Research Article Volume 2 Issue 5
1Department of Medical Laboratory Sciences, Prince Sattam bin Abdulaziz University, Saudi Arabia
1Department of Medical Laboratory Sciences, Prince Sattam bin Abdulaziz University, Saudi Arabia
2Faculty of Medical Laboratory Science, University of Khartoum, Sudan
2Faculty of Medical Laboratory Science, University of Khartoum, Sudan
Correspondence: Department of Medical Laboratory Sciences, College of Applied Medical Sciences, Prince Sattam bin Abdulaziz University, Alkharj, Saudi Arabia, Alkharj 11942, P.O. Box 20337, Saudi Arabia
Received: January 01, 1971 | Published: July 18, 2016
Citation: Hamad AM, Ahmed HG. Association of connective tissue fibers with estrogen expression in breast lesions among Sudanese females. Int Clin Pathol J. 2016;2(5):97–102. DOI: 10.15406/icpjl.2016.02.00051
Background: Breast cancer is a major cause of morbidity and mortality worldwide. Immunohistochemical typing is important to understand the biological behavior of this disease. High mammographic density, which mostly attributed to collagen fibers, is among the strongest risk factors for developing breast cancer. Our objectives are to determine the type of connective tissue fibers in different breast lesions and to evaluate the relation between connective tissue fibers and estrogen expression.
Methods: A total of 60 samples of breast lesions (35 were malignant and 25 were benign) was evaluated retrospectively. All specimens were diagnosed in the histopathology department of Laboratory Administration in Khartoum State, Sudan. The specimens were then re-examined for estrogen receptor status by immunohistochemistry and connective tissue fibers by Vangieson and Masson Trichrome (for collagen fibers), Silver stain (for reticular fibers) and Verhoeff (for elastic fibers) methods of staining.
Findings: For the 35 malignant samples, immunohistochemical staining for estrogen receptors revealed positive expression in 12/35(34.3%) and negative in 23/35(65.7%) specimens. Benign samples showed 8/25(32%) estrogen receptors positive and 17/25(68%) estrogen receptors negative. Out of the total study subjects, there were 20/60(33.3%) estrogen receptors positive.
Interpretation: A significant correlation between estrogen receptors positive and presence of collagenic fibers (P-value=0.000) was noticed. Furthermore, Elastic fibers were significantly associated with estrogen receptors positive (P-value=0.039), as well as, Reticulin fibers (P-value=0.020). Conclusion: The significant positive association between ER expression and all three types of connective tissue fibers suggests an underlying molecular relation and that the estrogen receptors expression might be predicted using histochemical demonstration as screening step for tissue biopsy. To the best of our knowledge, no study investigated the association between estrogen receptors and connective tissue fibers.
Keywords: breast cancer, connective tissue, immunohistochemistry, estrogen receptor, tissue fibers, extracellular matrix, mammographic density, protein expression
ER, estrogen receptor; PBS, phosphate buffer saline; H2O2, hydrogen peroxide; RT, room temperature; SPSS, statistical package for social science; ECM, extracellular matrix
Breast cancer is the commonest cause of cancer morbidity and mortality among women in both developed and developing countries with approximately 1.67million cases diagnosed annually worldwide. Measurements such as early detection through breast cancer screening and endocrine risk–reducing medication can reduce the burden of the disease. Categorizing women according to their risk of developing breast cancer improves screening strategies and risk reduction and leads to targeting those are most suitable for prevention and treatment.1,2 The incidence of breast cancer is known to be affected by reproductive, lifestyle, and other factors. Black and South Asian women are known to have a lower incidence of breast cancer than White women, both in the United Kingdom and in the United States of America largely due to differences in known risk factors.3 The risk of breast cancer increases with many factors such as the woman’s age, age at menopause, age at first live birth, previous occurrence of atypical hyperplasia, alcohol consumption, use of menopausal hormone therapy and family history of the disease and evidence indicates the multi-factorial nature of breast cancer risk or gene-environment interactions. In contrast, older age at menarche, increased parity and duration of breastfeeding, shorter stature, and lower body mass index are considered as examples of factors that are reducing the subsequent risk of breast cancer.3,4 It is known that the high mammographic density, which is mostly collagen fibers, is one of the strongest risk factors for breast cancer. Women with >70% of the breast appearing dense have an increased relative risk of developing breast cancer of ≥6-fold, compared with women with low density.5
In Sudan, female breast cancer is the leading cancer as it is associated with a high rate of mortality and morbidity.6,7 In those patients, the biology of breast cancer remains poorly understood while a wide variety of molecular-based breast cancer prognostic factors and tumor markers have been studied in the western countries. The hormones receptor status and responsiveness of the tumor to hormone therapy are evaluated routinely because of their utility in guiding clinical care as they influence breast cancer management and patient survival. Recent findings indicate that immunohistochemical protein expression profiles are surrogates for intrinsic gene-derived expression profiles defining molecular breast cancer subtypes.8,9 The biologic, prognostic and predictive importance of assessment of estrogen receptor (ER) expression in breast cancer is well established.10–12 Gene expression profiling studies have shown that estrogen receptor (ER) -positive and ER-negative breast cancers are distinct diseases at the transcriptomic level.13 Exposure to estrogen has been experimentally linked to the mutations that cause breast cancer. Research has implicated, among other things, inherited defects in DNA repair genes, such as BRCA1 and BRCA2. The single largest risk factor for the development of this disease is a gender, as evidenced by the male to female ratio 1:100.14–16
However, to the best of our knowledge, no study investigated the association between ER and connective tissue fibers. Consecutively, this study aimed to determine the type of connective tissue fibers in different breast cancer types, the relation between connective tissue fibers and estrogen expression in Sudanese female with breast lesions.
