Submit manuscript...
eISSN: 2473-0815

Endocrinology & Metabolism International Journal

Case Report Volume 12 Issue 4

Case Report: Headaches and Hormonal Disruptions

Saadi JS AlJadir

Ministry of Higher Education, Iraq

Correspondence: Saadi JS AlJadir, Ministry of Higher Education, Iraq

Received: September 25, 2024 | Published: October 14, 2024

Citation: Saadi JS AlJadir. Case Report: Headaches and Hormonal Disruptions. Endocrinol Metab Int J. 2024;12(4):101-107 DOI: 10.15406/emij.2024.12.00355

Download PDF

Abstract

Craniopharyngiomas are rare, relatively benign, and slow-growing tumors that arise near the pituitary gland and hypothalamus and in the vicinity of the center of the brain. Therefore, the tumor is usually discovered to be big enough to cause presenting symptoms, including headaches, vomiting, and visual problems.  Variable hormone deficiencies that lead to poor growth or absent puberty might also be found in children and adolescents, while in adults, such as thyroid underactivity, adrenal crises, gonadotropin deficiency, and diabetes insipidus. Although patients with craniopharyngioma have an excellent survival rate, this tumor’s tendency to adhere to important parts of the brain renders complete resection unattainable and, therefore, leads invariably to tumor recurrence. Thus, patients with this type of tumor must undergo regular, appropriate imaging, by MRI or CT scan. Craniopharyngiomas develop in around 0.5 to 2 per million individuals each year and the neoplasm has a commonly dual peak of age distribution, with the highest rate in 5 to 14 years and another wave in adults between 50 and 74 years of age accounting for 1% to 3% of all brain tumors. There are no gender differences, but racial differences are noted.1 The case reported here was a middle-aged lady who had presented with the common presenting symptom, which is a headache, associated with vomiting and variable hormonal disturbances. Treatment options include surgery, radiation, or both; hence, our patient had been subsequently submitted to neurosurgical intervention with preoperative and postoperative hormonal assessment and management. More than one specialty is required for the management of this neoplasm; a team of endocrinologists, ophthalmologists, neurosurgeons, and psychologists might be needed to improve the quality of the patient’s life.

Abbreviations

CP; Craniopharyngioma, MRI; Magnetic Resonance imaging, MRA; Magnetic Resonance Angiography, CT; CAT-Scan, GH; Growth Hormone, DHEAS; Dehydroepiandrosterone sulphate, TSH; Thyroid Stimulating Hormone

Introduction

Craniopharyngiomas are rare, benign tumors of the central nervous system. They are epithelial tumors that invariably arise in the suprasellar area of the brain, ascending to involve the hypothalamus, optic chiasm, cranial nerves, third ventricle, and major blood vessels (Figure 1a&1b).

It might present with a wide variety of symptoms, from headaches, nausea, and vomiting to visual and endocrine disturbances. It creates appreciable challenges for the treating physicians. Curative surgeries are generally unattainable and complicated due to their location and infiltration into the vicinity of surrounding structures. Furthermore, the quality of life is generally jeopardized due to the development of multiple complications: panhypopituitarism, visual problems, obesity, and mental disorders (Figure 1a). 2–4

Figure 1 A craniopharyngioma (yellow brown) sitting at the base of the skull on top of the pituitary gland. A characteristic cystic component extends toward the middle of the brain. (Courtesy of Aaron Cohn-gadol.com and neurosurgicalatlas.com).

