Submit manuscript...
eISSN: 2473-0815

Endocrinology & Metabolism International Journal

Case Report Volume 10 Issue 1

Case report and disease review: Tophaceous gouty arthropathy

Saadi JS AlJadir

Ministry of Higher Education, Iraq

Correspondence: Saadi JS AlJadir, PhD, MRCP, FACE, FRCP (London), FRCP (Glasgow), Ministry of Higher Education, AlMansour, AlMutanabi, District 607, Alley 20, House 9, Baghdad, Iraq

Received: March 08, 2022 | Published: April 4, 2022

Citation: AlJadir SJS. Case report and disease review: Tophaceous gouty arthropathy. Endocrinol Metab Int J. 2022;10(1):4-12 DOI: 10.15406/emij.2022.10.00312

Download PDF

Abstract

Gout is a common inflammatory and metabolic disorder of the joints and probably other organs, especially the kidneys. It has a definitive genetic and environmental background, making it mainly a disease of middle-aged and elderly males, infrequently inflicting postmenopausal and elderly women who usually have arterial hypertension, renal impairment, and usually on diuretics.

Excessive tissue urate turnover and persistent hyperuricemia is the hallmark of the disease. A typical algorithm is characterized by acute attack of the monoarticular joint, the metatarsophalangeal joint of the big toe often is involved (podagra), but tarsal joints, ankles, and knees might also be affected.

Chronic asymmetric polyarticular arthritis that might be confused with classical Rheumatoid Arthritis might be encountered in some patients and in recurrent and relapsing diseases. In this setting, many organs and tissues are affected by the deposition of monosodium urate (MSU) crystals other than synovium, bursae, tendons, and periarticular tissues. The risk of involvement of renal interstitium or uric acid nephrolithiasis has a particular interest in the course of the disease.

By the inflammation and collection of MSU crystals in form of tophi that might involve many tissues and occasionally the pinna of the ears, this kind of tophaceous gout is rarely observed nowadays, especially in our community (Middle East region). The patient who is presented here has exhibited acute attack on the top of chronic tophaceous gouty arthritis.

The recent epidemiologic reports revealed that gout has given different results. This wide variation is attributed to the population studied and methods employed, but overall, for the prevalence of <1% to 6.8% and an incidence of 0.58-2.89 per 1,000 person per year. The most noticeable risks for gout are obesity and associated metabolic syndrome (insulin resistance, hypertension, dyslipidaemia), dietary factors, high fructose-containing diet, high purine diet (red meat, internal organ’s meat ,seafood) high consumption of alcohol, and exclusively beer ( as in our patient’s case ), a wide variety of disorders that are characterized by high urate turnover like myeloproliferative disorders, neoplasms, psoriasis, haemolytic anaemias, medications , to under-secretion of urate like renal insufficiency.

Introduction

In the Ebbers and Edwin Smith Papyri (ca. 1552 bc), in ancient Egypt gout was described. 1000 years after the Ebbers and Edwin Smith Papyri were written, Hippocrates (ca. 460 bc to 370 bc), who had studied the disease and differentiated it from rheumatism and given the term “podagra”. The Roman gladiatorial surgeon Galen described gout as a discharge of the four humors of the body in unbalanced amounts into the joints. Writing ca. 30 AD, Aulus Cornelius Celsius appeared to recognize many of the features of gout, including its link with a urinary solute, late onset in women, linkage with alcohol, and perhaps even prevention by dairy products.

In modern times, A. Leeuwenhoek described the needle-shaped urate crystals under the microscope in 1679. Later in the 1800s, A. Garrod discovered that the presence of excess uric acid in blood is the main culprit for gout.

Case presentation

A 55-year-old Male, (South Pacific, descendant) had been admitted on December 17th, 2006, to medical unit, for being unable to walk for the last 2 days. He had found difficulty in moving his right arm with pain and swelling of the left and right foot, right hand, and elbow. Pain and swelling were associated with fever and malaise.

He had not reported trauma but had a history of road traffic accidents 3 years ago, surgical reduction for tibial fractures was done and transfused 2 units of blood, afterward, he had good healing and recovery. He was a widow with one daughter, 19 years old. He is a usual alcohol drinker, frequently beer, with occasional social binges. He was not a smoker or consuming any other drugs.

He had polyarthritis for the last 10 years, no urinary complaints, he was hypertensive on verapamil 120 mg /day, no other medications. He described his joint problem as painful episodes that come on monthly intervals but are quite milder than the current attack and usually triggered by alcohol indulgence. He had no family members of same condition and no history of diabetes or rheumatologic disorders in the family. He is a well-educated electrician with good income.

Clinical impression

  1. Middle-aged male, he was distressed by joint limitations of movement and pains, not anemic or jaundiced, and looking overweight (BMI 29.5, Waist Circumference 103 cm)
  2. Pulse Rate: 120/min regular, BP:160/94 mmHg, RR: 24/min, Temp.; 38.6 Celsius
  3. Heart: auscultation was normal S1, S2, neck was supple, peripheral pulses were present.
  4. Chest: auscultation was clear air entry bilaterally.
  5. Abdomen: Soft, no organ enlargement was detected.

