Submit manuscript...
eISSN: 2473-0815

Endocrinology & Metabolism International Journal

Research Article Volume 2 Issue 3

Progesterone receptor phosphorylation is associated to claudin 1and 6 expression and pregnancy success in art-treated women

Antonio de Jesús Paz-Martínez,1 Cecilia Elena Moreno-Barragán,1 Héctor Godoy-Morales,2 José Manuel Lozano-Sánchez,2 Emma Rodríguez,3 Teresa Imelda Fortoul,1 Luis Felipe Montaño ,1 Erika Patricia Rendón-Huerta1

1Department of Immunobiology Laboratory Cell and Tissue, UNAM, Mexico
1Department of Immunobiology Laboratory Cell and Tissue, UNAM, Mexico
1Department of Immunobiology Laboratory Cell and Tissue, UNAM, Mexico
2Department of Reproductive Biology, Hospital, Mexico
3Department of Physiology, Mexico
33Department of Physiology, Mexico

Correspondence:

Received: April 20, 2015 | Published: August 14, 2015

Citation: Paz-Martínez ADJ, Moreno-Barragán CE, Godoy-Morales H, et al. Progesterone receptor phosphorylation is associated to claudin 1and 6 expression and pregnancy success in art-treated women. Endocrinol Metab Int J. 2015;2(3):93-97. DOI: 10.15406/emij.2015.02.00020

Download PDF

Abstract

The success in infertility hormonal treatments and achieving a successful pregnancy is of great importance among infertile couples. Consequently the need to define new endometrial markers to evaluate the real impact of treatments is pressing. Since blastocyst implantation in a functional endometrium in the so-called "window of receptivity" is strongly associated to progesterone, our aim was to correlate the level of expression of progesterone-dependent claudins-1, -2, -3, -4, -5 and -6, αvβ3 integrin, LIF and progesterone receptor with pregnancy success in endometrial biopsies of primary infertile women. Endometrium was obtained during the secretory phase of the menstrual cycle from eight healthy and fertile women and 48 primary infertile women aged 30-47 years old being treated in the Infertility Clinic, Hospital "Angeles" del Pedregal, México.

Immunohistochemical analysis of the biopsies was performed with monoclonal and polyclonal antibodies reactive to claudins-1 to -6, LIF, αvβ3 integrin, progesterone receptor (PR) and its phosphorylated form (pPR). Sera obtained the same day of the biopsy were used to determine anti-Mullerian hormone concentration. The results showed that less claudin-1 and -6, LIF and integrin αvβ3 abundance together with pPR was associated with successful pregnancy in 20 of the women, the remaining 28 did not became pregnant but interestingly pPR could not be detected. In conclusion the examination of claudin-1 and -6 together with the phosphorylation of PR in the endometrial biopsies of infertile women under ART protocols will help predict greater successful pregnancy.

Keywords: claudin, integral lif, infertility, endometrial

Abbreviations

BMI, body mass index; PR, progesterone receptor; pPR, phosphorylated form; ART, assisted reproductive techniques; PBS, phosphate-buffered saline; DPP, detecting dots per point; BMI, body mass index

Introduction

The prevalence of infertility in Western countries couples is close to the 15% figure.1 Besides the classical causes of infertility: endometriosis, polycystic ovary syndrome, tubal patency failure and male infertility2,3 a wide array of disorders associated with endometrial receptivity and thus ineffective blastocyst implantation, are being considered

Blastocyst implantation requires a physiologically functional endometrium where cell-cell adhesion molecules and tight junction proteins, expressed in the epithelium, establish cell polarity and regulate epithelial differentiation4 so endometrial differentiation and gland development can be achieved.5 Tight junction proteins are clustered at cell-cell contact sites and form a complex network in association with cytoskeleton and cytosplamic proteins. They maintain the epithelial phenotype but also strengthen cell-cell adhesion, transfer signals between cells and serve as a physical barrier that regulate par cellular permeability.6,7 The main component of tight junctions is claudins that form the paracellular tight junction seal in epithelial tissues.8 Normal endometrium expresses claudin-1,-3,-4 and -59 and its expression is regulated by progesterone10 Claudin-4 is considered a mediator of embryo implantation since its mRNA increases during the early to mid-luteal transition11 but it has not been associated with infertility.

