Submit manuscript...
eISSN: 2471-0016

International Clinical Pathology Journal

Case Report Volume 4 Issue 6

Aggressive well differentiated invasive ductal carcinoma twelve years after bilateral mastectomies for invasive lobular carcinoma

Farhan Khan,1 Rabia Zafar,1 Marie Fidelia Lambert,1 Yasmine Kanaan,1 Tammey Naab1

1Department of Pathology, Howard University, USA
1Department of Pathology, Howard University, USA

Correspondence: Farhan Khan, Department of Pathology, Howard University, 2041 Georgia Avenue, NW Rm. 1M-06Washington, DC 20060, USA, Tel + (703) 447-2284

Received: January 01, 1971 | Published: June 15, 2017

Citation: Khan F, Zafar R, Lambert MF, et al. Aggressive well differentiated invasive ductal carcinoma twelve years after bilateral mastectomies for invasive lobular carcinoma. Int Clin Pathol J. 2017;4(6):146–149. DOI: 10.15406/icpjl.2017.04.00112

Download PDF

Abstract

Invasive classic lobular carcinoma represents a risk factor for bilateral lobular as well as ductal breast cancers. Some patients elect to undergo bilateral mastectomies with prophylactic simple mastectomy of the contralateral breast. We report a case of a 63year old female, with history of Stage I right breast invasive lobular carcinoma diagnosed twelve years previously, status post bilateral mastectomies with tram flap placement. She presents with a right chest wall nodule. The chest wall incisional biopsies and right breast tram pedicle needle core biopsies reveal invasive well differentiated ductal carcinoma grade 1 (Nottingham score, 1+2+1=4). The subsequent right tram flap mastectomy shows well differentiated glands extending into the pectoralis major muscle fibers. The tumor measures 4.7cm in the greatest dimension and demonstrates perineural involvement and vessel wall invasion. After bilateral prophylactic mastectomies in patients with BRCA1 and BRCA2 mutations, up to 1.9% develop breast cancer. Invasive breast cancers can arise in small foci of residual breast tissue. Even well differentiated ductal carcinoma can behave aggressively with vascular wall, perineural, and skeletal muscle invasion. The periodic follow up of breast cancer patients even greater than 10 years after bilateral mastectomies is important.

Introduction

Ductal and lobular breast neoplasms represent morphologically distinct entities. Ductal breast carcinoma may involve lobules and lobular carcinoma may involve ducts. Invasive lobular carcinoma is difficult to diagnose on screening mammogram since it often does not form a mass lesion in contrast to ductal breast cancer.1-3 It may present as an area of thickening or change in texture.4 Lobular neoplasia includes atypical lobular hyperplasia, lobular carcinoma in situ (LCIS) and invasive lobular carcinoma.

Patients with LCIS are at increased risk of developing both invasive lobular and invasive ductal breast cancers in the ipsilateral as well as the contralateral breast.5,6 The lifetime risk of developing invasive breast cancer is 30-40% for women with LCIS. Invasive lobular carcinoma is more common after LCIS (51%).7 Therefore, close follow up of both breasts is important with annual breast imaging (mammogram and MRI) and physical examination following diagnosis of lobular neoplasia. The treatment of invasive lobular breast cancer includes wide excision/lumpectomy/mastectomy with or without radiation. Some patients elect to undergo bilateral mastectomies with prophylactic simple mastectomy of the contralateral breast. The invasive lobular carcinoma is usually a well differentiated tumor, hormone receptor positive (ER/PR) and HER2 negative. Selective estrogen receptor modulators are used as targeted therapy for patients with positive hormone receptor status. Twelve years after bilateral mastectomies with tram flap placement, our patient developed aggressive invasive well differentiated ductal carcinoma.