Musculoskeletal examination

Hands (Figure 1)

Figure 1 Inflamed dorsum of the right hand, skin redness, swelling, and tenderness. Multiple swellings on left hand.

Elbow (Figure 2) 

Figure 2 Left elbow had swelling, redness, tenderness, and restriction of movements. Right Elbow had big tophi, soft, rubbery with overlying chalky cheesy material.

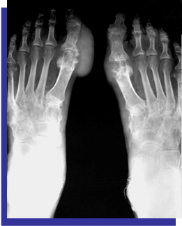
Foot (Figure 3)

Figure 3 Swelling, redness & tenderness of right and left big toes. Big tophi in the right foot.

Investigations & laboratory results

FBG 8.2 mmol (147ml/dl), HbA1c 6.8, Hb 14,8 g/dl, WBC 19.8 x10/L (Neutrophils 84%, platelets 321x10/L), Serum Electrolytes Na 147mmol /L, K 3.8, HCO3 27, BUN 8.1mmol/L

Liver function tests were normal, except γGT was 32 (upper limit of normal). Serum Triglyceride 3.6mmol (320mg/dl), total Cholesterol 6.24 mmol, LDL 3.6, HDL 1.61.S. uric acid 614 µmol/L (N 140–340), CRP 384mg/L and ESR 93mm/hour were high

Abdomen U/S was normal, Kidneys were normal size, no calcifications, or calculi.

Plain radiographs (Figure 4) (Figure 5) 

Figure 4 X-ray of both hands shows eccentric juxta-articular soft tissue nodule associated with adjacent bony erosion (rat-bite erosion) with sclerotic margins and overhanging edges invoking the proximal interphalangeal joint of middle finger with normal bone mineralization.

Figure 5 X-ray of both hands shows eccentric juxta-articular soft tissue nodule associated with adjacent bony erosion (rat-bite erosion) with sclerotic margins and overhanging edges invoking the proximal interphalangeal joint of middle finger with normal bone mineralization.

Clinical diagnosis

Acute flare of chronic tophaceous gout

Diagnosis is not based on the level of Serum uric acid, as it should be based on aspiration of synovial fluid and looking under polarized microscopy.

[demonstrate crystal of MSU & identified by strong negative birefringence]

Management

  1. Low purine diet and with ample fluid intake, low or free saturated fats
  2. Analgesics: NSAIDs; diclofenac sodium…
  3. Antibiotics might be used earlier in the acute flare, until the precise diagnosis is settled.
  4. Losartan 100mg to Verapamil 120mg OD
  5. On long-term:
  6. Allopurinol started (100mg up to 300/day) after acute flare up is clearly subsided., preferably with low dose colchicine.
  7. Abstinence of alcohol
  8. Metformin 2g /day
  9. Micronized Fenofibrate 200/ day
  10. Lifestyle modifications; diet, exercise, weight reduction program

Disease review

Gout is a common inflammatory and metabolic disorder of adult population, that affects the articular and periarticular tissues, it is usually manifested by a wide variety of clinical features in the setting of basic biochemical abnormality of excess tissues saturation of uric acid or persistent hyperuricemia.

The mainstay of biochemical changes that heralds to acute and abrupt peripheral joint involvement that majority of patients are presented, which is attributed to tissue deposition of MSU crystals in joints and probably other tissues, this deposition with eruption of inflammation is the hallmark of the disease; gout

Gout differs from most chronic arthroses in being a treatable disease, especially if :

  1. Early diagnosed by the proper approaches: clinical, biochemical, and discovery of MSU crystals under polarized microscope
  2. Appropriate treatment and adherence to lifestyle changes
  3. Anticipating the precipitating factors, alcohol excess, dietary indiscretions, weight gain, extreme weather. Etc.
  4. Chronic progressive (Tophaceous) gout is the result of misdiagnosis or delay, insufficient management, and most importantly poor patient’s compliance and adherence (as in our case) 

Pathophysiology

Gout is caused by supersaturation of the target tissues by urate crystals, usually associated with persistent serum hyperuricemia for a variable period.

The mainstay of treatment is serum urates lowering numerically maintaining serum uric acid less than 6mg /dL, this crucial measure can effectively prevent flares and ultimately prevent a recurrence.

However, many individuals might have hyperuricemia and also have urate crystals in their synovial fluids, yet they don’t have gout (by definition clinically) or joint inflammation.

Therefore, the presentence of crystals in the joints and adjacent tissue is not the hallmark of the disease and is not whole disease pathology. For decades there was extensive debate about the inflammatory eruption after the deposition of urate crystal in the target tissues, time is variable for a reason that is not precisely elucidated.

Pro-inflammatory cytokines have a critical role in initiating the cascades of inflammatory reactions to the presence of MSU crystals.

Recent attention has focused particularly on the role of IL-1. This aspect has opened the door for new therapeutic perspectives.

Inciting inflammation in the target tissues is hypothesized by a coating of the crystals with IgG fragments which are pro-inflammatory, as inflammation subsides apoprotein B particle (or might be Apo E ) displaces IgG from the crystals surface.

