Submit manuscript...
eISSN: 2473-0815

Endocrinology & Metabolism International Journal

Case Report Volume 7 Issue 5

Regression of non-functioning pituitary macroadenoma on cabegoline

Amal Abusaud, Mais Alsardi, Jamal Alsaeed, Abdulaziz Alwosaibei, Mohammed Alqambar

Department of Medicine, Endocrine section, King Fahad Specialist Hospital Dammam, Saudi Arabia

Correspondence: Jamal Alsaeed, King Fahad Specialist Hospital Dammam, Saudi Arabia, Tel drjalmasaeed@yahoo.com

Received: September 29, 2019 | Published: October 17, 2019

Citation: Abusaud A, Alsardi M, Alsaeed J, et al. Regression of non-functioning pituitary macroadenoma on cabegoline. Endocrinol Metab Int J. 2019;7(5):144-145. DOI: 10.15406/emij.2019.07.00260

Download PDF

Abstract

Objective: To describe an unexpected response of non-functioning pituitary adenoma (NFPA) presenting with pituitary apoplexy (PA) to dopamine agonist (DA).

Methods: This is a case report and review of literature of a 31year-old male who presented with pituitary apoplexy complicating NFPA, managed conservatively with cabergoline.

Results: There was a significant clinical improvement, biochemical normalization and marked tumor shrinkage of a NFPA complicated by apoplexy soon after starting DA.

Conclusion: This case illustrates the temporal association of initiating DA and the very early improvement in clinical, biochemical and imaging studies which make us believe that it is worth considering such a treatment with this class of medications in individuals with non-functioning PA.

Keywords: non-functioning pituitary adenoma (NFPA), pituitary apoplexy (PA), dopamine agonist(DA), cabergoline, pituitary tumor shrinkage

Abbreviations

NFPA, Non-functioning pituitary adenoma; PA, Pituitary apoplexy; DA, Dopamine agonist.

Introduction

Non-functioning pituitary adenomas (NFPAs) are usually large when the diagnosis is established, requiring both surgery and radiotherapy to prevent tumor progression. Dopamine agonists have a well-established effect in treating prolactinomas. But they were also used off label in treating other pituitary adenomas.1 We are reporting a case of NFPA who showed a dramatic response to DA, keeping in mind the confounding effect of the natural course of pituitary apoplexy.

Case report

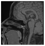
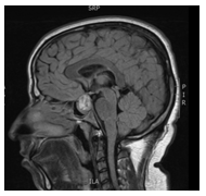
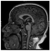
A 31years old man presented to the emergency department with five days history of severe headache accompanied by nausea, dizziness, and blurred vision. The patient’s past medical history was unremarkable and was not on any medications. He is married with 3children, the youngest is 3years old. On physical exam, he was hemodynamically stable with no orthostasis, conscious, oriented and in moderate pain distress (5/10 on pain scale chart). His central nervous system exam showed normal mini-mental status, cranial nerves examination was normal with preserved visual fields. His presentation prompted a brain MRI which showed pituitary macroadenoma with a suprasellar extension (Figure 1) with hemorrhage suggestive of pituitary apoplexy. Hormonal profiles is shown in Table 1, consistent with panhypopituitarism due to non-functional pituitary macro-adenoma with apoplexy. The decision for conservative management was opted for in keeping with the severity of the presentation. He improved and discharged 2days later on hydrocortisone and levothyroxine. However, a few days later he expressed a major concern of diminished libido and sexual dysfunction. At this point, Cabergoline 0.5mg orally twice weekly (off-label) was started with an improvement in his sexual functions within a few days, recovering his pituitary functions (off hormonal replacement). Follow-up MRIs (Figure 2) showed marked shrinkage of the macroadenoma which completely resolved in the most recent image (Figure 3) two years later.

Figure 1 Pituitary macroadenoma with a suprasellar extension

Figure 2 Marked shrinkage of the macroadenoma

Figure 3 After two years marked shrinkage of the macroadenoma

Results

See Table 1.

Hormone

On presentation

After 3months of cabergoline

Latest lab (2years later )

Reference ranges

Prolactin

2.86ug/L (Hook effect ruled out)

2.82ug/L

<0.6

3.4 to 17ug/L

Am cortisol

<27.6nmol/L

367nmol/L

452nmol/L (off cortisone)

ACTH

3.3

7.7pg/ml,

18

4.7 to 48pg/ml

FT4

8.2pmol/L

13.8pmol/L

13

9 to 19pmol/L

TSH

1.5mIU/L

1.6mIU/L

1.8

0.35 to 4.5mIU/L

Testosterone

<0.45nmol/L,

13.2nmol/L

14.3

5.4 to 30.4nmol/L

LH

0.14mIU/ml

1.6

1.1 to 8.7mIU/ml

FSH

8.9mIU/ml

1.8

0.9 to 11.9mIU/ml

IGF-1

251ng/mL

105

145

107-264 ng/mL

Table 1 Hormonal profiles.

Discussion

Non-functioning pituitary adenomas (NFPAs) are associated with impaired well-being, increased comorbidities and reduced long-term survival. Pituitary apoplexy (PA) is a rare endocrine emergency. Its prevalence among patients with NFPAs is reported to be 8 %.2 Patients may present with an intense headache, vision changes, signs of meningeal irritation and altered consciousness. Those symptoms occur due to hemorrhagic necrosis of the pituitary macroadenoma.3 About 80% of patients will have a deficiency of one or more anterior pituitary hormones at presentation and the acute onset of adrenal insufficiency can be lethal if it is unrecognized and untreated. The diagnosis of PA requires a high index of suspicion to facilitate immediate management with steroids and/ or surgical decompression. There were also reports of spontaneous clinical improvement and shrinkage of apoplectic pituitary adenomas.4 Dopamine agonists (DA) work on dopamine subtype 2 receptor which activates signaling cascades leading to adenylyl cyclase and phosphatidylinositol metabolism inhibition, potassium channel activation, and reduced L-type and T-type calcium currents.1 DA have also been used in pituitary tumors other than prolactinomas (off-label), as other tumors express dopamine 2 receptors in varying degrees. In patients with non-functioning pituitary adenomas, it was shown that DA lead to a 30% reduction in tumor size and stabilization of the disease in 58%.1 In a case series of 84 patients, 7 patients had a small decrease in the size of the non-functioning adenoma and this was due to coincident apoplexy in at least one patient. On the other hand 67 non-functioning adenomas showed no change in tumor size, one increased in size and 5 had worsening of vision implying an increase in tumor volume too small to be appreciated by CT.5 A rare but intriguing association between PA and DA therapy in prolactinomas is mentioned in few case reports.4 The relative contribution of the natural course of apoplexy cannot be overlooked in our patient but it is the temporal association of initiating DA and the very early improvement in his symptoms that make us believe that it is worth considering such an intervention, keeping in mind the relative safety and potential benefit of this class of medications in individuals with non-functioning pituitary macroadenoma, an entity with limited therapeutic options.

Conclusion

This case illustrates the temporal association of initiating DA and the very early improvement in clinical, biochemical and imaging studies which make us believe that it is worth considering such a treatment with this class of medications in individuals with non-functioning PA.

Acknowledgments

None.

Conflicts of interest

The authors declare that there is no conflict of interest.

Funding

None.

References

Creative Commons Attribution License

©2019 Abusaud, et al. This is an open access article distributed under the terms of the, which permits unrestricted use, distribution, and build upon your work non-commercially.