Case description

We report a case of a 63 year old female, with history of Stage I right breast invasive lobular carcinoma diagnosed twelve years previously, status post bilateral mastectomies with tram flap placement from the thigh. She has no history of familial breast cancer. She presents with a right chest wall nodule. The chest wall incisional biopsies and right breast tram pedicle needle core biopsies reveal invasive well differentiated ductal carcinoma grade 1 (Nottingham score, 1 + 2 + 1 = 4). The patient undergoes right tram flap mastectomy measuring 16 x 15.5 x 3.1 cm in greatest dimensions and weighing 337 grams. The posterior surface of the specimen displays strips of skeletal muscle fibers. The cut surface shows linear gray white fibrous area measuring 4.7 cm in length and 2.5 cm in diameter corresponding to the tracking scar of the needle core biopsy, involving the upper inner quadrant and abutting the posterior surface. Well differentiated glands extend into the pectoralis major muscle fibers (Figures 1 & 2). The invasive ductal carcinoma grade 1 (Nottingham score, 1 + 2 + 1 = 4) is seen in all sections from the tracking scar, which measures 4.7 cm in greatest dimension (Figure 4). The invasive ductal carcinoma demonstrates perineural involvement (Figure 3), vessel wall invasion and microcalcifications. The focal residual breast tissue shows fibrocystic change, atrophy and biopsy site changes (Figures 5 & 6).

Discussion

Breast carcinoma has two major histological types, ductal and lobular, both of which arise from terminal ductal lobular unit of the breast. Invasive lobular carcinoma has an incidence of 10% when compared to invasive ductal carcinoma. 8,9 Lobular cancer is difficult to diagnose clinically since it often fails to form a discrete breast mass. It frequently presents as thickening and fullness of breast tissue. It has a greater propensity to metastasize to unusual places such as body cavities, stomach, ovaries and endometrium due to lack of E-cadherin, an intercellular adhesion protein.10 The most important risk factor for invasive lobular carcinoma is lobular carcinoma in situ (LCIS). It increases the risk for invasive lobular as well as invasive ductal carcinoma (IDC) in the ipsilateral as well as the contralateral breast.11 Other risk factors are old age, female gender, postmenopausal hormonal exposure and genetic predisposition including a positive family history of breast cancer developing at age less than 50 years. Classic invasive lobular carcinoma (ILC) is usually well to moderately differentiated, having an overall slightly better prognosis than invasive ductal carcinoma. The 5-year overall survival is 85.6% for ILC and 84.1% for IDC. E-Cadherin, an intercellular cell adhesion molecule, is not expressed by lobular carcinoma. The malignant cells are composed of a discohesive, monomorphic population of small cells, invading in linear chains. Often mucin vacuoles are noted in the cytoplasm of the ILC, leading to the appearance of signet ring cells. The absence of E-cadherin expression by immunohistochemistry is useful in distinguishing lobular from ductal breast carcinoma. Classic ILC is almost always positive for hormones (ER/PR) receptors (86% compared to 61% in IDC) 12 and negative for HER2, findings favoring good prognosis. However, invasive pleomorphic lobular breast carcinoma is high grade and often presents at high stage; it is usually negative for hormone receptors, has a higher proliferation index (Ki-67 > 10%) and may be HER2 positive.13

LCIS is usually an incidental finding and tends to be bilateral (60%) and multifocal (75%).14 LCIS at a margin does not warrant further excision since it is usually treated with hormone therapy. LCIS is considered a risk factor for development of invasive carcinoma at a later date while DCIS, a precursor lesion, requires additional excision if present at a margin. Pleomorphic LCIS behaves clinically similar to DCIS and is followed by further excision if found at a margin. Women with LCIS have an overall increased lifetime risk for invasive breast cancer as compared to a woman with no risk factors (7.3/1000 person-years in the ipsilateral breast and 5.2/1000 person-years in the contralateral breast).15 Invasive lobular cancer may be difficult to diagnose on mammogram; however, the mammogram is still the best initial diagnostic test available. Mammographic sensitivity is higher in invasive ductal carcinoma (81%) versus invasive lobular carcinoma (34%). Breast ultrasound is 86% sensitive for invasive lobular carcinoma.16 MRI can help in evaluating the area of suspicion (96% sensitivity). Treatment depends on the TNM staging and hormone receptor status. Options are lumpectomy (conservative breast surgery) and modified radical mastectomy with sentinel lymph node examination. Chemotherapy and radiotherapy are used to treat invasive cancers with lymph node metastasis. Estrogen receptor modulators are used for ER/PR positive tumors and trastuzumab is used for HER2 positive or HER2 amplified cancers. LCIS can be treated with raloxifene. Some patients with lobular neoplasia elect to undergo bilateral mastectomies with prophylactic simple mastectomy of the contralateral breast.