Renal involvement of gout is of particular interest during this disorder and might include:

  1. Uric Acid nephrolithiasis
  2. Chronic interstitial Nephropathy is mediated by deposition by monosodium urate monohydrate crystals in the renal medulla (Uric Acid Nephropathy), this condition is uncommon however is a feature of severe disease. 

Etiology

Hyperuricemia occurs when there is an imbalance between excess uric acid production, and stores (overproduction ) in the setting of lag behind renal excretion ( underexcretion ), persistently elevated urate in serum will be crystallized under certain conditions ( temperature, PH ..etc.) and ultimately deposit in target tissues.

  1. Majority of patients more than 90% develop excess urate stores because of an inability to efficiently excrete a load of uric acid in the urine.
  2. Other patients either overconsume purines or produce excessive amounts of uric acid
  3. A few have impaired intestinal elimination of uric acid.
  4. In rare cases, excessive production of uric acid is the result of a genetic disorder, such as the following:
  1. Lesch-Nyhan syndrome Hypoxanthine-guanine phosphoribosyl transferase deficiency
  2. Kelley-Seegmiller syndrome (KSS) is a disorder that occurs when there is a partial deficiency of the enzyme HGPT deficiency
  3. von Gierke disease; Glucose-6-phosphatase deficiency
  4. Fructose 1-phosphate aldolase deficiency
  5. Phosphoribosyl pyrophosphate synthetase (PRPP) variant

Over-production disorders

These disorders include

  1. Myeloproliferative disorders
  2. Lymphoproliferative disorders,
  3. Extensive Psoriasis,
  4. Hereditary and acquired haemolytic anaemias.
  5. Chemotherapy of certain neoplasm especially hematopoietic and lymphoproliferative origins
  6. Intensive enduring exercise and morbid obesity
  7. lead nephropathy (saturnine gout),
  8. starvation or dehydration, certain drugs, Diuretics; thiazides, low dose aspirin, cyclosporin, niacin.
  9. overindulgence in alcohol especially beer because of high pure content (as the status of our patient)

Risk factors for the development of gout

There are several acquired and environmental factors that may increase the risk of developing hyperuricemia and gout:

  1. Male gender
  2. Overweight and obesity
  3. Co-morbid disorders, T2 diabetes, insulin resistance syndrome, congestive cardiac failure, metabolic syndrome, Hypertension
  4. A family history of gout
  5. Medications; thiazide diuretics and low-dose aspirin, β- blockers, and Angiotensin receptor blockers (ACEs as well, but this issue need more in-depth studies ), While on the other hand Calcium channel blocker and ARB Losartan ARB has a uricosuric effect.
  6. High Fructose sugar intake /
  7. Heavy alcohol intake (particularly beer)
  8. High intake purine-rich foods of animal origin (not of vegetable), including red meat, organ meat like liver, kidney, anchovies, scallops, mussels, tuna. While low-fat dairy, vitamin C, and coffee had been reported to be protective.

Genetics

  1. The genetic studies in presence of persistent hyperuricemia had identified 3 genes that are noticed to have a strong association with hyperuricemia, GLUT9 that alters the renal urate excretion
  2. URAT1 gene is responsible for urate organic anion exchange, mutations in this gene had been associated with gout.
  3. ABCG2 gene on chromosome 4 has shown many polymorphisms, are associated with hyperuricemia and gout
  4. Although genetic factors are associated with hyperuricemia acquired factors are practically responsible for the majority of gout cases
  5. Epidemiology
  6. Gout epidemiological data had shown increasing prevalence of gout over last 2-3 decades the most acceptable data in the US, it affects over 3% of adults., and comparative surveys in the UK had shown around 2% of the adult population, however, the overall data concerning the incidence and prevalence are scarce :
  7. In men and the peak age of onset of gout is in the fourth to sixth decades.
  8. In women, overall gout is not known commonly a disease of women and in particular premenopausal , possibly is attributed to estrogenic uricosuric effect , therefore the disease if has occurred it will be peaked at 6th -8th decades, a secondary cause should be looked for as renal insufficiency or medications.

Clinical features

Acute arthritis

The initial and classical manifestation of gout is usually an acute attack in the majority of 90 % of patients, usually single or occasionally 2 joints and more might be affected and characterized by abrupt onset of severe pain and swelling, in more than 50% lower extremities small joints. Clinical scenario of the acute attack takes the crescendo pattern in 4-12 hours. The classical acute gout of 1st metatarsal phalangeal joint (Podagra) . the affected joint is erythematous and swollen with exquisitely tender, less frequently ankle joint might be affected. Podagra is not pathognomonic to acute gout another form of arthroses might take the same presentation. The joint inflammation usually takes 7-10 days and then subsides. In 10% of patients are presented initially by polyarticular arthritis that might mimic chronic arthroses, and occasionally creates difficulty in reaching the precise diagnosis. The attack might recur after a very variable period during this interval the joint looks normal, intermittent periods may extend months or even years, and few reported cases on flare at all! (Figure 6).

Figure 6 Podagra, typical acute attack. (Physiopedia).