Infertility is associated to disrupt implantation-associated avb3 integrin gene3 and deficient endometrial expression of leukemia inhibitory factor, a cytokine released by uterine natural killer cells.12 Endometrial claudins, avb3 integrin-related gene and leukemia inhibitory factor, are regulated by progesterone.13-16 Therefore it is clear that embryo implantation in the so-called “window of receptivity” is strongly associated to progesterone and progesterone-dependent molecules.17,18 Antimullerian hormone concentration is considered as a “marker” for successful egg implantation as it is positively correlated with number of eggs retrieved but its value for predicting pregnancy after any given treatment cycle is poor. The success of the implantation process is also partially-dependent on the thickness of the endometrial19 and sildenafil citrate has been successfully used to increase endometrial thickness.20

The aim of our work was to correlate the establishment of pregnancy with the level of expression of claudins-1, -2, -3, -4, -5 and -6, avb3 integrin and LIF in endometrial biopsies obtained during the “window of receptivity” of primary infertile women being treated with sildenafil citrate and in vitro fertilization techniques.

Materials and methods

Patients and tissue collection

Patients and controls were women aged 19-48 years old attending the Infertility Clinic at the Hospital Angeles del Pedregal, México. A comprehensive medical history and physical assessment was performed for each patient. Their fertility status was determined by a successful pregnancy one or two years previous to the biopsy. Control endometrium tissue specimens were obtained from eight healthy and fertile women, during the secretory phase of the menstrual cycle, whereas those of the study group were obtained from 48 primary infertile women aged 30-47 years old. All the samples corresponded to endometria from the midsecretory phase (cycle day 17 and endometrium width of 10-12 mm as determined by echocardiogram). All women from the study group were subjected to the Clinic’ ovarian stimulation protocol and assisted reproductive techniques (ART) one month previous to embryo transfer.

Briefly, women received endometrial preparation for at least two cycles of estradiol 2 mg every 12 hs orally for 13 days. If the width of the endometrium was below 10 mm the dose increased to 2 mg every 6 hs. All the patients received aspirin 100 mg per day, folic acid 4 mg per day and sildenafil citrate (Taladafil) 10 mg every 72 hs, during the cycle. Four days previous to the embryo-transfer all the patients received 400 mg of progesterone twice a day. At the end of these cycles, if the patient failed to get pregnant, as determined by a negative quantitative pregnancy test (serum b-hCG < 1.2 UI/ml) 12 days after embryo transfer, a Mock cycle was performed. In the latter cycle an endometrium biops was taken on day 17th of the cycle before in vitro fertilization cycle or cycles was performed. An experienced gynecologist obtained the endometria tissue specimens and an experienced histopathologist dated the tissue sample. All tissue samples of this case-control study were obtained with the informed consent of the patients. All the women received embryos previously screened by blastomeric analysis before implantation.21 The Research and Ethics Committee of the Hospital Angeles del Pedregal, México, approved the study, which was conducted in accordance with international laws on procedures for human tissue handling of Helsinki declaration 1964.

Immunohistochemistry

Endometrial tissue specimens were fixed in neutral-buffered 4% ρ-formaldehyde at 4ºC overnight and were subsequently paraffin embedded. Before performing immunohistochemistry, sections of the tissues were stained with hematoxylin-eosin to corroborate the usefulness of the biopsy. Serial sections, 4-μm thick, were used for immunohistochemistry. Paraffin-embedded sections were dewaxed and rehydrated in decreasing concentrations of ethanol. Antigen retrieval was achieved by boiling the samples in 0.01M Citrate of Sodium, pH 6 for 2 min. The quenching of endogenous peroxidase was achieved by incubation with 0.3% hydrogen peroxide in distilled water for 30 min at room temperature. After washing with phosphate-buffered saline (PBS), the slides were incubated with 2% albumin solution for 2 hr at room temperature and extensively washed with PBS. The slides were incubated at 4°C in a humid chamber overnight with primary antibody diluted in Tris-buffered saline containing 1% bovine serum albumin.