This retrospective descriptive study is to assess the association of connective tissue fibers and ER among Sudanese women with breast cancer. Study population: In this retrospective descriptive study, sixty biopsies were obtained randomly from female patients (ages ranging from 17 to 75 years old with a mean age of 43 years) with breast lesions which were diagnosed in the histopathology department of Laboratory Administration in Khartoum State, Sudan. All tissue samples were retrieved from Laboratory Administration, Khartoum State, after taking their permission and the proposal was approved by the faculty research board, Faculty of Medical Laboratory Science, Sudan University of Science and Technology in 2008. The specimens were previously histopathologically diagnosed either having malignant or benign pathological conditions. The specimens were then examined for the presence of ER status and connective tissue fibers, using different immunohistochemical and histochemical methods.
Histopathology
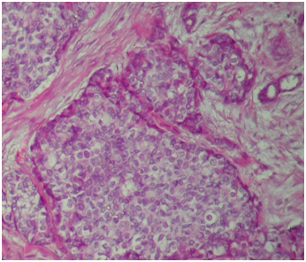
Ten percent neutral buffered formalin was used for fixation and 3 to 5 mm thick representative tissue biopsies were then processed in an automatic tissue processor using SLEE (mtp) processing machine. The blocks prepared by embedding the tissue in paraffin wax, then sectioned at 4μm using micro Tec laborgeräte microtome, and stained with hematoxylin and eosin (Figure 1) for light microscopy. Four sections (4μm in thickness) from each one of sixty biopsies were prepared for histochemical study after dewaxation as follows:
Immunohistochemistry
One 4μm thick section from each block was prepared and mounted on poly-L-lysine-treated glass slides for immunostaining. Then, sections for antigen retrieval, were transferred to unsealed plastic Coplin jars containing enough 0.01 Molar citrate buffered solution (pH 6.0) and heated in a water bath at 90°C for 30 minutes (recycled 4 times every 7 minutes). After heating the slides were allowed to cool to room temperature for 20 min, and then rinsed with distilled water, followed by incubation in phosphate buffer saline (PBS) for 5 min. Endogenous peroxidase activity was quenched by immersion in a solution of 3% hydrogen peroxide (H2O2) in methanol for 10 minutes. Then sections were incubated with 100μl ready to use primary antibodies. The specimens were then analyzed using the following pre-diluted mouse.
Monoclonal primary antibodies
Anti-estrogen receptor (ER) incubated for 2 hours at room temperature (RT). Sections were then rinsed in three changes of PBS, and the antibody binding was detected by incubation for 10 minutes with ready to use biotinylated secondary antibody. The sections were then rinsed with PBS. After that, sections were incubated for 10 minutes with streptavidin-horseradish peroxidase at RT. Finally, the sections were rinsed in three changes of PBS, followed by developing brown color with the 3,3 diaminobenzidine tetrahydrochloride (DAB) chromogen substrate complex for 3 to 5 minutes. Counterstaining with Mayer's hematoxylin stain for 2 minutes, blued in tap water for 2 minutes and dehydrated in ascending grades of ethanol, cleared in xylene and mounted with DPX. For each run of staining, and to ensure proper immunostaining, a positive and negative control sections were also prepared. The positive control slides were prepared from breast carcinoma known to be positive for the ER. The negative control slides were prepared from the same positive control tissue block, but incubated with PBS instead of the primary antibody. Each entire section was evaluated by light microscopy and ER staining was scored using the system of Allred et al. 18 of the semi-quantitative histochemical score.18
Statistical analysis: Statistical tests were done using statistical package for social science (SPSS) software, version 16.0. The associations between expression of ER and connective tissue factors were done. The association between categorical variables was determined by using Chi-square and Fisher Exact tests. The minimum level of significance was set at a P-value <0.05.
