Case Report Volume 6 Issue 4
1Department of Pathology, Kathmandu University School of Medical Sciences, Nepal
1Department of Pathology, Kathmandu University School of Medical Sciences, Nepal
2Department of Surgery, Kathmandu University School of Medical Sciences, Nepal
2Department of Surgery, Kathmandu University School of Medical Sciences, Nepal
3Department of Pathology, Patan Academy of Health Sciences, Nepal
3Department of Pathology, Patan Academy of Health Sciences, Nepal
Correspondence: Dr. Rachana Dhakal, Assistant Professor , Department of Pathology, Kathmandu University School of Medical Sciences, Dhulikhel, Kavre, Nepal, Tel 9841777944
Received: January 01, 1971 | Published: July 18, 2018
Citation: Dhakal R, Makaju R, Makaju S, et al. Dermatofibrosarcoma protuberans of male breast: a case report. Int Clin Pathol J. 2018;6(4):154–156. DOI: 10.15406/icpjl.2018.06.00177
Dermatofibrosarcoma (DFSP) of breast is a rare tumour that usually affects young and middle aged adults. Its occurrence in the breast is rare phenomenon and in male is even rarer. We describe a case of 48-year-old male with nodular swelling on the left breast.
Keywords: dermatofibrosarcoma protuberance, male, breast
Dermatofibrosarcoma protuberans (DFSP) is an uncommon tumour of skin that accounts for 1.8% of all skin tumours.1 The tumour occurs on any part of the body but are commonly found at the trunk and extremities.2 It usually affects adults between the second and fifth decade of life. Incomplete resection can lead to local recurrence but distant metastases are rare.3,4 Immunohistochemistry remains an important tool to categorize DFSP. CD 34 is a better indicator. Besides, Factor xiiia, and apo-d also remains some other diagnostic tools.5
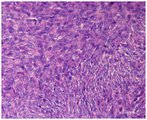
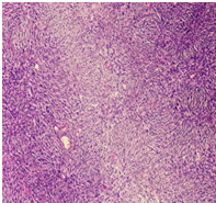
A 48-year-old male presented with swelling on the left breast. On examination, there was a nodular swelling about 13x10x5cm in size. It was non-tender and freely mobile over the pectoralis muscle. There was no discharge from nipple and no palpable axillary nodes. The fine needle aspiration cytology (FNAC) report was inconclusive. All the routine blood parameters and chest X-ray were normal. A wide local excision was done. Grossly, specimen consists of grey white nodular tissue bit measuring 13x10x5cm (Figure 1). Histopathologically, the slide showed storiform arrangement of tumour cells with uniform population of fusiform or spindle shaped cells with little variation in shape and size with scant cytoplasm (Figure 2) (Figure 3). Immunohistochemistry was done which showed positivity for CD34 (Figure 4).
In 1890, Taylor first described DFSP.6 In 1924, Darier and Ferrand described as a gradual and recurrent cutaneous neoplasm.7 In 1925, Hoffman termed “dermatofibrosarcoma protuberans”.8 It is a low degree malignant soft tissue tumor which arises in the dermis and then spreads into the subcutaneous tissues and muscle.9 DFSP is usually less than 5cm in size.10 The trunk and extremities are the most common sites of involvement which accounts for 85% of all cases.2 Males are more commonly affected than females and the male-to female ratio is approximately 3:2. The tumor occurs in patients of all ages, with the highest frequency occurring in the fourth decade of life.6,11
DFSP presents as a single, raised, red to bluish, firm cutaneous nodule or plaque with surrounding discoloration.12 It is usually painless and indurated, but is extremely infiltrative and has a locally destructive growth that can invade the underlying structure such as fascia, muscles or bones.1,13–15
Histopathology reveals relatively uniform densely grouped fusiform cells, with elongated nuclei without significant cytologic atypia or pleomorphism in characteristic storiform arrangement.16 Immunohistochemical findings are positivity to CD34 in 84–100% and to vimentin and negativity to other markers such as S-100, HMB45, desmin and actin.1,3,17,18 CD34 positivity is seen in different variants of soft tissue tumour. However, morphological pattern followed by immunohistochemical marker plays a significant role in differentiating DFSP from other tumours with CD4 positivity.
The Mohs micrographic surgery is used as a first-line therapeutic measure in cases of limited tumors for tissue preservation and reduction of recurrence rate.19–22
The standard treatment of DFSP is wide local surgical resection with recommended surgical margins of 2–3cm including skin, subcutaneous tissue and underlying fascia.23–25 The local recurrence rate decreases with the increase of surgical margins.26 The factors associated with high rates of recurrence are histological subtype, cellularity, size, location on the head and neck, and high mitotic rate .26,27
DFSP is considered as one of the radiosensitive tumors. In the cases with questionable or positive surgical margin, postoperative radiotherapy reduces the risk of local recurrence margins.28,29 Radiotherapy is indicated when there is incomplete resection.28,30 It also reduces the morbidity or functional impairment associated with extensive resection.
Dermatofibrosarcoma protuberans is a rare soft tissue sarcoma. Its occurrence in the breast is even rarer. Mammography and magnetic resonance imaging can help in characterizing the lesion and localizing the lesion for further diagnostic evaluation and surgical planning.
None
The author declares that there is none of the conflicts.
©2018 Dhakal, et al. This is an open access article distributed under the terms of the, which permits unrestricted use, distribution, and build upon your work non-commercially.