WHO has considered craniopharyngioma a grade I neoplasm. There are two histopathological varieties: Adamantinomatous and papillary. The first one most commonly occurs in children, while the second is more common in adults. Adamantinomatous craniopharyngiomas arise from cells from an embryologic structure called the craniopharyngeal duct (Rathke’s pouch). They can be solid or cystic structures filled with dark brown to black fluid and are often calcified. Papillary craniopharyngiomas are rarer and arise from cells of the anterior part of the pituitary gland. They are generally well-defined and can also be solid or cystic, although they are filled with yellow and viscous fluid. They rarely calcify. However, the clinical manifestations of both types are largely similar. As craniopharyngiomas are rare tumors, they are characterized by atypical and non-specific symptoms; usually, they are diagnosed years after the appearance of symptoms. An early diagnosis is favorable, as it can greatly improve the quality of life of affected individuals and reduce the risk of permanent hormonal derangements and long-lasting complications. Craniopharyngiomas currently do not have either a well-documented etiology or associated risk factors. Researchers believe that craniopharyngiomas might arise from the abnormal development of cells that form parts of the pituitary gland in the growing fetus. Moreover, few cases had been reported running in families5,6

Historical glance at the Neoplasm

Craniopharyngioma is one of the most challenging neoplasms and was first described by Friedrich Albert von Zenker in 1857. Jakob Erdheim (Austrian pathologist) was the first to precisely describe the histopathological characteristics. The current name had been used in 1932 by Harvey Cushing. Babinski described the clinical presentation of children with sexual infantilism and dystrophic adiposity. A. E. Halstead of Chicago performed the first successful surgical resection of the tumor on July 21st, 1909. Harvey Cushing entertained the transsphenoidal approach for most pituitary operations but preferred the transcranial approach for craniopharyngiomas. A great improvement in successful surgical management was achieved after discovering antibiotics, corticosteroids, and microscopy.

Over time and with technological advances, transcranial and transsphenoidal routes were entertained according to tumor features. The introduction of more adjuvant modalities, like stereotactic radiosurgery, radioisotope brachytherapy, and intracystic chemotherapy (e.g., bleomycin, interferon α), has improved tumor resection, decreased the chance of recurrence, and reduced complications.7

Epidemiology

Craniopharyngioma has an incidence of 0.5 to 2 cases per million persons per year. Generally, it is considered primarily a childhood neoplasm; however, it can be detected at any age. And there is an appreciable number of cases that are diagnosed in adults. It has two distribution waves: 5–14 and the other one between 50 and 74 years of age. There is no gender, ethnic, or geographical distribution difference in the incidence of the neoplasm. Craniopharyngioma has long been recognized as having a high recurrence, and in some series, it has been estimated to be as much as 50%. Despite having good survival rates, however, it carries similar rates of morbidity throughout most of the patient’s series. 8,9

History & clinical course

Craniopharyngiomas are recognized as having insidious onset, and this critical reason could be attributed to the delay in the early detection and diagnosis, usually made after the eruption of pressure symptoms. The pressure symptoms are exclusively attributed to 1) CSF flow obstruction resulting in raised intracranial pressure or 2) direct pressure thereby resulting in damage to the pituitary gland and adjacent optic apparatus in the vicinity. There is often 1-2 years from the onset of symptoms and diagnosis.2–4

Symptoms are varied; they might be few or clusters, and the following are the recognized symptoms in many patients:

  1. Headaches are the most common (reported in more than 50% of cases) with or without associated symptoms, nausea, or vomiting. It might be due to a mass effect or secondary hydrocephalus by obstruction of CSF foramina, or less likely, it might be attributed to meningeal irritation.
  2. Endocrine disruption (reported in 40-87% of cases); hypothyroidism, orthostatic hypotension, short stature, diabetes insipidus, sexual problems (impotence is the most common in men, while amenorrhea in women), or hyper function; precious puberty in children or obesity in adult patients
  3. Visual problems (reported in 62–84%) ranging from homonymous hemianopia, bitemporal, scotoma, papilledema, and optic atrophy.
  4. Sleep disturbances, from hypersomnia and insomnia.
  5. Behavioral and intellectual changes
  6. Appetite and weight variations; obesity

Aetiology

There are two histological varieties of craniopharyngiomas: a) the adamantinomatous tumors, the type that usually occurs in children, whereby the structures mimic enamel and therefore form neoplasms in the oropharynx and b) the squamous papillary form, mostly seen in adults. Therefore, according to the histology of the neoplasm, the characteristic location of these tumors in the sellar and parasellar regions will lead us to limit the etiology into two theories.