Chronic gout

If the condition is left untreated, hyperuricemia persists, most patients develop more frequent acute attacks, less intense usually but may affect multiple joints at the same time or in rapid succession. Over time there will be subsequent deposition of MSU crystals in the joints, tendon sheaths, over bony prominences, and in subcutaneous tissues called tophi. Tophi are recognized as hard swellings whitish to yellow coloured under the skin, some may break and discharge chalky material containing MSU crystals. they have a predilection to common sites; the ear pinnae, olecranon or prepatellar bursae, the distal interphalangeal joints, the dorsum of the MTPJ, and metacarpophalangeal joint (MCPJ) (Figures 7–9).

Figure 7 Chronic tophaceous gout in an untreated patient with end-stage renal disease. (Medscape).

Figure 8 Mimics Rheumatoid Nodule (Courtesy of PPM).

Figure 9 Gouty tophi on the ears (not present in our patient). Courtesy of PCDS.

Renal manifestations

Gout could be considered a primary renal disease, as the renal under-secretion of excess urate is considered the essential defect in hyperuricemia. The consequences of gout and hyperuricemia are also manifest in the kidney and comprise several clinical syndromes These may be considered in the order in which they appeared historically: uric acid nephrolithiasis, urate nephropathy in the absence of overt lithiasis, acute uric acid-related nephropathy due to tumor lysis with use of cytotoxic chemotherapy, and, most recently, the notion; soluble urate may have a direct toxic effect on renal parenchyma and vasculature this may evolve into urate nephropathy.

Uric acid nephrolithiasis

Uric acid was first identified as a component of kidney stones and it is comprised of 10 % of nephrolithiasis in the United States. Uric acid stones are the main reason for nephrolithiasis in individuals with type 2 diabetes mellitus and obesity.

As a matter of interest, uric acid stone formers tend to be older and more likely to be obese than calcium oxalate stone formers.

Comorbidities and metabolic syndrome

In the majority (more than 75% of cases) gout exists in the association of multiple comorbidities, many of which comprise metabolic syndrome; hypertension, dyslipidaemia, insulin resistance, Inflammation, high waist circumference (abdominal adiposity), and atherosclerotic vascular disease (Figure 10).

Figure 10 Visceral Obesity, Courtesy of The Sidney Morning Herald.

Uric acid is synthesized in the liver, intestines, and endothelium from purines. Fructose which had been consumed increasingly in past decades increases intracellular urate production as well as a culprit to insulin resistance.

Serum urate levels also depend on the degree of excretion by the kidneys, and low excretion is the main factor contributing to high urate levels.

The most recent epidemiologic studies have shown robust evidence towards a higher prevalence of metabolic syndrome and its components (especially high triglycerides and waist circumference..) in individuals with hyperuricemia and gout compared with controls.

Differentials

Acute monoarthritic

  1. Pseudogout, Cellulitis, Septic arthritis, gonococcal. 

Polyarticular arthritic

Rheumatoid Arthritis, Psoriatic, Reactive arthritis, Sarcoid …

Laboratory studies

Laboratory testing: The detection of MSU crystals in synovial fluid using polarizing microscopy is diagnostic of gout and the preferred approach for diagnosis. MSU crystals are needle-shaped and negatively birefringent. The absence of these crystals does not necessarily eliminate the possibility of gout, but it makes gout less likely (as reflected by a negative value). Although this method is preferred for diagnosis, it is not always feasible, extreme tenderness for touch and technically joint aspiration may be difficult in small joints, moreover polarized microscopy might be not available in all laboratories!

As such, MSU crystal detection is an unfeasible universal diagnostic standard, but this method of evaluation should be used when possible. 

Serum uric acid

In patients with gout, serum urate concentrations are generally elevated; however, serum urate levels are not always elevated at the time of an acute gout flare.

 Ideally, serum urate is measured >4 weeks after an acute attack provided treatment with urate-lowering therapy has not commenced yet.

Synovial fluid examination

A sample of fluid for gram stain and culture, to differentiate from septic arthritis

Blood tests for White Cell Count and CRP, other tests like ANF, Rheumatoid Factor, and tests for immune arthritis might be required.

Imaging studies

  1. Plain radiographs may show some like soft tissue swelling but these findings are inconsistent with gout, therefore not diagnostic, otherwise, most very early plain imaging is usually no findings!
  2. Recurrent flares and Chronic gout might show:
  3. Plain radiologic changes occur characteristically in the chronic stage, some may show these changes though not all patients progress to this. There is commonly a predilection for the small joints of the hands and feet. 

Joints

  1. An early sign is the presence of joint effusion
  2. intact joint space until late disease
  3. an absence of periarticular osteopenia
  4. eccentric erosions
  5. the typical appearance is the presence of well-defined “punched-out” erosions with sclerotic margins in a marginal and juxta-articular distribution, with overhanging edges

Bones

  1. punched-out lytic lesions
  2. Overhanging sclerotic margins
  3. osteonecrosis
  4. Mineralisation is normal 

Surrounding soft tissues

  1. Tophi with crystal deposition show as periarticular soft tissue swelling.
  2. This soft tissue swelling may be hyperdense due to the crystals and tophi can calcify especially in the setting of associated renal disease 

Ultrasound study in gout

In recent years the US had gained interest due to improved techniques, no radiation exposure, and cheap cost.