The antibodies were Rabbit polyclonal anti-LIF and anti-claudin 1 (#GTX81609 and #GTX54539, respectively, dilution 1:50, Gene Tex, Inc. Irvine, CA), anti-claudin 2 and anti-claudin-5 (#51-6100 and #34-1600, dilution 1:50 and 1:75 respectively, Invitrogen, Camarillo, CA) and anti-phospho-progesterone receptor (Ser 190)(#3171, dilution 1:750, Cell Signaling Technology, Inc); Rabbit monoclonal anti-progesterone receptor A/B (#8757, dilution 1:500, Cell Signaling Technology, Inc.); Goat anti-claudin 3, anti-claudin 4, anti-claudin 6 (#sc-17660, #sc-17664 and #sc-17669, respectively, dilution 1:200, Santa Cruz Biotechnology, Inc.) and mouse monoclonal anti-integrin avb3 (#ab78289, dilution 1:150, Abcam, Cambridge, MA).

At the end of the incubation period, the samples were extensively washed in PBS and labeled with a second biotin-labeled specific antibody system for 2 h (dilution 1:200) (LSAB* System-HRP kit (DAKO North America Inc. Carpinteria, CA)), followed by a 30 min incubation with peroxidase-labeled streptavidin, also included in the DAKO kit. At the end and after extensive washing the reaction was revealed with DAB for 2 min, washed with PBS/Tween-20 and nuclei were counterstained with CAT Hematoxylin (Bio Care Med., Concord, CA). The slides were mounted using Golden Bridge Mount (#E01-100, GBI Labs, Bothell, WA) at room temperature and evaluated with a Nikon Eclipse E600 microscope equipped with a photographic camera. Photographs from three different fields per slide were taken and the number of positive cells was determined. The intensity of staining was determined by detecting dots per point (dpp) in the photographs using the image analysis software Image J. All the data was compiled and a database sheet was constructed. All the antibodies were initially titrated to determine the optimal working dilution.

Anti-mullerian hormone determination

The day the endometrial tissue specimen was obtained a 5 ml blood sample was also obtained with a vacutainer tube. After clotting for 30 min, the tubes were spun and serum was immediately aliquoted and stored in -70ºC freezers until use. A commercially available ELISA kit (Human MIS/AMH Duoset, R&D Systems, MN, USA) was used to determine Anti-Mullerian hormone concentration. Normal values are in the 0.7-3-ng/ml ranges.

Statistical analysis

The database was analyzed with the JMP v10 software (SAS, Cary, NC). Univariate analysis was used to evaluate the possible relation between integrin expression and pregnancy whereas a multivariate analysis was used to evaluate possible correlations between claudin expression and final procedure outcome; the later results were corroborated with a Spearman´s test. A p value < 0.05 was considered as statistical significant.

Results

The distinctive of the control and the study group is included in Table 1.

 

Pregnancy

No Pregnancy

P

(n = 5)

(n = 9)

Value

Age (years-old)

40.2 (5.36)

37 (4.27)

0.289

BMI (kg/m2)

23.5 (2.84)

24.8 (3.81)

0.456

Integrin (%)

6 (8.94)

37.78 (21.67)

0.020a

AMH (ng/ml)

0.29 (0.29)

1.92 (2.47)

0.178

Index

6.32 (8.84)

39.71 (21.03)

.001a

Table 1 Means and standard deviations of considered variables according to pregnancy status

a Correlation is significant at the 0.05 level (2-tailed).

Note: Values are expressed as mean (standard deviation); BMI, Body Mass Index; AMH, Anti Mullerian Hormone.

The infertile group was subdivided into those reaching a pregnancy and those who did not. There were no differences in Body Mass Index (BMI) and age of menarche between the infertile women group that did and did not reach pregnancy, the only difference between the infertile women and the control group was the age.

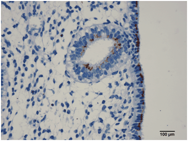
The immunohistochemical analysis of gland and stromal cells of the endometrium biopsies of control women showed claudin-6 expression in 55% of them, claudin-5 in 21%, claudin-1 in 18% and claudin-2 in 4%. Interestingly, 48% of the cells were positive for LIF expression but only 7% of the cells were positive for integrin avb3 expression (Figure 1).

