Submit manuscript...
eISSN: 2471-0016

International Clinical Pathology Journal

Case Report Volume 6 Issue 3

Acute nephrotoxicity an unusual side effect or adverse toxicity of Captagon

Hisham Abu Farsak,1 Rawan Aljaras,2 Noor Abu Farsakh,2 Hussam Abu Farsakh3

1King Hussein Cancer Center, Jordan
1King Hussein Cancer Center, Jordan
2Jordan University, Jordan
2Jordan University, Jordan
3First Medical Lab, Jordan
3First Medical Lab, Jordan

Correspondence: Hussam Abu Farsakh, First Medical Lab, Amman, Jordan

Received: January 01, 1971 | Published: June 5, 2018

Citation: Farsak HA, Aljaras R, Farsakh NA, et al. Acute nephrotoxicity an unusual side effect or adverse toxicity of Captagon. Int Clin Pathol J. 2018;6(3):137–139. DOI: 10.15406/icpjl.2018.06.00174

Download PDF

Keywords

Captagon, drug induced nephrotoxicity, rapid progressive glomerulonephritis

Introduction

Drugs are implicated in wide range of kidney disease. Scheduled drugs are also known to cause injury. This report describes a young male who presented with an acute kidney injury after taking Captagon.

Case report

21‒year‒old male presented to the Emergency Room with abdominal pain, hematuria, lower limb swelling and oliguria. On admission, he was conscious and oriented. The patient's past medical history and revealed no prior kidney diseases. On physical examination, his blood pressure was 162/93mmHg, heart rate was 96beats per minute, respiratory rate was 24. He had significant bilateral lower limbs edema. Abdominal examination showed tenderness over his costo vertebral angles bilaterally.

Initial complete blood count (CBC) showed hemoglobin 11grams/dL, total leukocyte count of 9×109/L and platelet count of 460000/µL. No schistocytes were found on peripheral blood smear. A blood chemistry panel showed urea nitrogen 27mg/dL (8‒21mg/dL), creatinine 1.1mg/dL (0.8‒1.3mg/dL), sodium 136mmol/L (135‒145mmol/L), potassium 4.2mmol/L (3.5‒5mmol/L), calcium 8.1mg/dL (8.5‒10.2mg/dL), glucose 93mg/ dL (65‒110mg/dL), LDH 240 U/L (120–220U/L), albumin 3.0g/dL (3.5‒5.0g/dL), and total protein 3.2g/dL (5.0–9.0g/dL), HCO3 20mEq/L (22–29mEq/L). Liver function test was normal. Urinalysis revealed protein (+), with increased red blood cells, no eosinophiluria. Serologic test results for anti‒nuclear antibody, anti‒double‒stranded DNA antibody, rheumatoid factor, cryoglobulinemia, hepatitis B and C, and ANCA were negative. Serum C3 and C4 levels were normal.

Chest X‒ray showed moderate amount of bilateral pleural effusion. Non‒enhanced computed tomography (CT) scan for the abdomen was done to rule out nephrolithiasis as a cause of his presentation, the scan did not reveal any kidney stone or hydronephrosis. Kidney size was normal.

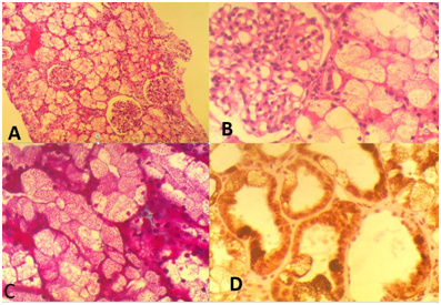
He was admitted to the hospital. His creatinine rapidly progressed from 1.1 to 16mg/dl in one week. He was started on hemodialysis due to hypoxia caused by fluid overload which was resistant to diuretics. Renal biopsy was performed. The preliminary clinical diagnosis was rapidly progressive glomerulonephritis. The renal biopsy showed severe vacuolization of the proximal tubules (Figure 1A) (Figure 1B): H & E, Figure 1C: Trichome). The glomeruli were almost normal. No interstitial inflammation was seen. No tubular necrosis was seen. RBC’s casts were seen in the tubules. Immunofluorescence studies show negative staining in the glomeruli for IgG, IgM, IgA, C3, C4 and C1q. Immunoperixodase for CD68 was strongly positive in the tubules (Figure 1D). The histopathological diagnosis was severe toxic tubulopathy. Inquiry about drug intake revealed Captagon intake 2 weeks prior to his presentation. The patient abstained from Captagon intake and his creatinine dropped in one week to 3.5mg/dl and the hypoxia improved, and hemodialysis was stopped after receiving three sessions of hemodialysis. At the end of the 3rd week his creatinine dropped to 1.14mg/dl. This represents the first report of Captagon related renal tubular injury. Recognizing this type of renal tubular injury is important in preventing end stage renal disease in drug addicts.

Figure 1 (A) Severe vacuolization of the proximal tubules, 200X, H & E. (B) Severe vacuolization of the proximal tubules, 400X, H & E. (C) Severe vacuolization of the proximal tubules, 400X. (D) Trichome stain
CD68 immunostaining over‒expression in the proximal tubules.