Tophi tend to be hyperechoic, heterogeneous, and have poorly defined contours. other findings may include:

  1. echogenic, irregular bands opposed to articular cartilage 
  2. synovial thickening with increased vascular flow
  3. joint effusions with dependent hyperechoic, punctate debris
  4. bony cortical discontinuities associated with adjacent formed tophi. 

CT scan

Findings generally reflect those on the plain radiograph

Dual-energy CT can distinguish between urate mineralization and calcification, especially critical in atypical cases.

It can quantify MSU load, therefore, can monitor treatment.

MRI has been increasingly utilized in some centres.

Signal characteristics of gouty tophi are usually:

  1. T1: isointense
  2. T2: most lesions are characteristically heterogeneously hypointense
  3. T1 C+ (Gd):tophus often enhances

Treatment

  1. There are 3 stages in the management of gout:
  2. Treating the acute attack,
  3. Prophylaxis to prevent acute flares,
  4. Urate lowering medications for long term treatment to lower uric acid stores and prevent flares of gouty arthritis

NSAIDs

  1. NSAIDs (Non-selective; COX-1 inhibitors) are the mainstay of treatment in majority of patients provided no contraindications, Indomethacin, old dug, very effective in pain relief and suppress inflammation, adverse effects of CNS in elderly Ibuprofen is widely used
  2. Cyclooxygenase-2 (COX-2) inhibitors had been used with success...
  3. Treatment should be adequate until the patient is symptoms and signs free of disease for a few days to determine discontinuation.
  4. Additional measures to relieve pain might be required, adding painkillers or local measures.
  5. Corticosteroids
  6. Corticosteroids might be given as an alternative to those who cannot tolerate or contraindications to NSAIDs.
  7. Usually, Prednisone is widely used and is given at a dose of approximately 40 mg for 3-5 and tapered gradually (should not stop abruptly to prevent flare) in two weeks period. 

Prophylaxis to prevent acute flares

Colchicine

  1. Oral colchicine is an appropriate first-line gout attack prophylaxis therapy, including with appropriate dose adjustment in chronic kidney disease and for drug interactions, unless there is a lack of tolerance or medical contraindication
  2. It is not advised to be used in acute attack, whenever used, the efficacy of Colchicine declines if it isn’t early in acute attack. Colchicine has well-known GI adverse effects in most patients, nausea, vomiting, and diarrhoea.

Allopurinol

  1. Allopurinol blocks xanthine oxidase and thus reduces the generation of uric acid.
  2. it should be used in patients who are overproducers of uric acid and in patients at risk of tumour lysis syndrome to prevent renal toxicity during therapy for malignancies.
  3. However, alcohol can interfere with the effectiveness of allopurinol.

Approximately 3-10% of patients taking allopurinol develop dyspepsia, headache, diarrhoea, or pruritic maculopapular rash, infrequently, patients can develop allopurinol hypersensitivity, which has a mortality rate of 20-30%...Prior to initiation of allopurinol, rapid polymerase chain reaction-based HLA–B*5801 screening should be considered as a risk management component some genotypes both the HLA–B*5801 are susceptible to a severe allopurinol hypersensitivity reaction

  1. fever, toxic epidermal necrolysis, bone marrow suppression, eosinophilia, leucocytosis, Nephrotoxicity, Hepatotoxicity, and vasculitis.
  2. Start at 100 mg per day and adjust the dose monthly according to the uric acid level until the level of a uric acid level of 5-6 mg/dL is achieved dose the dose is maintained and usually 300 might be used, a high dose that might reach 600 mg had been used.
  3. Avoiding the use of medications that elevate uric acid in patients with gout is prudent.
  4. a thiazide diuretic to treat hypertension
  5. if such a medication is needed, it can be used with appropriate adjustments of allopurinol or probenecid.
  6. Allopurinol can be used in combination with Probenecid; urate-lowering by enhanced renal clearance, but has many drug interactions and should be taken in 3-4 doses per day
  7. Other potential therapeutic options include the following:
  8. Febuxostat, a nonpurine selective inhibitor of xanthine oxidase, is a potential alternative to allopurinol for patients with gout. It is less effective than allopurinol in preventing flares and is more expensive!
  9. Nonrecombinant urate-oxidase (uricase) is used to prevent severe hyperuricemia induced by tumours ‘chemotherapy and in some patients with non-responsive-refractory gout to conventional measures.

Lowering uric acid levels:

  1. The Angiotensin Receptor Blocker: Losartan and the triglyceride-lowering agent: micronized fenofibrate have modest uricosuric effects.
  2. Vitamin C has mild uricosuric effect and might be considered a supportive agent.

Dietary Advice

  1. Dietary modifications have a humble effect on serum uric acid levels by no more than 1 mg/dL and rarely if ever able (as commonly shown in media!) to lower uric acid levels sufficiently to prevent further attacks, therefore this aspect is considered id supportive
  2. Patients should avoid alcohol because it elevates levels of uric acid and therefore can precipitate attacks of gout, alcohol curtails the efficacy of allopurinol as well.1-63

Dietary & lifestyle recommendations

Recommendations

Benefits

  • Controls weight with daily exercise
  • Limit red meat consumption.
  • Replace: fish consumption with omega-3 fatty acids or supplements of DHA & EPA
  • Decrease risk of Gout
  • Benefit other comorbidities
  • Consume 1-2 servings of dairy or calcium supplements daily.
  • Consume nuts and vegetables daily

 

  • Will not affect the risk of gout
  • Benefit other comorbidities

DHA, octadecanoic acid; EPA, eicosatetraenoic acid; MSU, mono sodium urate

Conclusion

A comprehensive treatment strategy needs to be initiated.