The embryogenetic theory

This suggests that the adamantinomatous type arises from epithelial remnants of the craniopharyngeal duct or Rathke's pouch. The duct and pouch were derived from the stomodeum (the primitive oral cavity), which forms preliminary teeth and related structures.

The metaplastic theory

The squamous papillary type, which is mainly seen in adults, might occur because of metaplasia of squamous epithelial cells, which are remnants of the buccal mucosa of the stomodeum. These remnants can undergo metaplasia and form squamous cell nests, which might undergo more proliferation and later lead to this kind of neoplasm. Somatic mutation in BRAF has been associated with this neoplasm. BRAF activates the mitogen-activated protein kinase (MAPK) pathways, which are usually amplified in the neoplastic process. Another presumptive mechanism in etiology is the involvement of beta-catenin, which is known as a transcriptional activator of the Wnt signaling pathway, which plays a critical role in embryogenesis and neoplastic potential.5,6,10

Diagnostic methods

The diagnosis of a patient with craniopharyngioma is based exclusively on clinical (neurologic and endocrine) and radiological findings by appropriate imaging techniques, and ultimately the postoperative specimen by histopathological examination.11–14

Imaging

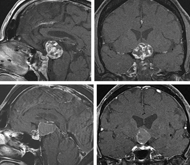
The well-recognized topography of a craniopharyngioma is of either seller or para-seller partially solid mass, cystic, or calcified mass (Figure 2).

These tumors are in:

  1. Suprasellar (75%),
  2. Supra and infrasellar (20%)
  3. And infrasellar (5%) regions.

The suprasellar-located tumors are considered further according to their relation to adjacent structures like; the third ventricle or the optic chiasm.

A CT scan can show calcification better than other imaging, while MRI can appreciably delineate the extent of the tumor and its relation to the hypothalamus and adjacent structures, therefore, it is sound imaging preoperatively; moreover, MRA can differentiate the tumor mass from vascular malformations like aneurysm (Figure 2).15,16

Figure 2 (MRI images from the web for demonstration): Above is mostly solid CP, and the bottom is partially cystic CP. Courtesy of Aaron Cohn-gadol.com and neurosurgicalatlas.com.

Endocrine assessment

Of the utmost importance is the hormonal assessment and consequently should manage the specific endocrine abnormality in pre-operative and post-operative stages. These include the hormones that comprise the hypothalamic-pituitary axis, which are growth hormone, IGF-1, thyroid stimulating hormone, Free T4, luteinizing, and follicle-stimulating hormone, testosterone (males), estradiol (females), prolactin, Fasting serum cortisol, ACTH, serum sodium measurement of serum and urine specific gravity and osmolality (if diabetes insipidus is suspected). Of note, dynamic testing by synacthen stimulation might be done if morning cortisol is indeterminate.17

Case history

Clinical presentation

  1. A.M., a middle-aged 48-year-old Emarati National, Multipara lady, presented to the Medical Unit in January 2008 with an intense diffuse headache.
  2. This headache has been present for the last 5 years and comes in bouts, occasionally with vomiting but with no visual disturbances.
  3. She had been admitted with a migrainous or vascular headache for evaluation and management.
  4. Case Record
  5. Middle-aged lady with 10 years of H/O type 2 diabetes
  6. 5 years of headaches that had been described as dull, continuous, and strikingly increasing in severity and frequency over time.
  7. Lethargy and lack of energy and concentration.
  8. She had amenorrhea since she was 32 or 33 years old.
  9. Vital signs: overweight pleasant lady; BMI 29.5, WC 44.2 inches, BP 142/94, PR 68 regular; mildly distressed; chest clinically clear.
  10. Fundoscopy showed no papilledema, slight pallor of the temporal side, and some background retinopathy.
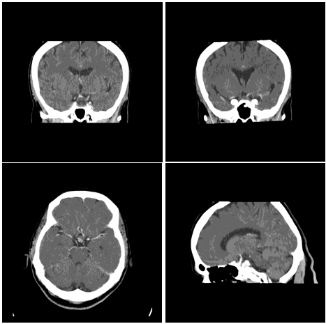
  11. Urgent CT-Scan 30.01.08 (Figure 3).
  12. Normal ventricular system, no shift of midline structures…
  13. A ring of calcification is seen in the suprasellar region which looks like part of a hypodense lesion extending to Sella
  14. ? Supra sellar aneurysm
  15. ? Pituitary Tumor
  16. CT with contrast is advised (Figure 3).