Discussion

The causes of AKI are commonly categorized into prerenal, intrinsic and postrenal. Prerenal AKI is caused by hypoperfusion of the kidneys secondary to circulatory volume depletion such as gastrointestinal tract losses or inadequate perfusion pressures such as in cardiac failure and sepsis. Urine biochemistry analysis typically reveals low sodium levels, low fractional excretion of sodium and urea and increased urine osmolality. However, urinary sodium may be affected by diuretic use and biochemical analysis should be interpreted in conjunction with the clinical scenario.

Intrinsic AKI can be caused by prolonged prerenal insult, nephrotoxic medications, glomerulonephritis or iatrogenic endovascular intervention. Investigations include but are not limited to urinalysis and urine microscopy, an autoimmune screen, erythrocyte sedimentation rate, complement levels, cryoglobulins, hepatitis screen and a blood film. A renal biopsy may be warranted if an intrinsic cause of AKI is suspected.

Postrenal AKI is due to obstruction of the urinary tract due to kidney stones, tumours, bladder neck outflow obstruction or retroperitoneal fibrosis. Ultrasonography may reveal hydronephrosis or hydroureter and further imaging such as CT may be required to reveal the cause of obstruction. Urgent intervention such as bladder catheterization or nephrostomy insertion may be indicated.1

Drug smuggling and trading is a widely spread problem. It is increasing all over the world. Abuse of fenethylline as the brand Captagon is most common in the Middle East region. Fenethylline is formed from two drugs amphetamine and theophylline.2 Fenethylline is metabolized in the body to its major constituent’s amphetamine (one quarter of oral does) and theophylline (14%). Fenethelline (Captagon) was marketed for use as a psychostimulant.3,4 The physiological effects of fenethylline result from a combination of these two compounds.5 Amphetamines are addictive because of the feelings of euphoria and energy. This leads to intoxication with cognitive impairment.6 The other hazardous side effects are psychosis disorders, visual impairment and hallucinations, acute ischemic heart disease and convulsions.7 Fenethylline, synthesized in1961 by a German scientist, is used for milder alternative of amphetamine, Its main past medical use in children was for Attention Deficit Hyperactivity Disorder. In adults, it is used for treatment of narcolepsy and depression. Fenethylline has less effect on blood pressure than amphetamine.7,8 In addition, Fenethylline was listed as a schedule I controlled substance in USA more than five decades ago.9 One reason for having Captagon so widely spread all over the middle east area is the ease and cheapness of its synthesis.9,10 According to the United Nations Office on Drugs and Crime (UNODC), the three countries reporting the highest Captagon intake are Saudi Arabia, Jordan, and Syria. In 2017, captagon was the most popular narcotic in the Arabian peninsula. Forty percent of the adolescent drug users in Saudi Arabia are addicted to fenethylline.11,12 Although Captagon was banned in Jordan in 1988 even for clinical use, its cheapness led to an increase of the number of Captagon abusers.13

There is no previously reported case of renal tubular injury caused by Captagon. However, cases about the association of amphetamine, and disseminated intravascular coagulation have been reported, with secondary renal damage.14‒16 Because of the potentially serious consequences, any patient who presents with acute kidney injury should be questioned deeply about drug abuse.

In general, drugs are found to cause nephrotoxicity by one or more of the following mechanisms. These include intraglomerular hemodynamic alteration, tubular lining toxicity, inflammation, crystal formation, rhabdomyolysis, and coagulopathy (Thrombotic microangiopathy).17‒21 Renal tubular cells, in particular proximal tubular cells, are vulnerable to the toxic effects of drugs. Proximal tubular cells have prominent role in concentrating and reabsorbing glomerular filtrate. This leads to high exposure levels of circulating toxins.21 Drugs that cause tubular cell toxicity do so by altering mitochondrial function and size, this leads to impeding tubular transport. This may lead to increasing oxidative stress by forming free radicals.21‒24 Although renal impairment is often reversible if the offending drug is discontinued, the condition can be costly and may require multiple interventions, including hospitalization and plasmapharesis. Drugs associated with this pathogenic mechanism of injury include some antibiotics (like aminoglycosides, and amphotericin B), anti‒viral drugs (like antiretrovirals, cidofovir, tenofovir) and chemotherapy drugs (like cisplatin).18,19,25,26 Immunosuppressor agents like Calcineurin inhibitor drugs like cyclosporine and tacrolimus have also toxic effect on tubules.27 Abu‒Farsakh et al.,28 discovered an increase in CD68 immunostaining expression in injured tubules secondary to Calcineurin inhibitor drugs.28 CD68 is noted to show over‒expression in the proximal tubules in this case, probably as it does show in any case with tubular injury.28

Conclusion

In summary, drug induced nephrotoxicity is one of the common causes of acute renal failure, the most important step in approaching drug induced nephrotoxicity is taking a detailed drug history.
Captagon is a drug that can cause acute renal failure through damaging the proximal tubules. This nephrotoxicity is reversible if caught early in the course.