  1. Treat acute flares with anti-inflammatory agents, initiate urate-lowering therapy at the ideal time for each patient (usually 4 weeks after any flare has subsided)
  2. Consider therapy in early disease due to unpredictable silent tissue deposition and disease progression.
  3. Take immediate action in advanced and tophaceous disease; include discussion of lifestyle changes.
  4. Choose an appropriate agent.
  1. Effective
  2. -target <6.0 mg/dL
  3. Consider safety.
  4. New agents may improve the treatment of gout.
  1. Easier to use in renal disease
  2. Use in patients allergic to allopurinol
  1. Protect against flares that occur with urate-lowering.
  1. Initiate a prophylactic agent at the start of urate-lowering therapy
  2. Continue prophylaxis for an appropriate duration
  1. Follow-up monitoring of Serum Uric Acid
  1. Keep the patient’ uric acid <6. mg/dL early in therapy
  2. Continue to monitor frequently after S.UA <6.0 mg/dL is achieved depending on the patient’s adherence and compliance.

Acknowledgments

  1. Dr. Yasar Sami Al Ali FRCR, DMRD, Consultant radiologist, Medway NHS F. T, UK.
  2. Dr. Rasha H. Al Safah, DMRD, Babylon, Iraq
  3. Mr. Ammar S. Al Tamimy, BSc. In Communications Engineering, for reviewing the electronic manuscripts.

Funding

None.

Conflicts of interest

The authors declare no conflict of interest.