Figure1 Representative Image of Endometrial Integrin Αvβ3 staining.

Claudin-3 and -4 was expressed in 29 and 34% of the cells, respectively.

Compared to control biopsies and contrary to the above-mentioned results the percentage of cells expressing claudin-6 in the endometrial biopsies of the experimental women who became pregnant showed a highly significant decrease (17% vs 55%, p < 0.01); the decrease in claudin-1 expression was also significant (6% vs 18%, p < 0.05). The percentage of cells that expressed claudin-2, -3 and -4 was almost identical to control biopsies. There was a significant increase in the percentage of cells that expressed claudin-5 (32% vs 21%, p < 0.05). The percentage of cells expressing LIF and integrin avb3 was significantly lower for both proteins (19% vs 48% and 2% vs 7%, respectively; p < 0.05 for both) (Figure 1). Figure 2 shows a representative image of the immunhistochemical stain of claudins, integrin and LIF in infertile women.

Figure 2 Box plots show median, interquartile range and extreme cases of individuals variables.

The percentage of positive immunostained cells differed sharply in the endometrial biopsies of the experimental women who did not become pregnant. Claudin-1, claudin-2 and claudin-6 expression was significantly higher in comparison to those of women who became pregnant (23% vs 6%, 12% vs 4% and 36% vs 17%, respectively, p < 0.01 for all). Claudin-3,-4 and -5 as well as LIF expression was slightly higher but the difference did not reach statistical significance. Unexpectedly, the percentage of cells expressing integrin avb3 was significantly higher (17% vs 2%, p < 0.01) (Figure 2).

A multivariate analysis of the outcome of the reproductive technique procedure versus the endometrial expression of the evaluated proteins showed a positive correlation between integrin avb3 and claudin-5 expression (p = 0.018) and claudin-6 with claudin-1 (p <0.0003) in the group that had a successful pregnancy. Integrin avb3 expression was significantly lower in non-pregnant women in comparison to pregnant women (p < 0.05). Other strong negative correlations in the non-pregnant group included claudin-6 vs claudin-5 (p = 0.0063), claudin-1 and LIF (p = 0.0409) and claudin-2 and LIF (p = 0.0012).

shows a representative image of the reactivity of the epithelia results. The final results of the ART procedure bear no relation to the epithelial reactivity. The great majority of biopsies showed immunostains that were considered as moderate. The serum concentration of anti-Mullerian hormone level is shown in Table 1. The serum hormone concentration was independent of the epithelial reactivity in relation to the expression of claudins or the outcome of the ART procedure. The difference in value between the women who got pregnant and those who did not, reach statistical significance but interestingly the mean value of the women who got pregnant was below 1 ng/ml value. Progesterone receptor expression was clearly identified in almost all the nuclei of the glands and stromal epithelial cells in the endometrial biopsies of infertile women who got pregnant. The biopsies of those women who failed to get pregnant were also positive but the stain was appreciably less intense. Interestingly, the phosphorylated form of the progesterone receptor was only observed in the biopsies of women who got pregnant (Figure 2).

Discussion

Human blastocyst implantation is a complex process that includes apposition and attachment of the blastocyst to the receptive endometrium and invasion of the trophoblastic cells into the endometrium.22,23 Different factors are involved in fertility success. Embryonic implantation is tightly regulated and excess body weight with its associated increase in adipokines, is significantly involved in the decline in the natural fertility of mammals.24 Our results showed that infertile women who did not get pregnant had a slight tendency to being overweight but the difference with the women who got pregnant and the controls was not statistically significant. Age is also a concern. Women in her late 30s and early 40s are at some disadvantage in terms of conception delay, ability to carry a chromosomally normal fetus until term and risk of trisomy conception.25 Our results showed that all the infertile women were in their late 30s but there were no differences in age-range between those who got pregnant and those who did not; the possible reasons include normal zona pellucida thickness of embryos26 or normal activation of the hedgehog signaling pathway.27 or simply that many of the maternal regulations which are impaired by age28 were not affected. Antimullerian hormone is positively correlated with number of eggs retrieved but its value for predicting pregnancy after any given treatment cycle is poor; low levels of AMH still can achieve reasonable treatment outcomes.29 Antimullerian hormone concentration in the control and the study group was within normal values considering the age range.30