Figure 3

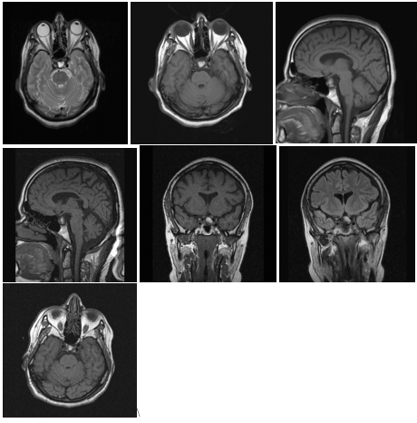
MRI of the pituitary 05.02 (Figure 4).

  • The study shows the already identified lesion extending from the pituitary fossa superiorly compressing the pituitary gland anteriorly, inferiorly, and posteriorly
  • 47cm X 1.67 cm in size
  • The optic chiasm is displaced superiorly.
  • The lesion abuts the right Internal carotid artery.
  • The lesion is of smooth outline hyper intense in signal with a small soft tissue component isointense in all sequences…

Conclusion

The imaging findings are those of Craniopharyngioma (Figure 4).     

Figure 4

Blood Tests

  • CBC showed mild normochromic normocytic anemia, normal WBCs, and adequate platelets…
  • ESR 59 mm/hr.

Blood Chemistry

  • Na 135 mmol/L (136-146)
  • K 3.7 mmo/L (3.5-3.10)
  • CL 101mmol/L (95-115)
  • HCO3 26 (23.0-30.0)
  • B Urea 3.2 mmol/L (2.5-6.7)
  • Creatinine 72mmol/L (8.8-124)
  • Blood Glucose 6.6 (3.9-6.1), on Metformin 2g /D plus Basal Insulin
  • Normal Liver Function Test, ALT, AST Alk Phosphatase & Bilirubin
  • Lipid profiles: TG 189 mg (2.14 mmol/L), LDL 86mg (2.23 mmol/L), HDL 42 (1.09 mmol/L), VLDL 24, on Statin Rosuvastatin 20 mg
  • Ca 2.3 mmol /L, ionized ca 1.125, PO4 1.23 mmol/L
  • Uric Acid 63 µmol /L; 8.4 mg /dl (180-420), ( 3-7 mg )
  • CRP (extended range) 19.5 mg/L (0.0-3.3)

Hormonal Profile

  • FT4 0.599 ng/dl (0.932-1.710)
  • TSH 1.950 µIU /ml (0.270-4.200)
  • FT3 2.14 pg /ml (2.57-4.43)

Hormonal Profile

  • FSH 00 mIU/ml; low
  • LH 597 mIU/ml; low
  • Prolactin 71.700 ng/ml (4.790-23.300)
  • Estradiol 27.850 pg/ml; low
  • Cortisol 3.840 µg/dl

                      Morning (6.2-19.4)

                      Evening (2.3-11.9)

DHEA-S 2.640 µmol/L; low.                    

  • GH less 0.1 mIU/L (1.16-13.0)
  • IGF-1 4.00 nmol/L (13.00-36.66)
  • IGFBP-3 20 nmol/L (93.91-330.4)

Hormone replacement

  • L-Thyroxine was started by 50mcg OD to be titrated at a later follow-up.
  • Hydrocortisone in two doses 10 mg M & 5 mg E as the preliminary dose.
  • The neurosurgical referral to a tertiary center was arranged.