References

  1. Schumacher HR, Chen LX. Gout and other crystal-associated arthropathies. In: Larry Jameson J, Anthony S Fauci, Dennis L Kasper, editors. Harrison's Principles of Internal Medicine. USA: McGraw-Hill Education; 2018:1–16.
  2. Roddy E, Doherty M. Crystal-related arthropathies. In: John Firth, Christopher Conlon, Timothy Cox, editors. Oxford Textbook of Medicine. UK: Oxford University Press; 2020. 4482 p.
  3. Keenan RT, Krasnokustsky S, Pillinger MH. Crystal-related arthropathies. In: Gary Firestein Ralph, Budd Sherine E, Gabriel Iain B, editors. Kelley and Firestein's Textbook of Rheumatology. UK: Elsevier; 2016:1597–1598.
  4. Burns C, Wortmann RL. Gout. In: John B Imboden, David B Hellmann, John H Stone, editors. CURRENT Diagnosis & Treatment: Rheumatology. USA: McGraw-Hill; 2013. 332 p.
  5. Keenan RT, Krasnokustsky S, Pillinger MH. Clinical features and treatment of gout. In: Gary Firestein Ralph, Budd Sherine E, Gabriel Iain B, editors. Kelley and Firestein's Textbook of Rheumatology. UK: Elsevier; 2016. 1620 p.
  6. Anthony M Reginato, David B Mount, Irene Yang, et al. The genetics of hyperuricaemia and gout. Nat Rev Rheumatol. 2012;8(10):610–621.
  7. Choi HK, Ford ES, Li C, et al. Prevalence of the metabolic syndrome in patients with gout: The Third National Health and Nutrition Examination Survey. Arthritis Rheum. 2007;57:109–115.
  8. Choi HK, De Vera MA, Krishnan E. Gout and the risk of type 2 diabetes among men with a high cardiovascular risk profile. Rheumatology (Oxford). 2008;47:1567–1570.
  9. Mateos EA, Puig JG. Purine metabolism in Lesch–Nyhan syndrome versus Kelley–Seegmiller syndrome. J Inherit. Metab Dis. 1994;17:138–142.
  10. Perheentupa J, Raivio K. Fructose-induced hyperuricaemia. Lancet. 1967;2:528–531.
  11. Choi HK, Zhu Y, Mount DB. Genetics of gout. Curr Opin Rheumatol. 2010;22:144–151.
  12. Nathalie Busso, Alexander So. Mechanisms of inflammation in gout. Arthritis Research & Therapy. 2010;12:206.
  13. McCarty DJ, Hollander JL. Identification of urate crystals in gouty synovial fluid. Ann Intern Med. 1961;54:452–460. 
  14. Kippen I, Klinenberg JR, Weinberger A, et al. Factors affecting urate solubility in vitro. Ann Rheum Dis. 1974;33:313–317.
  15. Katz WA, Schubert M. The interaction of monosodium urate with connective tissue components. J Clin Invest. 1970;49:1783–1789.
  16. Nakamura Y, Kambe N, Saito M, et al. Mast cells mediate neutrophil recruitment and vascular leakage through the NLRP3 inflammasome in histamine-independent urticaria. J Exp Med. 2009;206:1037–1046.
  17. Ginsberg MH, Kozin F. Mechanisms of cellular interaction with monosodium urate crystals. IgG-dependent and IgG-independent platelet stimulation by urate crystals. Arthritis Rheum. 1978;21:896–903.
  18. Ortiz-Bravo E, Sieck MS, Schumacher HR. Changes in the proteins coating monosodium urate crystals during active and subsiding inflammation. Immunogold studies of synovial fluid from patients with gout and of fluid obtained using the rat subcutaneous air pouch model. Arthritis Rheum. 1993;36:1274–1285.
  19. Landis RC, Yagnik DR, Florey O, et al. Safe disposal of inflammatory monosodium urate monohydrate crystals by differentiated macrophages. Arthritis Rheum. 2002;46:3026–3033.
  20. Hoffstein S, Weissmann G. Mechanisms of lysosomal enzyme release from leukocytes. IV. Interaction of monosodium urate crystals with dogfish and human leukocytes. Arthritis Rheum. 1975;18:153–165.
  21. Kozin F, Ginsberg MH, Skosey JL. Polymorphonuclear leukocyte responses to monosodium urate crystals: modification by adsorbed serum proteins. J Rheumatol. 1979;6:519–526.
  22. Nuki G. Colchicine: its mechanism of action and efficacy in crystal-induced inflammation. Curr Rheumatol Rep. 2008;10:218–227.
  23. Torres R, Macdonald L, Croll SD, et al. Hyperalgesia, synovitis, and multiple biomarkers of inflammation are suppressed by IL-1 inhibition in a novel animal model of gouty arthritis. Ann Rheum Dis. 2009;68:1602–1608.
  24. Di Giovine FS, Malawista SE, Nuki G, et al. Interleukin 1 (IL 1) as a mediator of crystal arthritis. Stimulation of T cell and synovial fibroblast mitogenesis by urate crystal-induced IL 1. J Immunol. 1987;138:3213–3218.
  25. di Giovine FS, Malawista SE, Thornton E, et al. Urate crystals stimulate production of tumor necrosis factor alpha from human blood monocytes and synovial cells. Cytokine mRNA and protein kinetics, and cellular distribution. J Clin Invest. 1991;87:1375–1381.
  26. Yagnik DR, Evans BJ, Florey O, et al. Macrophage release of transforming growth factor beta1 during resolution of monosodium urate monohydrate crystal-induced inflammation. Arthritis Rheum. 2004;50:2273–2280.
  27. Martin WJ, Walton M, Harper J. Resident macrophages initiating and driving inflammation in a monosodium urate monohydrate crystal-induced murine peritoneal model of acute gout. Arthritis Rheum. 2009;60:281–289.
  28. Schiltz C, Liote F, Prudhommeaux F, et al. Monosodium urate monohydrate crystal-induced inflammation in vivo: quantitative histomorphometric analysis of cellular events. Arthritis Rheum. 2002;46:1643–1650.
  29. Pessler F, Mayer CT, Jung SM, et al. Identification of novel monosodium urate crystal regulated mRNAs by transcript profiling of dissected murine air pouch membranes. Arthritis Res Ther. 2008;10:R64.
  30. Getting SJ, Flower RJ, Parente L, et al. Molecular determinants of monosodium urate crystal-induced murine peritonitis: a role for endogenous mast cells and a distinct requirement for endothelial-derived selectins. J Pharmacol Exp Ther. 1997;283:123–130.
  31. Chen CJ, Shi Y, Hearn A, et al. MyD88-dependent IL-1 receptor signaling is essential for gouty inflammation stimulated by monosodium urate crystals. J Clin Invest. 2006;116:2262–2271.
  32. So, A, De Smedt T, Revaz S, et al. A pilot study of IL-1 inhibition by anakinra in acute gout. Arthritis Res Ther. 2007;9:R28.