Embryonic implantation is also associated with modifications in the endometrial expression of claudins in the different phases of the menstrual cycle but mainly at the peak of the “transplantation window”.9,31,32 The expression of claudin-1 and -5 is very low during the proliferative phase of a normal cycle in comparison with the secretory phase, but claudins-2, -3, -4 and -7 expression is almost identical.32 despite the fact that claudin-4 acts as molecular mediator of embryo implantation.33 Interestingly, progesterone, a key hormone in the “transplantation window” has been shown to induce claudin-1, -3, -4 and -7 expression in normal human endometrial epithelial cells and to down regulate the barrier function during the menstrual cycle. Our results in infertile women who became pregnant after the treatment showed a downregulated expression of claudin-1, -2 and 6, integrin avb3 and LIF in comparison with the endometrial biopsies of the infertile women who did not become pregnant. The down-regulation of claudins is clearly associated to modifications in ion and water interchange34 and it has been recently shown that steroid hormones-regulated ion/water channel proteins are important for embryo implantation.35 The expression of integrin avb3 was lower in women who became pregnant in comparison with those that did not. This result was somehow surprising but the crucial issue is ¿what is considered as an adequate integrin avb3 expressions?36 Interestingly the expression of LIF was also downregulated in infertile women who became pregnant. LIF might influence blastocyst attachment through STAT3 activation and expression of integrins37 but the expression of LIF is maximal only in decidualized stromal cells as a response to progesterone. Our study was performed in endometrial biopsies obtained one month prior to blastocyte implantation; therefore it is possible that the low integrin and LIF expression is representative of a normal endometrium. It is well known that LIF is produced at low levels in the endometrial stroma during the secretory phase of the menstrual cycle.38 Our results strongly suggest that an increased expression of integrin avb3 together with “normal” LIF expression in infertile women represent an abnormal endometrium.

The statistical analysis demonstrated a positive correlation between the decrease in integrin avb3 with increased claudin-5 expression and pregnancy. Our results also showed that claudin-5 expression was enhanced in infertile women who got pregnant. Claudin-5 is a critical component of endothelial thight junctions that control pericellular permeability. Estrogen diminishes claudin-5 expression and consequently the uterine cell permeability increases39 contributing to endometrial edema after the estrogen stimulation. Since Sidenafil citrate is known to improve the high radial artery-resistance index and endometrial thickness and prevent the increase of vascular permeability.40 It is highly possible that the increase in claudin-5 expression we observed in the endometrial biopsies of women who got pregnant is secondary to the sildenafil citrate treatment. Such an effect would mimic a “normal” endometrium paracellular milieu.

The expression of the molecules that we evaluated is regulated by progesterone.13-16 Interestingly, our results showed that infertile women who got pregnant overexpress progesterone receptor, in comparison with control biopsies and its phosphorylated form, thus priming the receptor for robust transcriptional activation in response to ligand.41 Endometrial biopsies from women who did not get pregnant expressed much less progesterone receptor, in comparison with control biopsies and failed to express the phosphorylated form of the receptor. The phosphorylation of the PR is secondary to binding with its ligand. It is possible that the amount of progesterone receptor in the infertile women who did not get pregnant is low because abnormal estrogen levels. It is also possible that the receptor is functionally and/or biologically abnormal.42,43

Summary

In summary, our results show that successful embryo implantation in infertile women undergoing ART is more directly related to the biological efficiency of the progesterone receptor that is crucial to support the over- or under-expression of claudin 5, LIF and integrin avb3 expression in the endometrial tissue. The expression of these molecules in the endometrium is essential for embryo implantation. Our results also state the need to define new endometrial markers to evaluate the real impact of hormonal treatments on pregnancy rates. The molecular definition of a “normal and receptive endometrium” is far from being delineated.

Acknowledgments

None.

Conflict of interest

The author declares there is no conflict of interest.