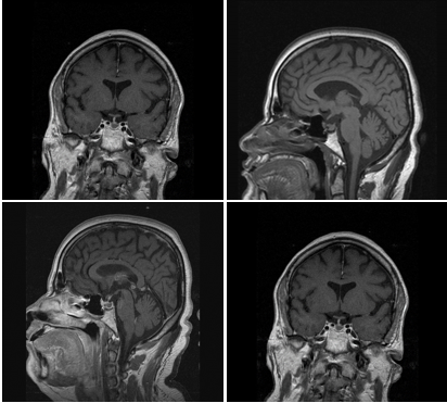
SKMC (Tertiary Centre) Report:

  • Upon admission on April 06.08, the patient still complained of intense headaches.
  • MRI showed a homogenous mass in the sellar region with moderate suprasellar extension, the lesion was displaying high intensity signal both on T1 and T2 weighted images…which was compatible with:

MRI Diagnosis

  • Cystic Craniopharyngioma
  • Pituitary Apoplexy
  • Or a Rathke’s Pouch Cyst
  • (Figure 5)
  • The study shows the region; fossa filled with soft tissue lesions with cystic components.
  • The lesion is contained in the Sella turcica with the pituitary gland probably displaced, the pituitary stalk is in the midline. There are bilateral foci of hyper density signals in the white matter.
  • The ventricular system and the cerebral hemispheres are normal.

Figure 5 Preoperative MRI on 01.07.08.

Conclusion: findings are consistent with post-operative changes? Ischemia of small vessel disease

Hormonal Assays

  • Prolactin 95.9 ng/ml (≤ 25 for non-pregnant woman)
  • Cortisol 3.5 low mcg/dl (10-20 M)
  • GH 0.1 ng/ml; basal
  • TSH 1.07 mIU (0.28-4.5), FreeT4 6.83 pg /ml (8.9-17.20), Free T3 3.71(2.0-4.2pg/ml)
  • Cortisol was raised to 20mg M & 15mg E, and L-thyroxine was increased to 100 mcg.

Management: Medical

  • The patient had felt better rapidly after the new dose schedule.
  • Ophthalmology assessment: no visual field defect, the only finding of early diabetic retinopathy there.
  • With an Endocrine referral and thorough discussion, the patient was kept on conservative treatment to be re-evaluated in 4 weeks with a new MRI.
  • Surgical Procedure
  • The trans-Nasal approach was used, and the ENT Surgeon gained access to the Sella, eventually, the action was taken by the Neurosurgeon who could open the Sella and perform the hypophysectomy (Figure 6).
  • The patient appeared to tolerate the procedure well and underwent an uneventful recovery (Figure 6).

Figure 6 Trans-nasal approach (left & Middle), trans-cranial (Right) for resection of CP.courtesy of Aaron Cohn-gadol.com and neurosurgicalatlas.com.

Concept of the Diagnosis

  • Pre-Op: Pituitary Apoplexy & Hypopituitarism
  • Post-Op: Pituitary Apoplexy & Panhypopituitarism
  • Procedure: Transsphenoidal Endoscopic Removal of Hemorrhagic Pituitary Tumor
  • Hormonal assessment and Replacement by Endocrinologist

Histopathology

  • The sample consisted of several tiny pieces of brownish-tan soft tissue with an aggregate of 0.9x0.5x0.3 cm.
  • Microscopic exam: cells were amphophilic, basophilic & eosinophilic holding granular cytoplasm, cells were separated by dense fibro vascular stroma, and some fragments were necrotic and surrounded by hemorrhage and vascular congestion.
  • Immunohistochemical stain showed the endocrine-type cells were strongly positive for prolactin, ACTH, positive for synaptophysin, and chromogranin, and negative for LHMP 53, Ki-67 markers showed less than 1% nuclear labeling.
  • Congo's red stain for amyloid was negative.

Conclusion: The impression was that of purely hormonal pituitary adenoma with focal necrosis and apoplexy.