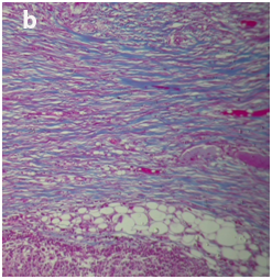
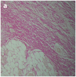
The 60 breast lesions consist of 35/60 (58.3%) malignant tumors and 25/60 (41.7%) benign breast lesions (Table 2). For the 35 malignant samples Immunohistochemically stained for ER, there were 12/35 (34.3%) showed positive expression and 23/35 (65.7%) showed negative expression. From benign samples, there was 8/25 (32%) ER positive (Figure 3B) and 17/25 (68%) ER negative (Figure 3A). Out of the total study subjects, there was 20/60 (33.3%) ER positive as shown in Table 1&2. Regarding VanGieson, there were 53 positive stained samples (Figure 2A), of them 18/53 (34%) ER positive and 35/53 (66%) ER negative. For the 7 VanGieson, negatively stained samples were 2/7 (28.6%) ER positive and 5/7 (71.4%) ER negative. The correlation between collagen fibers and ER status was found to be statistically significant (P-value = 0.000). Masson trichrome resulted in 46 positive stained samples (Figure 2B), of them were 15/46 (32.6%) ER positive and 31/46 (67.4%) ER negative. For the 14 Masson, trichrome negative stained samples were 5/14 (35.7%) ER positive and 9/14 (64.3%) ER negative. The correlation between collagen fibers and ER status was found to be statistically significant (P-value = 0.000). Verhoeff method resulted in 38 positive stained samples (Figure 2C) distributed as 13/38 (34.2%) ER positive and 25/38 (65.8%) ER negative. For the 22 Verhoeff, negatively stained samples were 7/22 (32%) ER positive and 15/22 (68%) ER negative. The correlation between elastic fibers and ER status was found to be statistically significant (P value =0. 039). Silver stained samples exhibited 39 positive samples (Figure 2D) were 13/39 (33.3%) ER positive and 26/39 (66.7%) ER negative. For the remaining 21Silver stained negative samples were 7/21 (33.3%) ER positive and 14/21 (66.7%) ER negative.
Variable |
Category |
ER |
Total |
|
|---|---|---|---|---|
-ve |
+ve |
|||
Malignant |
DCI |
1 |
1 |
2 |
IDC |
16 |
7 |
23 |
|
ILC |
6 |
4 |
10 |
|
Total |
23 |
12 |
35 |
|
Benign |
Fibroadenoma |
12 |
6 |
18 |
Fibrocystic changes |
3 |
1 |
4 |
|
Others |
2 |
1 |
3 |
|
Total |
17 |
8 |
25 |
|
Table 1 Shows the distribution of ER status by Tumour type.
DCI= Ductal Carcinoma In Situ; IDC= Invasive Ductal Carcinoma; ILC= Invasive Lobular Carcinoma.
Variable |
Category |
ER Staining intensity |
Total |
P value |
||
|---|---|---|---|---|---|---|
Negative |
Positive |
|||||
Collagen |
Van Gieson |
Negative |
5 |
2 |
7 |
0.000 |
Positive |
35 |
18 |
53 |
|||
Total |
40 |
20 |
60 |
|||
Masson |
Negative |
9 |
5 |
14 |
0.000 |
|
Positive |
31 |
15 |
46 |
|||
Total |
40 |
20 |
60 |
|||
Elastic |
Verhoeff |
Negative |
15 |
7 |
22 |
0.039 |
Positive |
25 |
13 |
38 |
|||
Total |
40 |
20 |
60 |
|||
Reticulin |
Silver |
Negative |
14 |
7 |
21 |
0.020 |
Positive |
26 |
13 |
39 |
|||
Total |
40 |
20 |
60 |
|||
Table 2 Showing the distribution of ER status by Connective Tissue Fibres.
Evidence before this study
High mammographic density is one of the strongest risk factors for breast cancer and density is increased in women with known risk factors, such as a late first pregnancy and the use of hormone replacement therapy and is substantially decreased in some women who take the anti-estrogen medication. Dense tissue is mainly collagen, which increases the stiffness of the breast, inducing the proliferation and expansion of normal and abnormal epithelial cells and there is evidence that this effect is increased by the particular orientation and degree of cross-linking of collagen.
Added value of this study
This study adds value to the existing evidence by studying the fibers and their relation to estrogen expression.
Implications of all the available evidence
This study suggests that the routine investigation of connective tissue fibers for breast lesions might be of screening, diagnostic and preventive values.
