Submit manuscript...
eISSN: 2473-0815

Endocrinology & Metabolism International Journal

Case Report Volume 2 Issue 2

Severe hypocalcemia induced by a single dose of denosumab in a patient with osteomalacia secondary to long standing vitamin D deficiency

Nitesh D Kuhadiya, Anshu Alok, Antoine Makdissi, Manav Batra , Ajay Chaudhuri

Department of Endocrinology, University at Buffalo, USA,

Correspondence: Nitesh D Kuhadiya, Department of Endocrinology, Diabetes and Metabolism, University at Buffalo, 462 Grider Street ECMC, 3rd Floor Ambulatory Care Center, NY 14215, USA, Tel 716-898-1940

Received: May 03, 2015 | Published: May 20, 2015

Citation: Alok A, Kuhadiya ND, Makdissi A, et al. Severe hypocalcemia induced by a single dose of denosumab in a patient with osteomalacia secondary to long standing vitamin d deficiency. Endocrinol Metab Int J. 2015;2(2):56-59. DOI: 10.15406/emij.2015.02.00012

Download PDF

Abstract

Objective: Denosumab is a human monoclonal antibody that inhibits osteoclastic bone resorption via inhibition of RANKL. Hypocalcemia is a known risk of denosumab, but it can be very severe and resistant to treat when administered without adequate replacement of calcium and vitamin D.

Methods: 32-year-old lady with history of rickets secondary to vitamin D deficiency was diagnosed with osteoporosis on DEXA scan and prescribed denosumab. She presented to ER within 24 hours with carpo-pedal spasms and was found to be severely hypocalcemic with ionized calcium of 2.2mg/dL (4.7-5.3) and total calcium of 4.7 mg/dL (8.5-10.5). Her vitamin D levels and magnesium levels were also low. Her hypocalcemia was very resistant to treatment and required aggressive replacement of calcium and magnesium along with vitamin D and calcitriol.

Results: We hereby report a case of life threatening hypocalcemia in a patient with vitamin D deficiency that occurred after administration of denosumab. Treatment required 130 grams of calcium, 48 grams of magnesium and 300,000 units of vitamin D with 7 mcg of calcitriol over a period of one week.
Conclusion: Thorough evaluation for secondary causes of low bone density should be done prior to administering antiresorptive therapy in subjects suspected to have osteoporosis. We also emphasize that hypocalcemia can be extremely resistant to treatment when there is concomitant magnesium deficiency and if present should be replaced aggressively in subjects with hypocalcemia.

Keywords: denosumab, hypocalcemia, Vitamin D deficiency, osteomalacia

Abbrevations

RANKL: Receptor Activator Of Nfκb Ligand; ER: Emergency Room; IV: Intravenous

Introduction

Denosumab is a human monoclonal anti RANKL antibody (receptor activator of NFκB ligand), which inhibits activation of the RANK receptor and reduces osteoclast activity and bone resorption. Like bisphosphonates, denosumab inhibits mature osteoclasts but also inhibits osteoclastogenesis. Both bisphosphonates and denosumab are recommended for the treatment of osteoporosis in patients with adequate calcium and vitamin D levels to avoid the risk of hypocalcemia due to the potent antiresorptive effects of these agents.

Denosumab is administered as a subcutaneous injection twice yearly and is gaining popularity due to the ease of administration. We hereby report a case of severe life threatening hypocalcemia in a patient with known history of rickets and osteomalacia due to severe vitamin D deficiency caused after the administration of the first dose of denosumab.

Case

32-year-old African-American lady with history of rickets secondary to severe vitamin D deficiency since 3 years of age presented to emergency room (ER) with fatigue and severe carpo-pedal spasms. The patient had history of rickets and was on replacement with calcium carbonate and vitamin D. She was prescribed 50,000 units of vitamin D monthly by her primary care physician; however she was not adherent to the treatment regimen. Her past history included history of fracture at age 3 and a traumatic fracture of left femur at age 29, which required intramedullary rod placement with subsequent intramedullary rod placement on right side for fracture prevention (Figure1). Based on T score on DEXA scan (T-score not known as report was not available), she was diagnosed with osteoporosis and she received one dose of denosumab (60mg subcutaneous). Within 24 hours of administration of denosumab she developed, numbness and tingling along with spasms in both upper and lower extremities which worsened over the next day when she presented to the ER and was found to be severely hypocalcemic with an ionized calcium of 2.2mg/dL (4.7-5.3) and total calcium of 4.7 mg/dL (8.5-10.5). She had low magnesium of 1.1 mg/dL (1.7-2.7), phosphate of 2.7 mg/dL (2.5-4.8) and low 25 OH Vitamin D of 17 ng/mL (30-100) with elevated intact PTH levels of 428 pg/ml (12-72). Her 1,25 Dihydroxy vitamin D levels were 37.2 pg/mL (10-75).

Figure 1 X Ray Pelvis (Antero-posterior view) with bilateral intramedullary rod placement.

