Case Report Volume 6 Issue 1
1Council of Forensic Medicine, Turkey
1Council of Forensic Medicine, Turkey
2Cukurova University School of Medicine, Turkey
2Cukurova University School of Medicine, Turkey
3Council of Forensic Medicine, Turkey
3Council of Forensic Medicine, Turkey
Correspondence: Kenan Kaya, Ministry of Justice , Council of Forensic Medicine, Adana, Turkey
Received: January 01, 1971 | Published: January 8, 2018
Citation: Kaya K, Topata? F, Çekin N, et al. A death after scorpion envenoming: ARDS. Int Clin Pathol J. 2018;6(1):3–4. DOI: 10.15406/icpjl.2018.06.00143
Scorpion envenoming can lead to serious consequences ranging from simple reactions such as redness, itching, and pain to death due to respiratory and circulatory system effects. The mortality rate is between 5.2 and 8.3% in children. Our case is a 5years old child, who died after scorpion envenoming. In the histopathological examination report obtained after the autopsy performed;Edema, atelectasis, hyaline membranes, haemosiderin-loaded macrophages in large areas in the lungs, acute respiratory distress syndrome compatible appearance.It is known that allergic sensitiveness changes from person to person. Insect allergy is a common but preventable condition. For this reason, it is necessary to increase the awareness of the population and the physicians about the allergic reactions that can develop against insect stings. Considering that insect bites are widespread in our country, the complication of this condition, ARDS, should always be kept in mind and the treatment process should be regulated.
Keywords: scorpion, ARDS, autopsy, envenoming, countries
Insect bites-snake insertions are encountered as non-natural deaths in a few cases per year. Insect bites include deaths due to scorpion envenoming. Death events caused by scorpion envenoming are a common public health problem in tropical and subtropical countries.1 In our country, the species of poisonous scorpion, Androctonus crassicauda and Leiurus quinquestriatus, are common in southern and southeastern Anatolia regions.2 Scorpion envenoming can lead to serious consequences ranging from simple reactions such as redness, itching, and pain to death due to respiratory and circulatory system effects.3 Respiratory signs are a common problem, especially in children. Many patients lose their lives due to pulmonary edema.4 We planned to present a 5-year-old male with ARDS after scorpion envenoming with histopathological findings.
When our case was cycling, he spoke to her mother as "something bit me" and when his mother came closer, she said that she saw a scorpion. After coming home, he vomited and consciousness has closed, involuntary movements have begun. When he was admitted to emergency service at 23:50 hours; he was intubated and was taken to intensive care unit. In his physical examination; general condition was poor, consciousness was closed, pupillary were myotic, pulse 170/min, blood pressure 96/50mmHg, coma score was 5.25mg/kg pralidoksim (PAM) was initiated with an initial diagnosis of organophosphate intoxication. At 2.30 pm; patient was extubated due to improvement in general condition and nasal oxygen was started. Saturation was good. After few hours, cardiopulmonary resuscitation (CPR) was administered due to the development of cardiac arrest and the patient was re-intubated. At 7 am the general condition worsened and 10mg/kg/min of dopamine was started. Heart beating was 200 in the morning, Dopamine-Dobutamine doses were gradually increased and adrenaline infusion was started. At postero-anterior chest X-ray; ARDS image was detected and because of this surfactant was given, ventilator was adjusted and antibiotic change was made, additional treatment with adrenaline was performed considering anaphylaxis. He entered bradycardia at 12.45 and was died at 13.35 upon failure to respond to CPR.
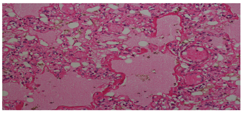
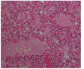
In the histopathological examination report obtained after the autopsy performed in the Morgue Department of Adana Forensic Medicine Group Presidency; ‘Edema, atelectasis, hyaline membranes, haemosiderin-loaded macrophages in large areas in the lungs, acute respiratory distress syndrome compatible appearance (Figure 1). Liver, kidney, spleen, heart, thymus, brain, brain stem and cerebellum congestion are detected and it is stated that the death of the person has an acute respiratory insufficiency syndrome resulting in anaphylactic reaction result related to insect bite. In our case; history, investigation information and histopathological examination were taken into account when ARDS was diagnosed.
After scorpion poisoning, the clinical picture can be classified as mild, moderate or severe. Severe forms of neuronal, cardiac, and respiratory abnormalities and related deaths are at the forefront.5 Within neuronal abnormalities; autonomic storms, paralysis and coma of somatic/respiratory muscles, bradiarrhythmia in heart abnormalities, left ventricular failure, acute myocarditis, cardiogenic shock.6
Respiratory abnormalities include respiratory arrest, pulmonary edema and ARDS.7 The most common complication of scorpion stings causing deaths is ARDS, a type of pulmonary edema.8 ARDS can develop due to pulmonary and extra pulmonary causes. Extra pulmonary causes can be classified as sepsis, acute pancreatitis, burns, multiple trauma, head trauma while some of the pulmonary causes are aspiration pneumonia, infectious pneumonia, drowning in water, pulmonary contusion, toxic inhalation. One of the extra pulmonary causes is the scorpion insertions.9 In terms of scorpion inserts, children under the age of 8, adults over the age of 65, and people with a chronic illness such as diabetes, heart disease are more at risk. The mortality rate is between 5.2 and 8.3% in children.10 As we see in our case, the child age group is at a fatal risk against the scorpion inserts.
Considering that scorpion incisions are widespread in our country, the treatment process should be regulated by always keeping in mind the ARDS which is a complication of scorpion envenoming. In addition, according to the clinic scorpions should be followed immediately in 6-8hours, patients and their relatives should be given detailed information about follow-up. In conclusion, ARDS is a very common form of pulmonary edema with very high morbidity and mortality. ARDS may develop after scorpion poisoning and if we think that scorpion penetration is common in our country, we think that it may be useful to keep in mind that ARDS may develop in these situations.
None.
The author declares no conflict of interest.
©2018 Kaya, et al. This is an open access article distributed under the terms of the, which permits unrestricted use, distribution, and build upon your work non-commercially.