Submit manuscript...
eISSN: 2471-0016

International Clinical Pathology Journal

Case Report Volume 4 Issue 2

Genital rhabdomyoma-a rare case report

A Vasahar1

1Department of Pathology, Thanjavur Medical College, India
1Department of Pathology, Thanjavur Medical College, India

Correspondence: A Vasahar, Department of Pathology, Thanjavur Medical College, Thanjavur, India

Received: January 01, 1971 | Published: March 22, 2017

Citation: Vasahar A. Genital rhabdomyoma-a rare case report. Int Clin Pathol J. 2017;4(2):46–47. DOI: 10.15406/icpjl.2017.04.00090

Download PDF

Abstract

Skeletal muscle neoplasm’s, in contrast to other groups of tumours, are almost always malignant. The benign variant, rhabdomyoma, is distinctly very rare. Here we report a case of a genital rhabdomyoma presented as a vaginal polyp and it was confirmed by Histomorphology and Immunohistochemical studies that showed positivity for Muscle specific Actin and Myogenin.1

Keywords: rhabdomyoma, vaginal soft tissue tumours, genital type, rhabdomyoblast

Introduction

Rhabdomyoma is a rare soft tissue benign tumour derived from skeletal muscle and it accounts for <2% of all striated muscle tumours.2 In that, genital rhabdomyoma is an exceedingly very rare, site specific benign tumour usually occurs in vagina.3,4

Case report

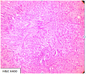
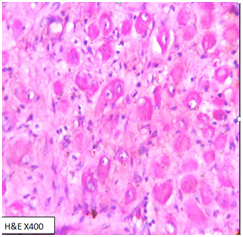
40years female presented with vaginal wall polyp for 6months underwent polypectomy. Grossly, received single grey white soft tissue mass measuring 2cm in diameter. Formalin fixed paraffin embedded tissue sections were made and subjected to Haematoxylin and Eosin staining. H&E section studied on low power view showed well circumscribed mass within the submucosa having irregular borders with brightly eosinophilic cells with small nuclei (Figure 1&2). High power view revealed large polygonal and strap shaped eosinophilic cells with occasional striation and the nuclei are small, round and regular (Figure 3&4).

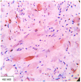
Further proceeded with Immunohistochemical studies for confirmation and it showed diffuse positivity for Muscle specific Actin and Myogenin (Figure 5&6).

Figure 1 A sub mucosal neoplasm composed of irregular and haphazardly arranged Rhabdomyoblasts.
Figure 2 Bland bright eosinophilic, polygonal shaped rhabdomyoblasts.
Figure 3 Strap shaped Rhabdomyoblast.
Figure 4 Diffuse positivity for Muscle Specific Actin.
Figure 5 limited nuclear activity for Myogenin.

Discussion

Rhabdomyoma is a benign myogenic tumour with skeletal muscle differentiation classified into cardiac and extra-cardiac. Extra-cardiac is clinically and morphologically divided into adult type, fatal type and genital type.3,4 Genital rhabdomyoma present as polypoid mass, more commonly in vagina followed by vulva in the age group of 25-55years with a mean age of 42years.5 Grossly, it usually measures 3cm in diameter although in some cases it reaches up to 11cm and cut surface shows rubbery, grey, and glassy in consistency.4 It usually arises from superficial soft tissue of female genital tract. They probably arise from myogenic stem cells located in the subepithelial stroma.6

Microscopically, the tumour composed of irregular and haphazardly oriented sub mucosal proliferation of bland rhabdomyoblasts and also contains varying amounts of collagen and mucoid material.6 Rhabdomyoblasts is bright eosinophilic, spindle to strap shaped with visible cytoplasmic cross striation. Nuclear atypia is absent and mitotic activity is low. Sub epithelial condensation (Cambium layer) is absent Immunohistochemistry shows diffuse positivity for desmin, muscle specific Actin and limited nuclear activity for myogenin.4,3 The above Histomorphological and immunohistochemical findings were confirmed in our case.

Conclusion

Skeletal muscle neoplasm’s, in contrast to other groups of tumours, are almost always malignant. Our patient was a rare case of genital rhabdomyoma located in vagina. Although genital rhabdomyoma is a rare disease, it should be considered as one of the differential diagnosis in a patient presenting with a polyp in the genital tract. Recurrence rate is extremely low after complete excision. It also carries a very good prognosis.

Acknowledgements

None.

Conflict of interest

The author declares no conflict of interest.

References

  1.  Vijay Shankar. Soft tissue skeletal muscle genital type Rhabdomyoma. Pathologyoutline.com (accessed); 2012.
  2. John R Goldblum, Sharon W Weiss, Andrew L Folpe. Enzinger & Weiss's Soft tissue tumours. 6th ed. Elsevier health sciences; 2014. 
  3. Christopher P Crum, Marisa R Nucci, Kenneth R Lee. Diagnostic gynaecologic and obstetric pathology. 2nd ed. Elsevier health sciences; 2016.
  4. Lu DY, Chang S, Cook H, et al. Genital Rhabdomyoma of the urethra in an infant girl. Human pathology. 2012;43(4):597–600.
  5. Gee,DC, Finckh ES. Benign vaginal Rhabdomyoma. Pathology. 1977;9(3):263–267.
  6. Hansen T, Katenkampd D. Rhabdomyoma of head and neck morphology and differential diagnosis. Virchow Archive. 2005;447(5):849–854.
Creative Commons Attribution License

©2017 Vasahar. This is an open access article distributed under the terms of the, which permits unrestricted use, distribution, and build upon your work non-commercially.