On examination, the patient was of small built with a BMI of 19.56 kg/m2 (height=1.49m ; weight=46.8 kg ). She was tremulous and had carpo-pedal spasm. Her BP was 126/68 mmHg with a pulse rate of 91 /min. She had bossing of frontal bone. Patient had hyper-reflexia and positive Chvostek’s sign and Trousseau sign. Skeletal examination revealed scoliosis and bowing of both legs. There was no focal bony tenderness.

The patient was admitted to medical intensive care unit for monitoring. Her hypocalcemia was very resistant to treatment and required 10 days of aggressive replacement of calcium, magnesium, vitamin D and calcitriol. She received intravenous (IV) calcium of 25 g over a period of 10 days and oral calcium carbonate at 1300 mg with meals three times a day for a total of 4 days which further required to be increased to 5000mg thrice a day for another 6 days (Total calcium replacement=130 g; IV calcium=25 g; Oral calcium=105 g). She also received 50,000 units of vitamin D daily along with calcitriol of 1mcg daily. In addition, she received 24 g of IV magnesium with oral replacement of 500 mg with meals thrice a day for 4 days and 1000 mg three times a day for 6 days (Total magnesium replacement=48 g; IV magnesium=24 g; oral magnesium=24g). After 10 days of aggressive calcium, magnesium and vitamin D replacement as per above her total calcium, magnesium and phosphorous levels were 8.8 mg/dL, 2.8 mg/dL and 2.7 mg/dL respectively.

Her trend of the normalization of calcium is shown in Figure 2.

Figure 2 Trend of Total Calcium and ionized calcium.

A skeletal survery performed during the hospital stay showed findings consistent with osteomalacia including arrest lines (distal femur and proximal tibia in Figure 3), looser’s zones (shaft of femur in Figure 4), frontal bossing (Figure 5) and multiple endplate compression deformities in the thoraco-lumbar spine (Figure 6).

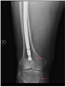
Figure 3 Distal femur and proximal tibia with arrows showing the arrest lines.

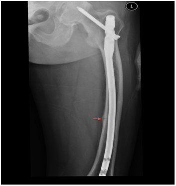
Figure 4 Shaft of femur showing bowing and arrow pointing the looser’s zone.

Figure 5 X Ray skull showing frontal bossing.

Figure 6 X-Ray of Thoracolumbar spine showing “Fish Vertebrae” suggestive of compression fractures.

Patient was discharged after stabilization of calcium levels and instructions for outpatient visit, however was lost to follow up.

Discussion

Denosumab is a human monoclonal antibody that inhibits osteoclastic bone resorption via inhibition of RANKL. It does this by binding to RANKL, thus preventing RANKL from activating its receptor RANK on the surface of osteoclasts and their precursors. It mimics the effect of the RANK modulator osteoprotegerin, and turns off osteoclast formation, function, and survival. It has been shown to increase BMD, reduce bone turnover, and reduce vertebral, nonvertebral, and hip fractures in postmenopausal women with low bone mass.1

Hypocalcaemia is a known risk of denosumab use, especially in patients with severe renal impairment.2 Severe symptomatic hypocalcaemia, including three fatal cases, has been reported in patients receiving denosumab 120 mg. severe symptomatic hypocalcaemia has also been reported in patients at increased risk of hypocalcemia receiving denosumab 60 mg. The use of denosumab in patients with hypocalcemia is contraindicated and preexisting hypocalcemia must be corrected before initiating therapy with denosumab. All patients treated with denosumab must also be adequately supplemented with calcium and vitamin D.

We present a case of severe life threatening hypocalcemia in a patient with normal renal function who was started on denosumab prior to adequate replacement of vitamin D. The hypocalcemia occurred within the first 24 hours of administration and was very resistant to treatment. Few cases with such severe and resistant hypocalcemia have been reported; however we hereby report the lowest total and ionized calcium level to the best of our knowledge requiring mega doses of calcium, magnesium, vitamin D and calcitriol for normalization. Such a life threatening complication is completely preventable. The case emphasizes the importance of checking and supplementing vitamin D to normalize vitamin D levels for at least 6 months prior to administration of any anti-resorptive agent including denosumab. Furthermore; it is important not to rely on T scores alone for the diagnosis of osteoporosis especially in pre-menopausal woman as demonstrated in this case. Our patient had rickets, which also causes low bone density and therefore was erroneously diagnosed as osteoporosis based on T-scores. Thorough evaluation for secondary causes of low bone density should be done to help decide the best therapeutic intervention prior to administering antiresorptive therapy in subjects suspected to have osteoporosis. Evaluation of secondary hyperparathyroidism would have resulted in the correct diagnosis and replacement of vitamin D in our patient to improve her bone density. This case also highlights the fact that hypocalcemia could be extremely resistant to treatment when there is concomitant magnesium deficiency and its levels should be checked and magnesium should be replaced aggressively in subjects with hypocalcemia.

With denosumab and other antiresorptive drugs gaining popularity in primary care3 due to the ease of administration, we would like to emphasize upon two very important clinical messages to avoid the life threatening complication of severe hypocalcemia as highlighted above through our case report.

Acknowledgments

None.

Conflict of interest

The author declares there is no conflict of interest.

References

Creative Commons Attribution License

©2015 Alok, et al. This is an open access article distributed under the terms of the, which permits unrestricted use, distribution, and build upon your work non-commercially.