Management Strategy

  • Hormonal Replacement
  • Control Of her Diabetes; HbA1c, BP, LDL-C, micro albumin, etc...
  • Bone density assessment with Vit.D3 (cholecalciferol) and calcium supplements

The patient was referred to us and received in the Diabetes and Endocrine Clinic, for scheduled evaluation and follow-up:

  • Imaging Assessment
  • Hormonal Assay
  • Biochemical Study
  • Diabetes Control

Differential diagnosis

Congenital anomalies: Arachnoid cyst and Rathke's cleft cyst.

Brain Neoplasms: Pituitary tumor, metastasis, meningioma, epidermoid tumor, optic glioma, hypothalamic hamartoma, and teratoma

Inflammatory Lesions: Eosinophilic granuloma, Lymphocytic hypophysitis, Granuloma (sarcoidosis, syphilis, tuberculosis, etc.)

Vascular anomalies: Aneurysm of the internal carotid or its branches, arterio-venous malformation.2,3

Surgical management

The clinical significance of the patient's presentation will determine the type of surgical intervention. In the presence of acute deterioration of vision and progressive raised intracranial pressure or hydrocephalus, therefore immediate action is decompression as much as possible, and choosing the appropriate intervention.

The clinical significance of the patient's presentation will determine the type of surgical intervention. In the presence of acute deterioration of vision and progressive raised intracranial pressure or hydrocephalus, therefore immediate action is decompression as much as possible, and choosing the appropriate intervention.

Before definitive surgical action has been taken, the topography of the neoplasm to the hypothalamus should be considered to determine whether drastic debulking or partial tumor resection is needed. If the tumor extends or involves the hypothalamus, total resection with damage to the hypothalamus will be hazardous and will lead to variable neuropsychological derangements. Some neurosurgeons may sacrifice the pituitary gland by debulking the tumor to avoid future inevitable recurrence (as in our case), cases of residual tumors whereby radiotherapy has been entertained, yet there is a significant number of recurrences of the disease; therefore, drastic surgery was the preferred intervention undertaken. Moreover, tumor removal, especially in the past 2 decades, as the new modalities of treatments had not proven efficacy yet! Interestingly, some reports stated that thalamic involvement in adult patients is quite less than in children. The residual neoplasm that invariably remained unrespectable can be managed by adjuvant radiotherapy; external beam, stereotactic (gamma knife), and proton beam radiotherapies have been tried in some centers. Other procedures might be applied, like an AV shunt for hydrocephalus or a catheter inserted for repeated aspirations in purely solitary cystic lesions.18–20

Non-surgical Treatment of CP

The commonest modalities of treatment

  1. Adjuvant radiotherapy

Radiation by a variety of modalities has been used for those patients with incomplete resection or might be for preventing relapse. Radiation therapy includes conventional external radiotherapy, proton beam therapy, stereotactic radiotherapy, radiosurgery, and brachytherapy. Many reports have proven decreased mortality with slightly reduced morbidity following radiation therapy. In well-experienced centers, radiotherapy has not been advocated for disease recurrence; therefore, they are considered the adjuvant treatment for neurosurgery.

  1. Intracystic therapy

This modality of treatment is used exclusively for cystic neoplasm. Intracystic radiotherapy (Yttrium-90 or Phosphorus-32) or chemotherapy, including bleomycin and interferon α, have been used with variable reports of success. This modality of treatment is aimed at causing tumor shrinkage and leading to sclerosis and fibrosis. The negative drawback of this modality has been many reported incidents of severe neurotoxicity that are attributed to installed substances.21–23

  1. New modalities like neuro-endoscopic procedures with the placement of an Ommaya reservoir allow routine cyst aspiration and delivery of intracystic therapy.24
  2. The ongoing progress of molecular genetics and the emergence of new targeted treatments are in the pipeline.17

Post-operative outcome

In most series, there is generally improvement in the visual deterioration if present preoperatively; a periodic ophthalmological check-up is recommended; on the other hand, the endocrine abnormalities are usually permanent and might be amplified after surgery. Obesity might be present in an appreciable number of patients, whereby most patients require two or more anterior pituitary hormone replacements, and some might suffer from transient or life-long diabetes insipidus; therefore, most patients should undergo lifelong endocrine assessment and follow-up.25

Final patient’s record

The patient had been on replacement therapy for anterior pituitary hormones (GH, Thyroid, and Cortisol) for the management of diabetes, hypertension, and dyslipidemia. She was doing fine with no evidence of recurrence for 7 years; later, she had been suffering from chronic kidney disease (CKD); however, she was still on conservative treatment.