As urge for characterization of breast cancer due to its vast heterogeneity and need for in-depth of understanding of the biological behavior of this disease in order to take appropriate clinical decisions, this study come to point at the relation between ER expression and connective tissue fibers. On the other hand, according to Lisanti et al,5 high mammographic density is one of the strongest risk factors for breast cancer and density is increased in women with known risk factors for breast cancer, such as a late first pregnancy and the use of hormone replacement therapy and is substantially decreased in some women who take the anti-estrogen medication. Contrary, risk of breast cancer is reduced in women who have a 10% or more reduction of density, over a period of a year or more. Dense tissue is mainly collagen, whereas non-dense tissue is largely fat. Collagen increases the stiffness of the breast, inducing the proliferation and expansion of normal and abnormal epithelial cells and there is evidence that this effect is increased by the particular orientation and degree of cross-linking of collagen.5
In this study, the incidence of ER (33.3%) and connective tissue fibers was approximately similar to those in other African and Asian populations, but lower than the USA and European societies. There is only one study from Sudan in this context reporting the highest prevalence of ER positive. Many studies in USA and to some extent in Asia for instances Pegoraro et al. have reported differences in breast carcinoma subtyping with hormone receptor status by race and ethnicity. The prevalence of hormone receptor-positive breast cancer in Asian countries has been found to be lower than those in the western world. Around 32% to 90% of breast cancers express estrogen receptor and are estrogen-dependent for growth. In contrast with the highly proliferative nature of ER-alpha-positive tumor cells, ER-alpha-positive cells in normal breast tissue rarely proliferate.19,20
According to the present study, there is a significant correlation between ER+ and the presence of collagenic fibers (P-value=0.000). Since tumor formation is a multistep process involving genetic alterations of the epithelial cell; it has become clear that the epithelial-stromal interaction plays a crucial role in tumor formation and progression. Therefore, due to the increased stroma associated with breast tissue density, we hypothesized that increasing collagen density in the mammary gland would promote tumorigenesis. Although there is a strong correlative link between breast density and carcinoma, to date collagen density has not been causally linked to tumorigenesis, largely because studies utilizing animal models with different stromal density have not been performed previously. Thirty-two scirrhous cancers of the breast have been examined to determine the origin of the collagen stroma in these tumors. However, the increased risk of breast carcinoma associated with collagen-dense breast tissue has been described by several studies.21,22 Furthermore, Elastic fibers were significantly associated with ER+ (P-value=0.039), as well as, Reticulin fibers (P-value=0.020). The interaction between tumor cells and the surrounding stroma is one of the key aspects of the mechanism of tumor cell proliferation and invasion.23 Tumor cells do remodel the extracellular matrix (ECM), a complex mixture of fibers (collagen, reticular and elastic) and ground substance that provides cell support24 to facilitate communication and escape of the control by the microenvironment.26 The collagen fibrillar system acts as a supporting framework of tissues, where reticular fibers connect collagen fibers with the basal laminae of epithelial, muscle and adipose cells; the microfibril-elastin system plays a role in uniformly distributing stress to maintain the resilience to local tissue requirements.26 However, no literature was found disclosing the relationship between these fibers and ER+ status. However, one of the relative limits in this study, there is no molecular analysis, as well as, there is no similar study from Sudan which might confirm genetic variations. The small sample size in this study makes the findings of less value in determining the association in the expression of ER and other variables.
ER and connective tissue fibers are important prognostics and predictive factors that contribute to the overall management of breast lesions in Sudan. Advanced health services including immunohistochemistry are currently available to some extent in only two large cities which are Khartoum and Wad Madani while all other parts of Sudan are suffering from lack of cutting edge laboratory investigations due to lack of both medical laboratory reagents and instruments particularly in remote and rural areas. This situation creates needs to find other valid, alternative and applicable ways to enrich knowledge about clinical cases through experiments; however, further study with large number of samples is needed to support our results. Thus, establishing relationship between ER results using immunohistochemistry and connective tissue fibers using histochemistry, of female breast tissue, allows clinical opinion to get some knowledge about the ER status even in absence of immunohistochemistry techniques especially when this knowledge is extremely required to conduct treatment before taking decision of a major surgery or other possible intervention. Furthermore, the significant positive association between ER expression and connective tissue fibers will expand our understanding of biological behavior of breast lesions as it suggests an underlying molecular relation. Finally, The histochemical prediction of ER receptor status may be helpful, cost effective and time saving particularly in under developed parts of the world.
We are hereby to declare that there is no conflict of interest or whatsoever regarding this manuscript.
None.
The author declares no conflict of interest.
©2016 Hamad, et al. This is an open access article distributed under the terms of the, which permits unrestricted use, distribution, and build upon your work non-commercially.