Submit manuscript...
eISSN: 2473-0815

Endocrinology & Metabolism International Journal

Case Report Volume 6 Issue 3

Identification of a novel MEN1 gene mutation in Saudi Arabian patient with multiple endocrine tumors

Hanan Alshammari,1 Jamal Alsaeed,2 Walid Dridi,3 Zaid Al Hamdani1

1King Fahad Specialist Hospital Dammam, Saudi Arabia
2Adult Endocrine Consultant, King Fahad Specialist Hospital Dammam, Saudi Arabia
3Genetic Consultant, King Fahad Specialist Hospital Dammam, Saudi Arabia

Correspondence: Hanan Alshammari, King Fahad Specialist Hospital–Dammam, Saudi Arabia-Ammar Bin Thabit St, Al MuraikabatØŒ Al Muraikabat, Dammam 32253, Saudi Arabia, Tel +966-504994150

Received: February 08, 2018 | Published: June 11, 2018

Citation: Alshammari H, Alsaeed J, Dridi W. Identification of a novel MEN1 gene mutation in Saudi Arabian patient with multiple endocrine tumors. Endocrinol Metab Int J. 2018;6(3):223-225. DOI: 10.15406/emij.2018.06.00179

Download PDF

Abstract

Objective: To describe the diagnosis of an index MEN1 case with a novel mutation.

Methods: We present the clinical, laboratory, exam, and imaging findings, along with a review of the literature.

Results: A 28-year-old Saudi male presenting with 2 years history of recurrent symptomatic hypoglycemia.

Further workup confirmed the clinical and biochemical diagnosis of consistent with MEN1 and genetic testing proved this to be a novel mutation in the gene.

Conclusion: This case describes a novel mutation in the MEN1 gene raises the discussion if there will ever be a genotype-phenotype association as in other MEN syndromes.

Keywords: patient, tumors, syndromes, MEN1, phenotypic, skin, hypoglycemia, insulin

Introduction

MEN1 syndrome clinical symptomatology is extremely heterogeneous. This important heterogeneity can be explained, to some extent, by the 1300 mutations identified to date in the MEN1 gene1 Genotype-phenotype correlation is quite complex. A family can share the same MEN1 gene mutation and have important discrepancies at the phenotypic level.2 This huge genotype-phenotype variability can affect also identical twins.3,4 MEN1 gene is located on 11q13 and defined as a tumor suppressor gene.5

Our patient was diagnosed for a large insulinoma 5 cm, asymptomatic hyperparathyroidism and found to have diffuse skin tags and acanthosis nigricans. Molecular MEN1 gene sequencing revealed, so far in our knowledge, new heterozygous variant c.1049+2T>A.

Case report

This is 25- year-old male, who was referred to the endocrine clinic in September 2015 with 2 years history of frequent and severe episodes of hypoglycemia. This was accompanied with history of with episodes of loss of consciousness, significant weight gain (45kg) but no other complaints and insignificant past medical, surgical and family history.

Also, the patient noticed appearance of skin tags on his skin, especially over underarm and lower abdominal area, with darkening of skin color in similar skin tags distribution. No history of renal stones or bone fractures.

Physical examination: morbid obese, BMI 50 , extensive acanthosis nigran over neck both sides, under arms, lower abdominal And diffuse skin tags in under arms, lower abdomen (Figure 1A & B).

  • A                                                       B

    Figure 1A & B multiple skin tags over lower abdomen area.

Clinical course

Patient has been admitted, he received intravenous fluid dextrose overcome the sever asymptomatic hypoglycemia. The biochemical diagnosis of insulinoma was secured followed by localization (Table 1).

Lab

Result

Reference range

Fasting blood glucose

36mg/dl

70 - 100mg/dl

Insulin

182.7pmol/L

43-193pmol/L

C-peptide

1578pmol/L

260-1390pmol/L

Proinsulin, P

100pmol/L

3-20pmol/L

Hypoglycemic agent screen(sulfonylurea)

Negative

Hba1c

3.60%

Phosphor

0.9mmol/L

 0.8-1.5mmol/L

Corrected calcium

2.74mmol/L

2.20-2.60mmol/L

25 vitamin D

7.8nmol/L

30-100nmol/L

PTH

262pg/ ml

 5-68pg/ ml

Table 1 Labs results

localization workup

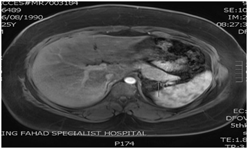
MR abdomen with contrast

Surgery team has been consulted the patient underwent successful subtotal pancreatectomy and splenectomy. Postoperatively, blood sugar started to raise, intravenous insulin infusion initiated then shifted to subcutaneous insulin (glargine with pre-meals Aspart) for few days. After 10 days, post-surgery, the patient was discharged home with stable condition without insulin nor oral medication.

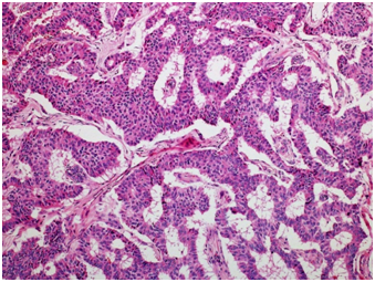
Histopathology report of pancreatic surgery was: well differentiated neuroendocrine tumor, Grade2 (Figure 3). Based on this report, Molecular genetics MEN1 gene sequencing was requested. A novel mutation was identified: heterozygous c.1049+2T>A variant.

Figure 3 focal mass like lesion in the body of the pancreas with ill-defined outline (size5cm x 3.2cm).

After five months from pancreatic surgery, Patient has been admitted electively after primary hyper parathyrodism localization imaging (Figure 4), to undergo total 4 glands parathyroidectomy and thymoctomy, with half parathyroid gland re implantation in the lower sternothyroid muscle, intraoperative PTH dropped from 236 to 15.5pg/ml, about 90% reduction, post procedure. It was without complication. Follow up Pathology report revealed4 glands hyperplasia.

Figure 4 NM parathyroid (with Sestamibi)

Figure 5 scintigraphic evidence suggestive of hyper functioning left lower parathyroid gland.

After 2 year from the patient first endocrine clinic visit, patient is in stable condition, not requiring any medical therapy or emergency room visit for endocrine cause and he lost weight of 40Kg. We offer the patient family members genetic screening.

Discussion

The sporadic form of MEN1, where only the index person is identified in a previously unaffected family, is observed much less frequently (10% of cases) than the familial form (90% of cases), However, the distinction between sporadic and familial cases is not always easy.1

It is well accepted that the correlation between MEN1 mutation location along the gene or the type of mutation and clinical manifestations is highly difficult.1 In this reported case a new heterozygous variant c.1049+2T>A affecting donor slice site of exon 8. Based on silico analysis this new variant is most likely pathogenic.

Conclusion

This case describes a novel mutation in the MEN1 gene raises the discussion if there will ever be a genotype-phenotype association as in other MEN syndromes.6

Acknowledgments

None.

Conflict of interests

Author declares there is no conflict of interest.

References

Creative Commons Attribution License

©2018 Alshammari, et al. This is an open access article distributed under the terms of the, which permits unrestricted use, distribution, and build upon your work non-commercially.