References

  1. Templeton A. Infertility and the establishment of pregnancy overview. Br Med Bull. 2000;56(3):577–587.
  2. Mikolajczyk M, Skrzypczak J. Endometrial receptivity can it be diagnosed and controlled? And why does it matter? Ginekol pol. 2014;85(2):149–153.
  3. Daftary GS, Troy PJ, Bagot CN, et al. Direct regulation of beta3-integrin subunit gene expression by HOXA10 in endometrial cells. Mol endocrinol. 2002;16(3):571–579.
  4. Donaghay M, Lessey BA. Uterine receptivity: alterations associated with benign gynecological disease. Semin reprod med. 2007;25(6):461–475.
  5. Reardon SN, King ML, MacLean JA, et al. CDH1 is essential for endometrial differentiation, gland development, and adult function in the mouse uterus. Biol reprod. 2012;86(5):141.
  6. Tsukita S, Furuse M. Identification of two distinct types of four-transmembrane domain proteins, occludin and claudins: towards new physiology in paracellular pathway. Seikagaku. 2000;72(3):155–162.
  7. Gumbiner BM. Breaking through the tight junction barrier. J cell biol. 1993;123(6 Pt 2):1631–1633.
  8. Gunzel D, Fromm M. Claudins and other tight junction proteins. Compr Physiol. 2012;2(3):1819–1852.
  9. Gaetje R, Holtrich U, Engels K, et al. Gynecological endocrinology: the official journal of the International Society of Gynecological Endocrinology. 2008;24(8):442–429.
  10. Someya M, Kojima T, Ogawa M, et al. Regulation of tight junctions by sex hormones in normal human endometrial epithelial cells and uterus cancer cell line Sawano. Cell tissue Res. 2013;354(2):481–494.
  11. Carson DD, Lagow E, Thathiah A, Al-Shami R, Farach-Carson MC, et al. (2002) Changes in gene expression during the early to mid-luteal (receptive phase) transition in human endometrium detected by high-density microarray screening. Mol Hum Reprod 8(9): 871–879.
  12. Hambartsoumian E. Endometrial leukemia inhibitory factor (LIF) as a possible cause of unexplained infertility and multiple failures of implantation. Am J Reprod Immunol. 1998;39(2):137–143.
  13. Hambartsoumian E, Taupin JL, Moreau JF, et al. In-vivo administration of progesterone inhibits the secretion of endometrial leukaemia inhibitory factor in vitro. Mol Hum Reprod. 1998;4(11):1039–1044.
  14. Henderson TA, Saunders PT, Moffett-King A, et al. Steroid receptor expression in uterine natural killer cells. J Clin Endocrinol Metab. 2003;88(1):440–449.
  15. Verma S, Hiby SE, Loke YW, et al. Human decidual natural killer cells express the receptor for and respond to the cytokine interleukin 15. Biol of Reprod. 2001;62(4):959–968.
  16. Dunn CL, Critchley HO, Kelly RW. IL-15 regulation in human endometrial stromal cells. J Clin Endocrinol Metab. 2002;87(4):1898–1901.
  17. Vasquez YM, DeMayo FJ. Role of nuclear receptors in blastocyst implantation. Semin Cell Dev Biol. 2013;24(10-12):724–735.
  18. Baulieu EE. Contragestion and other clinical applications of RU 486, an antiprogesterone at the receptor. Science. 1989;245(4924):1351–1357.
  19. Check JH. The importance of sonographic endometrial parameters in influencing success following embryo transfer in the modern era and therapeutic options--part 1: the importance of late proliferative phase endometrial thickness. Clin Exp Obstet Gynecol. 2011;38(3):197–200.
  20. Takasaki A, Tamura H, Miwa I, et al. Endometrial growth and uterine blood flow: a pilot study for improving endometrial thickness in the patients with a thin endometrium. Fertil steril. 2010;93(6):1851–1858.
  21. Munro CL, Pickler RH. The technology and use of blastomere analysis. J Obstet Gynecol Neonatal Nurs. 1994;23(3):229–234.
  22. Aplin JD, Jones CJ, Harris LK. Adhesion molecules in human trophoblast - a review. I. Villous trophoblast. Placenta. 2009;30(4): 293–298.