  33. So, A, De Meulemeester M, Pikhlak A, et al. Canakinumab (ACZ885) vs. triamcinolone acetonide for treatment of acute flares and prevention of recurrent flares in gouty arthritis patients refractory to or contraindicated to NSAIDs and/or colchicine. ACR Annual Meeting 2009. Philadelphia: Wiley; 2009.
  34. Schumacher HR, Sundy J, Terkeltaub R, et al. Placebo-controlled study of rilonacept for gout flare prophylaxis during intiation of urate-lowering therapy. ACR Annual Meeting 2009. Philadelphia: Wiley; 2009.
  35. Dinarello CA. Immunological and inflammatory functions of the interleukin-1 family. Annu Rev Immunol. 2009;27:519–550.
  36. Martinon F, Mayor A, Tschopp J. The inflammasomes: guardians of the body. Annu Rev Immunol. 2009;27:229–265.
  37. Guma M, Ronacher L, Liu-Bryan R, et al. Caspase 1-independent activation of interleukin-1beta in neutrophil-predominant inflammation. Arthritis Rheum. 2009;60:3642–3650.
  38. Joosten LA, Netea MG, Fantuzzi G, et al. Inflammatory arthritis in caspase 1 gene-deficient mice: contribution of proteinase 3 to caspase 1-independent production of bioactive interleukin-1β. Arthritis Rheum. 2009;60:3651–3662.
  39. Martinon F, Petrilli V, Mayor A, et al. Gout-associated uric acid crystals activate the NALP3 inflammasome. Nature. 2006;440:237–241.
  40. Dostert C, Petrilli V, Van Bruggen R, et al. Innate immune activation through Nalp3 inflammasome sensing of asbestos and silica. Science. 2008;320:674–677.
  41. Eisenbarth SC, Colegio OR, O'Connor W, et al. Crucial role for the Nalp3 inflammasome in the immunostimulatory properties of aluminium adjuvants. Nature. 2008;453:1122–1126.
  42. Dostert C, Guarda G, Romero JF, et al. Malarial hemozoin is a Nalp3 inflammasome activating danger signal. PLoS ONE. 2009;4:e6510.
  43. Muruve DA, Petrilli V, Zaiss AK, et al. The inflammasome recognizes cytosolic microbial and host DNA and triggers an innate immune response. Nature. 2008;452:103–107.
  44. Santos Moreno P, Latore C. Treatment of severe gouty arthritis with etanercept. Ann Rheum Dis. 2009;68(Suppl 3):680.
  45. Tausche AK, Richter K, Grassler A, et al. Severe gouty arthritis refractory to anti-inflammatory drugs: treatment with anti-tumour necrosis factor alpha as a new therapeutic option. Ann Rheum Dis. 2004;63:1351–1352.
  46. Fiehn C, Zeier M. Successful treatment of chronic tophaceous gout with infliximab (Remicade). Rheumatic Int. 2006;26:274–276.
  47. Terkeltaub R, Baird S, Sears P, et al The murine homolog of the interleukin-8 receptor CXCR-2 is essential for the occurrence of neutrophilic inflammation in the air pouch model of acute urate crystal-induced gouty synovitis. Arthritis Rheum. 1998;41:900–909.
  48. Nishimura A, Akahoshi T, Takahashi M, et al. Attenuation of monosodium urate crystal-induced arthritis in rabbits by a neutralizing antibody against interleukin-8. J Leukoc Biol. 1997;62:444–449.
  49. Hachicha M, Naccache PH, McColl SR. Inflammatory microcrystals differentially regulate the secretion of macrophage inflammatory protein 1 and interleukin 8 by human neutrophils: a possible mechanism of neutrophil recruitment to sites of inflammation in synovitis. J Exp Med. 1995;182:2019–2025.
  50. Akira S, Takeda K. Toll-like receptor signalling. Nat Rev Immunol. 2004;4:499–511.
  51. Beutler B. Microbe sensing, positive feedback loops, and the pathogenesis of inflammatory diseases. Immunol Rev. 2009;227:248–263.
  52. Liu-Bryan R, Scott P, Sydlaske A, et al. Innate immunity conferred by Toll-like receptors 2 and 4 and myeloid differentiation factor 88 expression is pivotal to monosodium urate monohydrate crystal-induced inflammation. Arthritis Rheum. 2005;52:2936–2946.
  53. Scott P, Ma H, Viriyakosol S, et al. Engagement of CD14 mediates the inflammatory potential of monosodium urate crystals. J Immunol. 2006;177:6370–6378.
  54. Ford JW, McVicar DW. TREM and TREM-like receptors in inflammation and disease. Curr Opin Immunol. 2009;21:38–46.
  55. Murakami Y, Akahoshi T, Hayashi I, et al. Induction of triggering receptor expressed on myeloid cells 1 in murine resident peritoneal macrophages by monosodium urate monohydrate crystals. Arthritis Rheum. 2006;54:455–462.
  56. Giclas PC, Ginsberg MH, Cooper NR. Immunoglobulin G independent activation of the classical complement pathway by monosodium urate crystals. J Clin Invest. 1979;63:759–764.
  57. Russell IJ, Papaioannou C, McDuffie FC, et al. Effect of IgG and C-reactive protein on complement depletion by monosodium urate crystals. J Rheumatic. 1983;10:425–433.
  58. Fields TR, Abramson SB, Weissmann G, et al. Activation of the alternative pathway of complement by monosodium urate crystals. Clin Immunol Immunopathology. 1983;26:249–257.
  59. Russell IJ, Mansen C, Kolb LM, et al. Activation of the fifth component of human complement (C5) induced by monosodium urate crystals: C5 convertase assembly on the crystal surface. Clin Immunopathology. 1982;24:239–250.
  60. Serhan CN, Lundberg U, Weissmann G, et al. Formation of leukotrienes and hydroxy acids by human neutrophils and platelets exposed to monosodium urate. Prostaglandins. 1984;27:563–581.
  61. Rae SA, Davidson EM, Smith MJ. Leukotriene B4, an inflammatory mediator in gout. Lancet. 1982;2:1122–1124.
  62. Forrest MJ, Zammit V, Brooks PM. Inhibition of leukotriene B4 synthesis by BW 755c does not reduce polymorphonuclear leucocyte (PMNL) accumulation induced by monosodium urate crystals. Ann Rheum Dis. 1988;47:241–246.
  63. Wikipedia contributors. Gout. Wikipedia, The Free Encyclopaedia. Wikipedia, The Free Encyclopaedia, 2021.
Creative Commons Attribution License

©2022 AlJadir. This is an open access article distributed under the terms of the, which permits unrestricted use, distribution, and build upon your work non-commercially.