Discussion

We had treated a middle-aged woman who had been suffering from repeated bouts of diffused headaches, which were becoming increasingly severe and narrowing in duration. These distinctive elements of her complaints had been brought to clinical notice; therefore the patient underwent urgent imaging, which was strengthened by more appropriate imaging methodology, resulting in the final diagnosis of the tumor. The imaging with adequate enhancement revealed CP, the biochemical work-up revealed varied degrees of anterior pituitary hormonal insufficiencies, and the retrospective history revealed menstrual cessation in the early 30s. The patient was soon stabilized on hormonal replacements, and her pre-existing T2 diabetes mellitus and accompanying complications (hypertension, dyslipidemia) were managed.

Because this is an unusual neoplasm, it is prudent to refer to a specialized facility to ensure a favorable prognosis. In the tertiary center, neurosurgical intervention was performed, including gross resection of the neoplasm and the attached pituitary tissues in the vicinity, as well as measures to salvage important structures such as the hypothalamus, optic chiasm, and blood vessels in the domain, and therefore avoiding complications such as CSF rhinorrhea or at any point obstruction to fluid circulation.

The patient tolerated the surgery well, and the postoperative endocrine assessment and coverage resulted in an excellent and uneventful recovery. Adjuvant therapy was an option in unrespectable cases or when radical resection was not feasible; nevertheless, our patient did not require any more adjuvant radiotherapy or other supportive measures.

This case report serves as a valuable reminder of the complexities surrounding craniopharyngiomas, from diagnosis to management. It emphasizes the necessity of early recognition of symptoms, thorough imaging, and a multidisciplinary approach to care. Future research may focus on better understanding the genetic and molecular underpinnings of craniopharyngiomas to identify potential targeted therapies and improve outcomes for affected individuals.

Conclusion

CP is a rare neoplasm with a bi-modal distribution. Early diagnosis and accurate assessment of tumor topography and involvement of neighbouring structures should be considered when dealing with such patients, as this will result in reduced morbidity and mortality, extending survival and increasing quality of life. To achieve these objectives, a multidisciplinary team of endocrinologists, neurosurgeons, ophthalmologists, psychosocial and rehabilitation specialists will collaborate or work in sequence throughout the patient's disease course. Because this neoplasm is uncommon, it is judicious to be treated by an expert team in a specialized center. Lifetime follow-up is normally recommended for most patients, and our patient was no exception. She had been followed up with a planned scan, and her hormonal status was regularly reviewed and refined as needed.

Acknowledgments

  1. Yasar Sami Al-Ali FRCR Consultant Radiologist, UK
  2. Hayder M.R. Hussona, DMRD; for a second opinion and review of the MRI image
  3. Ammar S AlJadir, MSc International Logistics & Supply Chain Management

Conflicts of interest

The authors declare that there are no conflicts of interest.