  23. Harris LK, Jones CJ, Aplin JD. Adhesion molecules in human trophoblast - a review. II. extravillous trophoblast. 2009;30(4):299–304.
  24. Mircea CN, Lujan ME, Pierson RA. Metabolic fuel and clinical implications for female reproduction. J Obstet Gynaecol Can. 2007;29(11):887–902.
  25. Gindoff PR, Jewelewicz R. Reproductive potential in the older woman. Fertil Steril. 1986;46(6):989–1001.
  26. Balakier H, Sojecki A, Motamedi G, et al. Is the zona pellucida thickness of human embryos influenced by women's age and hormonal levels? Fertil Steril. 2012;98(1):77–83.
  27. Migone FF, Ren Y, Cowan RG, et al. Dominant activation of the hedgehog signaling pathway alters development of the female reproductive tract. 2012;50(1):28–40.
  28. Menezo YJ. Paternal and maternal factors in preimplantation embryogenesis: interaction with the biochemical environment. Reprod Biomed Online. 2006;12(5):616–621.
  29. Reichman DE, Goldschlag D, Rosenwaks Z. Value of antimullerian hormone as a prognostic indicator of in vitro fertilization outcome. Fertil Steril. 2014;101(4):1012–1018.
  30. de Vet A, Laven JS, de Jong FH, et al. Antimullerian hormone serum levels: a putative marker for ovarian aging. Fertil Steril. 2002;77(2):357–362.
  31. Mikolajczyk M, Wirstlein P, Skrzypczak J. Aberrant claudin-4 transcript levels in eutopic endometrium of women with idiopathic infertility and minimal endometriosis. Ginekol Pol. 2013;84(2):90–94.
  32. Sobel G, Nemeth J, Kiss A, et al. Claudin 1 differentiates endometrioid and serous papillary endometrial adenocarcinoma. Gynecol 2006;103(2):591–598.
  33. Serafini PC, Silva ID, Smith GD, et al. Endometrial claudin-4 and leukemia inhibitory factor are associated with assisted reproduction outcome. Reprod Biol Endocrinol. 2009;7:30.
  34. Hou J. A connected tale of claudins from the renal duct to the sensory system. Tissue barriers. 2013;1(3):e24968.
  35. Liu XM, Zhang D, Wang TT, et al. Ion/water channels for embryo implantation barrier. Physiology (Bethesda). 2014;29(3):186–195.
  36. Lessey BA, Damjanovich L, Coutifaris C, et al. Integrin adhesion molecules in the human endometrium. Correlation with the normal and abnormal menstrual cycle. J Clin Invest. 1992;90(1):188–195.
  37. Dimitriadis E, Menkhorst E, Salamonsen LA, et al. Review: LIF and IL11 in trophoblast-endometrial interactions during the establishment of pregnancy. Placenta. 2010;Suppl:S99–S104.
  38. Marwood M, Visser K, Salamonsen LA, et al. Interleukin-11 and leukemia inhibitory factor regulate the adhesion of endometrial epithelial cells: implications in fertility regulation. 2009;150(6):2915–2923.
  39. Hata M, Yamanegi K, Yamada N, et al. Estrogen decreases the expression of claudin-5 in vascular endothelial cells in the murine uterus. Endocr J. 2014;61(7):705–715.
  40. Silvera FE, Blasina MF, Vaamonde L, et al. Sildenafil prevents the increase of extravascular lung water and pulmonary hypertension after meconium aspiration in newborn piglets. Braz J Med Biol Res. 2011; 44(8):778–785.
  41. Hagan CR, Daniel AR, Dressing GE, et al. Role of phosphorylation in progesterone receptor signaling and specificity. Mol Cell 2013;357(1-2):43–49.
  42. Wetendorf M, DeMayo FJ. Progesterone receptor signaling in the initiation of pregnancy and preservation of a healthy uterus. Int J Dev Biol. 2014;58(2-4):95–106.
  43. Franco HL, Jeong JW, Tsai SY, et al. In vivo analysis of progesterone receptor action in the uterus during embryo implantation. Semin Cell Dev Biol. 2008;19(2):178–186.
Creative Commons Attribution License

©2015 Paz-Martínez, et al. This is an open access article distributed under the terms of the, which permits unrestricted use, distribution, and build upon your work non-commercially.