Our patient, a 63 year old female, had a history of right sided stage 1 invasive lobular carcinoma. She had bilateral mastectomies with prophylactic simple mastectomy of the left breast and tram flap replacement. Twelve years later, she presents with a right sided chest nodule. The chest wall incisional biopsies and right breast tram pedicle needle core biopsies reveal invasive well differentiated ductal carcinoma grade 1 (Nottingham score, 1 + 2 + 1 = 4) (Figure 4). The subsequent right tram flap mastectomy shows well differentiated glands involving the pectoralis major muscle (Figures 1 & 2), perineural extension (Figure 3), vessel wall invasion, and microcalcifications. The tumor measures 4.7cm in the greatest dimension. The residual breast tissue shows fibrocystic changes, biopsy site changes and skeletal muscle atrophy (Figures 5 & 6).

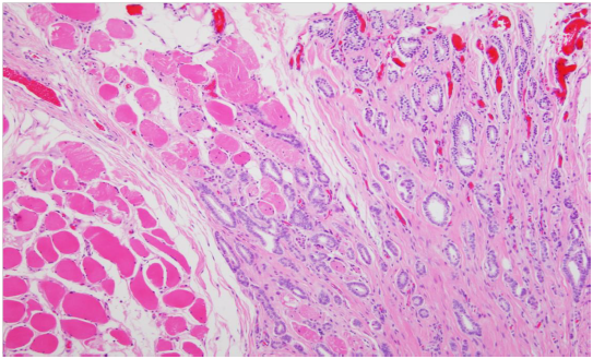
Figure 1 Invasive well differentiated ductal carcinoma invading skeletal muscles, H & E (x100).

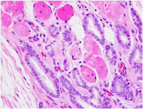
Figure 2 Well differentiated glands involving skeletal muscle fibers, H & E (x400).

Following simple mastectomy, residual breast tissue is present. The invasive breast cancer may develop decades after the diagnosis of lobular neoplasia with IDC being more common than ILC in the contralateral breast. The risk of developing breast cancer is 1.9% in patients with BRCA1 and BRCA2 mutations, status post bilateral mastectomies. Our patient has no family history of breast cancer; yet she develops aggressive invasive well differentiated ductal carcinoma in the residual breast tissue 12 years after bilateral mastectomies for stage 1 invasive lobular carcinoma. There is a 4.3% recurrence rate of carcinoma after modified radical mastectomy.17-25 This case highlights the importance of regular screening with annual mammogram in patients with a history of lobular cancer even more than 10 years after bilateral mastectomies. Carcinomas arising in residual breast tissue may behave aggressively, including even those with low grade histology. There is a 4.6% rate of locoregional recurrence after tram flap reconstruction with 77.7 % initially presenting at low stage.25-35

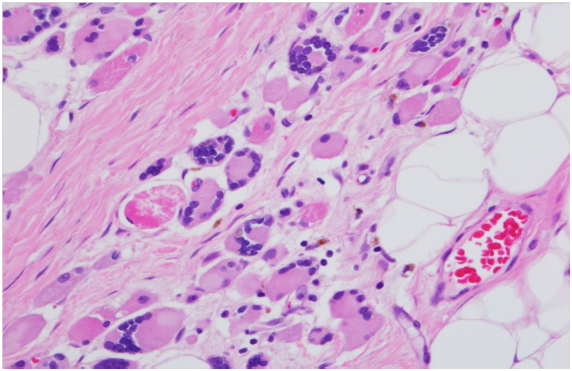
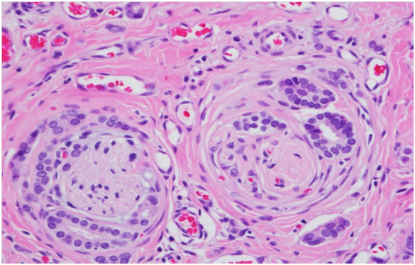
Figure 3 Perineural invasion by well differentiated ductal breast carcinoma, H & E (x400).

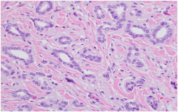
Figure 4 Invasive well differentiated ductal breast carcinoma with desmoplastic reaction, H & E (x200).

Figure 5 Residual benign breast tissue status post mastectomy, H & E (x100).

Figure 6 Skeletal muscle fibers showing atrophy, H & E (x200).

