Submit manuscript...
eISSN: 2473-0815

Endocrinology & Metabolism International Journal

Mini Review Volume 6 Issue 6

Insulinoma unmasked by bariatric surgery 

Mohammed H Alqambar, Abdulaziz AlWosaibei, Jamal Al Saeed, Wadei Elhakimi, Osama AlSaif, Mohamed Elsammak, Hisham Musleh

Department of Medicine, Endocrinology section, King Fahd Specialist Hospital, Saudi Arabia

Correspondence: Mohammed H Alqambar, Endocrinologist, King Fahad Specialist Hospital, Po Box 13788 Tarout 31911, Saudi Arabia, Tel +966 549 130 551

Received: October 18, 2018 | Published: November 13, 2018

Citation: AlQambars MH, AlWosaibei A, AlSaeed J, et al. Insulinoma unmasked by bariatric surgery. Endocrinol Metab Int J. 2018;6(6):356-357. DOI: 10.15406/emij.2018.06.00211

Download PDF

Abstract

Background: Hypoglycemia is a known complication of bariatric surgery and has been attributed to several mechanisms. A possible mechanism is hyperinsulinism due to islet cell hyperplasia (nesidioblastosis), and very rarely caused by insulinoma.

Clinical case: A 42-year-old morbidly obese man underwent biliopancreatic diversion, and after losing twenty kilograms of body weight four months later, he started to experience repeated episodes of severe hypoglycemia that were almost always induced by fasting; a blood sugar level as low as 1.6 mmol/liter was confirmed with a history of several episodes of loss of consciousness.

Laboratory workup revealed the following: fasting blood sugar 2 mmol/liter (NL 3.9-6.1), insulin 157 pmol/liter (NL 43-193), C-Peptide 2521 pm/liter (NL 260-1390), proinsulin 1100 pmol/liter (NL 3-20). Screenings for serum sulfonylurea and meglitinides were negative. Based on the findings, we confirmed that the hypoglycemia was caused by inappropriate over secretion of endogenous insulin. A CT scan of the abdomen was performed and showed a 2 x 1.6 cm tumor at the body of the pancreas. The mass was resected laparoscopically, and the patient’s blood sugar subsequently normalized. He remained euglycemic for four years until the date of writing this report.

Conclusion: We report a very rare case of insulinoma that was unmasked by biliopancreatic diversion.

Introduction

With the tremendous increase in the rate of obesity, which is now considered an epidemic, the only durable form of management is surgical intervention what it is known as bariatric surgery.

Despite the favorable effects of bariatric surgery on obesity-associated morbidity and overall mortality,1 there has been mounting concern about severe hypoglycemia associated with this procedure. Hypoglycemia is a known complication of bariatric surgery and is attributed to several mechanisms, including hyperinsulinism due to islet cell hyperplasia but not insulinoma.2

We are reporting a case of insulinoma unmasked by bariatric surgery. To our knowledge there are only a few reported cases in the literature of confirmed insulinoma discovered after bariatric surgery.3–5

Clinical case

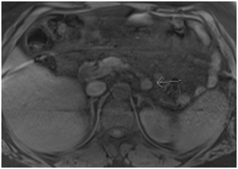
Our patient is a 42-year old morbidly obese man who underwent biliopancreatic diversion, and after losing twenty kilograms of body weight four months later, he started to have repeated episodes of severe hypoglycemia almost always induced by fasting with confirmed low blood sugar levels as low as 1.6 mmol/liter (NL 3.9–6.1) with a history of loss of consciousness several times. Two weeks before he underwent management, his hypoglycemia was persistent and he needed to be admitted to the hospital. He received continuous intravenous 10% dextrose to maintain his blood sugar just above 4 mmol/liter. His physical examination was unremarkable apart from morbid obesity with a BMI of 51 kg/m2. His laboratory workup after stopping his intravenous dextrose for five minutes showed the following: blood sugar 2 mmol/liter (NL 3.9-6.1), insulin 157 pmol/liter (NL 43-193), C-Peptide 2521 pm/liter (NL 260-1390), proinsulin 1100 pmol/liter (NL 3-20). Screenings for serum sulfonylurea and meglitinides were negative. His remaining blood work included the following: AM cortisol 282 nmol/liter (NL 138-635) and kidney and liver function tests were all within normal limits. Based on these findings, we confirmed that the hypoglycemia was caused by inappropriate over secretion of endogenous insulin, and a MRI of the abdomen was performed (Figure 1), which showed a 2x1.6 cm tumor at the body of the pancreas. The patient underwent a laparoscopic partial pancreatectomy and his blood sugar normalized within minutes postoperatively. The pathological examination of the tumor revealed a 1.5 cm low grade islet cell neoplasm consistent with insulinoma (Figure 2).

The patient remained euglycemic for 4 years after surgery until the time of writing this report.

Figure 1 MRI: tumor at the body of pancreas.

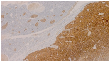
Figure 2 Synaptophysin stain in tumor cells and islets.

Discussion

In particular instances, patients who have undergone bariatric surgery experience postprandial symptoms related to dysglycemia, and several mechanisms have been described. Dumping syndrome is probably the most prevalent problem; the patient usually feels diaphoresis, weakness, dizziness, and flushing while infrequently experiencing neuroglycopenia. Another etiology is islet cell hyperplasia (nesidioblastosis) in which glucose levels can significantly drop and patients commonly present with neuroglycopenic symptoms including cognitive impairment, behavioral changes, confusion, seizures and even coma. The pathogenesis of nesidioblastosis in patients who have undergone gastric bypass surgery is still unclear. A theoretical possibility is that in obese persons with insulin resistance, adaptive beta-cell hypertrophy develops and causes hypoglycemia after insulin sensitivity is improved by the surgically induced weight loss. Service et al. argued against this idea as a mechanism by showing that the islets in obese control subjects without gastric bypass are of normal size.4 Moreover, there is no association between non–surgically induced weight loss and endogenous hypoglycemia or nesidioblastosis. Cummings et al. hypothesized that an increase in glucagon-like peptide-1 (GLP-1) concentration may be responsible for the islet cell expansion6 and this mechanism explains why 40% of patients who had nesidioblastosis had undergone gastric bypass surgery.7 It is very uncommon to have an insulinoma manifest after bariatric surgery, and only very few cases have been reported in the literature. Our patient started to have symptoms of hypoglycemia 4 months post-surgery, which is too early for nesidioblastosis to develop, and it typically causes postprandial rather than fasting hypoglycemia. We hypothesize that the severe insulin resistance due to morbid obesity was compensating for hyperinsulinemia before surgery, which protected him from having any hypoglycemic symptoms. After losing a remarkable amount of weight postoperatively, insulin sensitivity improved and he started to experience progressive hypoglycemic symptoms.

Conclusion

We report a very rare case of insulinoma that was unmasked by biliopancreatic diversion, and we believe such an etiology should be considered in the workup of post-bariatric hypoglycemia.

Acknowledgements

None.

Conflict of interest

The author declares there is no conflict of interest

References

Creative Commons Attribution License

©2018 AlQambars, et al. This is an open access article distributed under the terms of the, which permits unrestricted use, distribution, and build upon your work non-commercially.