antigen retrieval [autoclaved in 10-mM citrate buffer (pH 6.0) for 10min] and were subjected to a reaction with 3% hydrogen peroxidase for 10min to remove endogenous peroxidase. Then, the reaction was conducted using a 250-fold diluted solution of rabbit polycolonal anti-human nestin antibody (Biocare concentrated polyclonal antibody dilution 1:250, rabbit polyclonal).
Grade I |
Grade II |
Grade III |
Grade IV |
Grade II |
Grade III |
|
No. of |
7 |
3 |
3 |
3 |
6 |
6 |
Gender |
M4, F:3 |
M:1, F:2 |
M:2; F:1 |
M:2, F:1 |
M:3, F:3 |
M:4, F:2 |
Average |
11 |
35 |
44 |
52 |
42 |
46 |
Nestin |
Negative-very |
weak |
strong |
Very strong |
negative |
Negative |
Table 1 This shows the Grades of Astrocytoma
No Nestin immunostaining was seen in any of the oligodendroglioma tumor cells, but Nestin stained the endothelial cells in oligodendroglioma as a positive internal control (Figure 1,2).
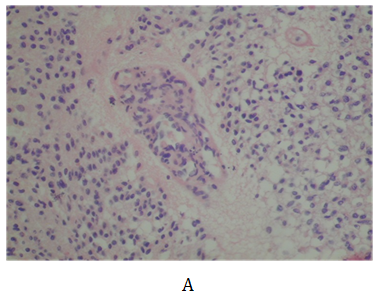
Figure 1
A: Oligodendroglioma Grade II.
B: negative nestin immunostaining (note positive endothelial staining).
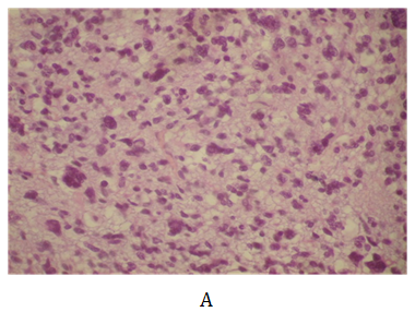
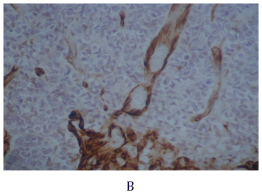
Figure 2 A: Anaplastic Oligodendroglioma Grade III.
B: negative immunostaining for Nestin (note positive internal control staining in endothelial cells).
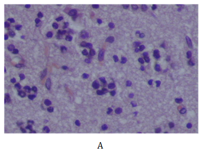
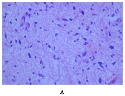
Nestin staining was seen in all astrocytic tumors. Pilocytic astrocytomas show mostly focal and weak staining with strong staining of Rosenthal fibers (Figure 3). Grade II astrocytoma shows weak but more intense staining than pilocytic astrocytoma (Figure 4). The strongest staining was in glioblastomas multiforme (GBM) and in Anaplastic astrocytomas (Figure 5,6).
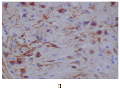
Figure 3
A: Pilocystic astrocytoma.
B: negative-weak staining in the astrocytes, but strong staining in Rosenthal fibers and eosinophilic.
This study has clarified that the importance of nestin over-expression in glial tumor in two parts: The first one, in helping grading astrocytomas from Grade I-IV. The second part in helping differentiating astrocytomas from oligodendroglioma.
Since Nestin is an important protein in immature neural crest cells, its presence indicate that the cells are of neural crest origin.1–3 Brain tumor that originate from neural crest and high grade tumors are expected to over express nestin.
Differentiating astrocytomas into different grades depends on morphology, mitotic figures and Ki-67. For example, differentiating grade II from anaplastic astrocytoma relies on finding mitotic figures and on Ki-67. Immunohistochemistry for Ki-67 has shown that a very good correlation with glioma grading and behavior.13,14 Ki-67 is usually less than 4% in diffuse astrocytoma grade II.13 Ki-67 is a proliferation factor that is expressed in cells in cell cycle during G1, S, G2/M phase.9 Nestin is expressed in glioma tissue in astrocytoma lineage cells. The degree of nestin expression increases as the degree of malignancy increases, that is, as differentiation decreases. Now with nestin over-expression, we have another objective marker helping us to differentiate and grade astrocytomas. The higher grades of astrocytomas: Glioblastoma multiform and anaplastic astrocytoma, shows strong expression of Nestin (Figures 5 & Figure 6).4,6,11,15–18
Differentiating oligodendrogliomas from astrocytomas is very important because of two main reasons. The first one is that the prognosis of oligodendroglioma is better than astrocytoma, grade for grade. For example Oligodendroglioma grade II, has a median survival of 11.6years with 10-year survival rate of 51%.14,18 While the mean survival for fibrillary astrocytoma WHO grade II, is in the range of 6-8 years.18,19 The same thing is applied for anaplastic oligodendroglioma grade II with a mean survival of 4-5, while it is of 2year duration in anaplastic astrocytoma.18 Nestin is an important immunohistochemical marker in differentiating oligodendroglioma from astrocytic tumors.4,11,20,21 In oligodendroglioma tumors, nestin was expressed only in tumors with some components of astrocytoma. Nestin is not expressed at all in any of the pure oligodendroglioma cases and only expressed in the vascular endothelium.
None.
The author declares no conflict of interest.
©2017 Abu-Farsakh, et al. This is an open access article distributed under the terms of the, which permits unrestricted use, distribution, and build upon your work non-commercially.