Conclusion

LCIS is an established risk factor for both invasive lobular and ductal breast cancers in the ipsilateral and contralateral breasts, which requires regular follow up with annual mammogram. Invasive lobular carcinoma may be an incidental finding since it does not form a discrete breast mass. Some patients with a diagnosis of invasive lobular breast cancer elect to undergo prophylactic bilateral mastectomies. Invasive breast cancer can arise in residual breast tissue in patients with lobular breast cancers following mastectomy. After bilateral prophylactic mastectomies in patients with BRCA1 and BRCA2 mutations, up to 1.9% develop breast cancer. Our patient had no familial risk. She developed ipsilateral aggressive well differentiated invasive ductal breast cancer twelve years after bilateral mastectomies with tram flap placement for invasive lobular carcinoma. This case study highlights the importance of continued periodic follow up of patients with lobular breast cancers more than a decade after bilateral mastectomies.

Acknowledgements

None.

Conflict of interest

The author declares no conflict of interest.

References

  1. Kombar OR, Fahmy DM, Brown MV, et al. Sonomammographic characteristics of invasive lobular carcinoma. Breast Cancer. 2012; 4:115–124.
  2. Brem RF, Ioffe M, Rapelyea JA, et al. Invasive lobular carcinoma: detection with mammography, sonography, MRI, and breast-specific gamma imaging. AJR Am J Roentgenol. 2009;192(2):379–383.
  3. Brem RF, Ioffe M, Rapelyea JA, et al. Invasive lobular carcinoma: detection with mammography, sonography, MRI, and breast-specific gamma imaging. AJR Am J Roentgenol. 2009;192(2):379–383.
  4. Jones KN, Magut M, Henrichsen TL, et al. Pure lobular carcinoma of the breast presenting as a hyperechoic mass: incidence and imaging characteristics. AJR Am J Roentgenol. 2013;201(5):W765–769.
  5. Page DL, Kidd TE Jr, Dupont WD, et al. Lobular neoplasia of the breast: higher risk for subsequent invasive cancer predicted by more extensive disease. Hum Pathol. 1991;22(12):1232–1239.
  6. Chuba PJ, Hamre MR, Yap J, et al. Bilateral risk for subsequent breast cancer after lobular carcinoma-in-situ: analysis of surveillance, epidemiology, and end results data. J Clin Oncol. 2005;23(24):5534–5541.
  7. Sasson AR, Fowble B, Hanlon AL, et al. Lobular carcinoma in situ increases the risk of local recurrence in selected patients with stages I and II breast carcinoma treated with conservative surgery and radiation. Cancer. 2001;91(10):1862–1869.
  8. Arpino G, Bardou VJ, Clark GM, et al. Infiltrating lobular carcinoma of the breast: tumor characteristics and clinical outcome. Breast Cancer Res. 2004;6(3):R149–156.
  9. Dossus S, Benusiglio PR. Lobular breast cancer: incidence and genetic and non-genetic risk factors. Breast Cancer Res. 2015;37:0546–0547.
  10. El-Hage A, Ruel C, Afif W, et al. Metastatic pattern of invasive lobular carcinoma of the breast-Emphasis on gastric metastases. J Surg Oncol. 2016;114(5):543–547.
  11. Crisi GM, Mandavilli S, Cronin E, et al. Invasive mammary carcinoma after immediate and short-term follow-up for lobular neoplasia on core biopsy. Am J Surg Pathol. 2003;27(3):325–333.
  12. Rakha EA, El-Sayed ME, Powe DG, et al. Invasive lobular carcinoma of the breast: response to hormonal therapy and outcomes. Eur J Cancer. 2008;44(1):73–83.
  13. Jacobs M, Fan F, Tawfik O. Clinicopathologic and biomarker analysis of invasive pleomorphic lobular carcinoma as compared with invasive classic lobular carcinoma: an experience in our institution and review of the literature. Ann Diagn Pathol. 2012;16(3):185–189.
  14. Ringberg A, Palmer B, Linell F, et al. Bilateral and multifocal breast carcinoma. A clinical and autopsy study with special emphasis on carcinoma in situ. Eur J Surg Oncol. 1991;17(1):20–29.
  15. Li CI, Malone KE, Saltzman BS, et al. Risk of invasive breast carcinoma among women diagnosed with ductal carcinoma in situ and lobular carcinoma in situ, 1988-2001. Cancer. 2006;106(10):2104–2012.