References

  1. Karavitaki N, Brufani C, Warner JT, et al. Craniopharyngiomas in children and adults: systematic analysis of 121 cases with long-term follow-up. Clin Endocrinol (Oxf). 2005; 62:397–409.
  2. Stamm AC, Vellutini E, Balsalobre L. Craniopharyngioma. Otolaryngol Clin North Am. 2011;44(4):937–952.
  3. Müller HL. Craniopharyngioma. Handb Clin Neurol. 2014;124:235–253.
  4. Müller HL, Merchant TE, Warmuth-Metz M, et al. Craniopharyngioma. Nat Rev Dis Primers. 2019;5(1):75.
  5. Larkin SJ, Ansorge O. Pathology and pathogenesis of craniopharyngiomas. Pituitary. 2013;16(1):9–17.
  6. Miller DC. Pathology of craniopharyngiomas: clinical import of pathological findings. Pediatr Neurosurg.1994;21:11–17.
  7. Eleanor R, Niki K, John AHW. Craniopharyngiomas: historical aspects of their management. Hormones (Athens). 2008;7(3):271–274.
  8. Bunin GR, Surawicz TS, Witman PA, et al. The descriptive epidemiology of craniopharyngioma.  J Neurosurg. 1998;89:547–551.
  9. Haupt R, Magnani C, Pavanello M, et al. Epidemiological aspects of craniopharyngioma. J Pediatr Endocrinol Metab. 2006;19(Suppl 1):289–293.
  10. Müller HL. Craniopharyngioma. Endocr Rev. 2014;35(3):513–543.
  11. Teng Y, Ran X, Chen B, et al. Pathological diagnosis of adult craniopharyngioma on mr images: an automated end-to-end approach based on deep neural networks requiring no manual segmentation. J Clin Med. 2022;11(24):7481.
  12. Jagannathan J, Dumont AS, Jane JA, et al. Pediatric sellar tumors: diagnostic procedures and management. Neurosurg Focus. 2005;18:1–5.
  13. Rossi A, Cama A, Consales A, et al. Neuroimaging of pediatric craniopharyngiomas: a pictorial essay. J Pediatr Endocrinol Metab 2006;19:299–319.
  14. Hopper N, Albanese A, Ghirardello S, et al. The pre-operative endocrine assessment of craniopharyngiomas. J Pediatr Endocrinol Metab. 2006;19:325–327.
  15. Kiliç M, Can SM, Özdemir B, et al. Management of craniopharyngioma. J Craniofacial Surg. 2019;30(2): e178–e183.  
  16. Thompson CJ, Costello RW, Crowley RK. Management of hypothalamic disease in patients with craniopharyngioma. Clin Endocrinol (Oxf). 2019;90(4):506–516.
  17. O'steen L, Indelicato DJ. Advances in the management of craniopharyngioma. F1000Res. 2018;7.
  18. Feng Y, Ni M, Wang YG, et al. Comparison of neuroendocrine dysfunction in patients with adamantinomatous and papillary craniopharyngiomas. Exp Ther Med. 2019;17(1):51–56.
  19. Hoffman HJ. Surgical management of craniopharyngioma. Pediatr Neurosurg. 1994;21(Suppl 1):44–49.
  20. Dhellemmes P, Vinchon M. Radical resection for craniopharyngiomas in children: surgical technique and clinical results. Pediatr Endocrinol Metab. 2006, 19(Suppl 1):329–335.
  21. Habrand JL, Saran F, Alapetite C, et al. Radiation therapy in the management of craniopharyngioma: current concepts and future developments. J Pediatr Endocrinol Metab. 2006;19:389–394.
  22. Kalapurakal JA. Radiation therapy in the management of pediatric craniopharyngiomas–a review. Childs Nerv Syst. 2005;21(8-9):808–816.
  23. Hargrave DR. Does chemotherapy have a role in the management of craniopharyngioma? J Pediatr Endocrinol Metab. 2006;19:407–412.
  24. Lohkamp LN, Kulkarni AV, Drake JM, et al. Preservation of endocrine function after Ommaya reservoir insertion in children with cystic craniopharyngioma. J Neurooncol. 2022;159 (3):597–607.
  25. Weiner HL, Wisoff JH, Rosenberg ME, et al. Craniopharyngiomas: a clinicopathological analysis of factors predictive of recurrence and functional outcome. Neurosurgery. 1994;35:1001–1010.
Creative Commons Attribution License

©2024 Saadi. This is an open access article distributed under the terms of the, which permits unrestricted use, distribution, and build upon your work non-commercially.