Acknowledgement

None

Conflict of interest

The author declares that there is none of the conflicts.

References

  1. On Wei, Martin Udberg. Acute Kidney Injury as First Presentation of Lymphoma: The Role of Renal Biopsy. BMJ Case Reports. 2013;29.
  2. Nickel B, Niebch G, Peter G, et al. Fenetylline: new results on pharmacology, metabolism and kinetics. Drug Alcohol Depend. 1986;17(2‒3):235‒257.
  3. Kraemer T, Maurer HH. Toxicokinetics of amphetamines: metabolism and toxicokinetic data of designer drugs, amphetamine, methamphetamine, and their N‒alkyl derivatives. Ther Drug Monit. 2002;24(2):277‒289.
  4. Index Nominum: International Drug Directory. Taylor & Francis. 2000. 431 p.
  5. Theodore Ellison, Leonard Stephen Levy, Bolger JW. The metabolic fate of 3H‒fenethylline in man. European Journal of Pharmacology. 1970;13:123.
  6. Alabdalla MA. Chemical characterization of counterfeit captagon tablets seized in Jordan. Forensic Science International. 2005;152(2–3):185–188.
  7. Nash K, Hafeez A, Hou S. Hospital‒acquired renal insufficiency. Am J Kidney Dis. 2002;39(5):930‒936.
  8. AL Imam A, Santacroce R, Roman Urrestarazu A, et al. Captagon: Use and trade in the Middle East. Hum Psychopharmacol Clin Exp. 2017;32(3).
  9. Kristen G, Schaefer A, Von Schlichtegroll A. Fenetylline: Therapeutic use, misuse and/or abuse. Drug and alcohol dependence. 1986;17(2–3):259–271.
  10. Maria Katselou. Fenethylline (Captagon) Abuse–Local Problems from an Old Drug Become Universal. Basic & Clin Pharmacol & Toxicol. 2016;119(2):133–140.
  11. 40% of young Saudi drug addicts taking Captagon. Arab News; 2015.
  12. A new drug of choice in the Gulf. The Economist; 2017.
  13. Alabdalla MA. Chemical characterization of counterfeit captagon tablets seized in Jordan. Forensic Sci Int. 2005;152(2‒3):185–188.
  14. Ginsberg MD, Hertzman M, Schmidt Nowara WW. Amphetamine intoxication with coagulopathy, hyperthermia, and reversible renal failure. Ann Intern Med. 1970;73(1):81‒85.
  15. Fahal IH, Sallomi DF, Bell GM. Acute renal failure after ecstasy. Br Med J. 1992;305(6844):29.
  16. Gandhi TK, Burstin HR, Cook EF, et al. Drug complications in outpatients. J Gen Intern Med. 2000;15(3):149‒154.
  17. Schetz M, Dasta J, Goldstein S, et al. Drug‒induced acute kidney injury. Curr Opin Crit Care. 2005;11(6):555–565.
  18. Zager RA. Pathogenetic mechanisms in nephrotoxic acute renal failure. Semin Nephrol. 1997;17(1):3‒14.
  19. Schnellmann RG, Kelly KJ. Pathophysiology of nephrotoxic acute renal failure. In: Berl T, Bonventre JV, editors. Acute Renal Failure. USA: Blackwell Science; 1999. p. 1‒14.
  20. Perazella MA. Drug‒induced nephropathy: an update. Expert Opin Drug Saf. 2005;4(4):689–706.
  21. Kaufman J, Dhakal M, Patel B, et al. Community‒acquired acute renal failure. Am J Kidney Dis. 1991;17(2):191‒198.
  22. Bellomo R. The epidemiology of acute renal failure: 1975 versus 2005. Curr Opin Crit Care. 2006;12(6):557‒560.
  23. Kohli HS, Bhaskaran MC, Muthukumar T, et al. Treatment‒related acute renal failure in the elderly: a hospital‒based prospective study. Nephrol Dial Transplant. 2000;15(2):212‒217.
  24. Markowitz GS, Perazella MA. Drug‒induced renal failure: a focus on tubulointerstitial disease. Clin Chim Acta. 2005;351(1–2):31–47.
  25. Markowitz GS, Fine PL, Stack JI, et al. Toxic acute tubular necrosis following treatment with zoledronate (Zometa). Kidney Int. 2003;64(1):281–289.
  26. Palmer BF. Renal dysfunction complicating the treatment of hypertension. N Engl J Med. 2002;347(16):1256–1261.
  27. Olyaei AJ, de Mattos AM, Bennett WM. Immunosuppressant‒induced nephropathy: pathophysiology, incidence and management. Drug Saf. 1999;21(6):471–488.
  28. Abu‒Farsakh, H, Abu Farsak, H, Badran, et al. CD68 immunostaining of tubular epithelium is an excellent indicator of Calcineurin inhibitor toxicity in kidney transplant patient. J Histol Histopathol Res. 2017;1(1):15‒18.
Creative Commons Attribution License

©2018 Farsak, et al. This is an open access article distributed under the terms of the, which permits unrestricted use, distribution, and build upon your work non-commercially.