  16. Berg WA, Gutierrez L, NessAiver MS, et al. Diagnostic accuracy of mammography, clinical examination, US, and MR imaging in preoperative assessment of breast cancer. Radiology. 2004;233(3):830–849.
  17. Chung MA, Cole B, Wanebo HJ, et al. Optimal surgical treatment of invasive lobular carcinoma of the breast. Ann Surg Oncol. 1997;4(7):545–550.
  18. Patterson SG, Teller P, Iyengar R, et al. Locoregional recurrence after mastectomy with immediate transverse rectus abdominis myocutaneous (TRAM) flap reconstruction. Ann Surg Oncol. 2012;19(8):2679–2684.
  19. Cao AY, Huang L, Wu J, et al. Tumour characteristics and the clinical outcome of invasive lobular carcinoma compared to infiltrating ductal carcinoma in a Chinese population. World J Surg Oncol. 2012;10:152.
  20. García-Fernández A, Lain JM, Chabrera C, et al. Comparative Long-term study of a large series of patients with invasive ductal carcinoma and invasive lobular carcinoma. Loco-regional recurrence, metastasis, and survival. Breast J. 2015;21(5):533–537.
  21. Fortunato L, Mascaro A, Poccia I, et al. Lobular breast cancer: same survival and local control compared with ductal cancer, but should both be treated the same way? Analysis of an institutional database over a 10-year period. Ann Surg Oncol. 2012;19(4):1107–1114.
  22. Gurjar N, Basit A, Thomson C, et al. Breast cancer after prophylactic mastectomy for lobular carcinoma-in-situ (LCIS) - an unusual case. J Surg Case Rep. 2012;2012(10):2.
  23. Carson W, Sanchez-Forgach E, Stomper P, et al. Lobular carcinoma in situ: observation without surgery as an appropriate therapy. Ann Surg Oncol. 1994;1(2):141–146.
  24. Anderson BO, Calhoun KE, Rosen EL. Evolving concepts in the management of lobular neoplasia. J Natl Compr Canc Netw. 2006;4(5):511–522.
  25. Freedman G, Fowble B, Hanlon A, et al. Patients with early stage invasive cancer with close or positive margins treated with conservative surgery and radiation have an increased risk of breast recurrence that is delayed by adjuvant systemic therapy. Int J Radiat Oncol Biol Phys. 1999;44(5):1005–1015.
  26. Anwar IF, Down SK, Rizvi S, et al. Invasive lobular carcinoma of the breast: should this be regarded as a chronic disease? Int J Surg. 2010;8(5):346–352.
  27. Parvaiz MA, Yang P, Razia E, et al. Breast MRI in invasive lobular carcinoma: a useful investigation in surgical planning? Breast J. 2016;22(2):143–150.
  28. Jung SY, Jeong J, Shin SH, et al. The invasive lobular carcinoma as a prototype luminal A breast cancer: a retrospective cohort study. BMC Cancer. 2010;10:664.
  29. Oliveira TM, Elias J Jr, Melo AF, et al. Evolving concepts in breast lobular neoplasia and invasive lobular carcinoma, and their impact on imaging methods. Insights Imaging. 2014;5(2):183–194.
  30. Johnson K, Sarma D, Hwang ES. Lobular breast cancer series: imaging. Breast Cancer Res. 2015;17:94.
  31. Yi M, Hunt KK, Arun BK, et al. Factors impacting the decision of breast cancer patients to undergo contralateral prophylactic mastectomy. Cancer Prev Res (Phila). 2010;3(8):1026–1034.
  32. Ashfaq A, McGhan LJ, Pockaj BA, et al. Impact of breast reconstruction on the decision to undergo contralateral prophylactic mastectomy. Ann Surg Oncol. 2014;21(9):2934–2940.
  33. Brenner RJ. Short-term Follow-up Recommendations after preoperative breast MR assessment for breast cancer diagnosis: are we lacking a rational basis? Radiology. 2010;257(1):18–21.
  34. Jackson FI. Acceptability of periodic follow-up as an alternative to biopsy for mammographically detected lesions interpreted as probably benign. Radiology. 1981;171(3):645–646.
  35. Ko lb TM, Lichy J, Newhouse JH. Comparison of the performance of screening mammography, physical examination, and breast US and evaluation of factors that influence them: an analysis of patient evaluations. Radiology. 2002;225(1):165–175.
Creative Commons Attribution License

©2017 Khan, et al. This is an open access article distributed under the terms of the, which permits unrestricted use, distribution, and build upon your work non-commercially.